Covid19

Corona Olan Akciger Filmi

Https Www Turkrad Org Tr Assets Pdfdocs Covid 19 Radyolojik Bulgular 30 3 2020 Pdf

Covid 19 Un Akcigerlere Verdigi Zarari Gosteren Rontgen Ve Tomografi Goruntuleri Euronews
tr.euronews.com

Son Dakika Haberi Korkunc Gercegi Corona Virusu Nden Olen Hastanin Rontgeni Ortaya Cikardi Dunyadan Haberler 9 50
www.hurriyet.com.tr

Https Www Turkrad Org Tr Assets Pdfdocs Covid 19 Radyolojik Bulgular 30 3 2020 Pdf

Koronavirus Covid 19 Un Insan Vucudu Uzerindeki Etkileri Neler Bbc News Turkce
www.bbc.com

Koronavirus Hakkinda Her Sey Prof Dr Ozgur Karcioglu Yanitladi
indigodergisi.com

Bir Saglik Rehberi Yeni Tip Coronavirus Covid 19 Hakkinda Her Sey Turizm Gunlugu
www.turizmgunlugu.com

Annesini Hastaneye Goturdu Corona Virusu Bulastigi Ortaya Cikti Saglik Son Dakika Haberler
www.sozcu.com.tr

Coronavirusun Akcigerde Nasil Yayildigi Goruntulendi
www.yenicaggazetesi.com.tr

Koronavirus Covid 19 Un Insan Vucudu Uzerindeki Etkileri Neler Bbc News Turkce
www.bbc.com

Koronavirus Un Akciger Uzerindeki Korkunc Etkisi Son Dakika Haberler Milliyet
www.milliyet.com.tr

Koronavirus Teshisinde Yeni Umut Akciger Rontgeni Ile Virus Tespiti Yapabilen Yapay Zeka Gelistirildi Ekonomi
www.haberler.com

Dikkat Ceken Arastirma Corona Virusu Bulasan Cocuklar Incelendi Ve Son Dakika Guncel Haberler
www.hurriyet.com.tr

Koronavirus Un Akciger Uzerindeki Korkunc Etkisi Son Dakika Haberler Milliyet
www.milliyet.com.tr

Http Www Atuder Org Tr Fileout Aspx Url 9uylqq4s8qmqmdwjle6c

Prof Dr Ahmet Akgul Covid 19 Ve Kalp Yetmezligi
www.ahmetakgul.com.tr

Https Covid19 Tubitak Gov Tr Sites Default Files Docs 2020 03 Covid 19 Raporu Ozge Findik Sener Pdf

Corona Virusu Kendi Kucuk Ama Tahribati Buyuk Hisar Intercontinental Hospital
hisarhospital.com

Guvenli Web Koronavirus Covid 19 Salgini Ve Koronafobi Etkisi
www.guvenliweb.org.tr

44 Yasinda Corona Virusten Hayatini Kaybeden Kisinin Akciger Rontgen Filmleri Virusun Verdigi Zarari Ortaya Cikardi Saglik Haberleri Ntv
www.ntv.com.tr

Rontgen Filmleri Ilk Kez Yayinlandi Korkunc Koronavirus Bu Hale Getiriyor Dunya Haberleri
www.haber7.com

44 Yasinda Corona Virusten Hayatini Kaybeden Kisinin Akciger Rontgen Filmleri Virusun Verdigi Zarari Ortaya Cikardi Saglik Haberleri Ntv
www.ntv.com.tr

Koronavirus Karacigeri De Vuruyor Mu Haberler Hastanelerimiz Medipol Saglik Grubu
www.medipol.com.tr

Corona Virus Bulunan Akcigerin 3d Goruntusu Yayinlandi Son Dakika Haberleri
www.hurriyet.com.tr

Guvenli Web Koronavirus Covid 19 Salgini Ve Koronafobi Etkisi
www.guvenliweb.org.tr

Koronavirus Teshisinde Yeni Umut Akciger Rontgeni Ile Virus Tespiti Yapabilen Yapay Zeka Gelistirildi Ekonomi
www.haberler.com

