Covid19

Corona Radiada Y Centro Semioval

Https Www Webcir Org Revistavirtual Articulos Noviembre14 Espana Radiologia Puntiformes Esp Pdf

Https Www Webcir Org Revistavirtual Articulos Noviembre14 Espana Radiologia Puntiformes Esp Pdf

Http Www Radiologiavirtual Org Aula Ge Difusion Esp Pdf

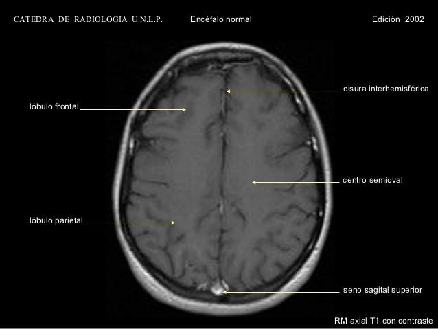
Encefalo Con Referencias
es.slideshare.net

Https Www Piper Espacio Seram Com Index Php Seram Article Download 1889 950

Http Pdf Posterng Netkey At Download Index Php Module Get Pdf By Id Poster Id 123816

Encefalo Con Referencias
es.slideshare.net

Imagen En Secuencia T2 Flair En Plano Axial Que Muestra Una Lesion Download Scientific Diagram
www.researchgate.net

Https Www Acnweb Org Guia G8cap9 Pdf

Anatomia De Cabeza En Tomografia Computada
es.slideshare.net

Leucoaraiosis Aspectos Fisiopatologicos Y Diagnostico Por Imagen
scielo.sld.cu

Tac Cerebral
www.slideshare.net

Leucomalacia
www.scribd.com

Leucoaraiosis Wikipedia La Enciclopedia Libre
es.wikipedia.org

B Garcia Granda L Salazar Garcia J Ppt Video Online Descargar
slideplayer.es

Resonancia Magnetica Cerebral En Dano Axonal Difuso
scielo.conicyt.cl

Http Congreso Sordic Org Ar Uploads 2017 Poster 2017 458 Pc Snc Pdf

Caso 1 24 Anos Sin Ap De Interes Ppt Descargar
slideplayer.es

About Centrum Semiovale
dbpedia.org

Enfermedad Cerebrovascular De Pequeno Vaso Sciencedirect
www.sciencedirect.com

Vasculitis Primaria Del Sistema Nervioso Central Diagnostico Diferencial De Demencia Subaguda Caso Clinico
scielo.conicyt.cl

Http Pdf Posterng Netkey At Download Index Php Module Get Pdf By Id Poster Id 123816

Anatomia Humana Descriptiva Topografica Y Funcional Rouviere D 30
www.passeidireto.com

Capsula Interna Wikipedia La Enciclopedia Libre
es.wikipedia.org

Disartria Y Disfagia Aisladas Como Forma De Presentacion De Un Ictus Isquemico Agudo Lacunar Bilateral Y Simultaneo Neurologia Com
neurologia.com

Corona Radiata Cerebro Wikipedia La Enciclopedia Libre
es.wikipedia.org

Lectura Sistematica Del Tc De Craneo
es.slideshare.net

Corona Radiata Wikipedia
en.wikipedia.org

2

Https Encrypted Tbn0 Gstatic Com Images Q Tbn 3aand9gctnycvtc1jflco93q2n88kzxpdfecweso2c E0jbigyntfo Zcm Usqp Cau
encrypted-tbn0.gstatic.com

Anatomia De Cabeza En Tomografia Computada
es.slideshare.net

Encefalo Con Referencias
es.slideshare.net

Accidente Cerebrovascular Como Manifestacion Inicial De Arteritis De Takayasu Y Revision De Casos En Argentina Neurologia Argentina
www.elsevier.es

El Baul Radiologico Latest Snapshot Chan 14782054 Rssing Com
bunceton28.rssing.com

Anatomia De La Sustancia Blanca Mediante Tractografia Por Tensor De Difusion Sciencedirect
www.sciencedirect.com

Http Pdf Posterng Netkey At Download Index Php Module Get Pdf By Id Poster Id 123912

