Covid19

Covid 19 Lungenroentgen

Coughing And Fever After Surfing In Central America Springerlink
link.springer.com

Aktuelles Oerg
www.oerg.at

Lungenultraschall Chance Fur Einen Unterschatzten Helfer
healthcare-in-europe.com

Diagnosezentrum Med22 Lungenrontgen Thoraxrontgen Cor Pulmo
www.diagnosezentrum-med22.at

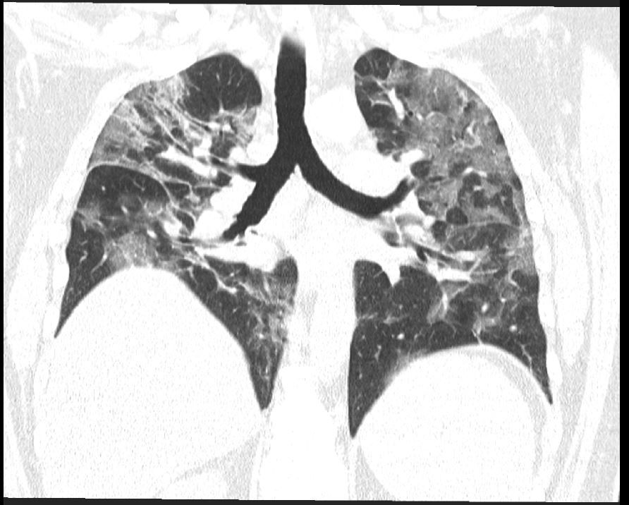
2019 Ncov Milchglastrubungen Und Konsolidierungen Im Thorax Ct
www.aerzteblatt.de

Corona Spatfolgen Genesene Haben Teilweise Reduzierte Lungenfunktion Wissen Umwelt Dw 19 03 2020
www.dw.com

Erfahrungen Eines Pneumologen Mit Covid 19 Dieses Virus Ist Anders Wissen Tagesspiegel
www.tagesspiegel.de

Vorlage Fur Die Standardisierte Beurteilung Von Covid 19 Im Ct
healthcare-in-europe.com

Companion Animal Practice Pdf Free Download
docplayer.net

Covid 19 Unterstutzende Diagnostik Durch Die Ct
healthcare-in-europe.com

Corona Infizierte Schwerkranke Patienten Lange Auf Intensivstationen Bvz At
m.bvz.at

Was Passiert Bei Covid 19 In Der Lunge Tum
www.tum.de

Tauchmediziner Warnt Vor Gefahrlichen Folgen Einer Covid 19 Infektion Coronavirus Derstandard At Panorama
www.derstandard.at

Radiologie Und Covid 19 Ein Lungen Ct Nicht Ohne Rechtfertigende Indikation
www.aerzteblatt.de

Expertos De Oms Visitan Epicentro Del Covid 19 En China China Dw 24 02 2020
www.dw.com

Coronavirus News Aktuell Zerstorte Lunge Schock Fotos Von Corona Patienten Veroffentlicht News De
www.news.de

Kardiogener Schock Springerlink
link.springer.com

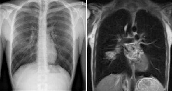
Thoraxrontgen Herz Lungen Rontgen Diagnosezentrum Wien Gersthof Diagnosticum Dr Sochor
www.diagnosticum.at

Vorlage Fur Die Standardisierte Beurteilung Von Covid 19 Im Ct
healthcare-in-europe.com

How Is Tunisia Developing Medtech To Fight Covid19 With Limited Resources Euronews
www.euronews.com

Bildanalyse Ki Erkennt Covid 19 In Rontgenaufnahmen
mixed.de

E4b7 Ahod6c2tm

Vorlage Fur Die Standardisierte Beurteilung Von Covid 19 Im Ct
healthcare-in-europe.com

Die Radiologische Diagnose Der Covid 19 Pneumonie Luzerner Kantonsspital
www.luks.ch

Covid 19 Ein Grosser Uberblick Fur Die Akut Und Intensivmedizin Nerdfallmedizin De
nerdfallmedizin.blog

Das Besondere An Covid 19 Jede Lungenentzundung Ist Gefahrlich N Tv De
www.n-tv.de

