Covid19

Akciger Filminde Corona

Akciger Lekesinin Belirtileri Nelerdir Akciger Lekesi Oldurur Mu Saracoglu Ndan Ozel Kur Saglik Haberleri Haber7
m.haber7.com

Akcigerin Yenilenmesi Ne Kadar Suruyor Saglik Haberleri
www.cnnturk.com

Koronavirus Hakkinda Her Sey Prof Dr Ozgur Karcioglu Yanitladi
indigodergisi.com

Akciger Filmi Degerlendirme Akilkarti Acil Calisanlari
www.acilcalisanlari.com

Koronavirusun Akcigere Verdigi Zarar Goruntulendi
www.yenicaggazetesi.com.tr

Corona Virusun Insan Vucudundaki Etkisi Boyle Goruntulendi
www.yenicaggazetesi.com.tr

Covid 19 Un Akcigerlere Verdigi Zarari Gosteren Rontgen Ve Tomografi Goruntuleri Euronews
tr.euronews.com

Corona Virus Bulunan Akcigerin 3d Goruntusu Yayinlandi Son Dakika Haberleri
www.hurriyet.com.tr

Corona Virusunun Akcigerlere Zarari Gosteren Tomografi Filmi
www.webtekno.com

Dikkat Ceken Arastirma Corona Virusu Bulasan Cocuklar Incelendi Ve Son Dakika Guncel Haberler
www.hurriyet.com.tr

Son Dakika Haberi Korkunc Gercegi Corona Virusu Nden Olen Hastanin Rontgeni Ortaya Cikardi En Son Haberler
www.hurriyet.com.tr

Akciger Kisti Kist Hidatik Belirtileri Ve Tedavisi Saglik Haberleri
www.sabah.com.tr

Https Www Turkrad Org Tr Assets Pdfdocs Covid 19 Radyolojik Bulgular 30 3 2020 Pdf

Koronavirus Teshisinde Yeni Umut Akciger Rontgeni Ile Virus Tespiti Yapabilen Yapay Zeka Gelistirildi Ekonomi
www.haberler.com

Coronavirusu Son Dakika Virus Bulasan Hastanin Rontgen Filmleri Ortaya Cikti Corona Virus Cigerleri Bu Hale Getiriyor Galeri Dunya
www.sabah.com.tr

Koronavirus Covid 19 Un Insan Vucudu Uzerindeki Etkileri Neler Bbc News Turkce
www.bbc.com

Zaturre Vikipedi
tr.wikipedia.org

Koronavirus Corona Virusu Nedir Yeditepe Universitesi Hastanesi
www.yeditepehastanesi.com.tr

Uzmanlardan Kritik Uyari Corona Virus Testinde Saglik Haberleri
www.sabah.com.tr

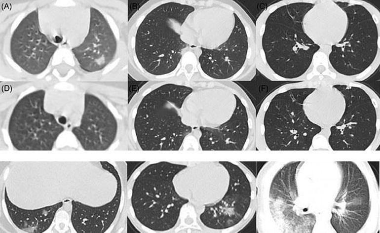
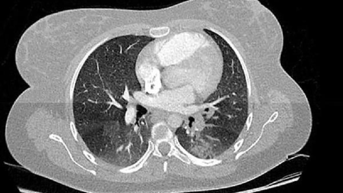
Akciger Tomografisiyle Erken Teshis Covid E Bagli Olumleri Azaltti Saglik Son Dakika Haberler
www.sozcu.com.tr

44 Yasinda Corona Virusten Hayatini Kaybeden Kisinin Akciger Rontgen Filmleri Virusun Verdigi Zarari Ortaya Cikardi Saglik Haberleri Ntv
www.ntv.com.tr

Koronavirus Un Akciger Uzerindeki Korkunc Etkisi Son Dakika Haberler Milliyet
www.milliyet.com.tr

Iste Akciger Kanserinin En Erken Belirtisi Saglik Haberleri
m.sabah.com.tr

Corona Virusunun Akcigerlere Zarari Gosteren Tomografi Filmi
www.webtekno.com

Https Turkradyolojiseminerleri Org Content Files Sayilar 7 Buyuk 304 315 Pdf

Koronavirusun Akcigerdeki Agir Tahribati Hastalarin Tomografi Goruntulerine Yansidi Video Son Dakika Flas Haberler
www.cnnturk.com

Vuhan Daki Doktorlar Corona Virus Hastasina Cift Akciger Nakli Gerceklestirdi Guncel Haberler Milliyet
www.milliyet.com.tr

Coronavirus Belirtileri Neler Iste Koronavirus Un Akcigere Etkisi Saglik Haberleri Saglik Haberleri
www.haberturk.com

Yeni Yapay Zeka Akciger Rontgeninden Corona Tespiti Yapabilecek Teknoon
tekno10.com

Corona Virusu Nedir Hangi Hastaliklara Sebep Olur Saglik Son Dakika Haberler
www.sozcu.com.tr

