Covid19

Covid 19 Chest X Ray Vs Pneumonia

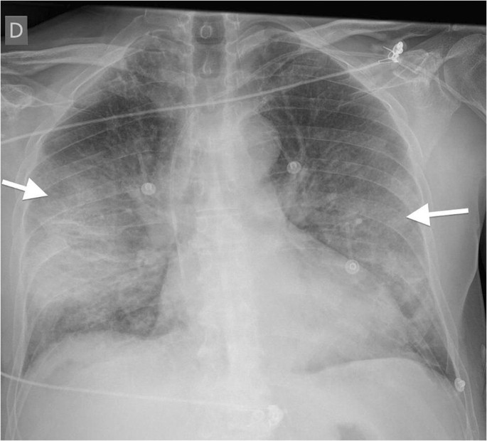
The Radiology Assistant Covid 19 Imaging Findings
radiologyassistant.nl

Covid 19 Pneumonia Radiology Case Radiopaedia Org
radiopaedia.org

Coronavirus Chris Cuomo Shares Covid 19 Health Update
www.usatoday.com

Using Artificial Intelligence To Help Diagnose Covid 19 Tufts Now
now.tufts.edu

The Groundbreaking Way To Search Lungs For Signs Of Covid 19 Bbc News
www.bbc.com

Imaging The Coronavirus Disease Covid 19
healthcare-in-europe.com

The Radiology Assistant Covid 19 Imaging Findings
radiologyassistant.nl

Radiologists Sharing Ct Scans X Rays In Global Effort To Prevent Covid 19 Deaths Abc News
www.abc.net.au

Radiologists Use Deep Learning To Find Signs Of Covid 19 In Chest X Rays Hub
hub.jhu.edu

Diagnostics Free Full Text Weakly Labeled Data Augmentation For Deep Learning A Study On Covid 19 Detection In Chest X Rays Html
www.mdpi.com

Oxford Uni Spin Out Zegami Seeks Nhs X Rays For Covid 19 Diagnostic
pharmaphorum.com

Coronet A Deep Neural Network For Detection And Diagnosis Of Covid 19 From Chest X Ray Images Sciencedirect
www.sciencedirect.com

Ai Can Pinpoint Covid 19 From Chest X Rays
www.medscape.com

Detecting Covid 19 Induced Pneumonia From Chest X Rays With Transfer Learning An Implementation In Tensorflow And Keras By Adrian Yijie Xu Towards Data Science
towardsdatascience.com

X Ray May Be Missing Covid 19 Cases Found With Ct
www.auntminnie.com

The Role Of Chest Radiography In Confirming Covid 19 Pneumonia The Bmj
www.bmj.com

Imaging The Coronavirus Disease Covid 19
healthcare-in-europe.com

Health Care Startup Braid Turns Its Radiology Tech To Coronavirus Wsj
www.wsj.com

Chest X Ray Findings Normal For Many Confirmed Covid 19 Cases
medicalxpress.com

Covid 19 Pneumonia Radiology Case Radiopaedia Org
radiopaedia.org

Covid 19 Lung Patterns Show Few Clues For Treating Pneumonia Los Angeles Times
www.latimes.com

X Ray Imaging For Covid 19 Patients Siemens Healthineers South Africa
www.siemens-healthineers.com

Why Is Patient S Pneumonia Not Responding To Treatment Medpage Today
www.medpagetoday.com

Covid 19 Clinical Case Lecturio Youtube
www.youtube.com

The Radiology Assistant Covid 19 Imaging Findings
radiologyassistant.nl

Radiographic Severity Index In Covid 19 Pneumonia Relationship To Age And Sex In 783 Italian Patients Springerlink
link.springer.com

Ai Runs Smack Up Against A Big Data Problem In Covid 19 Diagnosis Zdnet
www.zdnet.com

Pediatric Coronavirus Disease Covid 19 X Ray Ct In Review Of New Lung Disorders
medicalxpress.com

First Case Of Coronavirus Disease 2019 Covid 19 Pneumonia In Taiwan Sciencedirect
www.sciencedirect.com

Covid 19 Pneumonia Radiology Case Radiopaedia Org
radiopaedia.org

Chest X Rays Show More Severe Covid 19 In Non White Patients Imaging Technology News
www.itnonline.com

