Covid19

Corona Radiata Axial Mri

Structure Of Corona Radiata And Tapetum Fibers In Ventricular Surgery Sciencedirect
www.sciencedirect.com

Corona Radiata Brain Parts
brainparts.thecommonvein.net

Permanent Brain Mri Injury After Electrical Shock Eurorad
www.eurorad.org

Corona Radiata Brain Ct Anatomy Sarofudin Blog
sarofudin.blogspot.com

Brain Atlas Of Human Anatomy With Mri
www.imaios.com

White Matter Radiology Key
radiologykey.com

Imaging Of Dentate Nucleus Pathologies A Pictorial Essay Bhattacharya K Pendharkar H Gupta Ak Indian J Radiol Imaging
www.ijri.org

View Image
www.sjkdt.org

Brain White Matter Gray Matter Mri W Radiology
w-radiology.com

Https Encrypted Tbn0 Gstatic Com Images Q Tbn 3aand9gcqgt1c3bvhlapv B3scw1lo2yxaop1gwtybujdogkjvnlgtsfgj Usqp Cau
encrypted-tbn0.gstatic.com

Normal Anatomy Radiology Key
radiologykey.com

Radiological Anatomy Techniques Of The Ventricular System
www.slideshare.net

Permanent Brain Mri Injury After Electrical Shock Eurorad
www.eurorad.org

Brain White Matter Gray Matter Mri W Radiology
w-radiology.com

View Image
www.neurologyindia.com

Thalamic Hemorrhage Radiology Case Radiopaedia Org
radiopaedia.org

Brain Miliary Enhancement Springerlink
link.springer.com

Thalamus And Basal Ganglia Radiology Key
radiologykey.com

Comprehensive Ct Evaluation In Acute Ischemic Stroke Impact On Diagnosis And Treatment Decisions
www.hindawi.com

View Image
www.neurologyindia.com

Evaluation Of Acute Stroke Flair Axial Image A Shows Hyperintense Download Scientific Diagram
www.researchgate.net

Axial T2 Weighted Magnetic Resonance Imaging Mri Of The Body Of The Download Scientific Diagram
www.researchgate.net

Corona Radiata
www.imaios.com

Https Www Ahajournals Org Doi Pdf 10 1161 01 Str 20 11 1571

View Image
www.annalsofian.org

Dr Balaji Anvekar Frcr Wallerian Degeneration Mri Brain
www.neuroradiologycases.com

White Matter Hyperintensity And Vascular Disease From Biological Basis To Clinical Significance
www.heraldopenaccess.us

Brain Mri Axial Flair Images Te 140 Ms Tr 11 002 Inversion Time Download Scientific Diagram
www.researchgate.net

Brain Mri Neurologyneeds Com
www.neurologyneeds.com

Brain White Matter Gray Matter Mri W Radiology
w-radiology.com

Table 10
www.med.harvard.edu

View Image
www.pediatricneurosciences.com

Table 10
www.med.harvard.edu

View Image
www.idoj.in

Basics Of Ct Head
www.slideshare.net

Altered Brain Microstructure Assessed By Diffusion Tensor Imaging In Patients With Diabetes And Gastrointestinal Symptoms Diabetes Care
care.diabetesjournals.org

Ischemic Stroke As A Complication Of Cryptococcal Meningitis And Immune Reconstitution Inflammatory Syndrome A Case Report Bmc Infectious Diseases Full Text
bmcinfectdis.biomedcentral.com

Brain Atlas Of Human Anatomy With Mri Brain Anatomy Mri Mri Scan
www.pinterest.com

Acute Infarction Radiology Case Radiopaedia Org
radiopaedia.org

Corona Radiata Brain Parts
brainparts.thecommonvein.net

Working Memory And Brain Tissue Microstructure White Matter Tract Integrity Based On Multi Shell Diffusion Mri Scientific Reports
www.nature.com

Cureus Acute Post Stroke Hemiparkinsonism And Hemiparesis A Unique Case With Successful Therapy
www.cureus.com

Corona Radiata
www.imaios.com

Https Encrypted Tbn0 Gstatic Com Images Q Tbn 3aand9gcqzr6ky305yvfja7qqmk2yx E7ueoqnmn09x Jkci Apkalev7m Usqp Cau
encrypted-tbn0.gstatic.com

Anatomy Of The Encephalon In Mri Axial Coronal And Sagittal Slices Mri Mri Study Guide Mri Study
www.pinterest.com

Corona Radiata Wikipedia
en.wikipedia.org

Axial T2 Weighted Magnetic Resonance Imaging Mri Of The Body Of The Download Scientific Diagram
www.researchgate.net

Corona Radiata
www.imaios.com

T2 Axial Mri Through The Lateral Ventricles
www.netterimages.com

Corona Radiata Wikipedia
en.wikipedia.org

Imaging Of Adult Leukodystrophies
www.scielo.br

Diffusion Anisotropy Of The Internal Capsule And The Corona Radiata In Association With Stroke And Tumors As Measured By Diffusion Weighted Mr Imaging American Journal Of Neuroradiology
www.ajnr.org

Posterior Corona Radiata Pcr Whole Brain Protocol For Tractography With Empirical Mri
my.vanderbilt.edu

Central Nervous System Ppt Video Online Download
slideplayer.com

Sulcal Anatomy Supratentorial Brain Excluding The Temporal Lobe
www.slideshare.net