Covid 19 Un Akcigerlere Verdigi Zarari Gosteren Rontgen Ve Tomografi Goruntuleri Euronews
tr.euronews.com

Son Dakika Haberi Korkunc Gercegi Corona Virusu Nden Olen Hastanin Rontgeni Ortaya Cikardi Son Dakika Guncel Haberler 11 50
www.hurriyet.com.tr

Iste Akciger Kanserinin En Erken Belirtisi Saglik Haberleri
m.sabah.com.tr

Son Dakika Corona Virusu Akcigerinin 80 Nini Kaplamisti Iyilesti Saglik Haberleri
www.sabah.com.tr

Koah Nedir Hastaligin Belirtileri Nelerdir Koah Hastaligi Kimlerde Gorulur Son Dakika Milliyet
www.milliyet.com.tr

Koronavirus Un Akciger Uzerindeki Korkunc Etkisi Son Dakika Haberler Milliyet
www.milliyet.com.tr

44 Yasinda Corona Virusten Hayatini Kaybeden Kisinin Akciger Rontgen Filmleri Virusun Verdigi Zarari Ortaya Cikardi Saglik Haberleri Ntv
www.ntv.com.tr

Https Turkradyolojiseminerleri Org Content Files Sayilar 7 Buyuk 304 315 Pdf

Http Www Atuder Org Tr Fileout Aspx Url Ftegejecmfy9lsyzvork

Https Www Turkrad Org Tr Assets Pdfdocs Covid 19 Radyolojik Bulgular 30 3 2020 Pdf

Https Www Turkrad Org Tr Assets Pdfdocs Covid 19 Radyolojik Bulgular 30 3 2020 Pdf

Covid 19 Ve Akciger Tomografisi Dr Ersen Alp Ozbalci Youtube
www.youtube.com

Corona Virusun Bulastigi Hastanin 3d Akciger Goruntusu Yayinlandi Iste Akcigerlere Verdigi Hasar
www.sabah.com.tr

Koronavirus Un Akciger Uzerindeki Korkunc Etkisi Son Dakika Haberler Milliyet
www.milliyet.com.tr

Koronavirus Un Akciger Uzerindeki Korkunc Etkisi Son Dakika Haberler Milliyet Sayfa 10
www.milliyet.com.tr

Dikkat Ceken Arastirma Corona Virusu Bulasan Cocuklar Incelendi Ve Son Dakika Guncel Haberler
www.hurriyet.com.tr

3 Kez Test Sonucu Negatif Cikan Hastane Calisani Korona Yogun Bogaz Ve Sirt Agrisiyla Geldi
www.birgun.net

Olgularla Toraks Bt Youtube
www.youtube.com

Http Www Atuder Org Tr Fileout Aspx Url Ftegejecmfy9lsyzvork

Corona Virusden Olen Kisinin Rontgen Filmleri Yayinlandi
www.internetgundem.com

Covid 19 Tanisinda En Etkili Yontem Bilgisayarli Tomografi Bt
www.drozdogan.com

Coronavirusun Akcigerde Nasil Yayildigi Goruntulendi
www.yenicaggazetesi.com.tr

Https Turkradyolojiseminerleri Org Content Files Sayilar 7 Buyuk 304 315 Pdf

Virusun Akcigerdeki Tahribati Goruntulendi Video Son Dakika Flas Haberler
www.cnnturk.com

Https Dergipark Org Tr Tr Download Article File 990396

Akciger Hastaliklari Koronavirusun Daha Ciddi Seyretmesine Neden Oluyor
www.aa.com.tr

Http Www Atuder Org Tr Fileout Aspx Url Ftegejecmfy9lsyzvork

Corona Virusu Kendi Kucuk Ama Tahribati Buyuk Hisar Intercontinental Hospital
hisarhospital.com

Corona Korkusu Corona Korona Gerceginden Daha Buyuk Yeditepe Universitesi Hastanesi
www.yeditepehastanesi.com.tr

Covid 19 Iyilesme Halinde Dahi Hastalarin Akciger Fonksiyonu Dusuyor Yasam Dw 20 03 2020
www.dw.com

Son Dakika Haberi Korkunc Gercegi Corona Virusu Nden Olen Hastanin Rontgeni Ortaya Cikardi En Son Haberler
www.hurriyet.com.tr

Covid 19 Radyolojisi Prof Dr Fatih Alper Anlatiyor Youtube
www.youtube.com

44 Yasinda Corona Virusten Hayatini Kaybeden Kisinin Akciger Rontgen Filmleri Virusun Verdigi Zarari Ortaya Cikardi Saglik Haberleri Ntv
www.ntv.com.tr

Akciger Hastaliklari Corona Virusun Daha Ciddi Seyretmesine Neden Oluyor Beden Sagligi
www.posta.com.tr