Bu Corona Virusu Belirtilerini Tasiyanlar Dikkat Corona Virusu Belirtileri Ve Tedavi Yontemleri Ile Ilgili Son Dakika Haberi Geldi En Son Haber
www.sabah.com.tr

Tc Abarti Timi On Twitter Korona Hastasi Olan 28 Yasinda Bir Hastanin 12 Ile 15 Gun Rontgen Fotografiymis Siyah Alan Akciger Beyaz Alan Zaturre 3 Gun Icinde Yok Etmis Resmen Korkunc Https T Co Dzvqfynnli
twitter.com

Hacettepe Teknokent On Twitter Firmalarimizdan Mantiscope Covid19 Zature Normal Bireyleri Ayirt Etmek Ve On Tanida Hekimlere Yardimci Olmak Amaciyla Bulut Tabanli Yapay Zeka Destekli Akciger Grafisi Yorumlama Araci Mantiscovid I Gelistrdi Akciger
twitter.com

Coronavirus Belirtileri Neler Iste Koronavirus Un Akcigere Etkisi Saglik Haberleri Saglik Haberleri
www.haberturk.com

Koronavirus Sadece Akcigerlerde Hasar Birakmiyor Saglik Haberleri
www.cnnturk.com

Covid 19 Hastaligi Suphesi Olan Herkese Radyolojik Tetkik Yapilmali Mi Uzmanlar Yanitladi Euronews
tr.euronews.com

Son Dakika Haberi Korkunc Gercegi Corona Virusu Nden Olen Hastanin Rontgeni Ortaya Cikardi En Son Haberler
www.hurriyet.com.tr

Akciger Kisti Kist Hidatik Belirtileri Ve Tedavisi Saglik Haberleri
www.sabah.com.tr

Coronavirus Belirtileri Neler Iste Koronavirus Un Akcigere Etkisi Saglik Haberleri Saglik Haberleri
www.haberturk.com

Https Www Turkrad Org Tr Assets Pdfdocs Covid 19 Radyolojik Bulgular 30 3 2020 Pdf

44 Yasinda Corona Virusten Hayatini Kaybeden Kisinin Akciger Rontgen Filmleri Virusun Verdigi Zarari Ortaya Cikardi Saglik Haberleri Ntv
www.ntv.com.tr

Korona Gunlukleri Kovid 19 Hastasi Doktor Belirtileri Gun Gun Paylasiyor Independent Turkce
www.indyturk.com

Koronavirusun Akcigerdeki Agir Tahribati Tomografi Goruntulerine Yansidi
www.trthaber.com

Coronavirus Belirtileri Neler Iste Koronavirus Un Akcigere Etkisi Saglik Haberleri Saglik Haberleri
www.haberturk.com

Https Covid19 Tubitak Gov Tr Sites Default Files Docs 2020 03 Covid 19 Raporu Ozge Findik Sener Pdf

Dikkat Ceken Arastirma Corona Virusu Bulasan Cocuklar Incelendi Ve Son Dakika Guncel Haberler
www.hurriyet.com.tr

Corona Virusunun Akcigerlere Zarari Gosteren Tomografi Filmi
www.webtekno.com

Https Dergipark Org Tr Tr Download Article File 990396

Corona Virus Solunum Egzersizleri Akciger Guclendirme Youtube 2020 Egzersiz Egzersiz Motivasyon Saglik Ipuclari
www.pinterest.com

Son Dakika Haberi Korkunc Gercegi Corona Virusu Nden Olen Hastanin Rontgeni Ortaya Cikardi En Son Haberler
www.hurriyet.com.tr

Koronavirus Un Akciger Uzerindeki Korkunc Etkisi Son Dakika Haberler Milliyet
www.milliyet.com.tr

3 Kez Test Sonucu Negatif Cikan Hastane Calisani Korona Yogun Bogaz Ve Sirt Agrisiyla Geldi
www.birgun.net

Https Www Turkrad Org Tr Assets Pdfdocs Covid 19 Radyolojik Bulgular 30 3 2020 Pdf

Yeni Yapay Zeka Akciger Rontgeninden Corona Tespiti Yapabilecek Teknoon
tekno10.com

