Covid19

Corona Radiata Stroke Recovery

Stroke Physiopedia
www.physio-pedia.com

Basal Ganglia Stroke Symptoms Causes And Treatment
www.medicalnewstoday.com

Ct Scan Showing Lacunar Infarction In The Corona Radiata A Higher Download Scientific Diagram
www.researchgate.net

Full Text Two Cases Of Emotional Disorder After Middle Cerebral Artery Infarctio Ndt
www.dovepress.com

Late Functional Improvement After Lacunar Stroke A Population Based Study Journal Of Neurology Neurosurgery Psychiatry
jnnp.bmj.com

Cureus Acute Post Stroke Hemiparkinsonism And Hemiparesis A Unique Case With Successful Therapy
www.cureus.com

Lesion Location Impact On Functional Recovery Of The Hemiparetic Upper Limb
journals.plos.org

How The Corona Radiata May Be Damaged By A Stroke White Matter Radiata Corona
www.pinterest.com

Https Academic Oup Com Jcem Article Pdf 104 9 3851 29011185 Jc 2018 02502 Pdf

Stroke And The Pons Region Of The Brain
www.verywellhealth.com

Stroke Classification And Diagnosis Cpd Article Pharmaceutical Journal
www.pharmaceutical-journal.com

Pdf Ipsilateral Hemiparesis Caused By A Corona Radiata Infarct After A Previous Stroke On The Opposite Side Semantic Scholar
www.semanticscholar.org

Frontiers Ischemic Stroke In Pontine And Corona Radiata Location Specific Impairment Of Neural Network Investigated With Resting State Fmri Neurology
www.frontiersin.org

Neuroimaging Of Acute Stroke Springer Publishing
connect.springerpub.com

Corona Radiata Wikipedia
en.wikipedia.org

Lacunar Stroke Prognosis Recovery Study Com
study.com

Acupuncture For Stroke Rehabilitation Youtube
www.youtube.com

Stroke Rehabilitation Musculoskeletal Key
musculoskeletalkey.com

Tpa Stroke 6 Hours
rooble6.blogspot.com

Full Text Two Cases Of Emotional Disorder After Middle Cerebral Artery Infarctio Ndt
www.dovepress.com

Acute Infarction Radiology Case Radiopaedia Org
radiopaedia.org

What Is A Lacunar Stroke Arthritic Chick
www.arthriticchick.com

Https Encrypted Tbn0 Gstatic Com Images Q Tbn 3aand9gcqfm0jtajxpcm8bnhjsshx J3dvuhvvy46v7g Usqp Cau

Disappearance Of Long Term Right Sided Essential Tremor After Stroke In The Left Corona Radiata Neurology Clinical Practice
cp.neurology.org

Lacunar Stroke Harvard Health
www.health.harvard.edu

Https Encrypted Tbn0 Gstatic Com Images Q Tbn 3aand9gcrlef0gquc5re Bcder Sfo51jlcmmz4mvzpdq Msk9ngix4g4 Usqp Cau
encrypted-tbn0.gstatic.com

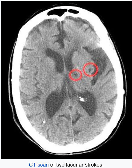
Lacunar Stroke Wikipedia
en.wikipedia.org

Stroke Rehabilitation From Head To Toe Rehab Managment
www.rehabpub.com

Frontiers Ischemic Stroke In Pontine And Corona Radiata Location Specific Impairment Of Neural Network Investigated With Resting State Fmri Neurology
www.frontiersin.org

Cureus Acute Post Stroke Hemiparkinsonism And Hemiparesis A Unique Case With Successful Therapy
www.cureus.com

Lacuna Infarcts Small Vessel Disease Physiopedia
www.physio-pedia.com

Thrombotic Stroke Harvard Health
www.health.harvard.edu

Patient Basics Lacunar Stroke 2 Minute Medicine
www.2minutemedicine.com

Mineralizing Angiopathy Of Lenticulostriate Arteries With Infantile Basal Ganglia Infarct Following Minor Head Trauma A Case Series Baby N Vinayan K P Roy Ag Ann Indian Acad Neurol
www.annalsofian.org