Rontgen Thorax Befundung Youtube
m.youtube.com

Virusforschungskonzept Mit Lupe In Drahtgitterhand Und Abstrakten Neuartigen Coronavirus Bakterien Covid 19 Lupe Und Viruszelle Hautnah Premium Vektor
de.freepik.com

Risikopatientin Aus Bruchkobel Wird Trotz Schwerer Symptome Nicht Getestet Bruchkobel
www.op-online.de

Http Www Zora Uzh Ch 123884 1 Ejcap 21 1 Pdf

Companion Animal Practice Pdf Free Download
docplayer.net

Corona Spatfolgen Genesene Haben Teilweise Reduzierte Lungenfunktion Wissen Umwelt Dw 19 03 2020
www.dw.com

Experten Empfehlen Lungen Ultraschall Bei Covid 19
healthcare-in-europe.com

Covid 19 Welche Radiologischen Befunde Zu Erwarten Sind
www.aerzteblatt.de

Eine Rontgenaufnahme Des Thorax Mit Sternenhimmel
www.aerzteblatt.de

How Is Tunisia Developing Medtech To Fight Covid19 With Limited Resources Euronews
www.euronews.com

Willkommen Bei Der Deutschen Lungenstiftung E V
lungenstiftung.de

Https Inis Iaea Org Collection Nclcollectionstore Public 16 060 16060558 Pdf

Covid 19 Ein Grosser Uberblick Fur Die Akut Und Intensivmedizin Nerdfallmedizin De
nerdfallmedizin.blog

Covid 19 Bildgebung Lungenembolien Im Ct
healthcare-in-europe.com

Imaging Of Community Acquired Pneumonia Roles Of Imaging Examinations Imaging Diagnosis Of Specific Pathogens And Discrimination From Noninfectious Diseases
www.researchgate.net

Die Vielen Gesichter Der Pneumonie
healthcare-in-europe.com

Rontgen Software Fur Covid 19 Diagnose
www.mta-dialog.de

Corona Computertomograph Bei Covid 19 Diagnose Umstritten Mdr De
www.mdr.de

Taucher Mit Massiven Lungenschaden Wie Gefahrlich Ist Covid 19 Wirklich Kurier At
kurier.at

Vorlage Fur Die Standardisierte Beurteilung Von Covid 19 Im Ct
healthcare-in-europe.com

So Zerstort Coronavirus Schlimmstenfalls Die Lunge
www.rtl.de

How Is Tunisia Developing Medtech To Fight Covid19 With Limited Resources Euronews
www.euronews.com

Http Www Zora Uzh Ch 123884 1 Ejcap 21 1 Pdf

Covid 19 Pneumonie Mit Lungenultraschall Schnell Erkennen Und Klinikpersonal Schutzen
www.der-niedergelassene-arzt.de

Pneumologie Unsere Krankheitsbilder Im Rontgenbild
www.caritasklinikum.de

2 Telemeeting Mit Prim Doz Dr Valipour Covid 19 Und Lungenfibrose Lungenfibrose Forum Austria
www.lungenfibroseforum.at

Http Www Zora Uzh Ch 123884 1 Ejcap 21 1 Pdf

Companion Animal Practice Pdf Free Download
docplayer.net

Http Www Zora Uzh Ch 123884 1 Ejcap 21 1 Pdf

Corona Virus Wir Informieren Lungenfacharztliche Gruppenpraxis
www.lungenzentrumwien.at

Expertos De Oms Visitan Epicentro Del Covid 19 En China China Dw 24 02 2020
www.dw.com

Radiologie Und Covid 19 Ein Lungen Ct Nicht Ohne Rechtfertigende Indikation
www.aerzteblatt.de

Http Www Zora Uzh Ch 123884 1 Ejcap 21 1 Pdf

Kardiogener Schock Springerlink
link.springer.com

Http Www Zora Uzh Ch 123884 1 Ejcap 21 1 Pdf

Die Vielen Gesichter Der Pneumonie
healthcare-in-europe.com

Covid 19 Unterstutzende Diagnostik Durch Die Ct
healthcare-in-europe.com

Covid 19 Pneumonie Mit Lungenultraschall Schnell Erkennen Und Klinikpersonal Schutzen
www.der-niedergelassene-arzt.de

