Covid19

Corona Scanner Poumon

The Strengths Of Scanning Electron Microscopy In Deciphering Sars Cov 2 Infectious Cycle Ihu
www.mediterranee-infection.com

Man Furious After Spotting His Own Amputated Leg On Cigarette Packs Despite Losing Limb In Assault The Independent The Independent
www.independent.co.uk

Pneumomediastinum Wikipedia
en.wikipedia.org

Les Images Pulmonaires Caracteristiques Du Coronavirus Au Scanner
www.thema-radiologie.fr

Https Covid 19 Sciensano Be Sites Default Files Covid19 Avis 20du 20css 20concernant 20l E2 80 99utilisation 20du 20ct Scan Pdf

Pdf Proteomics Analysis Reveals Distinct Corona Composition On Magnetic Nanoparticles With Different Surface Coatings Implications For Interactions With Primary Human Macrophages
www.researchgate.net

L Ia Et L Imagerie Medicale Alliees Dans La Lutte Contre La Covid 19 Coronavirus Radio Canada Ca
ici.radio-canada.ca

Coronavirus Voici Des Poumons Infectes Par La Maladie
fr.news.yahoo.com

Exploration Radiologique Du Poumon Medicinus
www.medicinus.net

Cxb9ny Syxldrm

Des Poumons Infectes Par Le Coronavirus Modelises En 3d Youtube
www.youtube.com

What Are Long Term Coronavirus Effects Los Angeles Times
www.latimes.com

Chest Ct Shows Covid 19 Damage To The Lungs
www.news-medical.net

Coronavirus Update
www.rsna.org

Imagerie De La Pneumonie Covid 19 Sciencedirect
www.sciencedirect.com

Coronavirus Les Consequences Pour Le Corps
www.francetvinfo.fr

Covid 19 Le Meilleur Mode Diagnostique C Est Le Scanner Thoracique Sante Log
www.santelog.com

Coronavirus Quelle Place Donner Au Scanner Thoracique Dans Le Diagnostic Heidi News
www.heidi.news

Case 16 1990 A 57 Year Old Woman With A Thalamic Lesion And Pulmonary Arteriovenous Fistulas Nejm
www.nejm.org

A I Took A Test To Detect Lung Cancer It Got An A The New York Times
www.nytimes.com

Scanner Thoracique Interpretation Effets Secondaires Comment Ca Se Passe
sante.journaldesfemmes.fr

Congenital Cystic Adenomatoid Malformation Dangers Of Misdiagnosis A Case Report Springerlink
link.springer.com

Coronavirus Ce A Quoi Ressemblent Les Poumons D Un Malade Sante Magazine
www.santemagazine.fr

Simultaneous Bilateral Spontaneous Pneumothorax Abstract Europe Pmc
europepmc.org

French Patients Were Sick With Covid 19 In Mid November And Before China Researchers
www.rfi.fr

Covid 19 Ce Que Les Autopsies Nous Apprennent Sur Les Caillots Sanguins Et Embolies Pulmonaires Realites Biomedicales
www.lemonde.fr

Pneumothorax Wikipedia
en.wikipedia.org

Http Www Iaea Org Inis Collection Nclcollectionstore Public 44 091 44091276 Pdf

Imagerie De La Pneumonie Covid 19 Sciencedirect
www.sciencedirect.com

Imagerie De La Pneumonie Covid 19 Sciencedirect
www.sciencedirect.com

Sequelles L Apres Coronavirus Des Genes Qui Perdurent Et Peu D Accompagnement Imaz Press Reunion L Actualite De La Reunion En Photos
www.ipreunion.com

Coronavirus From Russia Overworked And Distrustful Medical Workers Risk Their Lives With Little Applause Fr24 News English
www.fr24news.com

Comment Le Coronavirus S Attaque A L Entier De Notre Corps Le Temps
www.letemps.ch

Imagerie De La Pneumonie Covid 19 Sciencedirect
www.sciencedirect.com

Video Pour Diagnostiquer Le Covid 19 Dans Les Poumons Le Scanner Tourne A Plein Regime
www.ouest-france.fr

Imagerie De La Pneumonie Covid 19 Sciencedirect
www.sciencedirect.com

Mobilisation De Scanners Au Havre Un Moyen Rapide Et Efficace Pour Depister Les Personnes Atteintes Du Covid 19
france3-regions.francetvinfo.fr

Une Video En 3d Permet De Voir A Quoi Ressemblent Des Poumons Infectes Par Le Coronavirus Azertac Video Azerbaijan State News Agency
video.azertag.az

Une Premiere Etude Francaise Optimiste Sur La Faisabilite Du Depistage Par Scanner Docteur Imago
docteurimago.fr

Les Images 3d Des Degats Du Virus Dans Les Poumons Lci
www.lci.fr

Strasbourg Des Premiers Cas De Covid 19 Des La Mi Novembre Dans Le Haut Rhin
www.dna.fr

