Covid19

Coronavirus Chest X Ray Report

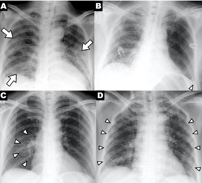
Portable Chest X Ray In Coronavirus Disease 19 Covid 19 A Pictorial Review Sciencedirect
www.sciencedirect.com

Doctors Release Chest Scans Of Wuhan Coronavirus Patient Business Insider
www.businessinsider.com

Ai Is Helping Triage Coronavirus Patients The Tools May Be Here To Stay Mit Technology Review
www.technologyreview.com

Cureus Rhabdomyolysis As A Presentation Of 2019 Novel Coronavirus Disease
www.cureus.com

The Groundbreaking Way To Search Lungs For Signs Of Covid 19 Bbc News
www.bbc.com

A Neural Network Can Help Spot Covid 19 In Chest X Rays Mit Technology Review
www.technologyreview.com

Chest X Ray Quibim
quibim.com

A Rare Case Of Human Coronavirus 229e Associated With Acute Respiratory Distress Syndrome In A Healthy Adult
www.hindawi.com

Chest X Ray Used To Analyze First Us Patient With Coronavirus
www.healthimaging.com

Shocking X Ray Images Show Affect Of Coronavirus On Lungs Of Patients London Evening Standard
www.standard.co.uk

Coronavirus Tests The Value Of Artificial Intelligence In Medicine Fiercebiotech
www.fiercebiotech.com

Chris Cuomo Shares Chest X Rays After Coronavirus Diagnosis Cnn Video
www.cnn.com

Coronavirus Diaries I Have Lung Cancer And A Cough
slate.com

Chest X Ray Interpretation Explained Clearly How To Read A Chest Xray Youtube
m.youtube.com

Epidemiological And Clinical Characteristics Of 99 Cases Of 2019 Novel Coronavirus Pneumonia In Wuhan China A Descriptive Study The Lancet
www.thelancet.com

Ct X Ray Help Delineate 1st Coronavirus Case In U S
www.auntminnie.com

Chest X Ray Quibim
quibim.com

X Ray Helps Diagnose Coronavirus In Vietnamese Man
www.auntminnie.com

Radiologists Describe Coronavirus Ct Imaging Features Imaging Technology News
www.itnonline.com

Covid 19 Outbreak In Italy Experimental Chest X Ray Scoring System For Quantifying And Monitoring Disease Progression Research Square
www.researchsquare.com

Imaging The Coronavirus Disease Covid 19
healthcare-in-europe.com

Ai Distinguishing Pneumonia From Covid 19 From Chest X Rays Medica World Forum For Medicine
www.medica-tradefair.com

Imaging The Coronavirus Disease Covid 19
healthcare-in-europe.com

Truncated Inception Net Covid 19 Outbreak Screening Using Chest X Rays Springerlink
link.springer.com

Medical Worker Describes Lung Failure From Covid 19 Even In Young Patients
www.tucsonsentinel.com

Diagnostic Impact Of Bedside Chest X Ray Features Of 2019 Novel Coronavirus In The Routine Admission At The Emergency Department Case Series From Lombardy Region European Journal Of Radiology
www.ejradiology.com

The Role Of Imaging In 2019 Novel Coronavirus Pneumonia Covid 19 Springerlink
link.springer.com

Chest X Rays Show More Severe Covid 19 In Non White Patients Imaging Technology News
www.itnonline.com

X Ray Emerges As Frontline Tool For Coronavirus 3 Lessons From Radiologists Battling The Pandemic
www.healthimaging.com

The Radiology Assistant Covid 19 Imaging Findings
radiologyassistant.nl

Chest X Rays In The Er Can Help Predict Severity Of Covid 19 In Younger Patients Imaging Technology News
www.itnonline.com

U S Woman With Covid 19 Receives Double Lung Transplant In A First Live Science
www.livescience.com

