Covid19

Covid 19 Appearance On Ct

The Groundbreaking Way To Search Lungs For Signs Of Covid 19 Bbc News
www.bbc.com

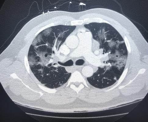
Covid 19 Pneumonia Radiology Case Radiopaedia Org
radiopaedia.org

Ct Chest Of Covid 19 Patients What Should A Radiologist Know Egyptian Journal Of Radiology And Nuclear Medicine Full Text
ejrnm.springeropen.com

Incidental Covid 19 Related Lung Apical Findings On Stroke Cta During The Covid 19 Pandemic Journal Of Neurointerventional Surgery
jnis.bmj.com

Radiological Findings From 81 Patients With Covid 19 Pneumonia In Wuhan China A Descriptive Study The Lancet Infectious Diseases
www.thelancet.com

Case 23 2020 A 76 Year Old Woman Who Died From Covid 19 Nejm
www.nejm.org

Coronavirus Asymptomatic People Can Still Develop Lung Damage
theconversation.com

Chest Ct Findings Reflect Time Of Coronavirus 19 Covid 19 Disease Course
www.diagnosticimaging.com

Ct Features Of Covid 19 Patients With Two Consecutive Negative Rt Pcr Tests After Treatment Scientific Reports
www.nature.com

Clinical Characteristics Of Covid 19 In 104 People With Sars Cov 2 Infection On The Diamond Princess Cruise Ship A Retrospective Analysis The Lancet Infectious Diseases
www.thelancet.com

Radiological Findings From 81 Patients With Covid 19 Pneumonia In Wuhan China A Descriptive Study The Lancet Infectious Diseases
www.thelancet.com

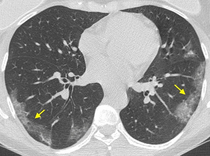
The Radiology Assistant Covid 19 Imaging Findings
radiologyassistant.nl

Sensitivity Of Chest Ct For Covid 19 Comparison To Rt Pcr Radiology
pubs.rsna.org

Covid 19 Round And Oval Areas Of Ground Glass Opacity Pulmonology
www.journalpulmonology.org

Covid 19 Associated Acute Hemorrhagic Necrotizing Encephalopathy Imaging Features Radiology
pubs.rsna.org

Free Web Based Lung And Covid 19 Imaging Data Management System Offered By Penrad Imaging Technology News
www.itnonline.com

Covid 19 Pneumonia A Review Of Typical Ct Findings And Differential Diagnosis Sciencedirect
www.sciencedirect.com

Temporal Radiographic Changes In Covid 19 Patients Relationship To Disease Severity And Viral Clearance Scientific Reports
www.nature.com

Lung Ultrasound First Policy Controls Provider Covid 19 Exposure
www.diagnosticimaging.com

Covid 19 Infection In Iranian Children A Case Series Of 9 Patients Journal Of Pediatrics Review
jpediatricsreview.com

Case 25 2020 A 47 Year Old Woman With A Lung Mass Nejm
www.nejm.org

Radiological Findings From 81 Patients With Covid 19 Pneumonia In Wuhan China A Descriptive Study The Lancet Infectious Diseases
www.thelancet.com

Https Encrypted Tbn0 Gstatic Com Images Q Tbn 3aand9gcqdzclwyhlugpejvfrl3nsvn5zaubsbuv28pw Usqp Cau

The Radiology Assistant Covid 19 Imaging Findings
radiologyassistant.nl

Covid 19 Pneumonia Radiology Case Radiopaedia Org
radiopaedia.org

Ct Features Of Novel Coronavirus Pneumonia Covid 19 In Children Springerlink
link.springer.com

New Research Highlights Blood Clot Dangers Of Covid 19 Imaging Technology News
www.itnonline.com

Association Of Radiologic Findings With Mortality Of Patients Infected With 2019 Novel Coronavirus In Wuhan China
journals.plos.org

Coronavirus Ct Scans Show Ground Glass In Lungs Just Like Pneumonia Business Insider
www.businessinsider.com

Children With Covid 19 Often Have Negative Chest Ct Findings Study Shows
www.healthimaging.com

