Covid19

A Coronal Plane Through The Head

Figure 1 From A Probable Case Of Hand Schueller Christian S Disease In An Egyptian Mummy Revealed By Ct And Mr Investigation Of A Dry Mummy Semantic Scholar
www.semanticscholar.org

Anatomical Position And Planes Human Anatomy And Physiology Lab Bsb 141
courses.lumenlearning.com

Solved Ucleic Acid Glycolipid Cholesterol Question2 A Fro Chegg Com
www.chegg.com

Anatomical Planes Neuroscientifically Challenged
www.neuroscientificallychallenged.com

Anatomical Terms
cnx.org

Plane Taber S Medical Dictionary
www.tabers.com

Anatomical Planes Oblique View Of The Head Showing Standard Anatomic Download Scientific Diagram
www.researchgate.net

Https Onlinelibrary Wiley Com Doi Pdf 10 7863 Jum 1985 4 1 35

1 6 Anatomical Terminology Anatomy And Physiology Openstax
openstax.org

Seer Training Anatomical Terminology
training.seer.cancer.gov

Brain And Face Ct Interactive Anatomy Atlas
www.imaios.com

Epos Trade
epos.myesr.org

Epos Trade
epos.myesr.org

Mri Plane Mathematics
my-ms.org

Mri Plane Mathematics
my-ms.org

Https Encrypted Tbn0 Gstatic Com Images Q Tbn 3aand9gcrb2hyaqbxteuu3yaawmydlluptfe Lq6xssr Qagp0f Ontvfo Usqp Cau
encrypted-tbn0.gstatic.com

Coronal Plane Images Stock Photos Vectors Shutterstock
www.shutterstock.com

Frontal Coronal Plane Ct Scan Head Technology Stock Image 703335949
www.shutterstock.com

Anatomical Planes Animated Tutorial Youtube
www.youtube.com

Plos One The Travelling Wave Primate System A New Solution For Magnetic Resonance Imaging Of Macaque Monkeys At 7 Tesla Ultra High Field
journals.plos.org

Solved 16 Anatomy Physiology Coloring Workbook 4 When Chegg Com
www.chegg.com

Plos One Cone Beam Computed Tomography Assessment Of Lower Facial Asymmetry In Unilateral Cleft Lip And Palate And Non Cleft Patients With Class Iii Skeletal Relationship
journals.plos.org

Blg 700 Study Guide Fall 2016 Final Sagittal Plane Pleural Cavity Peritoneal Cavity
oneclass.com

General Anatomy And Radiographic Positioning Terminology Radiology Key
radiologykey.com

Digital Dissection Of The Head Of The Rock Dove Columba Livia Using Contrast Enhanced Computed Tomography Springerlink
link.springer.com

Sagittal Frontal And Transverse Plane Movements And Exercises
blog.nasm.org

Https Encrypted Tbn0 Gstatic Com Images Q Tbn 3aand9gcr09thz2pqlhj0fudcpnuompbqqnvdkgysrdoz8io3 Mp4w3rzr Usqp Cau
encrypted-tbn0.gstatic.com

Ct Head Technique Radiology Reference Article Radiopaedia Org
radiopaedia.org

Coronal Plane Section Of Head Medical Illustration Human Anatomy Drawing Anatomy Illustration
www.patientedlibrary.com

Proton Beam Therapy Of Periorbital Sinonasal Squamous Cell Carcinoma Two Case Reports And Review Of Literature
www.wjgnet.com

Anatomical Terms
cnx.org

Transcranial View Of Head At Coronal Plane Through Orbital Apex Neuroanatomy The Neurosurgical Atlas By Aaron Cohen Gadol M D
www.neurosurgicalatlas.com

Anatomical Planes Coronal Sagittal Teachmeanatomy
teachmeanatomy.info

Duke Neurosciences Lab 5 Forebrain Sectional Anatomy
web.duke.edu

Anatomical Planes Of Section Stock Vector Illustration Of Science Section 59086556
www.dreamstime.com

Mc Plane A Coronal Plane Perpendicular To The True Horizontal And Download Scientific Diagram
www.researchgate.net

Figure 1
www.nature.com

Coronal Sections Of The Brain Anatomy Kenhub
www.kenhub.com

Anatomical Planes Neuroscientifically Challenged
www.neuroscientificallychallenged.com

Neuroscience For Kids Directions Planes
faculty.washington.edu

Coronal Plane High Resolution Stock Photography And Images Alamy
www.alamy.com

Mri Anatomical Image Of A Mouse In The A Coronal Plane With The Download Scientific Diagram
www.researchgate.net

Plane Taber S Medical Dictionary
www.tabers.com

Anatomy Terminology Wikiversity
en.wikiversity.org

Medical Basic Anatomy And Physiology Standard Anatomical Terms And Planes
medictests.com

Https Encrypted Tbn0 Gstatic Com Images Q Tbn 3aand9gcqafskq3gmyaa5sfht4mvtgvh0emn G1x7kpsosu Rxf20g6kek Usqp Cau
encrypted-tbn0.gstatic.com

Pdf Normal Infant Brain Anatomy Correlated Real Time Sonograms And Brain Specimens Semantic Scholar
www.semanticscholar.org

General Anatomy And Radiographic Positioning Terminology Radiology Key
radiologykey.com