Corona Olum Virusu 2019 Ncov Roportaj Prof Dr Ozgur Karcioglu
indigodergisi.com

Rus Turistlerin Turkiye Deki Koronavirus Testleri Ucretsiz Yapilacak
www.birgun.net

Tc Abarti Timi On Twitter Korona Hastasi Olan 28 Yasinda Bir Hastanin 12 Ile 15 Gun Rontgen Fotografiymis Siyah Alan Akciger Beyaz Alan Zaturre 3 Gun Icinde Yok Etmis Resmen Korkunc Https T Co Dzvqfynnli
twitter.com

Akciger Hastaliklari Koronavirusun Daha Ciddi Seyretmesine Neden Oluyor
www.aa.com.tr

Iste Akciger Kanserinin En Erken Belirtisi Saglik Haberleri
m.sabah.com.tr

Corona Korkusu Corona Korona Gerceginden Daha Buyuk Yeditepe Universitesi Hastanesi
www.yeditepehastanesi.com.tr

Covid 19 Iyilesme Halinde Dahi Hastalarin Akciger Fonksiyonu Dusuyor Yasam Dw 20 03 2020
www.dw.com

44 Yasinda Corona Virusten Hayatini Kaybeden Kisinin Akciger Rontgen Filmleri Virusun Verdigi Zarari Ortaya Cikardi Saglik Haberleri Ntv
www.ntv.com.tr

Coronavirusu Son Dakika Virus Bulasan Hastanin Rontgen Filmleri Ortaya Cikti Corona Virus Cigerleri Bu Hale Getiriyor Galeri Dunya
www.sabah.com.tr

2

Akciger Damar Hastaliklari Dernegi Nden Korona Virus Ve Ph
www.pahssc.org.tr

Koronavirusun Akcigerdeki Agir Tahribati Tomografi Goruntulerine Yansidi
www.trthaber.com

Koronavirus Un Akciger Uzerindeki Korkunc Etkisi Son Dakika Haberler Milliyet
www.milliyet.com.tr

Son Dakika Haberi Korkunc Gercegi Corona Virusu Nden Olen Hastanin Rontgeni Ortaya Cikardi En Son Haberler
www.hurriyet.com.tr

Koronavirus Covid 19 Un Insan Vucudu Uzerindeki Etkileri Neler Bbc News Turkce
www.bbc.com

Koronavirusun Akcigere Verdigi Zarar Goruntulendi
www.yenicaggazetesi.com.tr

Koronavirus Hakkinda Merak Ettiklerinizi Soruyoruz Haberler Saglik Haberleri
www.haberturk.com

Virus Teshisinde Tomografiye Dikkat Youtube
www.youtube.com

Son Dakika 30 Yillik Doktordan Corona Virus Aciklamasi Zaturreden Farki
www.milliyet.com.tr

Covid 19 Un Akcigerlere Verdigi Zarari Gosteren Rontgen Ve Tomografi Goruntuleri Euronews
tr.euronews.com

Covid 19 Iyilesme Halinde Dahi Hastalarin Akciger Fonksiyonu Dusuyor Yasam Dw 20 03 2020
www.dw.com

Akcigerin Yenilenmesi Ne Kadar Suruyor Saglik Haberleri
www.cnnturk.com

Online Corona Virusu Testi Nasil Yapilir Korona Virusu Testi Linki Son Dakika Haberleri Milliyet
www.milliyet.com.tr

Son Dakika Haberi Korkunc Gercegi Corona Virusu Nden Olen Hastanin Rontgeni Ortaya Cikardi En Son Haberler
www.hurriyet.com.tr

Genc Doktor Paylasti Ve Uyardi Iste Korona Virus Geciren Akciger Goruntusu
www.yenicaggazetesi.com.tr

Https Www Turkrad Org Tr Assets Pdfdocs Covid 19 Radyolojik Bulgular 30 3 2020 Pdf

Koronavirusun Akcigerdeki Agir Tahribati Hastalarin Tomografi Goruntulerine Yansidi
www.aa.com.tr

Covid 19 Tanisinda En Etkili Yontem Bilgisayarli Tomografi Bt
www.drozdogan.com

Coronavirus Belirtileri Neler Iste Koronavirus Un Akcigere Etkisi Saglik Haberleri Saglik Haberleri
www.haberturk.com

