Covid19

Corona Mortis Radiology

Modified Stoppa Approach For Pelvic And Acetabular Fracture Treatment
www.scielo.br

Acetabular Fractures Trauma Orthobullets
www.orthobullets.com

Life Threatening Hemorrhage From The Corona Mortis Treated With Balloon Assisted Coiling Technique The American Journal Of Emergency Medicine
www.ajemjournal.com

Ani Mirakhur On Twitter Prostate Artery Embolization Via Corona Mortis Aberrant Obturator On The Left Bph Notjusttrauma Withoutascalpel Miips Sirrfs Https T Co Ewtlpdvjmz
twitter.com

Pelvic Ring Fractures Trauma Orthobullets
www.orthobullets.com

Dan Brown On Twitter Good Teaching Case For Pelvic Trauma Look For Corona Mortis From External Iliac Gelfoam Coils Here And Always Look At Contralateral Side In This Patient There Was Crossover To
twitter.com

Https Docksci Com Download Emergency Computed Tomography For Acute Pelvic Trauma Where Is The Bleeder 5afb8876d64ab234dbe74846 Html

Arc Of Riolan Radiology Reference Article Radiopaedia Org
radiopaedia.org

1 25 Mm Thick Ct Image Of Corona Mortis Download Scientific Diagram
www.researchgate.net

Https Www Techvir Com Article S1089 2516 09 00030 4 Pdf

Massive Haemorrhage Following Minimally Displaced Pubic Ramus Fractures Springerlink
link.springer.com

Ovarian Mature Cystic Teratoma Radiology Case Radiopaedia Org
radiopaedia.org

Corona Mortis Artery As A Cause Of A Type Ii Endoleak In An Internal Artery Aneurysm Semantic Scholar
www.semanticscholar.org

Https Encrypted Tbn0 Gstatic Com Images Q Tbn 3aand9gcr1chwvfsbbsmadmpg7 9yhprbiqpeyrarrm4njyeicfqncd4oc Usqp Cau
encrypted-tbn0.gstatic.com

Bladder Containing Indirect Inguinal Hernia Radiology Case Radiopaedia Org
radiopaedia.org

Https Www Acr Org Media Acr Files Dxit Txit Acr 2020 Dxit Exam Set Pdf

Https Pdfs Semanticscholar Org 42d2 Aa0de42fb37595a55b3069f49a6a188fb830 Pdf

Https Www Jvir Org Article S1051 0443 09 00009 8 Pdf

Https Www Acr Org Media Acr Files Dxit Txit Acr 2020 Dxit Exam Set Pdf

Corona Mortis Radiology Case Radiopaedia Org
radiopaedia.org

Acetabular Fractures Trauma Orthobullets
www.orthobullets.com

Https Www Jvir Org Article S1051 0443 09 00009 8 Pdf

Pdf Corona Mortis Surgical Anatomy Physiology And Clinical Significance
www.researchgate.net

Https D Nb Info 1162404124 34

Xmlinkhub
www.kjronline.org

Acetabulum Two Column Fractures Springerlink
link.springer.com

Https Beat Sums Ac Ir Article 46771 8207367b42de33793f01f6a9bd8c1e04 Pdf

Multidetector Ct In Vascular Injuries Resulting From Pelvic Fractures A Primer For Diagnostic Radiologists Radiographics
pubs.rsna.org

Properitoneal Fat Radiology Reference Article Radiopaedia Org
radiopaedia.org

Arteria Corona Mortis Orthopaedicprinciples Com
orthopaedicprinciples.com

Multidetector Ct In Vascular Injuries Resulting From Pelvic Fractures A Primer For Diagnostic Radiologists Radiographics
pubs.rsna.org

Https Www Jvir Org Article S1051 0443 11 01636 8 Pdf

Acetabular Fractures Trauma Orthobullets
www.orthobullets.com

International Neurourology Journal
www.einj.org

Http Www Aamj Eg Net Journals Pdf 2444 Pdf

A D This Patient Was Admitted In Shock After Blunt Abdominal Trauma A Download Scientific Diagram
www.researchgate.net