The Radiology Assistant Covid 19 Imaging Findings
radiologyassistant.nl

Radiologists Sharing Ct Scans X Rays In Global Effort To Prevent Covid 19 Deaths Abc News
www.abc.net.au

Temporal Changes Of Ct Findings In 90 Patients With Covid 19 Pneumonia A Longitudinal Study Radiology
pubs.rsna.org

The Role Of Chest Radiography In Confirming Covid 19 Pneumonia The Bmj
www.bmj.com

Https Alatorax Org Index Php Pt Descargar Adjunto 444 4ejm3b Coronavirus Disease 2019 Covid 19 Role Of Chest Ct In Diagnosis And Management Pdf

Micro Ct In Covid 19 In Vivo Imaging Experiments Blue Scientific
www.blue-scientific.com

The Radiology Assistant Covid 19 Imaging Findings
radiologyassistant.nl

Covid 19 Imminent In The U S How Radiologists Can Reduce The Spread
www.diagnosticimaging.com

The Role Of Chest Radiography In Confirming Covid 19 Pneumonia The Bmj
www.bmj.com

Incidental Covid 19 Related Lung Apical Findings On Stroke Cta During The Covid 19 Pandemic Journal Of Neurointerventional Surgery
jnis.bmj.com

Coronavirus What X Rays And Ct Scans Reveal About How Covid 19 Kills Science Tech News Sky News
news.sky.com

Covid 19 Pneumonia Radiology Case Radiopaedia Org
radiopaedia.org

Ct Chest Of Covid 19 Patients What Should A Radiologist Know Egyptian Journal Of Radiology And Nuclear Medicine Full Text
ejrnm.springeropen.com

Study Looks At Ct Findings Of Covid 19 Through Recovery Imaging Technology News
www.itnonline.com

Coronavirus Ct Scans Show Ground Glass In Lungs Just Like Pneumonia Business Insider
www.businessinsider.com

Using Lung X Rays To Diagnose Covid 19 Imaging Technology News
www.itnonline.com

The Radiology Assistant Covid 19 Imaging Findings
radiologyassistant.nl

The Radiology Assistant 32 Cases Of Suspected Covid 19
radiologyassistant.nl

Radiology Cardiothoracic Imaging Releases New Covid 19 Findings In Children Daic
www.dicardiology.com

The Radiology Assistant Co Rads Classification
radiologyassistant.nl

Review Of Chest Ct Manifestations Of Covid 19 Infection Sciencedirect
www.sciencedirect.com

The Radiology Assistant Covid 19 Imaging Findings
radiologyassistant.nl

Covid 19 Pneumonia What Has Ct Taught Us The Lancet Infectious Diseases
www.thelancet.com

A Guide To What To Know About Covid 19 Smart News Smithsonian Magazine
www.smithsonianmag.com

First Reported Case Of Unrepaired Tetralogy Of Fallot Complicated With Coronavirus Disease 19 Covid 19
www.cambridge.org

Covid 19 Pneumonia A Review Of Typical Ct Findings And Differential Diagnosis Sciencedirect
www.sciencedirect.com

Covid 19 Radiology Reference Article Radiopaedia Org
radiopaedia.org

Coronavirus Ct Scans Show Ground Glass In Lungs Just Like Pneumonia Business Insider
www.businessinsider.com

Ct Scans Show What Coronavirus Did To The Lungs Of Covid 19 Sufferers
www.newsweek.com

Radiological Findings From 81 Patients With Covid 19 Pneumonia In Wuhan China A Descriptive Study The Lancet Infectious Diseases
www.thelancet.com

Covid 19 Emcrit Project
emcrit.org

Case 25 2020 A 47 Year Old Woman With A Lung Mass Nejm
www.nejm.org

The Radiology Assistant Covid 19 Imaging Findings
radiologyassistant.nl

The Covid 19 Pandemic A Summary
thepathologist.com

Ct Provides Best Diagnosis For Novel Coronavirus Covid 19 Imaging Technology News
www.itnonline.com

X Ray Imaging For Covid 19 Patients Siemens Healthineers Saudi Arabia
www.siemens-healthineers.com

