Covid19

Covid 19 Chest X Ray And Ct Images

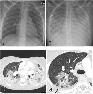
Serial Computed Tomographic Findings And Specific Clinical Features Of Pediatric Covid 19 Pneumonia A Case Report
www.wjgnet.com

Ai Runs Smack Up Against A Big Data Problem In Covid 19 Diagnosis Zdnet
www.zdnet.com

Covid 19 Lung Patterns Show Few Clues For Treating Pneumonia Los Angeles Times
www.latimes.com

X Ray May Be Missing Covid 19 Cases Found With Ct
www.auntminnie.com

Article Rsna Releases Consensus Statement On Reporting Chest Ct Findings Related To Covid 19
appliedradiology.com

New York Physicians Confirm Ct Is Best Way To Diagnose Coronavirus
www.laboratoryequipment.com

X Ray Identifies More Air Pressure Lung Injuries In Covid 19 Patients
www.diagnosticimaging.com

Free Ai Software Helps Find Covid 19 In Chest X Rays Fierceelectronics
www.fierceelectronics.com

Dutch Companies Offer Free Innovative Covid 19 Ai Software Imaging Technology News
www.itnonline.com

Digital Covid 19 Detection Kit Based On Chest X Ray Using Machine Learning And Sap Conversational Ai Sap Blogs
blogs.sap.com

Covid 19 Pneumonia What Has Ct Taught Us The Lancet Infectious Diseases
www.thelancet.com

Chest X Ray In New Coronavirus Disease 2019 Covid 19 Infection Findings And Correlation With Clinical Outcome Springerlink
link.springer.com

Covid 19 Pneumonia Radiology Case Radiopaedia Org
radiopaedia.org

Chest X Ray Findings Normal For Many Confirmed Covid 19 Cases
medicalxpress.com

Darwinai Open Sources Covid Net As Medical Imaging In Covid 19 Diagnosis Debate Continues Synced
syncedreview.com

Portable Chest X Ray In Coronavirus Disease 19 Covid 19 A Pictorial Review Sciencedirect
www.sciencedirect.com

The Radiology Assistant Covid 19 Imaging Findings
radiologyassistant.nl

Coronavirus What X Rays And Ct Scans Reveal About How Covid 19 Kills Science Tech News Sky News
news.sky.com

National Cancer Database At Uams Becomes U S Storehouse For Covid 19 Images Uams News
news.uams.edu

Imaging The Coronavirus Disease Covid 19
healthcare-in-europe.com

Coronavirus Disease 2019 Covid 19 A Perspective From China Radiology
pubs.rsna.org

Radiologists Sharing Ct Scans X Rays In Global Effort To Prevent Covid 19 Deaths Abc News
www.abc.net.au

X Ray Imaging For Covid 19 Patients Siemens Healthineers United Arab Emirates
www.siemens-healthineers.com

Vuno Offers A Suite Of Ai Solutions For Covid 19 Imaging Technology News
www.itnonline.com

Chris Cuomo Shares Chest X Rays After Coronavirus Diagnosis Cnn Video
www.cnn.com

Epidemiological And Clinical Characteristics Of 99 Cases Of 2019 Novel Coronavirus Pneumonia In Wuhan China A Descriptive Study The Lancet
www.thelancet.com

Imaging Confirms Coronavirus Transmits From Mother To Fetus
www.auntminnie.com

How Good Is Radiography For Covid 19 Detection
www.auntminnie.com

Imaging Ai And Radiomics To Understand And Fight Coronavirus Covid 19 Quibim
quibim.com

X Ray Imaging May Be Inadequate To Diagnose Covid 19 Radiography Medimaging Net
www.medimaging.net

Imaging Of Covid 19 Pneumonia A Critical Care Perspective Litfl
litfl.com

Chinese Researchers Detail Chest Ct Findings In Coronavirus Disease Covid 19 Pneumonia Eurekalert Science News
www.eurekalert.org

Artificial Intelligence Tool Identifies Covid 19 In Ct Scans
healthitanalytics.com

Ai Checks Ct Scans For Covid 19 Physics World
physicsworld.com

The Role Of Chest Radiography In Confirming Covid 19 Pneumonia The Bmj
www.bmj.com

Covid 19 Pneumonia Radiology Case Radiopaedia Org
radiopaedia.org

Coronavirus What X Rays And Ct Scans Reveal About How Covid 19 Kills Science Tech News Sky News
news.sky.com

Using Artificial Intelligence To Help Diagnose Covid 19 Tufts Now
now.tufts.edu

Covid 19 Pneumonia Radiology Case Radiopaedia Org
radiopaedia.org

Covid 19 Clinical Case Lecturio Youtube
www.youtube.com

Https Www Uclahealth Org Radiology Workfiles Pdf Ucla Covid19 Chest Radiographic Findings Pdf

Ara News X Ray Ct Uncover Novel Coronavirus Infected Pneumonia
www.ausrad.com

Review Of Chest Ct Manifestations Of Covid 19 Infection Sciencedirect
www.sciencedirect.com

Chest Ct Shows Covid 19 Damage To The Lungs
www.news-medical.net

The Role Of Chest Radiography In Confirming Covid 19 Pneumonia The Bmj
www.bmj.com

The Radiology Assistant Covid 19 Imaging Findings
radiologyassistant.nl

Normal Chest X Ray Doesn T Rule Out Covid 19
www.medscape.com

Covid 19 In Critically Ill Patients In The Seattle Region Case Series Nejm
www.nejm.org

Chest X Ray Can T Top Lab Testing Ct For Covid 19 But Remains Valuable
www.healthimaging.com

X Ray Imaging For Covid 19 Patients Siemens Healthineers Saudi Arabia
www.siemens-healthineers.com