A Medical Worker Describes Terrifying Lung Failure From Covid 19 Even In His Young Patients Propublica
www.propublica.org

The Groundbreaking Way To Search Lungs For Signs Of Covid 19 Bbc News
www.bbc.com

Distinguishing Covid 19 Using Chest X Rays Analytics Insight
www.analyticsinsight.net

New Research Finds Chest X Ray Not Reliable Diagnostic Tool For Covid 19 Imaging Technology News
www.itnonline.com

Chest X Ray Used To Analyze First Us Patient With Coronavirus
www.healthimaging.com

Covid 19 Outbreak In Italy Experimental Chest X Ray Scoring System For Quantifying And Monitoring Disease Progression Springerlink
link.springer.com

No Increased Risk Of Severe Covid 19 In People Living With Hiv But Vigilance Over Bacterial Pneumonia Required Aidsmap
www.aidsmap.com

How Good Is Radiography For Covid 19 Detection
www.auntminnie.com

Coronavirus What X Rays And Ct Scans Reveal About How Covid 19 Kills Science Tech News Sky News
news.sky.com

Covid 19 Chest Radiography Deep Learning Virus Detection Vision Systems Design
www.vision-systems.com

Behold Ai S Red Dot Ai Algorithm Identifies Chest X Rays From Covid 19 Patients As Abnormal Behold Ai
behold.ai

Chest X Ray Findings In 636 Ambulatory Patients With Covid 19 Presenting To An Urgent Care Center A Normal Chest X Ray Is No Guarantee Journal Of Urgent Care Medicine
www.jucm.com

Portable Chest X Ray In Coronavirus Disease 19 Covid 19 A Pictorial Review Sciencedirect
www.sciencedirect.com

Https Hal Archives Ouvertes Fr Hal 02533605 Document

X Ray Identifies More Air Pressure Lung Injuries In Covid 19 Patients
www.diagnosticimaging.com

New Report On First Us Case Of Novel Coronavirus Details Mild Symptoms Followed By Pneumonia Cnn
www.cnn.com

Cureus Radiological Findings In Patients With Covid 19
www.cureus.com

Chinese Researchers Detail Chest Ct Findings In Coronavirus Disease Covid 19 Pneumonia Eurekalert Science News
www.eurekalert.org

Chest Imaging Guidance For Pediatric Covid 19 Patients International Consensus
www.diagnosticimaging.com

Distinguishing Covid 19 Using Chest X Rays Analytics Insight
www.analyticsinsight.net

Progression Of Covid 19 Infection Youtube
www.youtube.com

Ai Is Helping Triage Coronavirus Patients The Tools May Be Here To Stay Mit Technology Review
www.technologyreview.com

Cureus Acute Respiratory Failure Secondary To Covid 19 Viral Pneumonia Managed With Hydroxychloroquine Azithromycin Treatment
www.cureus.com

Studies Profile Lung Changes In Asymptomatic Covid 19 Viral Loads In Patient Samples Cidrap
www.cidrap.umn.edu

X Ray Imaging For Covid 19 Patients Siemens Healthineers South Africa
www.siemens-healthineers.com

Covid 19 Pneumonia Radiology Case Radiopaedia Org
radiopaedia.org

Covid 19 Pneumonia Patient Shows Significant Improvements Following Laser Treatment At Massachusetts Hospital
www.prnewswire.com

What They Don T Tell You About Surviving Covid 19
www.timesunion.com

Darwinai Wants To Help Identify Coronavirus In X Rays But Radiologists Aren T Convinced Venturebeat
venturebeat.com

Chest X Ray May Overlook Coronavirus Cases Apparent On Ct
www.healthimaging.com

The Role Of Chest Radiography In Confirming Covid 19 Pneumonia The Bmj
www.bmj.com

Normal Chest X Ray Doesn T Rule Out Covid 19
www.medscape.com

Typical And Atypical Ct Findings In An Rt Pcr Confirmed Covid 19 Patient Eurorad
www.eurorad.org

How Good Is Radiography For Covid 19 Detection
www.auntminnie.com

Navigating The Diagnostics Of Covid 19 Springerlink
link.springer.com

Ai Tool Gives Doctors A New Look At The Lungs In Treating Covid 19
www.princeton.edu

