Covid19

Covid Cxr Appearance

Radiology Lessons For Coronavirus From The Sars And Mers Epidemics Imaging Technology News
www.itnonline.com

Chest Imaging Guidance For Pediatric Covid 19 Patients International Consensus
www.diagnosticimaging.com

Https Arxiv Org Pdf 2003 10849

The Role Of Chest Radiography In Confirming Covid 19 Pneumonia The Bmj
www.bmj.com

Kjr Korean Journal Of Radiology
www.kjronline.org

Chest X Ray May Overlook Coronavirus Cases Apparent On Ct
www.healthimaging.com

Imaging The Coronavirus Disease Covid 19
healthcare-in-europe.com

The Role Of Chest Radiography In Confirming Covid 19 Pneumonia The Bmj
www.bmj.com

Rapidly Progressive Ards Secondary To Covid 19 Infection Eurorad
www.eurorad.org

Cureus A Coronavirus Disease 2019 Covid 19 Patient With Multifocal Pneumonia Treated With Hydroxychloroquine
www.cureus.com

Coronavirus What X Rays And Ct Scans Reveal About How Covid 19 Kills Science Tech News Sky News
news.sky.com

Imaging The Coronavirus Disease Covid 19
healthcare-in-europe.com

Acr Releases Ct And Chest X Ray Guidance Amid Covid 19 Pandemic Diagnostic Imaging
www.diagnosticimaging.com

Https Www Clinicalradiologyonline Net Article S0009 9260 20 30142 2 Pdf

Ai Distinguishing Pneumonia From Covid 19 From Chest X Rays Medica World Forum For Medicine
www.medica-tradefair.com

The Role Of Imaging In 2019 Novel Coronavirus Pneumonia Covid 19 Springerlink
link.springer.com

Https Www Uclahealth Org Radiology Workfiles Pdf Ucla Covid19 Chest Radiographic Findings Pdf

Pandemics Don T Wait How We Built Covid Net In Under 7 Days Synced
syncedreview.com

Detecting Covid 19 Induced Pneumonia From Chest X Rays With Transfer Learning An Implementation In Tensorflow And Keras By Adrian Yijie Xu Towards Data Science
towardsdatascience.com

Covid 19 Coronavirus Diagnosis Chest X Ray And Ct Scan
www.verywellhealth.com

Truncated Inception Net Covid 19 Outbreak Screening Using Chest X Rays Springerlink
link.springer.com

Kjr Korean Journal Of Radiology
www.kjronline.org

A Neural Network Can Help Spot Covid 19 In Chest X Rays Mit Technology Review
www.technologyreview.com

X Ray Imaging For Covid 19 Patients Siemens Healthineers South Africa
www.siemens-healthineers.com

Kjr Korean Journal Of Radiology
www.kjronline.org

Radiologists Sharing Ct Scans X Rays In Global Effort To Prevent Covid 19 Deaths Abc News
www.abc.net.au

Chest X Ray Used To Analyze First Us Patient With Coronavirus
www.healthimaging.com

Covid 19 Emcrit Project
emcrit.org

Artificial Intelligence Shows Potential For Triaging Chest X Rays
www.rsna.org

X Ray Imaging For Covid 19 Patients Siemens Healthineers Saudi Arabia
www.siemens-healthineers.com

Diagnostic Impact Of Bedside Chest X Ray Features Of 2019 Novel Coronavirus In The Routine Admission At The Emergency Department Case Series From Lombardy Region European Journal Of Radiology
www.ejradiology.com

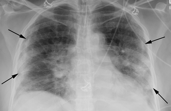
Covid 19 Radiology Reference Article Radiopaedia Org
radiopaedia.org

Mers Cov Middle East Respiratory Syndrome Corona Virus Can Radiology Be Of Help Initial Single Center Experience Sciencedirect
www.sciencedirect.com

X Ray Imaging For Covid 19 Patients Siemens Healthineers South Africa
www.siemens-healthineers.com

Chest X Ray Findings Normal In Patients With Confirmed Covid 19
www.patientcareonline.com

Https Www Uclahealth Org Radiology Workfiles Pdf Ucla Covid19 Chest Radiographic Findings Pdf