Https Dergipark Org Tr Tr Download Article File 990396

Coronavirus Akcigerlere Boyle Saldiriyor Youtube
www.youtube.com

Koronavirusu Yenen Doktor Virusun Ilerleme Hizi Korku Filmi Gibi
www.aa.com.tr

Corona Virusunun Akcigerlere Zarari Gosteren Rontgen Filmi 2020 Corona Cinli
www.pinterest.co.uk

Turk Arastirmacidan Rontgen Goruntusu Ile Covid 19 Pnomonisini Belirleyen Web Sayfasi
www.donanimhaber.com

Covid 19 Vikipedi
tr.wikipedia.org

Coronadan Kurtulan 28 Yasindaki Hekimden Onemli Uyari Saglik Son Dakika Haberler
www.sozcu.com.tr

Covid 19 Radyolojisi Prof Dr Fatih Alper Anlatiyor Youtube
www.youtube.com

Corona Korkusu Corona Korona Gerceginden Daha Buyuk Yeditepe Universitesi Hastanesi
www.yeditepehastanesi.com.tr

Bu Belirtileri Tasiyorsaniz Dikkat Iste Corona Virusu Belirtileri Ve Tedavi Yontemleri Guncel Haberler
www.sozcu.com.tr

Iste Akciger Kanserinin En Erken Belirtisi Saglik Haberleri
m.sabah.com.tr

Koronavirus Testi Yapan Hastaneler Koronavirus Testi Nerelerde Yapiliyor Corona Virus Testi Nasil Yapilir Saglik Haberleri
www.haberturk.com

Iste Koronavirusun Akcigerlerde Yol Actigi Hasar Dunyadan Haberler
www.cnnturk.com

Covid 19 Un Akcigerlere Verdigi Zarari Gosteren Rontgen Ve Tomografi Goruntuleri Euronews
tr.euronews.com

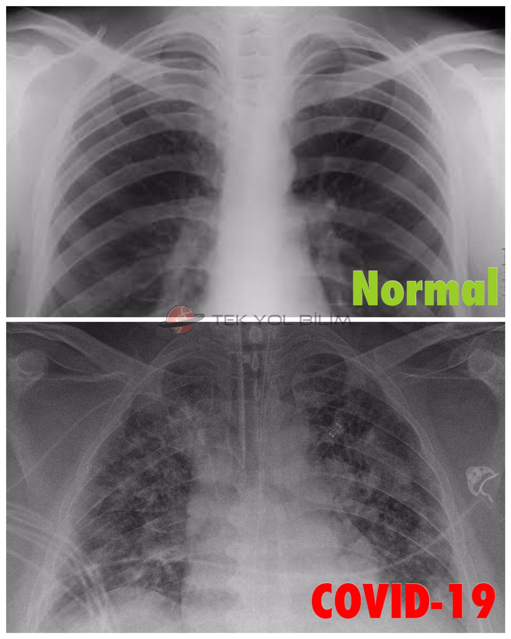
Tek Yol Bilim Platformu On Twitter Saglikli Bir Insanin Akciger Filmi Vs Covid 19 Hastasinin Akciger Filmi Yeni Tip Koronavirus Sarscov2 Akcigerlerin Oksijenlenmesini Engelleyerek Bu Hale Getiriyor Https T Co Suqtmx3i0e
twitter.com

Koronavirus Corona Virusu Nedir Yeditepe Universitesi Hastanesi
www.yeditepehastanesi.com.tr

Bu Belirtiler Varsa Dikkat Akciger Kanseri Isareti Olabilir Saglik Haberleri
www.cnnturk.com

Covid 19 Vikipedi
tr.wikipedia.org

44 Yasinda Corona Virusten Hayatini Kaybeden Kisinin Akciger Rontgen Filmleri Virusun Verdigi Zarari Ortaya Cikardi Saglik Haberleri Ntv
www.ntv.com.tr

Akciger Tomografisiyle Erken Teshis Covid E Bagli Olumleri Azaltti Saglik Son Dakika Haberler
www.sozcu.com.tr

Korona Virusu Bulasan Hastanin Soke Eden Rontgen Goruntuleri Youtube
www.youtube.com

close