Anatomical Planes Of Body What Are They Types Position In Body
human-memory.net

Sectional Anatomy Final Flashcards Quizlet
quizlet.com

Https Www Saddleback Edu Faculty Thuntley Bio113 Labs Lab1 Pdf

Anatomical Planes Of The Body Anatomy Anatomy And Physiology Human Anatomy
www.pinterest.com

Crossfit Anatomical Planes Axes
www.crossfit.com

Crossfit Anatomical Planes Axes
www.crossfit.com

Body Planes And Sections
oer2go.org

Introduction To General Anatomy I
www.slideshare.net

Https Personal Utdallas Edu Mel024000 Pages Drawing Thelanguageofanatomy Pdf

Mri Plane Mathematics
my-ms.org

Neurosonography Assessing The Premature Infant Springerlink
www.x-mol.com

Anatomical Planes Of Body What Are They Types Position In Body
human-memory.net

Mapping The Body Boundless Anatomy And Physiology
courses.lumenlearning.com

Anatomical Body Planes Science Trends
sciencetrends.com

Anatomy Of The Eye And Orbit Ento Key
entokey.com

Cornell Mri Research Lab Summer Immersion
pre.weill.cornell.edu

Anatomical Planes Of Body What Are They Types Position In Body
human-memory.net

Frontal Coronal Plane Ct Scan Head Stock Photo Edit Now 708414436
www.shutterstock.com

Giant Cabergoline Resistant Prolactinoma In A Man Who Presented With A Psychotic Episode During Treatment A Case Report Journal Of Medical Case Reports Full Text
jmedicalcasereports.biomedcentral.com

B Ct Of The Head Coronal Plane Download Scientific Diagram
www.researchgate.net

Coronal Sections Of The Brain Anatomy Kenhub
www.kenhub.com

Anatomical Plane Wikipedia
en.wikipedia.org

Cross Sectional Anatomy Kenhub
www.kenhub.com

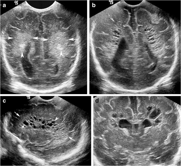
3 Neonatal Cranial Ultrasonography Radiology Key
radiologykey.com

Duke Neurosciences Lab 5 Forebrain Sectional Anatomy
web.duke.edu

Anatomical Planes Of Body What Are They Types Position In Body
human-memory.net

Sectional Anatomy Final Flashcards Quizlet
quizlet.com

Http Www Lamission Edu Lifesciences Alianat1 Chap1 Anatomical 20terminology Pdf

Brain Atlas Of Human Anatomy With Mri
www.imaios.com

A Diagram Showing The Coronal Plane Through The Femoral Head Center Download Scientific Diagram
www.researchgate.net

Cornell Mri Research Lab Summer Immersion
pre.weill.cornell.edu

Anatomical Terms
cnx.org

Head Re Orientation On Axial Sagittal And Coronal Plane Of Cbct Scans Download Scientific Diagram
www.researchgate.net

Anatomical Plane Wikipedia
en.wikipedia.org

Anatomical Directional Terms And Body Planes
www.thoughtco.com

Solved A Coronal Plane Through The Head Could Pass Throu Chegg Com
www.chegg.com

Ct Scan Pns Coronal Cuts Ct Scan Machine
ctscanmachines.blogspot.com

Mri Procedure Of Brain
www.slideshare.net

Neuroscience For Kids Directions Planes
faculty.washington.edu

Coronal Sections Of The Brain Anatomy Kenhub
www.kenhub.com

Anatomical Terminology Anatomical Position Arms Down By Side Palms Up Head And Eyes Forward Legs Parallel Feet Together Ppt Download
slideplayer.com

Cardinal Planes And Axes Of Movement Physiopedia
www.physio-pedia.com

Coronal Plane High Resolution Stock Photography And Images Alamy
www.alamy.com

Epos Trade
epos.myesr.org

Neurosonography Assessing The Premature Infant Springerlink
www.x-mol.com

Mri Procedure Of Brain
www.slideshare.net

Print Mock Review Pictures Flashcards Easy Notecards
www.easynotecards.com

Cognitive Neuroscience Methods To Study The Adolescent Brain Chapter Three The Neuroscience Of Adolescence
www.cambridge.org

Anatomical Planes Of Body What Are They Types Position In Body
human-memory.net

General Anatomy And Radiographic Positioning Terminology Radiology Key
radiologykey.com

Imaging Of Head And Neck Skin Cancer Springerlink
link.springer.com

Https Encrypted Tbn0 Gstatic Com Images Q Tbn 3aand9gcqob5jttpqtwmcvpr8ckol6dmnde6c2j C1so8n3juraccgxwc Usqp Cau
encrypted-tbn0.gstatic.com

A Ct Oblique Coronal Plane Through Head Large Defect Of Download Scientific Diagram
www.researchgate.net

Directional Terms Body Regions Anatomy Physiology
beleww.wordpress.com

Intra Fractional 6d Head Movement Increases With Time Of Mask Fixation During Stereotactic Intracranial Rt Sessions Radiation Oncology Full Text
ro-journal.biomedcentral.com

Preparing For A P Basic Science And Biology 1st Edition Page 432 444 Of 636
www.g-wonlinetextbooks.com

close