Coronavirus Disease Covid 19 Spectrum Of Ct Findings And Temporal Progression Of The Disease Academic Radiology
www.academicradiology.org

4 Imaging Features That Define Severe Covid 19
www.auntminnie.com

The Radiology Assistant Covid 19 Imaging Findings
radiologyassistant.nl

Coronavirus Disease 2019 Covid 19 A Perspective From China Radiology
pubs.rsna.org

Coronavirus What X Rays And Ct Scans Reveal About How Covid 19 Kills Science Tech News Sky News
news.sky.com

Imaging Covid 19 Ai An Initiative For Automated Diagnosis And Quantitative Analysis Of Covid 19 On Imaging
imagingcovid19ai.eu

Covid 19 Pneumonia Image Radiopaedia Org
radiopaedia.org

Covid 19 Radiology Reference Article Radiopaedia Org
radiopaedia.org

Covid 19 Pneumonia A Review Of Typical Ct Findings And Differential Diagnosis Sciencedirect
www.sciencedirect.com

Chest Ct Findings In Coronavirus Disease 19 Covid 19 Relationship To Duration Of Infection Radiology
pubs.rsna.org

The Pandemic Increase In Lung Ultrasound Use In Response To Covid 19 Can We Complement Computed Tomography Findings A Narrative Review The Ultrasound Journal Full Text
theultrasoundjournal.springeropen.com

Performance Of Radiologists In Differentiating Covid 19 From Non Covid 19 Viral Pneumonia At Chest Ct Radiology
pubs.rsna.org

Ajr Novel Coronavirus Covid 19 Imaging Features Overlap With Sars And Mers
medicalxpress.com

Cureus Radiological Findings In Patients With Covid 19
www.cureus.com

Temporal Changes Of Ct Findings In 90 Patients With Covid 19 Pneumonia A Longitudinal Study Radiology
pubs.rsna.org

Radiologists Sharing Ct Scans X Rays In Global Effort To Prevent Covid 19 Deaths Abc News
www.abc.net.au

Covid 19 Pneumonia Manifestations At The Admission On Chest Ultrasound Radiographs And Ct Single Center Study And Comprehensive Radiologic Literature Review Sciencedirect
www.sciencedirect.com

The Radiology Assistant Covid 19 Imaging Findings
radiologyassistant.nl

Performance Of Radiologists In Differentiating Covid 19 From Non Covid 19 Viral Pneumonia At Chest Ct Radiology
pubs.rsna.org

Ct Imaging Of The 2019 Novel Coronavirus 2019 Ncov Pneumonia Imaging Technology News
www.itnonline.com

The Radiology Assistant Covid 19 Imaging Findings
radiologyassistant.nl

Hazy On Ground Glass Opacities Here S What They Are Medpage Today
www.medpagetoday.com

Pulmonary Ct Manifestations Of Covid 19 Changes Within 2 Weeks Duration From Presentation Egyptian Journal Of Radiology And Nuclear Medicine Full Text
ejrnm.springeropen.com

Cureus Radiological Findings In Patients With Covid 19
www.cureus.com

Covid 19 Lung Patterns Show Few Clues For Treating Pneumonia Los Angeles Times
www.latimes.com

Coronavirus Disease 2019 Wikipedia
en.wikipedia.org

Covid 19 Imaging Radiologists Share Practical Advice
healthcare-in-europe.com

Incidental Covid 19 Findings Seen On Routine Fdg Pet Ct
www.auntminnie.com

Ct Imaging And Clinical Course Of Asymptomatic Cases With Covid 19 Pneumonia At Admission In Wuhan China Sciencedirect
www.sciencedirect.com

Covid 19 In Critically Ill Patients In The Seattle Region Case Series Nejm
www.nejm.org

Ct Scans Of Coronavirus Patients Reveal Nature And Extent Of Lung Damage
www.medicaldevice-network.com

Ct Imaging The Impact Of Covid 19 On Radiology
www.aidoc.com

Radiology Cardiothoracic Imaging Releases New Covid 19 Findings In Children Imaging Technology News
www.itnonline.com

Imaging The Coronavirus Disease Covid 19
healthcare-in-europe.com

close