Encefalomielitis Aguda Diseminada Analisis Epidemiologico Clinico Analitico Y Evolutivo En 16 Pacientes Anales De Pediatria English Edition
www.analesdepediatria.org

Https Www Webcir Org Revistavirtual Articulos Noviembre14 Espana Radiologia Puntiformes Esp Pdf

Http Pdf Posterng Netkey At Download Index Php Module Get Pdf By Id Poster Id 123912

Hallazgos Neurorradiologicos En Una Serie De Pacientes Con Mucopolisacaridosis Neurologia
www.elsevier.es

Radiada
www.imaios.com

Adult Onset Methylenetetrahydrofolate Reductase Deficiency Bmj Case Reports
casereports.bmj.com

Resonancia Magnetica Cerebral En Dano Axonal Difuso
scielo.conicyt.cl

Http Pdf Posterng Netkey At Download Index Php Module Get Pdf By Id Poster Id 111463

Http Pdf Posterng Netkey At Download Index Php Module Get Pdf By Id Poster Id 123912

Anatomia De La Sustancia Blanca Mediante Tractografia Por Tensor De Difusion Sciencedirect
www.sciencedirect.com

Corona Radiata Caracteristicas Y Funciones De Esta Parte Del Cerebro
psicologiaymente.com

Rm Craneal 44 Axon
www.yumpu.com

Reuniones Interhospitalarias De Radiologia Ppt Descargar
slideplayer.es

2

Https Www Sciencedirect Com Science Article Pii S0033833803778412 Pdf Md5 D91433ee014ccbe7cbaaca336c424c7c Pid 1 S2 0 S0033833803778412 Main Pdf Valck 1

Https Www Studocu Com Es Document Fundacion Universitaria San Martin Anatomia Humana Resumenes Nucleos Basales Resumen Anatomia Humana 6282112 View

Asociacion Entre La Mutacion Homocigota C 318a T En El Exon 2 Del Gen Eif2b5 Y La Forma Infantil De La Leucoencefalopatia Con Sustancia Blanca Evanescente Sciencedirect
www.sciencedirect.com

Http Www Elsevier Es Index Php P Revista Prevista Pdf Simple Pii S0033833811003614 R 10

Leucoaraiosis Wikipedia La Enciclopedia Libre
es.wikipedia.org

Resonancia Magnetica Cerebral En Dano Axonal Difuso
scielo.conicyt.cl

Sd Lacunar Pdf Document
fdocumentos.com

January February Ppt Video Online Descargar
slideplayer.es

Http Pdf Posterng Netkey At Download Index Php Module Get Pdf By Id Poster Id 123912

Encefalomielitis Aguda Diseminada Leucoencefalitis Aguda Hemorragica Otras Enfermedades Desmielinizantes Sciencedirect
www.sciencedirect.com

A Magnetic Resonance Imaging Axial Flair Sequence Showing Download Scientific Diagram
www.researchgate.net

Http Pdf Posterng Netkey At Download Index Php Module Get Pdf By Id Poster Id 123816

Http Pdf Posterng Netkey At Download Index Php Module Get Pdf By Id Poster Id 123816

Encefalomielitis Aguda Diseminada Analisis Epidemiologico Clinico Analitico Y Evolutivo En 16 Pacientes Anales De Pediatria English Edition
www.analesdepediatria.org

Fisura Transversa Del Cerebro Configuracion Interna De Los Hemiferio
www.slideshare.net

Hiperintensidad De Senal En La Sustancia Blanca Periventricular Download Scientific Diagram
www.researchgate.net

Encefalomielitis Aguda Diseminada Analisis Epidemiologico Clinico Analitico Y Evolutivo En 16 Pacientes Anales De Pediatria English Edition
www.analesdepediatria.org

Https Www Webcir Org Revistavirtual Articulos Noviembre14 Espana Radiologia Puntiformes Esp Pdf

