Covid19

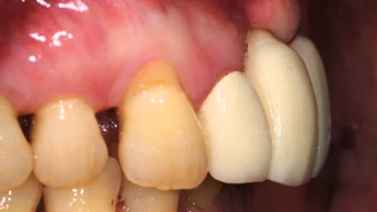
Corona Metal Porcelana Collarless

Lab Ceram Cto Interior Avenida Patriotismo 184 Escandon I Secc Miguel Hidalgo 2020
www.beautynailhairsalons.com

Laboratorio Dental Manuel A Naranjo B
www.actiweb.es

Laboratorio Dental Avila Avident Hnos
avidentlab.wixsite.com

Coronas Dentales Y Usos
es.slideshare.net

Productos
www.dentalunidos.com

Coronaszirconio Instagram Posts Gramho Com
gramho.com

Lab Ceram Cto Interior Avenida Patriotismo 184 Escandon I Secc Miguel Hidalgo 2020
www.beautynailhairsalons.com

Laboratorio Dental Asf Facebook
www.facebook.com

Galeria Dentalclinik
knowtheweb.wixsite.com

Que Diferencias Existen Entre Las Coronas De Zirconio Y Las De Porcelana Abaden Dentistas
www.abadendentistas.com

Productos
www.dentalunidos.com

Corona Large Pendant Hubbardton Forge
www.hubbardtonforge.com

Coronas Dentales Y Usos
es.slideshare.net

Coronaszirconio Instagram Posts Gramho Com
gramho.com

Tecnologia Dental Lista De Precios
laboratorioprecision.blogspot.com

Https Www Fruugo Es Allthemen Hombres Doble D Cinturon De Trenzado De Lona De Bucle P 50389131 2020 09 05t22 34 53 274 03 00 Daily 1 0 Https Img Fruugo Com Product 9 72 95060729 Max Jpg Allthemen Men S Double D Loop Canvas Braiding
www.fruugo.es

Coronas Metalo Ceramicas Sin Metal Collar Less Youtube
www.youtube.com

Laboratorio Dental Asf Facebook
www.facebook.com

Ceramica Dental Research Papers Academia Edu
www.academia.edu

Corona Metal Ceramica Alta Estetica Sobre Implante Porcelab
www.porcelab.com

Ceramica Unida A Metal Y Collar Less 3 Paladio Platino
es.scribd.com


www.youtube.com

Glass Collection Corning Museum Of Glass
www.cmog.org

Productos
www.dentalunidos.com

Glass Collection Corning Museum Of Glass
www.cmog.org

Heitor Panzeri S Research Works University Of Sao Paulo Sao Paulo Usp And Other Places
www.researchgate.net

Diseno Procedimientos Clinicos Y De Laboratorio P F Estomatologia
estomatologia2.wordpress.com

2

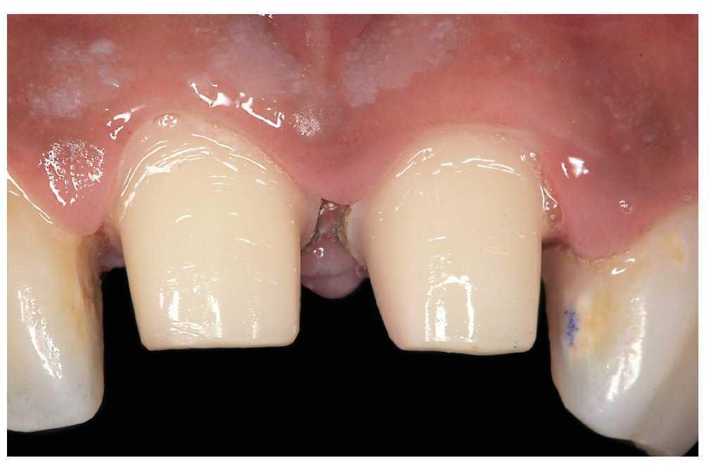
Collar Less Porcelab
www.porcelab.com

Coronas Dentales Y Usos
es.slideshare.net

Carilla Feldespatica Y Corona Metal Laboratorio Dental Asf Facebook
www.facebook.com