Importance Of Both Internal And External Iliac Artery Interrogation In Pelvic Trauma As Evidenced By Hemorrhage From Bilateral Corona Mortis With Unilateral Aberrant Origin Off The External Iliac Artery
www.hindawi.com

Spleen Radiology Reference Article Radiopaedia Org
radiopaedia.org

Corona Mortis Corona Mortis Radiology Case Radiopaedia Org Iozaudxn
iozaudxn.le-jura.info

Kumar Madassery On Twitter Great Embolization Irad
twitter.com

Massive Haemorrhage Following Minimally Displaced Pubic Ramus Fractures Springerlink
link.springer.com

John Demeritt On Twitter Rare Prostate Artery Origin From Corona Mortis Identified On Preprocedural Cta Value Of Planning Cta In Pae Sirrfs Pae Foamed Foamrad Miips Https T Co 291sjmfqp4
twitter.com

Https Pdfs Semanticscholar Org Bda9 8bb92790a4c34756bf3982ff1b1c9d6d3ee9 Pdf

Https Evtoday Com Pdfs Eteu0420 Ft Penumbra Pdf

Pelvic Ring Fractures Trauma Orthobullets
www.orthobullets.com

Acetabular Fractures Trauma Orthobullets
www.orthobullets.com

Https Onlinelibrary Wiley Com Doi Pdf 10 1111 Ases 12416

Importance Of Both Internal And External Iliac Artery Interrogation In Pelvic Trauma As Evidenced By Hemorrhage From Bilateral Corona Mortis With Unilateral Aberrant Origin Off The External Iliac Artery Happidoc
www.happidoc.com

Corona Mortis Artery Pseudoaneurysm Causing Delayed Intermittent Hemoperitoneum After Robotic Radical Prostatectomy Sciencedirect
www.sciencedirect.com

Multidetector Ct In Vascular Injuries Resulting From Pelvic Fractures A Primer For Diagnostic Radiologists Radiographics
pubs.rsna.org

Https Www Jvir Org Article S1051 0443 09 00009 8 Pdf

Corona Mortis Radiology Reference Article Radiopaedia Org
radiopaedia.org

Life Saving Embolizations
www.slideshare.net

Emergency Computed Tomography For Acute Pelvic Trauma Where Is The Bleeder Sciencedirect
www.sciencedirect.com

Https Encrypted Tbn0 Gstatic Com Images Q Tbn 3aand9gcqayiiad3b8orre6ui2co1uqnn4fi8ee2wvzapyswbpcj2pmicz Usqp Cau
encrypted-tbn0.gstatic.com

Corona Mortis Radiology Case Radiopaedia Org
radiopaedia.org

Https Www Acr Org Media Acr Files Dxit Txit Acr 2020 Dxit Exam Set Pdf

Special Screws And Views Musculoskeletal Key
musculoskeletalkey.com

Https Www Edusymp Com Esi Ucsdpg16 4 Thursday Ucsdpg16 Syllabus Pdf

Pelvic Trauma And Vascular Emergencies Sciencedirect
www.sciencedirect.com

Late Presentation Of Bleeding From A Traumatic Obturator Artery Aneurysm Successfully Treated By Endovascular Means Sciencedirect
www.sciencedirect.com

Acetabular Fractures Trauma Orthobullets
www.orthobullets.com

Https Www Techvir Com Article S1089 2516 18 30047 7 Pdf

Https Pdfs Semanticscholar Org 42d2 Aa0de42fb37595a55b3069f49a6a188fb830 Pdf

Cureus Penetrating Obturator Artery Injury After Gunshot Wounds A Successful Multidisciplinary Trauma Team Approach To A Potentially Lethal Injury
www.cureus.com

31 Acetabular Fractures Musculoskeletal Key
musculoskeletalkey.com

Ani Mirakhur On Twitter Prostate Artery Embolization Via Corona Mortis Aberrant Obturator On The Left Bph Notjusttrauma Withoutascalpel Miips Sirrfs Https T Co Ewtlpdvjmz
twitter.com

The Corona Mortis Dissection And Ligation Of The Corona Mortis Is Download Scientific Diagram
www.researchgate.net