Ppt Caso 1 Powerpoint Presentation Free Download Id 5679251
www.slideserve.com

Centrum Semiovale Wikipedia
en.wikipedia.org

Https Www Piper Espacio Seram Com Index Php Seram Article Download 1889 950

Resonancia Magnetica Cerebral En Dano Axonal Difuso
scielo.conicyt.cl

Http Www Radiologiavirtual Org Aula Ge Difusion Esp Pdf

Ppt Utilidad De La Rm En El Estudio De La Patologia Del Haz Cortico Espinal Powerpoint Presentation Id 1370424
www.slideserve.com

Https Www Webcir Org Revistavirtual Articulos Noviembre14 Espana Radiologia Puntiformes Esp Pdf

Anomalias Cuerpo Calloso Ppt Video Online Descargar
slideplayer.es

Https Encrypted Tbn0 Gstatic Com Images Q Tbn 3aand9gcqgt1c3bvhlapv B3scw1lo2yxaop1gwtybujdogkjvnlgtsfgj Usqp Cau
encrypted-tbn0.gstatic.com

Infarto Cerebral De Tipo Lacunar Ecured
www.ecured.cu

Leucoencefalopatia Aguda Inducida Por Metotrexato Hallazgos Por Resonancia Magnetica Revista Argentina De Radiologia
www.elsevier.es

Https Www Webcir Org Revistavirtual Articulos Noviembre14 Espana Radiologia Puntiformes Esp Pdf

Minima Cavidad Porencefalica Ppt Video Online Descargar
slideplayer.es

Http Www Elsevier Es Index Php P Revista Prevista Pdf Simple Pii S0033833811003614 R 10

Espacios Perivasculares Dilatados En La Corona Radiata A El Centro Semioval B Y La Region Mesencefalic Liquido Cefalorraquideo Sustancia Blanca Radiologia
ar.pinterest.com

An Mri Study Of The Anatomy Of The Brain Basal Nuclei Eurorad
www.eurorad.org

Lectura Sistematica Del Tc De Craneo
es.slideshare.net

Http Pdf Posterng Netkey At Download Index Php Module Get Pdf By Id Poster Id 123912

Https Www Webcir Org Revistavirtual Articulos Noviembre14 Espana Radiologia Puntiformes Esp Pdf

Anatomia De Cabeza En Tomografia Computada
es.slideshare.net

Telencephalon Clase De Anatomia
www.auladeanatomia.com

Enfermedad Cerebrovascular De Pequeno Vaso Sciencedirect
www.sciencedirect.com

Anatomia De La Sustancia Blanca Mediante Tractografia Por Tensor De Difusion Sciencedirect
www.sciencedirect.com

2

Http Pdf Posterng Netkey At Download Index Php Module Get Pdf By Id Poster Id 123816

Https Piper Espacio Seram Com Index Php Seram Article Download 2076 1036

Https Encrypted Tbn0 Gstatic Com Images Q Tbn 3aand9gcqwknc6yeda5 Krdvtqreuyqcha3onqnscepsoijdqqazyljbvg Usqp Cau
encrypted-tbn0.gstatic.com

Http Pdf Posterng Netkey At Download Index Php Module Get Pdf By Id Poster Id 123816

Resonancia Magnetica Cerebral En Dano Axonal Difuso
scielo.conicyt.cl

Https Www Acnweb Org Guia G8cap9 Pdf

Asociacion Entre La Mutacion Homocigota C 318a T En El Exon 2 Del Gen Eif2b5 Y La Forma Infantil De La Leucoencefalopatia Con Sustancia Blanca Evanescente Sciencedirect
www.sciencedirect.com

Https Encrypted Tbn0 Gstatic Com Images Q Tbn 3aand9gcq8rvreubatsw4t9gryriboe2hvzcqb2vvdpbygu8fuxtjjr97l Usqp Cau
encrypted-tbn0.gstatic.com

Corona Radiata Wikipedia
en.wikipedia.org

A Magnetic Resonance Imaging Axial Flair Sequence Showing Download Scientific Diagram
www.researchgate.net

Seram 2008
seram2008.seram.es

Capsula Interna Wikipedia La Enciclopedia Libre
es.wikipedia.org

close