Productos
www.dentalunidos.com

Corona Metal Ceramica Alta Estetica Sobre Implante Porcelab
www.porcelab.com

Https Dialnet Unirioja Es Descarga Articulo 4779650 Pdf

Glass Collection Corning Museum Of Glass
www.cmog.org

Laboratorio Dental Manuel A Naranjo B
www.actiweb.es

Amazon Com 8 Coronita Rita Bottle Holder Clips 4 Blue And 4 Yellow Corona In Your Margarita Glass Cocktail Margarita Glasses
www.amazon.com

Laboratorio Dental S R Queretaro 244 Entre Lerdo De Tejada Y Amado Nervo Tepic 2020
www.dentalservicesfinder.com

Efecto De La Curvatura De La Linea De Acabado Sobre El Ajuste Marginal De Coronas Cad Cam Totalmente Ceramicas Y De Coronas De Metal Ceramica Quintessence
www.elsevier.es

Corona Brass Accent Pendant Hubbardton Forge
www.hubbardtonforge.com

Shop Corona Foiled Lacquered Ceramic Crown Decorative Box Overstock 29058927
www.overstock.com

Https Odontologos Mx Productos Enlace Odontologico Enlace Odontologico 25 Pdf

Https Www Fruugo Es Allthemen Hombres Doble D Cinturon De Trenzado De Lona De Bucle P 50389131 2020 09 05t22 34 53 274 03 00 Daily 1 0 Https Img Fruugo Com Product 9 72 95060729 Max Jpg Allthemen Men S Double D Loop Canvas Braiding
www.fruugo.es

Protesis Dentales De Porcelana En Mercado Libre Mexico
listado.mercadolibre.com.mx

Protesis Fija Convencional Libre De Metal Tecnologia Cad Cam Zirconia Descripcion De Un Caso Clinico
www.scielo.edu.uy

Coronasmetalceramica Instagram Posts Photos And Videos Picuki Com
www.picuki.com

Productos
www.dentalunidos.com

Varios Diente Collar Clip Islands Vector Mobler Com Py
varios-diente-collar-clip.islands.vector.mobler.com.py

Placas Erkodent Facebook
www.facebook.com

Coronas Dentales Y Usos
es.slideshare.net

Heitor Panzeri S Research Works University Of Sao Paulo Sao Paulo Usp And Other Places
www.researchgate.net

Efecto De La Curvatura De La Linea De Acabado Sobre El Ajuste Marginal De Coronas Cad Cam Totalmente Ceramicas Y De Coronas De Metal Ceramica Quintessence
www.elsevier.es

Https Odontologos Mx Productos Enlace Odontologico Enlace Odontologico 25 Pdf

Restauraciones Metal Porcelana Pdf Free Download
edoc.pub

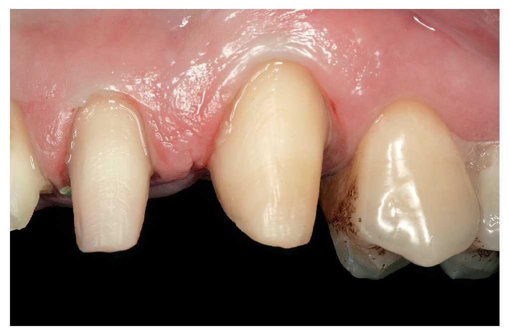
Coronas Collarless Una Alternativa Para La Estetica Gingival En Restauraciones Metal Porcelana
repositorio.unam.mx

Pfm Collarless Youtube
www.youtube.com

Lista Precios Fija Moldental
moldental.net

Coronas Dentales Y Usos
es.slideshare.net

Coronas Metalo Ceramicas Sin Metal Collar Less Youtube
www.youtube.com

Amazon Com Corona Ct 3314 Premium Stainless Steel Comfortgel Garden Trowel 13 5 Overall Length Handle Length 7 Red Garden Outdoor
www.amazon.com

Coronas Dentales Y Usos
es.slideshare.net

Shop Corona Foiled Lacquered Ceramic Crown Decorative Box Overstock 29058927
www.overstock.com