Covid 19 Drg De
www.drg.de

Virusforschungskonzept Mit Lupe In Drahtgitterhand Und Abstrakten Neuartigen Coronavirus Bakterien Covid 19 Lupe Und Viruszelle Hautnah Premium Vektor
de.freepik.com

Wiener Software Erkennt Das Coronavirus Auf Rontgenbildern Futurezone At
futurezone.at

Covid 19 Patient Ein Arzt Aus Dem Klinikum Landsberg Berichtet Landsberg
www.kreisbote.de

Radiologie Und Covid 19 Ein Lungen Ct Nicht Ohne Rechtfertigende Indikation
www.aerzteblatt.de

2

Coronavirus Infektion Covid 19 Bei Patienten Mit Blut Und Krebserkrankungen Onkopedia
www.onkopedia.com

Lungenprobleme Bei Covid 19 Radiologie Stuttgart Erforscht Die Folgen Coronavirus Wissen Swr2 Swr
www.swr.de

Covid 19 Patient Ein Arzt Aus Dem Klinikum Landsberg Berichtet Landsberg
www.kreisbote.de

Lunge Rontgen Lassen In Ulm Dann Ist Es Notwendig
www.lungenzentrum-ulm.de

Pulmonale Und Pleurale Infektionen Alle Verfahren Kommen Zum Einsatz
healthcare-in-europe.com

E4b7 Ahod6c2tm

Coughing And Fever After Surfing In Central America Springerlink
link.springer.com

Themenwelt Radiologie Georg Thieme Verlag
www.thieme.de

Diagnosezentrum Wien Gersthof Diagnosticum Dr Sochor
www.diagnosticum.at

Vorlage Fur Die Standardisierte Beurteilung Von Covid 19 Im Ct
healthcare-in-europe.com

Corona Spatfolgen Genesene Haben Teilweise Reduzierte Lungenfunktion Wissen Umwelt Dw 19 03 2020
www.dw.com

Pulmonale Und Pleurale Infektionen Alle Verfahren Kommen Zum Einsatz
healthcare-in-europe.com

Pneumologie Unsere Krankheitsbilder Im Rontgenbild
www.caritasklinikum.de

Wiener Software Erkennt Das Coronavirus Auf Rontgenbildern Futurezone At
futurezone.at

Coronavirus Wie Lasst Sich Der Sprunghafte Anstieg Der Covid 19 Fallzahlen Erklaren Der Spiegel
www.spiegel.de

Die Radiologische Diagnose Der Covid 19 Pneumonie Luzerner Kantonsspital
www.luks.ch

Lungenprobleme Bei Covid 19 Radiologie Stuttgart Erforscht Die Folgen Coronavirus Wissen Swr2 Swr
www.swr.de

Companion Animal Practice Pdf Free Download
docplayer.net

Aktuelles Oerg
www.oerg.at

Ge Healthcare Grosse Herausforderungen In Zeiten Von Covid 19
www.ge-ultraschall.com

Brasiliens Prasident Bolsonaro Positiv Auf Covid 19 Getestet Brasilien Derstandard At International
www.derstandard.at

Fakten Zu Asbest
healthcare-in-europe.com

Covid 19 Patient Ein Arzt Aus Dem Klinikum Landsberg Berichtet Landsberg
www.kreisbote.de

Verdacht In Purkersdorf Trotz Symptome Noch Kein Corona Test Non At
www.noen.at

Http Www Zora Uzh Ch 123884 1 Ejcap 21 1 Pdf

Coronavirus Auch Viele Junge Mit Einem Sehr Schweren Verlauf Kurier At
kurier.at

Rontgenmethode Fur Corona Diagnose Im Patiententest
www.medica.de

Coughing And Fever After Surfing In Central America Springerlink
link.springer.com

Covid 19 Wie Die Viren Die Lunge Fruhzeitig Schadigen
www.aerzteblatt.de

Http Www Zora Uzh Ch 123884 1 Ejcap 21 1 Pdf

close