New Research Finds Chest X Ray Isn T Reliable Diagnostic Tool For Covid 19 Axis Imaging News
www.axisimagingnews.com

A Neural Network Can Help Spot Covid 19 In Chest X Rays Mit Technology Review
www.technologyreview.com

Images Of Lungs From Covid 19 Patients Reveal Diagnostic Significance Health And Medicine
www.labroots.com

Covid 19 Pneumonia Radiology Case Radiopaedia Org
radiopaedia.org

Covid 19 Chest Radiography Deep Learning Virus Detection Vision Systems Design
www.vision-systems.com

Epidemiological And Clinical Characteristics Of 99 Cases Of 2019 Novel Coronavirus Pneumonia In Wuhan China A Descriptive Study The Lancet
www.thelancet.com

For Recruits Covid 19 Is Just Another Preexisting Condition Air Force Magazine
www.airforcemag.com

Coronavirus Disease 2019 Covid 19 A Perspective From China Radiology
pubs.rsna.org

Radiology Of Covid 19 Infection In Children Imaging Findings And Recommendations Boston Children S Discoveries
discoveries.childrenshospital.org

Covid 19 Pneumonia Radiology Case Radiopaedia Org
radiopaedia.org

Covid 19 Outbreak In Italy Experimental Chest X Ray Scoring System For Quantifying And Monitoring Disease Progression Research Square
www.researchsquare.com

Digital Covid 19 Detection Kit Based On Chest X Ray Using Machine Learning And Sap Conversational Ai Sap Blogs
blogs.sap.com

Covid 19 Pneumonia As A Cause Of Acute Chest Syndrome In An Adult Sickle Cell Patient Beerkens 2020 American Journal Of Hematology Wiley Online Library
onlinelibrary.wiley.com

Chest X Rays In The Er Can Help Predict Severity Of Covid 19 In Younger Patients Imaging Technology News
www.itnonline.com

A Window Inside The Body And Covid 19 Iaea
www.iaea.org

Ucsd Health Using Ai To Identify Pneumonia Helping Covid 19 Analysis Nbc 7 San Diego
www.nbcsandiego.com

Cureus Neurological Complications Of Coronavirus Disease Covid 19 Encephalopathy
www.cureus.com

Ara News X Ray Ct Uncover Novel Coronavirus Infected Pneumonia
www.ausrad.com

Predicting Covid 19 Pneumonia Severity On Chest X Ray With Deep Learning Axis Imaging News
www.axisimagingnews.com

Ai Distinguishing Pneumonia From Covid 19 From Chest X Rays Medica World Forum For Medicine
www.medica-tradefair.com

Covid 19 Pneumonia Radiology Case Radiopaedia Org
radiopaedia.org

Github Ieee8023 Covid Chestxray Dataset We Are Building An Open Database Of Covid 19 Cases With Chest X Ray Or Ct Images
github.com

Truncated Inception Net Covid 19 Outbreak Screening Using Chest X Rays Springerlink
link.springer.com

Deep Covid Predicting Covid 19 From Chest X Ray Images Using Deep Transfer Learning Sciencedirect
www.sciencedirect.com

Covid 19 Pneumonia Radiology Case Radiopaedia Org
radiopaedia.org

The Role Of Chest Radiography In Confirming Covid 19 Pneumonia The Bmj
www.bmj.com

Radiologists Sharing Ct Scans X Rays In Global Effort To Prevent Covid 19 Deaths Abc News
www.abc.net.au

Using Deep Learning To Detect Pneumonia Caused By Ncov 19 From X Ray Images By Ayrton San Joaquin Towards Data Science
towardsdatascience.com

Imaging Of Covid 19 Pneumonia A Critical Care Perspective Litfl
litfl.com

Ai Distinguishing Pneumonia From Covid 19 From Chest X Rays Medica World Forum For Medicine
www.medica-tradefair.com

Covid 19 Kaggle Chest X Ray Normal Qmenta
www.qmenta.com

Covid 19 Surge Helps Ai Researchers Amass Lung Scans
www.statnews.com

Chest X Ray Interpretation Explained Clearly How To Read A Chest Xray Youtube
m.youtube.com

close