X Ray Imaging For Covid 19 Patients Siemens Healthineers Saudi Arabia
www.siemens-healthineers.com

Emdocs Net Emergency Medicine Educationunderstanding The Role Of Cxr For Ambulatory Patients In The Era Of Covid 19 Emdocs Net Emergency Medicine Education
www.emdocs.net

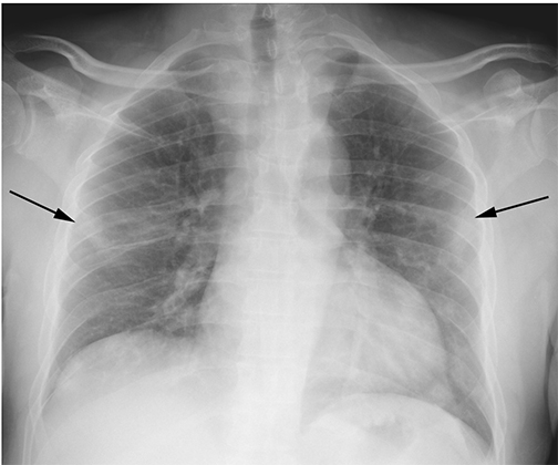
Covid 19 Pneumonia Radiology Case Radiopaedia Org
radiopaedia.org

Coronavirus Chris Cuomo Shares Covid 19 Health Update
www.usatoday.com

X Ray Ct Uncover Novel Coronavirus Infected Pneumonia
www.auntminnie.com

Diagnostics Free Full Text Weakly Labeled Data Augmentation For Deep Learning A Study On Covid 19 Detection In Chest X Rays Html
www.mdpi.com

Covid 19 Pneumonia Radiology Case Radiopaedia Org
radiopaedia.org

Chest X Ray And Ct Findings Of Young Covid 19 Patients Undergoing Non Invasive Treatment Eurorad
www.eurorad.org

First Imported Case Of 2019 Novel Coronavirus In Canada Presenting As Mild Pneumonia The Lancet
www.thelancet.com

Chest Imaging Guidance For Pediatric Covid 19 Patients International Consensus
www.diagnosticimaging.com

Https Arxiv Org Pdf 2004 05758

Chest X Ray In New Coronavirus Disease 2019 Covid 19 Infection Findings And Correlation With Clinical Outcome Springerlink
link.springer.com

Covid 19 Pneumonia Manifestations At The Admission On Chest Ultrasound Radiographs And Ct Single Center Study And Comprehensive Radiologic Literature Review Sciencedirect
www.sciencedirect.com

Studies Profile Lung Changes In Asymptomatic Covid 19 Viral Loads In Patient Samples Cidrap
www.cidrap.umn.edu

Ai Distinguishing Pneumonia From Covid 19 From Chest X Rays Medica World Forum For Medicine
www.medica-tradefair.com

Chest X Rays In The Er Can Help Predict Severity Of Covid 19 In Younger Patients Imaging Technology News
www.itnonline.com

Covid 19 Radiology Reference Article Radiopaedia Org
radiopaedia.org

Imaging Considerations In Covid 19 Patients Technology Health Care Radius
www.healthcareradius.in

The Radiology Assistant Covid 19 Imaging Findings
radiologyassistant.nl

Chest X Ray Findings In 636 Ambulatory Patients With Covid 19 Presenting To An Urgent Care Center A Normal Chest X Ray Is No Guarantee Journal Of Urgent Care Medicine
www.jucm.com

X Ray Imaging For Covid 19 Patients Siemens Healthineers Saudi Arabia
www.siemens-healthineers.com

Truncated Inception Net Covid 19 Outbreak Screening Using Chest X Rays Springerlink
link.springer.com

Radiological Findings For Diagnosis Of Sars Cov 2 Pneumonia Covid 19 Medicina Clinica English Edition
www.elsevier.es

Radiologists Describe Coronavirus Ct Imaging Features Imaging Technology News
www.itnonline.com

Lsu Health New Orleans Radiologists Find Chest X Rays Highly Predictive Of Covid 19
www.lsuhsc.edu