Carilla Feldespatica Y Corona Metal Laboratorio Dental Asf Facebook
www.facebook.com

Universidad De Guayaquil Facultad Piloto De Odontologia Escuela De Postgrado Dr Jose Apolo Pineda Corona Metal Porcelana Y Collarless Pdf Descargar Libre
docplayer.es

Preparacion Protesica Con La Tecnica Del Chamfer Modificado Y La Utilizacion De Instrumental No Rotatorio Sonico Gaceta Dental
gacetadental.com

Https Dialnet Unirioja Es Descarga Articulo 4779650 Pdf

The Shift Dress Trend Envy
www.trendenvy.com

Coronasmetalceramica Instagram Posts Photos And Videos Picuki Com
www.picuki.com

Laboratorio Dental S R Queretaro 244 Entre Lerdo De Tejada Y Amado Nervo Tepic 2020
www.dentalservicesfinder.com

Laboratorio Dental Avila Avident Hnos
avidentlab.wixsite.com

Amazon Com Rottweiler Con No Collar Puppy Dog Cifra Home Kitchen
www.amazon.com

Reemplazo De Coronas Viejas De Porcelana Fundida Sobre Metal Por Coronas Bruxzir Anterior Youtube
www.youtube.com

Efecto De La Curvatura De La Linea De Acabado Sobre El Ajuste Marginal De Coronas Cad Cam Totalmente Ceramicas Y De Coronas De Metal Ceramica Quintessence
www.elsevier.es

Restauraciones Ceramicas Y Metalceramicas
es.slideshare.net

Ceramica Dental Research Papers Academia Edu
www.academia.edu

Ceramica Unida A Metal Y Collar Less 3 Paladio Platino
es.scribd.com

Productos
www.dentalunidos.com

Heitor Panzeri S Research Works University Of Sao Paulo Sao Paulo Usp And Other Places
www.researchgate.net

Galeria Dentalclinik
knowtheweb.wixsite.com

Laboratorio Dental Manuel A Naranjo B
www.actiweb.es

2

2

45 En Iyi Acsesories Goruntusu 2020 Aksesuarlar Taki Yuvarlak Gunes Gozlugu
www.pinterest.com

Https Silo Tips Download Catalogo De Libros 2014

Corona Dental Metal Porcelana Cementacion Coronadental Youtube
www.youtube.com

Collar Less Porcelab
www.porcelab.com

Diseno Procedimientos Clinicos Y De Laboratorio P F Estomatologia
estomatologia2.wordpress.com

Laboratorio Dental S R Cosmetic Dentist Tepic Nayarit 24 Photos Facebook
www.facebook.com

Implantesdentalesenmedellin Instagram Posts Photos And Videos Instazu Com
www.instazu.com

Coronasmetalceramica Instagram Posts Photos And Videos Picuki Com
www.picuki.com

Composite Well Light Stainless Steel Faceplate Its Thyme Modern Designs
itsthyme.com

Porcelanas Dentales By Juan Jose Carmona
prezi.com

Ceramica Dental Research Papers Academia Edu
www.academia.edu

Galeria Dentalclinik
knowtheweb.wixsite.com

Diseno Procedimientos Clinicos Y De Laboratorio P F Estomatologia
estomatologia2.wordpress.com

Laboratorio Dental S R Queretaro 244 Entre Lerdo De Tejada Y Amado Nervo Tepic 2020
www.dentalservicesfinder.com

Ceramica Unida A Metal Y Collar Less 3 Paladio Platino
es.scribd.com

Unidad Ix Procedimientos De Laboratorio Para Protesis Dental Parcial Fija Pdf Free Download
docplayer.es

Practica 2 Encerado Docx Colegio Nacional De Educacion Profesional Tecnica Conalep 108 Dafne Gabriela Sanchez Rodriguez Idania Barroso Leon Practica 2 Course Hero
www.coursehero.com

45 En Iyi Acsesories Goruntusu 2020 Aksesuarlar Taki Yuvarlak Gunes Gozlugu
www.pinterest.com

close