Covid19

Corona Dental

Corona Emergency Dentistry Urgent Dental Care Root Canals More
www.jameslaidds.com

Smiling Teeth Funny Dental Personal Protection Corona Face Mask Mask By Apparelbydims Redbubble
www.redbubble.com

Corona Dental En Chicago Bucktown Dental Associates
dentista-chicago.com

Dental Clinics Struggle To Stay Open Treat Patients Amid Coronavirus Pandemic Orange County Register
www.ocregister.com

Restorative Dentistry Corona Dentist Canyon Dental Associates
www.mydentistincorona.com

Protesis Dental Fija Puentes Coronas Y Carillas Youtube
www.youtube.com

Que Es Una Corona Dental Guia Dentistas
blog.deenty.com

Interview Corona Terminator Protects Dental Staff And Patients From Sars Cov 2 Coronavirus Covid 19 Microsite
coronavirus.dental-tribune.com

Laser Bleaching In Corona Corona Dentist Canyon Dental Associates
www.mydentistincorona.com

Corona Ca Dentist Explains How To Avoid Stains On Your Teeth After Braces Dental Care Of Corona
dentalcareofcorona.com

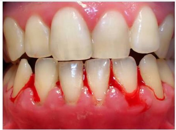
Gum Bleeding Corona Dentist Canyon Dental Associates
www.mydentistincorona.com

Dental Implants In Corona Del Mar Barbara Mallonee Dds
www.drmallonee.com

Roger Gomez Corona Dental Despues De Tratamiento De Conducto
www.rogergomezdentist.com.au

Top 3 Reasons People Go To The Dentist Dental Care Of Corona
dentalcareofcorona.com

Dental Clinics Struggle To Stay Open Treat Patients Amid Coronavirus Pandemic Orange County Register
www.ocregister.com

Corona Dental Tipos Y Precios En Mexico 2020
www.implantesdentaleshq.com

What Are Some Less Common Mouth Sores Pt 1 Corona Dentist Great Smile Dental Office
www.rvlaysondmd.com

Dental Crown Metal Ceramics Close Up In The Patient S Mouth In The Dental Clinic The Concept Of Prosthetics With The Use Of Implants And Dentures To Stock Photo Alamy
www.alamy.com

1
encrypted-tbn0.gstatic.com

Repair And Protect Your Teeth With Dental Crowns In Tijuana
cliniktj.com

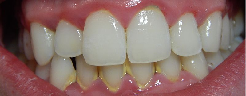
Plaque And Gingivitis Corona Dentist Canyon Dental Associates
www.mydentistincorona.com

In Need Of Crowns Choosing The Best Dental Crown Costa Rica Dental
costaricadentalteam.com

Corona Dental Center Coronadentalca Twitter
twitter.com

Cuanto Cuesta Una Corona Dental En Estados Unidos 2020
www.implantesdentaleshq.com

Repair And Protect Your Teeth With Dental Crowns In Tijuana
cliniktj.com

Guadalajara Dental Treatment 12 Years Of Experience
www.proclinicdental.com

Advice From Dental Experts In Corona Braces And How Kids Can Be Encouraged To Take Better Care Of Them All Smiles Kids
allsmileskids.com

What Is A Crown Que Es Una Corona Mi Dental
www.midentalclinic.com

Coronas Dentales Que Son Tipos Y Duracion Od Luis Marcano
odluismarcano.com

Que Hacer Cuando Una Corona Dental Se Cae Doral Sedation Family Dentistry Doral Sedation Dentistry
www.doralsedationdentistry.com

1
encrypted-tbn0.gstatic.com

Preparacion Y Colocacion De Corona Unitaria Estetica Dental Youtube
www.youtube.com

Midwest Family Dental General Dentistry In Chicago Waukegan Il
midwestfamilydental.com

Root Canal Bliss Dental Care Corona Dentist
blissmobiledental.com

Amazon Com Angzhili Kit De Corona Dental Material Dental Posterior Delantero Y Molar 2 Unidades Industrial Scientific
www.amazon.com

1 343 Corona Dental Stock Photos Pictures Royalty Free Images Istock
www.istockphoto.com

2 Corona Provvisoria Diastema Anteriore Cozzolino Zerodonto Dental Office
www.cozzolinodentaloffice.com

306 Corona Dental Stock Videos And Royalty Free Footage Istock
www.istockphoto.com

Centro Dental Corona Home Facebook
www.facebook.com

Open For Essential Emergency Dental Needs South Corona Dental Group
www.southcoronadental.com

Diferencias Empastes Dentales Reconstrucciones Coronas Dentales En 2020 Coronas Dentales
www.pinterest.jp

Corona Dental Coronas Dentales Dental Odontologia
www.pinterest.com

Corona Dental 53 E Tallahassee Dr Corona De Tucson Az 2020
www.dentalservicesfinder.com

Perno Corona Salta 25 Photos Teeth Whitening Service Pellegrini 79 4400 Salta Argentina
www.facebook.com

Tooth Crown Corona Dentist Canyon Dental Associates
www.mydentistincorona.com

Corona Dental Arts Home Facebook
www.facebook.com

Las Coronas Dentales
www.elnuevogeorgia.com

Corona Dental Labs Linkedin
www.linkedin.com

Dental Cibao Una Corona Dental Es Una Cubierta En Facebook
it-it.facebook.com

Cosmetic Dentist Corona Teeth Whitening Corona A Family Dental Family Dentist Corona 92879
www.afamilydental.com

