Covid19

Covid Identification Through Ct Scan

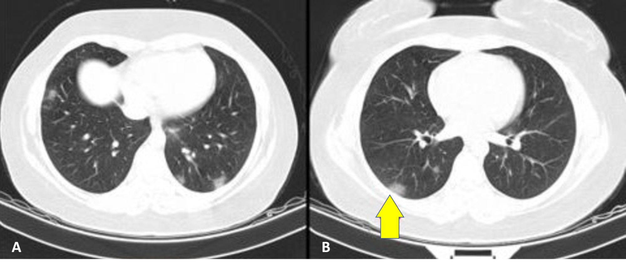
Ct Manifestations Of Coronavirus Disease 2019 A Retrospective Analysis Of 73 Cases By Disease Severity European Journal Of Radiology
www.ejradiology.com

Radiologists Identify Coronavirus Ct Imaging Feature Radiography Medimaging Net
www.medimaging.net

Ai Algorithms For Analyzing Chest X Ray Ct Scan Aid In Treatment Of Covid 19 Infected Patients Covid 19 Hospimedica Com
www.hospimedica.com

A Familial Cluster Of Pneumonia Associated With The 2019 Novel Coronavirus Indicating Person To Person Transmission A Study Of A Family Cluster The Lancet
www.thelancet.com

Management Of Acute Ischemic Stroke In Patients With Covid 19 Infection Insights From An International Panel The American Journal Of Emergency Medicine
www.ajemjournal.com

Coronavirus Disease 2019 Covid 19 Imaging Reporting And Data System Covid Rads And Common Lexicon A Proposal Based On The Imaging Data Of 37 Studies Springerlink
link.springer.com

Ct In Coronavirus Disease 2019 Covid 19 A Systematic Review Of Chest Ct Findings In 4410 Adult Patients Springerlink
link.springer.com

Covid 19 In Critically Ill Patients In The Seattle Region Case Series Nejm
www.nejm.org

The Groundbreaking Way To Search Lungs For Signs Of Covid 19 Bbc News
www.bbc.com

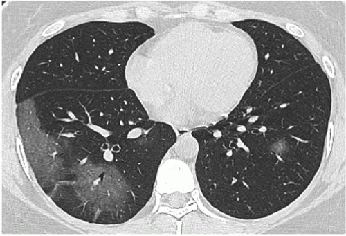
Pulmonary Ct Manifestations Of Covid 19 Changes Within 2 Weeks Duration From Presentation Egyptian Journal Of Radiology And Nuclear Medicine Full Text
ejrnm.springeropen.com

Presentation Of Pulmonary Infection On Ct In Covid 19 Initial Experience In Brazil
www.scielo.br

New Research Highlights Blood Clot Dangers Of Covid 19 Imaging Technology News
www.itnonline.com

Chest Ct Findings Reflect Time Of Coronavirus 19 Covid 19 Disease Course
www.diagnosticimaging.com

Hospitals Deploy Ai Tools To Detect Covid 19 On Chest Scans Ieee Spectrum
spectrum.ieee.org

Ct Provides Best Diagnosis For Novel Coronavirus Covid 19 Imaging Technology News
www.itnonline.com

The Groundbreaking Way To Search Lungs For Signs Of Covid 19 Bbc News
www.bbc.com

Clinical And Virological Data Of The First Cases Of Covid 19 In Europe A Case Series The Lancet Infectious Diseases
www.thelancet.com

Follow Up Study Of The Pulmonary Function And Related Physiological Characteristics Of Covid 19 Survivors Three Months After Recovery Eclinicalmedicine
www.thelancet.com

Chest Imaging Guidance For Pediatric Covid 19 Patients International Consensus
www.diagnosticimaging.com

Article Rsna Releases Consensus Statement On Reporting Chest Ct Findings Related To Covid 19
appliedradiology.com

Ct Scans Might Offer A More Accurate Way To Diagnose Covid 19 Stat
www.statnews.com

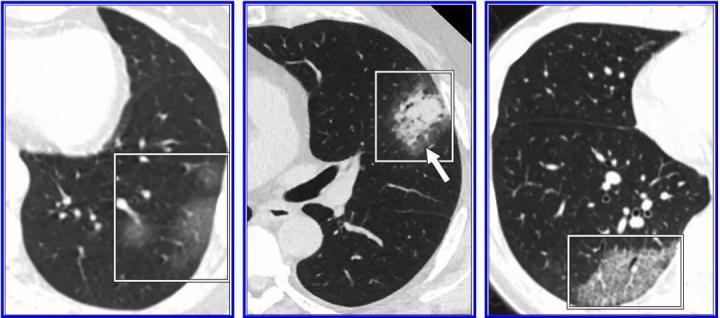
Figure 1 Imaging Changes In Severe Covid 19 Pneumonia Springerlink
link.springer.com

Infervision In The Frontlines Against The Coronavirus Imaging Technology News
www.itnonline.com

Ct Imaging Of The 2019 Novel Coronavirus 2019 Ncov Pneumonia Imaging Technology News
www.itnonline.com