X Ray Helps Diagnose Coronavirus In Vietnamese Man
www.auntminnie.com

Https Www Europeanreview Org Wp Wp Content Uploads 2776 2780 Pdf

Coronavirus Puts Artificial Intelligence To The Test Los Angeles Times
www.latimes.com

Radiologists Describe Coronavirus Imaging Features Eurekalert Science News
www.eurekalert.org

Chest X Ray May Overlook Coronavirus Cases Apparent On Ct
www.healthimaging.com

Coronavirus What X Rays And Ct Scans Reveal About How Covid 19 Kills Science Tech News Sky News
news.sky.com

Researchers Release Data Set Of Ct Scans From Coronavirus Patients Venturebeat
venturebeat.com

India Shows That Developing A Coronavirus Treatment Isn T Enough The Atlantic
www.theatlantic.com

Artificial Intelligence Could Revolutionize Medical Care But Don T Trust It To Read Your X Ray Just Yet Science Aaas
www.sciencemag.org

University Of Washington Issues Radiology Policies For Covid 19 Imaging Technology News
www.itnonline.com

Isolation Of A Novel Coronavirus From A Man With Pneumonia In Saudi Arabia Nejm
www.nejm.org

Covid 19 This Ai Network Could Help Detect Cases Using Chest X Ray Images Technology News The Indian Express
indianexpress.com

Normal Chest X Ray Doesn T Rule Out Covid 19
www.medscape.com

Why One Woman Had Oil In Her Lung For Decades Live Science
www.livescience.com

New Research Finds Chest X Ray Not Reliable Diagnostic Tool For Covid 19 Imaging Technology News
www.itnonline.com

Covid 19 Chest Radiography Deep Learning Virus Detection Vision Systems Design
www.vision-systems.com

Covid 19 Outbreak In Italy Experimental Chest X Ray Scoring System For Quantifying And Monitoring Disease Progression Springerlink
link.springer.com

First Imported Case Of 2019 Novel Coronavirus In Canada Presenting As Mild Pneumonia The Lancet
www.thelancet.com

The Role Of Chest Radiography In Confirming Covid 19 Pneumonia The Bmj
www.bmj.com

Health Care Startup Braid Turns Its Radiology Tech To Coronavirus Wsj
www.wsj.com

Artificial Intelligence That Reads Chest X Rays Is Approved By Fda Uc San Francisco
www.ucsf.edu

A Rare Case Of Human Coronavirus 229e Associated With Acute Respiratory Distress Syndrome In A Healthy Adult
www.hindawi.com

The First 2019 Novel Coronavirus Case In Nepal The Lancet Infectious Diseases
www.thelancet.com

Mers Cov Middle East Respiratory Syndrome Corona Virus Can Radiology Be Of Help Initial Single Center Experience Sciencedirect
www.sciencedirect.com

Ct Traces Disease Progression In Novel Coronavirus Physics World
physicsworld.com

Middle Eastern Respiratory Syndrome Corona Virus Mers Cov Case Reports From A Tertiary Care Hospital In Saudi Arabia Annals Of Saudi Medicine
www.annsaudimed.net

Mers Cov Middle East Respiratory Syndrome Corona Virus Can Radiology Be Of Help Initial Single Center Experience Sciencedirect
www.sciencedirect.com

Chris Cuomo Shares Chest X Ray Amid Covid 19 Battle Youtube
www.youtube.com

People Who Smoke May Have More Receptors For The New Coronavirus
www.medicalnewstoday.com

Covid 19 Coronavirus Diagnosis Chest X Ray And Ct Scan
www.verywellhealth.com

Coronavirus Prompts More Orders For Micro X S Mobile X Ray Units
smallcaps.com.au

X Ray Ct Uncover Novel Coronavirus Infected Pneumonia
www.auntminnie.com

Studies Profile Lung Changes In Asymptomatic Covid 19 Viral Loads In Patient Samples Cidrap
www.cidrap.umn.edu

