Covid19

Corona Radiada Cerebro Tac

El Baul Radiologico 2 Edema Citotoxico En El Sistema Nervioso Central Citotoxic Edema In The Central Nervous System By Luis Mazas Artasona
www.elbaulradiologico.com

Https Www Medigraphic Com Pdfs Gaceta Gm 2018 Gm182q Pdf

El Baul Radiologico 2 Edema Citotoxico En El Sistema Nervioso Central Citotoxic Edema In The Central Nervous System By Luis Mazas Artasona
www.elbaulradiologico.com

Http Www Webcir Org Revistavirtual Articulos 2018 2 Mayo Esp Cerebro Esp Pdf

Corona Radiada Vernajoyce Blogs
vernajoycebk.blogspot.com

Corona Radiata Cerebro Wikipedia La Enciclopedia Libre
es.wikipedia.org

Tc Del Cerebro Y De La Cara Atlas Interactivo De Anatomia
www.imaios.com

Https Repository Urosario Edu Co Bitstream Handle 10336 4657 Jaramillojimenez Alejandro 2013 Pdf Sequence 6 Isallowed Y

Tc Del Cerebro Y De La Cara Atlas Interactivo De Anatomia
www.imaios.com

Https Repository Urosario Edu Co Bitstream Handle 10336 4657 Jaramillojimenez Alejandro 2013 Pdf Sequence 6 Isallowed Y

Evaluacion Vascular En El Codigo Ictus Papel De La Angio Tomografia Computarizada Sciencedirect
www.sciencedirect.com

Http Pdf Posterng Netkey At Download Index Php Module Get Pdf By Id Poster Id 123816

Tac Cerebral En La Que Se Aprecia Una Lesion Hipodensa De 7mm De Download Scientific Diagram
www.researchgate.net

Https Www Acnweb Org Guia G8cap9 Pdf

Http Www Webcir Org Revistavirtual Articulos 2018 2 Mayo Esp Cerebro Esp Pdf

Anatomia De Cabeza En Tomografia Computada
es.slideshare.net

Capsula Interna Wikipedia La Enciclopedia Libre
es.wikipedia.org

Corona Radiada Cerebro Vernajoyce Blogs
vernajoycebk.blogspot.com

Corona Radiada Cerebro Vernajoyce Blogs
vernajoycebk.blogspot.com

Manual De Diseccion Del Cerebro
fundacionannavazquez.wordpress.com

Edema Cerebral Difuso En Una Paciente Con Encefalopatia Vascular Por El Virus De La Varicela Zoster Una Complicacion Inesperada Neurologia
www.elsevier.es

Anatomia De Cabeza En Tomografia Computada
es.slideshare.net

Tratamiento De Los Tumores Cerebrales Intrinsecos De Areas Motoras Elocuentes Resultados De Un Protocolo Basado En La Navegacion Tractografia Y Monitorizacion Neurofisiologica De Estructuras Corticales Y Subcorticales
scielo.isciii.es

Primary Vasculitis Of The Central Nervous System A Diagnostic Challenge Case Report
www.scielo.org.co

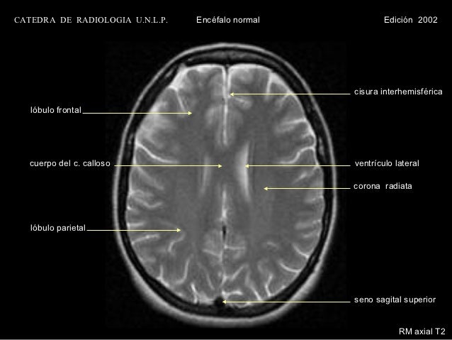
Navegador Atlas Del Cerebro Por Imagen De Resonancia Magnetica Radiologia Club
radiologiaclub.com

Corona Radiada Cerebro Tac Vernajoyce Blogs
vernajoycebk.blogspot.com

Tc Anatomia Axial De Cabeza Unmsm
es.slideshare.net

Http Www Apelizalde Org Actividades Marzo 2017 20cem 204 Pdf

Tc Del Cerebro Y De La Cara Atlas Interactivo De Anatomia
www.imaios.com

Corona Radiada Cerebro Vernajoyce Blogs
vernajoycebk.blogspot.com

Https Repository Urosario Edu Co Bitstream Handle 10336 4657 Jaramillojimenez Alejandro 2013 Pdf Sequence 6 Isallowed Y