Figure 1 From Bilateral Corona Radiata Infarcts A New Topographic Location Of Foix Chavany Marie Syndrome Semantic Scholar
www.semanticscholar.org

Journal Of Rehabilitation Medicine The Corticospinal Tract From The Viewpoint Of Brain Rehabilitation Html
www.medicaljournals.se

Cavitation After Acute Symptomatic Lacunar Stroke Depends On Time Location And Mri Sequence Stroke
www.ahajournals.org

Diabetes Does Not Affect Motor Recovery After Intracerebral Hemorrhage In Translational Neuroscience Volume 11 Issue 1 2020
www.degruyter.com

Https Jamanetwork Com Journals Neur Articlepdf 788396 Nob30212 Pdf

Lacunar Stroke By Clark1968 Issuu
issuu.com

Health Lacunar Infarct Unnoticed Stroke The New Times Rwanda
www.newtimes.co.rw

4 181 Stroke Patient Photos Free Royalty Free Stock Photos From Dreamstime
www.dreamstime.com

Cavitation After Acute Symptomatic Lacunar Stroke Depends On Time Location And Mri Sequence Stroke
www.ahajournals.org

Corona Radiata An Overview Sciencedirect Topics
www.sciencedirect.com

Stroke Fast Symptoms Causes Types Treatment Prevention
www.medicinenet.com

Cerebellar Stroke Prognosis Recovery Video Lesson Transcript Study Com
study.com

Frontiers Ischemic Stroke In Pontine And Corona Radiata Location Specific Impairment Of Neural Network Investigated With Resting State Fmri Neurology
www.frontiersin.org

Longitudinal Assessment Of Motor Recovery Of Contralateral Hand After Basal Ganglia Infarction Using Functional Magnetic Resonance Imaging
www.hindawi.com

Lacunar Stroke Symptoms Treatments And Long Term Outlook
www.healthline.com

A Fluid Attenuated Inversion Recovery Sequences In A Brain Mri Scan Download Scientific Diagram
www.researchgate.net

Imaging Evolution Of Acute Lacunar Infarction Neurology
n.neurology.org

Https Onlinelibrary Wiley Com Doi Pdf 10 1016 J Pmrj 2018 01 008

No Evidence For Motor Recovery Related Cortical Reorganization After Stroke Using Resting State Fmri Biorxiv
www.biorxiv.org

Https Encrypted Tbn0 Gstatic Com Images Q Tbn 3aand9gcqzr6ky305yvfja7qqmk2yx E7ueoqnmn09x Jkci Apkalev7m Usqp Cau
encrypted-tbn0.gstatic.com

Lacunar Stroke And Microangiopathy Radiology Key
radiologykey.com

Http Nnr Sagepub Com Content 27 7 592 Full Pdf

Damage To The Corona Radiata After Stroke
www.verywellhealth.com

Http Brain Oxfordjournals Org Content 116 2 369 Full Pdf

Annals Of Rehabilitation Medicine
www.e-arm.org

Bilateral Corona Radiata Infarcts A New Topographic Location Of Foix Chavany Marie Syndrome Bradley 2014 International Journal Of Stroke Wiley Online Library
onlinelibrary.wiley.com

Http Www Ebrsr Com Sites Default Files Chapter 201 Clinical 20consequences 0 Pdf

Https Encrypted Tbn0 Gstatic Com Images Q Tbn 3aand9gcqqrc8u9spmgkntbdaimvyedmuptbihufghzkacucclbedrq6uu Usqp Cau
encrypted-tbn0.gstatic.com

Https Medicaljournals Se Jrm Content Files Download Php Doi 10 2340 16501977 0130

Pdf A Comparative Study On Recovery Of Motor Function In Stroke Patients With Corona Radiata Infarcts And Intracerebral Hemorrhage Semantic Scholar
www.semanticscholar.org

Stroke Aha Asa On Twitter The February 2020 Issue Of Stroke Is Now Available Online Check Out The Issue For The Latest Original Contributions Along With Topical Reviews Emerging Therapy Critiques Cochrane Corner
twitter.com

When Stroke Affects The Thalamus Stroke Connection Magazine Spring 2015
strokeconnection.strokeassociation.org