Corona Radiata Ct Scan Ct Scan Machine
ctscanmachines.blogspot.com

View Image
www.jmedsoc.org

Figure 3 From Neurogenic Bladder Due To Hypoxic Ischemic Demyelination Semantic Scholar
www.semanticscholar.org

Plos Neglected Tropical Diseases Vertical Transmission Of Human African Trypanosomiasis Clinical Evolution And Brain Mri Of A Mother And Her Son
journals.plos.org

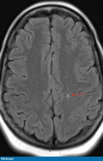
Does A Patient S Blurry Vision Signal A Serious Condition
www.medscape.com

Hemispheric Asymmetry Of White Matter Hyperintensity In Association With Lacunar Infarction Journal Of The American Heart Association
www.ahajournals.org

Table 11
www.med.harvard.edu

Damage To The Corona Radiata After Stroke
www.verywellhealth.com

How Covid 19 Affects The Brain In Neuroimaging Imaging Technology News
www.itnonline.com

Https Encrypted Tbn0 Gstatic Com Images Q Tbn 3aand9gctntmgiphp36w8sf8m47eqp3tg9fpp410l69q Vqx51d Bf3of1 Usqp Cau
encrypted-tbn0.gstatic.com

Mri Of Brain Head And Neck Ppt Video Online Download
slideplayer.com

Https Www Iomcworld Org Open Access Increase Of Pyramidal Tract Fractional Anisotropy On Mri After Stem Cell Transplantation In Als Patients 2155 9562 5 1000244 Pdf

Delayed Posthypoxic Demyelination Neurology
n.neurology.org

Anterior Choroidal Artery Infarction Bmj Case Reports
casereports.bmj.com

Cross Sectional Anatomy Of The Brain
www.imaios.com

View Image
www.annalsofian.org

A Rare Case Of Central Nervous System Amyloidoma Treated With Fractionated Radiotherapy In Journal Of Neurosurgery Volume 127 Issue 2 2017
thejns.org

Cureus Acute Post Stroke Hemiparkinsonism And Hemiparesis A Unique Case With Successful Therapy
www.cureus.com

Thalamic Hemorrhage Radiology Case Radiopaedia Org
radiopaedia.org

Does A Patient S Blurry Vision Signal A Serious Condition
www.medscape.com

Anatomy Of Motor System2
www.slideshare.net

Https Encrypted Tbn0 Gstatic Com Images Q Tbn 3aand9gcrlef0gquc5re Bcder Sfo51jlcmmz4mvzpdq Msk9ngix4g4 Usqp Cau
encrypted-tbn0.gstatic.com

Axial 8 T Ge Images Of The Corona Radiata Obtained Above The Lateral Download Scientific Diagram
www.researchgate.net

A Structural Mri Study Of Cholinergic Pathways And Cognition In Multiple Sclerosis Sciencedirect
www.sciencedirect.com

Lacunar Stroke Wikipedia
en.wikipedia.org

Axial Diffusivity Of The Corona Radiata At 24 Hours Post Stroke A New Biomarker For Motor And Global Outcome
journals.plos.org

T2w Axial Mri Image Showing Bilateral Symmetrical Hyperintense Lesions Download Scientific Diagram
www.researchgate.net

Http Pdf Posterng Netkey At Download Index Php Module Get Pdf By Id Poster Id 125860

Figure 1 A Axial T2 Fluid Attenuation Inversion Recovery Flair Image Reveals Abnormal High Signal In The Anterior Internal Capsule Right Corona Radiata And Periventricular White Matter Predominantly On The Right Side B Coronal T2 Image Reveals High
pediatrics.aappublications.org

Jaypeedigital Ebook Reader
www.jpmer.com

Https Jamanetwork Com Journals Neur Articlepdf 788396 Nob30212 Pdf

Axial T1 A And T2 Weighted Magnetic Resonance Images B Of Case 1 Download Scientific Diagram
www.researchgate.net

View Image
www.annalsofian.org

Full Text Two Cases Of Emotional Disorder After Middle Cerebral Artery Infarctio Ndt
www.dovepress.com

Coronal Axial And Sagittal Slices Showing The Eve White Matter Rois Download Scientific Diagram
www.researchgate.net

Fig 1 Cerebral Corticospinal Tract Injury Resulting From High Voltage Electrical Shock American Journal Of Neuroradiology
www.ajnr.org

Corona Radiata Ct Google Search In 2020 Radiata Corona Corpus
ro.pinterest.com

Corona Radiata Wikipedia
en.wikipedia.org

Figure 5 From Speed Post For Correspondence Perspective Strabismus Evaluation Semantic Scholar
www.semanticscholar.org

Mri Of Brain Head And Neck Ppt Video Online Download
slideplayer.com

Axial T2 Weighted Magnetic Resonance Imaging Mri Of The Body Of The Download Scientific Diagram
www.researchgate.net

Figure 1 From Garland Sign In Amyotrophic Lateral Sclerosis Semantic Scholar
www.semanticscholar.org

Dr Balaji Anvekar Frcr Wallerian Degeneration Mri Brain
www.neuroradiologycases.com

Figure 2 Brain Miliary Enhancement Springerlink
link.springer.com

Technology And Techniques In Radiology Vasculitis Mri Images
radiologic-technology.blogspot.com

Normal Anatomy Radiology Key
radiologykey.com

View Image
www.ijnpnd.com

Corona Radiata Ct Scan Ct Scan Machine
ctscanmachines.blogspot.com

White Matter Radiology Key
radiologykey.com

close