Chest X Rays Can Predict Covid 19 Severity In Young And Middle Age Er Patients
www.diagnosticimaging.com

Researchers Develop Ai To Help Diagnose And Understand Covid 19 In Lung Images University Of Chicago News
news.uchicago.edu

Radiologists Ubc Students Build Database Of Covid 19 Lung Images Vancouver Sun
vancouversun.com

The Role Of Chest Radiography In Confirming Covid 19 Pneumonia The Bmj
www.bmj.com

Ai Can Pinpoint Covid 19 From Chest X Rays
www.medscape.com

Radiologists Sharing Ct Scans X Rays In Global Effort To Prevent Covid 19 Deaths Abc News
www.abc.net.au

Entropy Free Full Text Classification Of Covid 19 Coronavirus Pneumonia And Healthy Lungs In Ct Scans Using Q Deformed Entropy And Deep Learning Features
www.mdpi.com

Progression Of Covid 19 Infection Youtube
www.youtube.com

The Radiology Assistant Covid 19 Imaging Findings
radiologyassistant.nl

Novel Coronavirus Covid 19 A New Emerging Pandemic Threat Middle East Medical Portal
www.middleeastmedicalportal.com

Cureus Radiological Findings In Patients With Covid 19
www.cureus.com

X Ray Imaging For Covid 19 Patients Siemens Healthineers Saudi Arabia
www.siemens-healthineers.com

Predicting Covid 19 Pneumonia Severity On Chest X Ray With Deep Learning Axis Imaging News
www.axisimagingnews.com

Chest X Rays Show More Severe Covid 19 In Non White Patients Imaging Technology News
www.itnonline.com

Covid 19 Surge Helps Ai Researchers Amass Lung Scans
www.statnews.com

Artificial Intelligence Spots Covid 19 In Chest X Rays
pharmaphorum.com

Truncated Inception Net Covid 19 Outbreak Screening Using Chest X Rays Springerlink
link.springer.com

Chest Imaging Guidance For Pediatric Covid 19 Patients International Consensus
www.diagnosticimaging.com

Deep Covid Predicting Covid 19 From Chest X Ray Images Using Deep Transfer Learning Sciencedirect
www.sciencedirect.com

The Groundbreaking Way To Search Lungs For Signs Of Covid 19 Bbc News
www.bbc.com

Cureus Neurological Complications Of Coronavirus Disease Covid 19 Encephalopathy
www.cureus.com

Imaging The Coronavirus Disease Covid 19
healthcare-in-europe.com

X Ray Imaging For Covid 19 Patients Siemens Healthineers Saudi Arabia
www.siemens-healthineers.com

Pediatric Coronavirus Disease Covid 19 X Ray Ct In Review Of New Lung Disorders
medicalxpress.com

Covid 19 Chest Radiography Deep Learning Virus Detection Vision Systems Design
www.vision-systems.com

New U Of C Center To Aid Covid 19 Research Chicago Tribune
www.chicagotribune.com

Typical And Atypical Ct Findings In An Rt Pcr Confirmed Covid 19 Patient Eurorad
www.eurorad.org

Darwinai Wants To Help Identify Coronavirus In X Rays But Radiologists Aren T Convinced Venturebeat
venturebeat.com

Free Trial Of Dicom Viewer For Covid 19 Softneta
www.softneta.com

Ai Checks Ct Scans For Covid 19
www.trialsitenews.com

Radiology Of Covid 19 Infection In Children Imaging Findings And Recommendations Boston Children S Discoveries
discoveries.childrenshospital.org

Chest X Rays For Recovered Covid 19 Patient In Grove City Revealed Blockage Blood Clots Wsyx
abc6onyourside.com

Imaging The Coronavirus Disease Covid 19
healthcare-in-europe.com

Using Deep Learning To Detect Pneumonia Caused By Ncov 19 From X Ray Images By Ayrton San Joaquin Towards Data Science
towardsdatascience.com

Chest X Ray May Overlook Coronavirus Cases Apparent On Ct
www.healthimaging.com

Imaging Covid 19 Evaluating Available Options
www.diagnosticimaging.com

X Rays Can Now Diagnose Covid 19 Say Dutch Software Developers Axis Imaging News
www.axisimagingnews.com

Github Ieee8023 Covid Chestxray Dataset We Are Building An Open Database Of Covid 19 Cases With Chest X Ray Or Ct Images
github.com

Ai Tool Gives Doctors A New Look At The Lungs In Treating Covid 19
medicalxpress.com

New Research Finds Chest X Ray Not Reliable Diagnostic Tool For Covid 19 Imaging Technology News
www.itnonline.com

How Good Is Radiography For Covid 19 Detection
www.auntminnie.com

Studies Profile Lung Changes In Asymptomatic Covid 19 Viral Loads In Patient Samples Cidrap
www.cidrap.umn.edu

Coronavirus What X Rays And Ct Scans Reveal About How Covid 19 Kills Science Tech News Sky News
news.sky.com

Images Of Lungs From Covid 19 Patients Reveal Diagnostic Significance Health And Medicine
www.labroots.com

Ai Algorithms For Analyzing Chest X Ray Ct Scan Aid In Treatment Of Covid 19 Infected Patients Industry News Medimaging Net
www.medimaging.net

New Study Looks At Post Covid 19 Emerging Disease In Children Imaging Technology News
www.itnonline.com

Covid 19 Outbreak In Italy Experimental Chest X Ray Scoring System For Quantifying And Monitoring Disease Progression Springerlink
link.springer.com

Hospitals Deploy Ai Tools To Detect Covid 19 On Chest Scans Ieee Spectrum
spectrum.ieee.org

Acep Chest X Ray And Ct
www.acep.org

Covid 19 Pneumonia Radiology Case Radiopaedia Org
radiopaedia.org

close