Https Repository Urosario Edu Co Bitstream Handle 10336 4657 Jaramillojimenez Alejandro 2013 Pdf Sequence 6 Isallowed Y

Enfermedad Cerebrovascular De Pequeno Vaso Sciencedirect
www.sciencedirect.com

Corona Radiada Vernajoyce Blogs
vernajoycebk.blogspot.com

Imagenes Del Cerebro
webspace.ship.edu

Pdf Relapsing Encephalo Polychondritis Reports Of Two Cases
www.researchgate.net

Corona Radiada Izquierda
vernajoycebk.blogspot.com

Cerebro Atlas De Anatomia Humana Con Irm
www.imaios.com

Encefalo Con Referencias
es.slideshare.net

Https Www Acnweb Org Guia G8cap9 Pdf

Https Encrypted Tbn0 Gstatic Com Images Q Tbn 3aand9gctnjfcquidfmvl7ko Uwkuj4fbfbncnhikwanrcpqj A5mdcyse Usqp Cau
encrypted-tbn0.gstatic.com

Https Encrypted Tbn0 Gstatic Com Images Q Tbn 3aand9gcqis3pczcunjiltzld4ab8w7l Hcyksl Baxp6qvsgfwkachs9 Usqp Cau
encrypted-tbn0.gstatic.com

Http Pdf Posterng Netkey At Download Index Php Module Get Pdf By Id Poster Id 123816

Https Repository Urosario Edu Co Bitstream Handle 10336 4657 Jaramillojimenez Alejandro 2013 Pdf Sequence 6 Isallowed Y

Leucoaraiosis Aspectos Fisiopatologicos Y Diagnostico Por Imagen
scielo.sld.cu

Estudio Y Seguimiento Del Nodulo Pulmonar Solitario Detectado Por Rx Y Tc Centro De Diagnostico Por Imagenes Linda Vista
centrodediagnosticoporimageneslv.com

Cerebro Atlas De Anatomia Humana Con Irm
www.imaios.com

Tecnicas De Neuroimagen Indicaciones Y Principales Resultados Sciencedirect
www.sciencedirect.com

Infarto Cerebral De Tipo Lacunar Ecured
www.ecured.cu

Enfoque Clinico De Diagnostico Y Tratamiento De Los Infartos Lacunares
siicsalud.com

Tc Del Cerebro Y De La Cara Atlas Interactivo De Anatomia
www.imaios.com

Tac Cerebral En La Que Se Aprecia Una Lesion Hipodensa De 7mm De Download Scientific Diagram
www.researchgate.net

Corona Radiada Tc
vernajoycebk.blogspot.com

Pin De Lina Medina En Brain En 2020 Radiologia Neurologia Imagenologia
www.pinterest.com

Cerebro Normal Y Patologias Vasculares
www.slideshare.net

Corona Radiata Caracteristicas Y Funciones De Esta Parte Del Cerebro
psicologiaymente.com

Corona Radiada Cerebro Tac Vernajoyce Blogs
vernajoycebk.blogspot.com

Tecnicas De Neuroimagen Indicaciones Y Principales Resultados Sciencedirect
www.sciencedirect.com

Computed Tomography Ct Brain Old Lacunar Foto De Stock Editar Ahora 594606647
www.shutterstock.com

Navegador Atlas Del Cerebro Por Imagen De Resonancia Magnetica Radiologia Club
radiologiaclub.com

Http Www Webcir Org Revistavirtual Articulos 2018 2 Mayo Esp Cerebro Esp Pdf

Lectura Sistematica Del Tc De Craneo
es.slideshare.net

Tc Del Cerebro Y De La Cara Atlas Interactivo De Anatomia
www.imaios.com

Tecnicas De Neuroimagen Indicaciones Y Principales Resultados Sciencedirect
www.sciencedirect.com