Imaging The Coronavirus Disease Covid 19
healthcare-in-europe.com

Cureus Coronavirus Disease 2019 Covid 19 Complicated By Acute Respiratory Distress Syndrome An Internist S Perspective
www.cureus.com

Ct Traces Disease Progression In Novel Coronavirus Physics World
physicsworld.com

Can Ai Scans Of X Rays Really Detect The Coronavirus
thenextweb.com

First Case Of 2019 Novel Coronavirus In The United States Nejm
www.nejm.org

Radiographic Severity Index In Covid 19 Pneumonia Relationship To Age And Sex In 783 Italian Patients Springerlink
link.springer.com

Chest Radiography Aids Diagnosis Of Coronavirus Cluster In Vietnam
www.healthimaging.com

Imaging The Coronavirus Disease Covid 19
healthcare-in-europe.com

Flu Season Threatens To Complicate Diagnoses Of Vaping Related Illness
www.statnews.com

The Role Of Chest Radiography In Confirming Covid 19 Pneumonia The Bmj
www.bmj.com

New Report On First Us Case Of Novel Coronavirus Details Mild Symptoms Followed By Pneumonia Cnn
www.cnn.com

The Radiology Assistant Covid 19 Imaging Findings
radiologyassistant.nl

The Radiology Assistant Covid 19 Imaging Findings
radiologyassistant.nl

Cureus A Coronavirus Disease 2019 Covid 19 Patient With Multifocal Pneumonia Treated With Hydroxychloroquine
www.cureus.com

Covid 19 Pneumonia Radiology Case Radiopaedia Org
radiopaedia.org

Cureus Neurological Complications Of Coronavirus Disease Covid 19 Encephalopathy
www.cureus.com

Cureus A Case Of Novel Corona Virus With Three Negative Nasopharyngeal Swabbings
www.cureus.com

New York Physicians Confirm Ct Is Best Way To Diagnose Coronavirus
www.laboratoryequipment.com

Covid 19 Pediatric Findings In New Review Of Lung Disorders Imaging Technology News
www.itnonline.com

Cureus Radiological Findings In Patients With Covid 19
www.cureus.com

Chest X Ray Analysis Using Machine Intelligence Research For Hiv Tb Screening National Library Of Medicine
lhncbc.nlm.nih.gov

A Rare Case Of Human Coronavirus 229e Associated With Acute Respiratory Distress Syndrome In A Healthy Adult
www.hindawi.com

Emerging 2019 Novel Coronavirus 2019 Ncov Pneumonia Radiology
pubs.rsna.org

Coronavirus Survivor In Us Receives Double Lung Transplant Kstp Com
kstp.com

Coronavirus Disease 2019 Covid 19 A Perspective From China Radiology
pubs.rsna.org

Mers Cov Middle East Respiratory Syndrome Corona Virus Can Radiology Be Of Help Initial Single Center Experience Sciencedirect
www.sciencedirect.com

Jmir Diagnostic Value Of Imaging Modalities For Covid 19 Scoping Review Aljondi Journal Of Medical Internet Research
www.jmir.org

Covid 19 Chest X Ray Guideline Ucla Radiology Los Angeles Westwood Manhattan Beach Santa Monica Ca
www.uclahealth.org

Chest X Rays Show Racial Disparity In Covid 19 Severity
www.contagionlive.com

Coronavirus What X Rays And Ct Scans Reveal About How Covid 19 Kills Science Tech News Sky News
news.sky.com

Doctors Release Chest Scans Of Wuhan Coronavirus Patient Business Insider
www.businessinsider.com

First Case Of 2019 Novel Coronavirus In The United States Nejm
www.nejm.org

The Role Of Chest Radiography In Confirming Covid 19 Pneumonia The Bmj
www.bmj.com

Doctor Explains Covid 19 Chest X Ray Coronavirus Cnn Chris Cuomo Youtube
www.youtube.com

Serial Computed Tomographic Findings And Specific Clinical Features Of Pediatric Covid 19 Pneumonia A Case Report
www.wjgnet.com

close