Dental Implants Corona Eastvale Dental And Orthodontics
www.eastvaledentalandorthodontics.com

Corona Dental Arts 8500 Shoal Creek Blvd Bldg 2 Ste A Austin Tx 2020
www.dentalservicesfinder.com

Crowns Campos Family Dental P C
www.camposdentalsa.com

Coronas Y Puentes
www.ajdentalct.com

216 Corona Dental Illustrations Royalty Free Vector Graphics Clip Art Istock
www.istockphoto.com

Tooth Restoration Dental Care Of Corona Corona Dentist
dentalcareofcorona.com

Ph Dental Corona 2 Prohealth Dental
prohealthcaredental.com

Dental Crowns Bridges Bliss Dental Care Corona Dentist
blissmobiledental.com

Taking Care Of Your Dental Health During The Corona Virus Pandemic
www.centralparkdentalcare.com

Cosmetic Dentistry Custom Dental Bridges In West Corona
westcoronadentistry.com

Plaque Corona Dental Care Of Corona
dentalcareofcorona.com

Top Dental Blog Que Son Las Coronas Y Puentes
www.topdental.com

Corona Dental De Metal Y Porcelana Vita Vm13 Coronas Dentales Dental Placas Dentales
www.pinterest.nz

Corona Dental Implants Placement Restorations Single Multiple
www.jameslaidds.com

Dental Specialties In Corona
www.riversidedentalgroup.com

1 Set Implante Dental Analisis Corona Puente Modelo De Dientes De Demostracion 761330653839 Ebay
www.ebay.com

Coronas Dentales Houston Tx Coronas Pasadena
www.summitdentalcenter.com

Como Se Coloca Una Corona Dental Top Dental Youtube
www.youtube.com

Free Vector Teeth Medicine Treatment With Dental Equipment
www.freepik.com

Welcome To Sycamore Creek Dental In Corona Dr Nguyen
www.sycamorecreekdental.com

Are You Brushing Your Teeth Too Hard West Corona Dentistry
westcoronadentistry.com

City Dental Centers Corona 161 N Mckinley St Ste 102 Corona Ca 92879 Yp Com
www.yellowpages.com

Coronas Dentales En El Paso Tx Coronas Dentales Sol Dental
www.soldentalcare.com

Zirconia Crowns Cosmetic Dentist Corona Del Mar Ca George Saliba Dds
www.coronadelmardentist.com

Corona Dental Stock Pictures Royalty Free Photos Images Getty Images
www.gettyimages.com.au

Https Encrypted Tbn0 Gstatic Com Images Q Tbn 3aand9gctmvjgadk G 3z7nmae7ylvwao5 6jduritvggbkx8 Usqp Cau
encrypted-tbn0.gstatic.com

Your Corona Dentist Talks Implant Care
www.riversidedentalgroup.com

Coronavirus Covid 19 Issaquah Premier Dental S Response Dental Blog
www.issaquahpremierdental.com

Pfm Crown Coronas Dentales Corona Dental De Porcelana Blanqueamiento Dental
nl.pinterest.com

Corona Dental Care Posts Facebook
www.facebook.com

Problems With Crooked Teeth Dental Care Of Corona
dentalcareofcorona.com

Funny Dental Personal Protection Corona Virus Mask Mask By Apparelbydims Redbubble
www.redbubble.com

5 Effective Steps You Can Take When You Have Bleeding Gums Corona Ca Dentist Explains Dental Care Of Corona
dentalcareofcorona.com

Open For Essential Emergency Dental Needs South Corona Dental Group
www.southcoronadental.com

Laboratorio Dental Corona Home Facebook
www.facebook.com

Dental Providers In Corona Prohealth Dental
www.phdental.com

306 Corona Dental Stock Videos And Royalty Free Footage Istock
www.istockphoto.com

Corona Family Dental Group 11 Photos 30 Reviews Orthodontists 1358 W 6th St Corona Ca Phone Number Yelp
www.yelp.com

Teeth Whitening Corona Dentist Canyon Dental Associates
www.mydentistincorona.com

Dental Care Of Corona 260 E Ontario Ave Ste 201 Corona Ca 92879 Yp Com
www.yellowpages.com

Dentaltown Where The Dental Community Lives Dental Crowns Dental Dental Procedures
www.pinterest.com

1
encrypted-tbn0.gstatic.com

Dental Implants In Corona Del Mar Barbara Mallonee Dds
www.drmallonee.com

Coronas Dentales Coronas En Ceramica Y Metal Dentalspa
1485dentalspa.com

Que Es Una Corona Dental
www.vidaysalud.com

Todo Lo Que Necesita Saber Sobre Ponerse Una Corona Dental
www.odontologiamarcomorales.com

Corona Pedodontist Corona Dentist Dentist In Corona
www.corona26dental.com

Does Your Smile Need A Makeover Great Smile Dental Office
www.rvlaysondmd.com

The Coronavirus Threat How Should Dental Offices Be Prepared Today S Rdh
www.todaysrdh.com

Corona Dental Western New York Urology Associates Llc
www.wnyurology.com

Clinica Dental Corona Home Facebook
www.facebook.com

Que Es Una Corona Dental De Oro Disciplied
disciplied.com

Corona Dental Care Is Rebounding For Now Coronavirus Covid 19
www.corona-covid19.be

Dentist In Tucson Az Corona Dental
coronadentalaz.com

close