Embolie Pulmonaire Et Coronavirus L Etude Du Pr Delabrousse Mise En Avant Au Niveau Mondial Macommune Info
www.macommune.info

Coronavirus Que Se Passe T Il Dans Votre Corps Si Vous En Etes Atteint
www.nationalgeographic.fr

Case 20 1994 A Five Year Old Girl With Recurrent Cough And Fever And An Enlarging Pulmonary Mass Nejm
www.nejm.org

Myrian Covid 19 Protocol Intrasense Artificial Intelligence In Medical Imaging
www.intrasense.fr

Chest Ct Shows Covid 19 Damage To The Lungs
www.news-medical.net

3 D Video Shows Covid 19 Attack Patient S Lungs Cnn Video
www.cnn.com

Comment Le Scanner Thoracique Permet De Mieux Prendre En Charge Les Malades Atteints Du Coronavirus
www.bfmtv.com

Coronavirus Comment Sont Soignes Les Patients Atteints De Pneumonies Severes
www.lejdd.fr

Covid 19 Comment Sont Soignes Les Patients Atteints De Formes Severes
theconversation.com

A Quoi Ressemblent Les Poumons D Un Malade Du Covid 19
www.nouvelobs.com

Community Outbreaks Of Asthma Associated With Inhalation Of Soybean Dust Nejm
www.nejm.org

Suspicion De Covid 19 Quelle Imagerie Realiser La Revue Du Praticien
www.larevuedupraticien.fr

Cancer Du Poumon Aux Usa La Procedure De Depistage Par Tdm Est Prete
www.thema-radiologie.fr

Coronavirus L Effet Impressionnant Du Covid 19 Sur Les Poumons Des Malades Femme Actuelle Le Mag
www.femmeactuelle.fr

Le Scanner L Autre Test Qui Revele Le Covid 19 Le Point
www.lepoint.fr

Comment Le Coronavirus S Attaque A L Entier De Notre Corps Le Temps
www.letemps.ch

The Strengths Of Scanning Electron Microscopy In Deciphering Sars Cov 2 Infectious Cycle Ihu
www.mediterranee-infection.com

Ct Scans And X Rays Display The Damage To The Lungs Of Covid 19 Patients
interestingengineering.com

Adenocarcinoma Of The Lung From Bac To The Future Abstract Europe Pmc
europepmc.org

Eleanor Beardsley On Twitter Look At This Coronavirus Infected Lung From 3d Scanner The Yellow And Red Are Severe Lesions Picture From Paris Match Magazine Caption Says In Just A Few Days
twitter.com

Prise En Charge Du Nodule Pulmonaire Isole Springerlink
link.springer.com

Un Scanner Pour Detecter Le Coronavirus Chez Des Personnes Au Test Negatif Youtube
www.youtube.com

Comment Reagissent Les Poumons Face Au Coronavirus De La Maladie Covid 19 Youtube
www.youtube.com

Infection Sars Cov 2 Covid19 Recommandations Pour L Imagerie Thoracique Chez L Enfant 07 04 2020 Sfr E Bulletin
ebulletin.radiologie.fr

Gwu Uses Vr To Take You Inside A Coronavirus Damaged Lung Venturebeat
venturebeat.com

Utilite Du Ct Scan Thoracique Pour Le Diagnostic Et Le Triage Des Patients Suspects De Covid 19 Revue Medicale Suisse
www.revmed.ch

Coronavirus Voyage Au Cœur D Un Poumon Infecte Le Parisien
www.leparisien.fr

Ct Scans And X Rays Display The Damage To The Lungs Of Covid 19 Patients
interestingengineering.com

Coronavirus What X Rays And Ct Scans Reveal About How Covid 19 Kills Science Tech News Sky News
news.sky.com

Covid 19 Une Pneumonie Pas Comme Les Autres Realites Biomedicales
www.lemonde.fr

Coronavirus Face Au Covid 19 Un Scanner Thoracique Sciences Et Avenir
www.sciencesetavenir.fr

Detecter La Presence Du Covid 19 Grace A Un Scanner Une Solution Alternative De Test L Express
www.lexpress.fr

Coronavirus Voici Des Poumons Infectes Par La Maladie
fr.news.yahoo.com

Comment La Covid 19 S Attaque Aux Poumons Coronavirus Radio Canada Ca
ici.radio-canada.ca

Video Pour Diagnostiquer Le Covid 19 Dans Les Poumons Le Scanner Tourne A Plein Regime
www.ouest-france.fr

File Covid 19 Longontsteking Jpg Wikimedia Commons
commons.wikimedia.org

The Strengths Of Scanning Electron Microscopy In Deciphering Sars Cov 2 Infectious Cycle Ihu
www.mediterranee-infection.com

Imagerie De La Pneumonie Covid 19 Sciencedirect
www.sciencedirect.com

Coronavirus Les Poumons Gravement Atteints
www.francetvinfo.fr

Sante Un Outil Pour Predire L Etat Des Patients Covid 19 Developpe A Strasbourg
www.dna.fr