The Groundbreaking Way To Search Lungs For Signs Of Covid 19 Bbc News
www.bbc.com

Viral Pneumonia Imaging Practice Essentials Radiography Computed Tomography
emedicine.medscape.com

Radiologists Use Deep Learning To Find Signs Of Covid 19 In Chest X Rays Hub
hub.jhu.edu

Coronet A Deep Neural Network For Detection And Diagnosis Of Covid 19 From Chest X Ray Images Sciencedirect
www.sciencedirect.com

The Radiology Assistant Covid 19 Imaging Findings
radiologyassistant.nl

Chest Ct Shows Covid 19 Damage To The Lungs
www.news-medical.net

How Good Is Radiography For Covid 19 Detection
www.auntminnie.com

The Role Of Chest Radiography In Confirming Covid 19 Pneumonia The Bmj
www.bmj.com

Imaging In Covid
dontforgetthebubbles.com

Https Www Medrxiv Org Content 10 1101 2020 04 27 20081984v1 Full Pdf

Https Www Clinicalradiologyonline Net Article S0009 9260 20 30142 2 Pdf

X Rays Of The Chest Heart And Blood Vessel Disorders Merck Manuals Consumer Version
www.merckmanuals.com

Radiologists Sharing Ct Scans X Rays In Global Effort To Prevent Covid 19 Deaths Abc News
www.abc.net.au

Radiology X Ray
www.auntminnie.com

Using Deep Learning To Detect Pneumonia Caused By Ncov 19 From X Ray Images By Ayrton San Joaquin Towards Data Science
towardsdatascience.com

Cureus Radiological Findings In Patients With Covid 19
www.cureus.com

Frontiers Deep Learning Based Decision Tree Classifier For Covid 19 Diagnosis From Chest X Ray Imaging Medicine
www.frontiersin.org

Https Www Grepmed Com Q Xray Cxr

Appearance And Management Of Covid 19 F1000research
f1000research.com

Covid 19 Pneumonia What Has Ct Taught Us The Lancet Infectious Diseases
www.thelancet.com

Frequency And Distribution Of Chest Radiographic Findings In Patients Positive For Covid 19 Radiology
pubs.rsna.org

The Groundbreaking Way To Search Lungs For Signs Of Covid 19 Bbc News
www.bbc.com

How Good Is Radiography For Covid 19 Detection
www.auntminnie.com

The Role Of Chest Radiography In Confirming Covid 19 Pneumonia The Bmj
www.bmj.com

Chris Cuomo Shares Chest X Rays After Coronavirus Diagnosis Cnn Video
www.cnn.com

How Does Covid 19 Appear In The Lungs Imaging Technology News
www.itnonline.com

Chest X Ray In New Coronavirus Disease 2019 Covid 19 Infection Findings And Correlation With Clinical Outcome Springerlink
link.springer.com

Viral Pneumonia Imaging Practice Essentials Radiography Computed Tomography
emedicine.medscape.com

Imaging In Covid
dontforgetthebubbles.com

Chest X Ray Interpretation Explained Clearly How To Read A Chest Xray Youtube
m.youtube.com

Practical Guide For Pediatric Pulmonologists On Imaging Management Of Pediatric Patients With Covid 19 Foust 2020 Pediatric Pulmonology Wiley Online Library
onlinelibrary.wiley.com

Covid 19 Presenting With Syncope
www.globalradiologycme.com

Ultrasound In Times Of Covid 19 Healthmanagement Org
healthmanagement.org

Covid 19 Pneumonia Radiology Case Radiopaedia Org
radiopaedia.org

Lsu Health New Orleans Radiologists Find Chest X Rays Highly Predictive Of Covid 19
www.lsuhsc.edu

Covid 19 Radiology Reference Article Radiopaedia Org
radiopaedia.org

Https Www Jucm Com Documents Jucm Covid 19 Studyepub April 2020 Pdf

Cureus Neurological Complications Of Coronavirus Disease Covid 19 Encephalopathy
www.cureus.com

The Radiology Assistant Covid 19 Imaging Findings
radiologyassistant.nl

close