Role Of Antidepressants In Post Stroke Recovery
www.yumpu.com

What Is Lacunar Stroke Explain Lacunar Stroke Define Lacunar Stroke Meaning Of Lacunar Stroke Youtube
www.youtube.com

Acute And Subacute Ischemic Lesions In De Corona Radiata And Nucleus Download Scientific Diagram
www.researchgate.net

Late Functional Improvement After Lacunar Stroke A Population Based Study Journal Of Neurology Neurosurgery Psychiatry
jnnp.bmj.com

Lacunar Stroke Definition Causes Symptoms Diagnosis Prognosis Treatment
healthjade.net

Upper Limb Choreo Athetosis From A Corona Radiata Infarct A New Localization In Chorea Pathophysiology Sciencedirect
www.sciencedirect.com

Internal Capsule Stroke Stanford Medicine 25 Stanford Medicine
stanfordmedicine25.stanford.edu

Pontine Stroke Causes Symptoms Treatment Flint Rehab
www.flintrehab.com

Deterioration Of Pre Existing Hemiparesis Following An Ipsilateral Corona Radiata Infarct A Rare Entity
austinpublishinggroup.com

Brain Lesion Size And Location Effects On Motor Recovery And Functional Outcome In Stroke Patients Archives Of Physical Medicine And Rehabilitation
www.archives-pmr.org


m.blog.naver.com

Http Www Bioline Org Br Pdf Ni08108

Stroke Classification And Diagnosis Cpd Article Pharmaceutical Journal
www.pharmaceutical-journal.com

Https Pdfs Semanticscholar Org C633 5d02eb1f4796f3b5f06b06fe25e2f3eedf92 Pdf

Lacunar Infarct A Type Of Stroke Causes Symptoms And Treatment Options
www.belmarrahealth.com

A C Patient With Right Hemiparesis A Acute Infarct In The Left Download Scientific Diagram
www.researchgate.net

Http Brainlab Ca Posters Sriposterday2015 Pdf Svaccarino Sriposter 20aug2015 Pdf

What Causes Lacunar Infarctions In Stroke
www.medscape.com

Etiology Pathophysiology And Imaging Section 1 Textbook Of Stroke Medicine
www.cambridge.org

Deterioration Of Pre Existing Hemiparesis Following An Ipsilateral Corona Radiata Infarct A Rare Entity
austinpublishinggroup.com

Lacunar Stroke Symptoms Treatments And Long Term Outlook
www.healthline.com

Lacunar Stroke Wikipedia
en.wikipedia.org

Https Encrypted Tbn0 Gstatic Com Images Q Tbn 3aand9gcszzls Kehh1eh7ty74sokeab24mcdd6d5tdl8mw8 Usqp Cau
encrypted-tbn0.gstatic.com

Comprehensive Ct Evaluation In Acute Ischemic Stroke Impact On Diagnosis And Treatment Decisions
www.hindawi.com

Acute Infarction Radiology Case Radiopaedia Org
radiopaedia.org

Wide Variation In Definition Detection And Description Of Lacunar Lesions On Imaging Stroke
www.ahajournals.org

Diabetes Can Impair Motor Recovery After Corona Radiata Infarction Endocrinology Advisor
www.endocrinologyadvisor.com

Stroke Springer Publishing
connect.springerpub.com

Corona Radiata Wikipedia
en.wikipedia.org

Physical Therapy Management Of A Patient With A Lacunar Stroke And Mul By Kevin Tachibana
dune.une.edu

Brain Lesion Size And Location Effects On Motor Recovery And Functional Outcome In Stroke Patients Archives Of Physical Medicine And Rehabilitation
www.archives-pmr.org

Stroke In The Elderly Springerlink
link.springer.com

Corona Radiata An Overview Sciencedirect Topics
www.sciencedirect.com

Corona Radiata Google Search Radiata Medical Transcription Reticular Formation
www.pinterest.com

Overview Of Stroke Neurologic Disorders Msd Manual Professional Edition
www.msdmanuals.com

Corona Radiata
id.pinterest.com

Lacunar Stroke Definition Causes Symptoms Diagnosis Prognosis Treatment
healthjade.net

Corona Radiata Wikipedia
en.wikipedia.org

close