Https Ota Org Sites Files 2019 02 V04 Perdue Radiographic Pdf

Surgical Anatomy Of Acetabulum And Biomechanics Intechopen
www.intechopen.com

Https Ota Org Sites Files 2018 08 V07 Surgical 20approaches 20to 20the 20pelvis Pdf

Https Www Acr Org Media Acr Files Dxit Txit Acr 2020 Dxit Exam Set Pdf

Optimizing The Anatomic Reduction Of Complex Acetabular Fractures A Technical Enhancement To The Modified Stoppa Approach
clinmedjournals.org

Cystic Duct Radiology Reference Article Radiopaedia Org
radiopaedia.org

Acetabular Fractures Trauma Orthobullets
www.orthobullets.com

Https Www Edusymp Com Esi Ucsdpg16 4 Thursday Ucsdpg16 Syllabus Pdf

Https Encrypted Tbn0 Gstatic Com Images Q Tbn 3aand9gctyhzt2wciiwhlif2zhsymztcllpyd0abcpc1jvwy9h5kv Pqmu Usqp Cau
encrypted-tbn0.gstatic.com

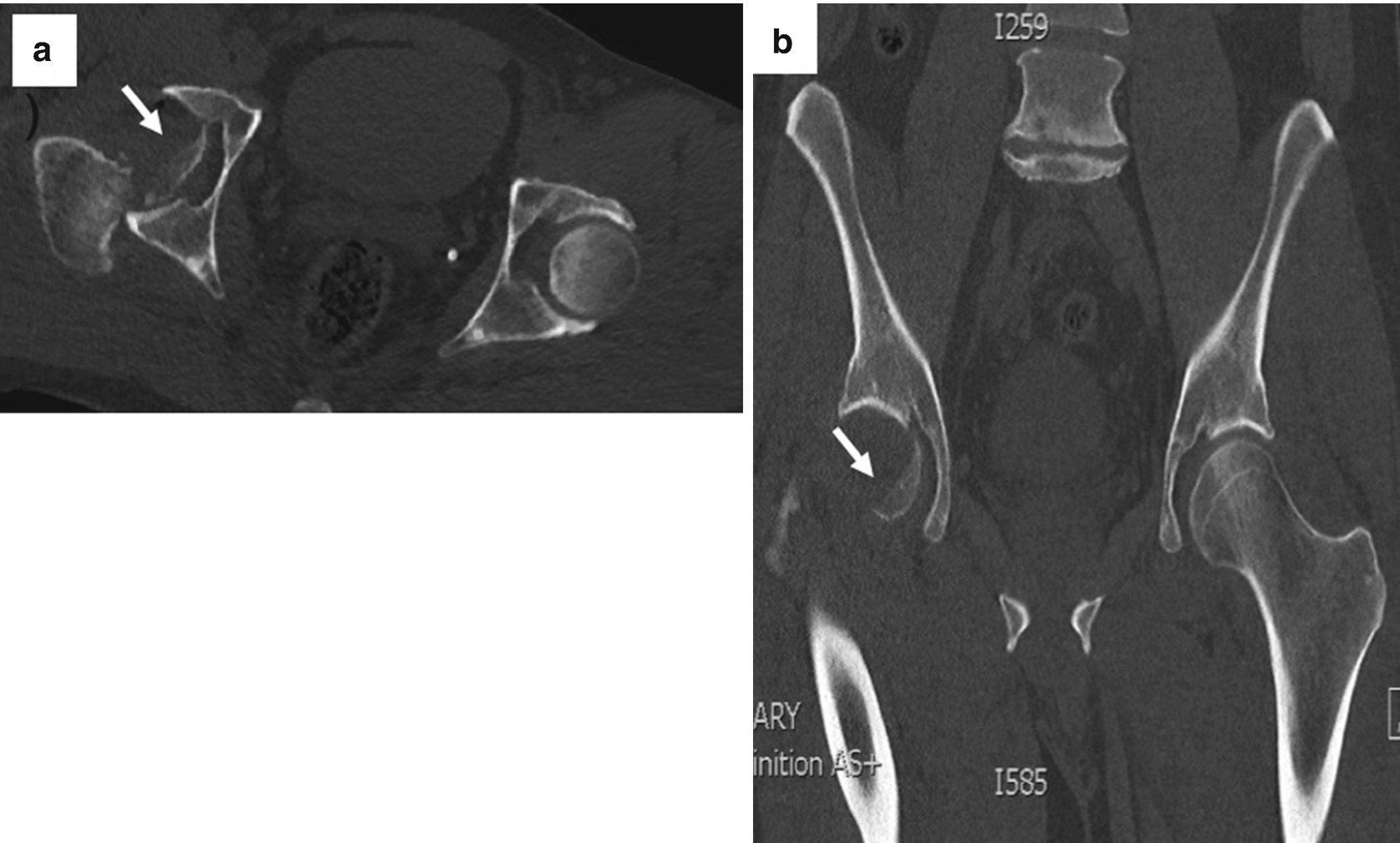
Http Www Polradiol Com Journal 126 Pdf 34720 10 Filename Corona 20mortis 20variant 20 20perandini Pdf