Cette Video En 3d Montre Des Poumons Infectes Par Le Coronavirus Le Point
www.lepoint.fr

Congenital Cystic Adenomatoid Malformation Dangers Of Misdiagnosis A Case Report Springerlink
link.springer.com

Https Www Arkleg State Ar Us Calendars Attachment Committee 490 Agenda 3445 File Exhibit F1b White Paper References For Dr Gold Pdf

Cancer Du Poumon Le Depistage Par Scanner Pourrait Il Sauver Des Milliers De Vies
www.bfmtv.com

Gwu Uses Vr To Take You Inside A Coronavirus Damaged Lung Venturebeat
venturebeat.com

De Nouvelles Donnees Pour Identifier Le Coronavirus 2019 Ncov Au Scanner
www.thema-radiologie.fr

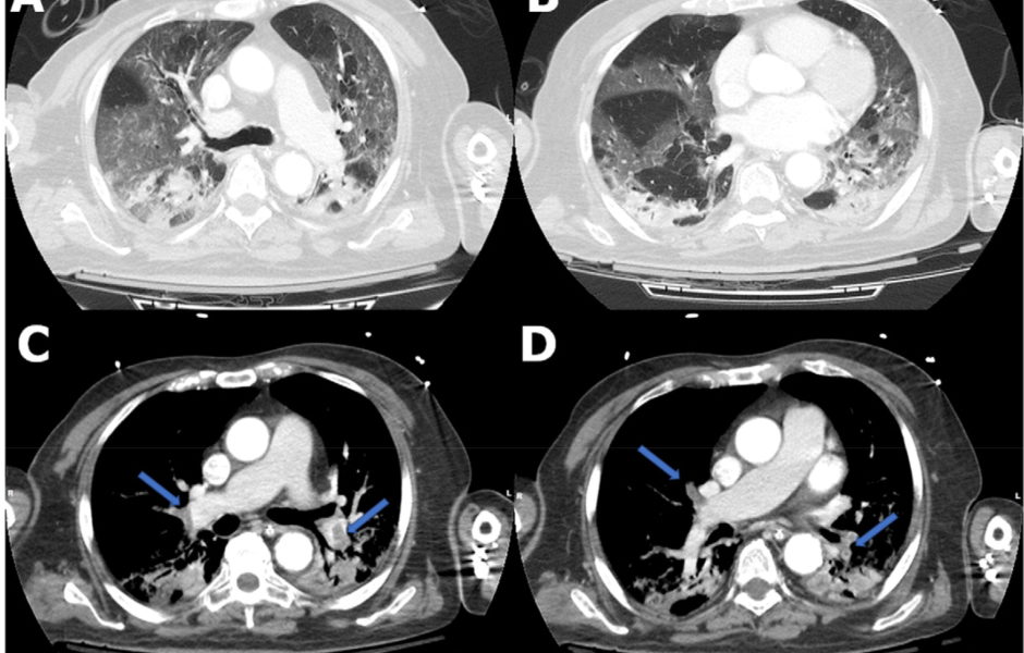
Study Finds Link Between Pulmonary Embolism And Covid 19 Ge Healthcare
www.gehealthcare.com

J Ai Ete Plus Touche Que Je Ne Le Pensais De Nombreux Patients Gueris Du Coronavirus Gardent Des Sequelles Pulmonaires Sans Le Savoir
www.francetvinfo.fr

Chest Ct Shows Covid 19 Damage To The Lungs
www.news-medical.net

Coronavirus Quelle Place Donner Au Scanner Thoracique Dans Le Diagnostic Heidi News
www.heidi.news

A Quoi Ressemblent Les Poumons D Un Malade Du Covid 19
www.nouvelobs.com

Chest Ct Shows Covid 19 Damage To The Lungs
www.news-medical.net

Une Methode De Diagnostic Du Covid 1 Par Scanner Developpee A L Universite De Tel Aviv Israel Science Info
www.israelscienceinfo.com

Radiology Techniques And Radiological Examinations Clinic Saint Jean
www.clinicstjean.be

Covid 19 News 20 Mars 2020 Gustave Roussy
www.gustaveroussy.fr

Nigeria Confirms Coronavirus Case First In Sub Saharan Africa
au.news.yahoo.com

Coronavirus Comment La Recherche Mondiale S Organise Face A L Epidemie L Express
www.lexpress.fr

Coronavirus Au Scanner Des Images Differentes Selon Le Stade D Evolution
www.thema-radiologie.fr

Les Initiatives Fleurissent Pour Collecter Et Partager Les Donnees D Imagerie Sur Le Covid 19 Docteur Imago
docteurimago.fr

The Strengths Of Scanning Electron Microscopy In Deciphering Sars Cov 2 Infectious Cycle Ihu
www.mediterranee-infection.com

Coronavirus What X Rays And Ct Scans Reveal About How Covid 19 Kills Science Tech News Sky News
news.sky.com

Pdf Lung Ultrasound For Cardiologists In The Time Of Covid 19
www.researchgate.net

close