Https Dergipark Org Tr Tr Download Article File 990396

Son Dakika Haberi Korkunc Gercegi Corona Virusu Nden Olen Hastanin Rontgeni Ortaya Cikardi Sondakika Haberler 4 50
www.hurriyet.com.tr

Corona Epidemik Illustrasyon Tasarimi Stok Vektor Sanati Akciger Nin Daha Fazla Gorseli Istock
www.istockphoto.com

Virus Teshisinde Tomografiye Dikkat Youtube
www.youtube.com

Corona Olum Virusu 2019 Ncov Roportaj Prof Dr Ozgur Karcioglu
indigodergisi.com

Online Corona Virusu Testi Nasil Yapilir Korona Virusu Testi Linki Son Dakika Haberleri Milliyet
www.milliyet.com.tr

Coronavirus Belirtileri Neler Iste Koronavirus Un Akcigere Etkisi Saglik Haberleri Saglik Haberleri
www.haberturk.com

Korona Virusu Bulasan Hastanin Soke Eden Rontgen Goruntuleri Youtube
www.youtube.com

Corona Virusu Akcigerleri Nasil Etkiliyor Chip Online
www.chip.com.tr

Son Dakika Haberi Korkunc Gercegi Corona Virusu Nden Olen Hastanin Rontgeni Ortaya Cikardi En Son Haberler
www.hurriyet.com.tr

Coronavirus Akcigerlere Boyle Saldiriyor Youtube
www.youtube.com

1 Covid 19 Sars Cov2 Enfeksiyonu Rehberi Bilim Kurulu Calismasi T C Saglik Bakanligi 25 Mart 2020
www.teb.org.tr

Koronavirusun Akcigere Verdigi Zarar Goruntulendi
www.yenicaggazetesi.com.tr

Https Www Turkrad Org Tr Assets Pdfdocs Covid 19 Radyolojik Bulgular 30 3 2020 Pdf

Zaturre Vikipedi
tr.wikipedia.org

Covid 19 Un Akcigerlere Verdigi Zarari Gosteren Rontgen Ve Tomografi Goruntuleri Euronews
tr.euronews.com

Koronavirusu Yenen Doktor Virusun Ilerleme Hizi Korku Filmi Gibi
www.aa.com.tr

Prof Dr Ahmet Akgul Kalpte Delik Asd Atriyal Septal Defekt Kapatilmasi
www.ahmetakgul.com.tr

Https Turkradyolojiseminerleri Org Content Files Sayilar 7 Buyuk 304 315 Pdf

44 Yasinda Corona Virusten Hayatini Kaybeden Kisinin Akciger Rontgen Filmleri Virusun Verdigi Zarari Ortaya Cikardi Saglik Haberleri Ntv
www.ntv.com.tr

Covid 19 Iyilesme Halinde Dahi Hastalarin Akciger Fonksiyonu Dusuyor Yasam Dw 20 03 2020
www.dw.com

Koronavirusu Nden Olen Hastanin Rontgeni Ortaya Cikardi Bursa Hakimiyet
www.bursahakimiyet.com.tr

Https Www Turkrad Org Tr Assets Pdfdocs Covid 19 Radyolojik Bulgular 30 3 2020 Pdf

Coronavirus Belirtileri Neler Iste Koronavirus Un Akcigere Etkisi Saglik Haberleri Saglik Haberleri
www.haberturk.com

Son Dakika Haberi Bilim Insanlarindan Kritik Koronavirus Aciklamasi 4 Haziran
www.hurriyet.com.tr

Akciger Filmi Degerlendirme Sirasi Acil Calisanlari
www.acilcalisanlari.com

Http Www Atuder Org Tr Fileout Aspx Url Ftegejecmfy9lsyzvork

Corona Dan Kurtulan Hastalarda Kalici Organ Hasari Meydana Gelebiliyor Diken
www.diken.com.tr

Yeni Koronavirus Enfeksiyonu
hastane.pau.edu.tr

Yeni Yapay Zeka Akciger Rontgeninden Corona Tespiti Yapabilecek Teknoon
tekno10.com

Corona Virus Nedir Belirtileri Nelerdir Corona Virusu Bulasici Mi Nasil Bulasir Corona Virusu Hastaligi Guncel Haberler Milliyet
www.milliyet.com.tr

Bu Akciger Filmi Acik Artirmada Satilacak Magazin Haberleri Milliyet
www.milliyet.com.tr

Iste Koronavirusun Akcigerlerde Yol Actigi Hasar Dunyadan Haberler
www.cnnturk.com

Iste Koronavirusun Akcigerlerde Yol Actigi Hasar Dunyadan Haberler
www.cnnturk.com

Genc Doktor Paylasti Ve Uyardi Iste Korona Virus Geciren Akciger Goruntusu
www.yenicaggazetesi.com.tr

Https Www Turkrad Org Tr Assets Pdfdocs Covid 19 Radyolojik Bulgular 30 3 2020 Pdf

close