Tac Cerebral
www.slideshare.net

Sindrome De Fahr Secundario A Hiperparatiroidismo Primario E Isquemia Cerebral A Proposito De Un Caso
scielo.senescyt.gob.ec

Talamico Fotos E Imagenes De Stock Alamy
www.alamy.es

Cerebro Configuracion Interna
es.slideshare.net

Computed Tomography Ct Brain Old Lacunar Foto De Stock Editar Ahora 594606647
www.shutterstock.com

Corona Radiada Cerebro Tac Vernajoyce Blogs
vernajoycebk.blogspot.com

El Baul Radiologico Page 8 Chan 14782054 Rssing Com
bunceton28.rssing.com

Anatomia De Seccion Transversal Del Cerebro
www.imaios.com

N34ori1
www.cocmed.sld.cu

Tc Del Cerebro Y De La Cara Atlas Interactivo De Anatomia
www.imaios.com

Caracteristicas Tomograficas En Un Paciente Con Sindrome De Fahr A Proposito De Un Caso
www.scielo.org.bo

N34ori1
www.cocmed.sld.cu

El Baul Radiologico Latest Snapshot Chan 14782054 Rssing Com
bunceton28.rssing.com

January February Ppt Video Online Descargar
slideplayer.es

Lectura Sistematica Del Tc De Craneo
es.slideshare.net

El Baul Radiologico 2 Edema Citotoxico En El Sistema Nervioso Central Citotoxic Edema In The Central Nervous System By Luis Mazas Artasona
www.elbaulradiologico.com

Http Www Webcir Org Revistavirtual Articulos 2018 2 Mayo Esp Cerebro Esp Pdf

Https Encrypted Tbn0 Gstatic Com Images Q Tbn 3aand9gcsxqm7 Q3b9ledppkbmd9w7sjkpsn9epqzzrgzukqmwneqy3nzs Usqp Cau
encrypted-tbn0.gstatic.com

Esta Relacionado El Fogging Effect Con La Recanalizacion Futil Neurologia
www.elsevier.es

Http Www Webcir Org Revistavirtual Articulos 2018 2 Mayo Esp Cerebro Esp Pdf

Encefalo Con Referencias
es.slideshare.net

Tc Del Cerebro Y De La Cara Atlas Interactivo De Anatomia
www.imaios.com

Calcificaciones Cerebrales En Hipoparatiroidismo Idiopatico Cronico
scielo.isciii.es

Https Encrypted Tbn0 Gstatic Com Images Q Tbn 3aand9gctu7tm1co2a5fm8uwe8e Batjemzbjlksh 8lubfqva8sukdmnh Usqp Cau
encrypted-tbn0.gstatic.com

Imagenes Del Cerebro
webspace.ship.edu

Leucoaraiosis Wikipedia La Enciclopedia Libre
es.wikipedia.org

Https Www Redalyc Org Pdf 1800 180014083008 Pdf

Neuroradiologia Introduccion Pdf Free Download
docplayer.es

Tc Anatomia Axial De Cabeza Unmsm
es.slideshare.net

Infarto Lacunar Sintomas Causas Tratamientos Lifeder
www.lifeder.com

Infarto Lacunar Sintomas Causas Tratamientos Lifeder
www.lifeder.com

Corona Radiada Cerebro Tac
vernajoycebk.blogspot.com

Http Www Webcir Org Revistavirtual Articulos 2018 2 Mayo Esp Cerebro Esp Pdf

Corona Radiada Cerebro Tac Vernajoyce Blogs
vernajoycebk.blogspot.com

Calcificaciones Cerebrales Y Edema Perilesional
www.scielo.org.pe

Anatomia De Cabeza En Tomografia Computada
es.slideshare.net

Neuroanatomia Funcional De La Escala De Coma De Glasgow Revista Argentina De Neurocirugia
aanc.org.ar

Http Pdf Posterng Netkey At Download Index Php Module Get Pdf By Id Poster Id 123816

Http Www Webcir Org Revistavirtual Articulos 2018 2 Mayo Esp Cerebro Esp Pdf

El Baul Radiologico 2 Edema Citotoxico En El Sistema Nervioso Central Citotoxic Edema In The Central Nervous System By Luis Mazas Artasona
www.elbaulradiologico.com

close