Giant Cell Tumour Of The Pelvis Radiology Case Radiopaedia Org
radiopaedia.org

Pelvic Ring Fractures Trauma Orthobullets
www.orthobullets.com

Obturator Artery Everything You Need To Know Dr Nabil Ebraheim Youtube
www.youtube.com

Pelvic Arterial Hemorrhage In Patients With Pelvic Fractures Detection With Contrast Enhanced Ct Radiographics
pubs.rsna.org

Acetabulum Anterior Wall And Anterior Column Fractures Springerlink
link.springer.com

General Principles Spine And Pelvis Chapter 26 Postgraduate Orthopaedics
www.cambridge.org

A D This Patient Was Admitted In Preshock After A Blunt Impact In The Download Scientific Diagram
www.researchgate.net

Pelvic Ring Fractures Trauma Orthobullets
www.orthobullets.com

Https Www Acr Org Media Acr Files Dxit Txit Acr 2020 Dxit Exam Set Pdf

2

Https Www Ajronline Org Doi Pdfplus 10 2214 Ajr 13 11687

Prospective Diagnosis Of Corona Mortis Hemorrhage In Pelvic Trauma Sg Trauma
singaporetrauma.com

Accessory Renal Artery Radiology Reference Article Radiopaedia Org
radiopaedia.org

Paraumbilical Veins Radiology Reference Article Radiopaedia Org
radiopaedia.org

Injury Of The Corona Mortis During Vaginal Tape Insertion Tvt Secur Using The U Approach Semantic Scholar
www.semanticscholar.org

Life Saving Embolizations
www.slideshare.net

Incomplete Closure Of Ischiopubic Synchondrosis Radiology Case Radiopaedia Org
radiopaedia.org

Massive Retropubic Hematoma After Minimal Invasive Mid Urethral Sling Procedure In A Patient With A Corona Mortis Rehder P Glodny B Pichler R Mitterberger Mj Indian J Urol
www.indianjurol.com

Https Encrypted Tbn0 Gstatic Com Images Q Tbn 3aand9gcrqofwzb7ctydmskdcqvgiksux3bbtdzdrg1dthnufxfqm2ftt Usqp Cau
encrypted-tbn0.gstatic.com

Http Www Aamj Eg Net Journals Pdf 2444 Pdf

Corona Mortis Everything You Need To Know Dr Nabil Ebraheim Youtube
www.youtube.com

Anatomy Pelvis At University Of Kansas Medical Center Studyblue
www.studyblue.com

Atraumatic Groin Pain Secondary To An Aneurysmal Bone Cyst A Case Report And Literature Review
www.wjgnet.com

Acetabular Fractures Trauma Orthobullets
www.orthobullets.com

Gale Onefile Health And Medicine Document Importance Of Both Internal And External Iliac Artery Interrogation In Pelvic Trauma As Evidenced By Hemorrhage From Bilateral Corona Mortis With Unilateral Aberrant Origin
go.gale.com

Acetabulum Two Column Fractures Springerlink
link.springer.com

close