Coronavirus Ct Scans Show Ground Glass In Lungs Just Like Pneumonia Business Insider
www.businessinsider.com

Study Suggests Chest Ct Is Better For Diagnosing Covid 19 Coronavirus Than Lab Test Rai Health Awareness Blog
4rai.com

Ct Chest Of Covid 19 Patients What Should A Radiologist Know Egyptian Journal Of Radiology And Nuclear Medicine Full Text
ejrnm.springeropen.com

Chest Computed Tomography Images Of Early Coronavirus Disease Covid 19 Springerlink
link.springer.com

Coronavirus Ct Scans Show Ground Glass In Lungs Just Like Pneumonia Business Insider
www.businessinsider.com

Images Of Lungs From Covid 19 Patients Reveal Diagnostic Significance Health And Medicine
www.labroots.com

Hospitals Deploy Ai Tools To Detect Covid 19 On Chest Scans Ieee Spectrum
spectrum.ieee.org

Debate Flares Over Using Ai To Detect Covid 19 In Lung Scans Stat
www.statnews.com

Coronavirus Ct Scans Show Ground Glass In Lungs Just Like Pneumonia Business Insider
www.businessinsider.com

Cureus Basal Ganglia Involvement And Altered Mental Status A Unique Neurological Manifestation Of Coronavirus Disease 2019
www.cureus.com

Ct Proves Vital For Early Diagnosis Of Covid 19
www.auntminnie.com

Ct Imaging Of The 2019 Novel Coronavirus 2019 Ncov Pneumonia Imaging Technology News
www.itnonline.com

New Research Advocates For Chest Ct In Covid 19 Diagnosis Imaging Technology News
www.itnonline.com

New Online Training To Quickly Upskill Ct Diagnosis Of Covid 19 Ge News
www.ge.com

Ct Scans Of Lung May Help With Coronavirus Diagnosis
www.managedhealthcareexecutive.com

Artificial Intelligence Tool Identifies Covid 19 In Ct Scans
healthitanalytics.com

Deep Learning Models Can Detect Covid 19 In Chest Ct Scans
healthitanalytics.com

Clinical Characteristics Of Coronavirus Disease 2019 Covid 19 In China A Systematic Review And Meta Analysis Journal Of Infection
www.journalofinfection.com

Ct Scan Database Of 1000 Sets Was Created For Teaching Ai To Diagnose Covid 19
medicalxpress.com

Radiologists Describe Coronavirus Ct Imaging Features Imaging Technology News
www.itnonline.com

Ct Chest Of Covid 19 Patients What Should A Radiologist Know Egyptian Journal Of Radiology And Nuclear Medicine Full Text
ejrnm.springeropen.com

Using Artificial Intelligence To Help Diagnose Covid 19 Tufts Now
now.tufts.edu

Radiologists Distinguish Covid 19 Pneumonia On Ct
www.auntminnie.com

Ai Learns From Lung Ct Scans To Diagnose Covid 19 The Scientist Magazine
www.the-scientist.com

Ct Traces Disease Progression In Novel Coronavirus Physics World
physicsworld.com

Coronavirus And The Lungs Does Covid 19 Cause More Severe Pneumonia Or Ards Than Other Viruses Cleveland Com
www.cleveland.com

Ara News X Ray Ct Uncover Novel Coronavirus Infected Pneumonia
www.ausrad.com

Studies Profile Lung Changes In Asymptomatic Covid 19 Viral Loads In Patient Samples Cidrap
www.cidrap.umn.edu

Covid 19 Chest Radiography Deep Learning Virus Detection Vision Systems Design
www.vision-systems.com

Latest Articles On Covid 19 European Radiology
www.european-radiology.org

Wuhan Ct Scans Reliable For Coronavirus Covid 19 Diagnosis Limited For Differentiation Eurekalert Science News
www.eurekalert.org

Ai Runs Smack Up Against A Big Data Problem In Covid 19 Diagnosis Zdnet
www.zdnet.com

Chest Ct Scans Reliable For Covid 19 Diagnosis Limited For Identification Of Specific Viruses Medicine Sci News Com
www.sci-news.com

Radiologists Distinguish Covid 19 Pneumonia On Ct
www.auntminnie.com

Chest Ct Can Distinguish Negative From Positive Lab Results For Covid 19
medicalxpress.com

Coronavirus Patient Ct Scans Reveal Imaging Features
www.genengnews.com

Radiological Findings From 81 Patients With Covid 19 Pneumonia In Wuhan China A Descriptive Study The Lancet Infectious Diseases
www.thelancet.com

Images Of Lungs From Covid 19 Patients Reveal Diagnostic Significance Health And Medicine
www.labroots.com

Artificial Intelligence System Diagnoses Coronavirus Covid 19 In Seconds By Reading Ct Images Industry News Medimaging Net
www.medimaging.net

Ct Scans Of Coronavirus Patients Reveal Nature And Extent Of Lung Damage
www.medicaldevice-network.com

How Damo Academy S Ai System Detects Coronavirus Cases Alizila Com
www.alizila.com

Covid 19 Towards Ai Multidisciplinary Science Journal
towardsai.net

Study Looks At Ct Findings Of Covid 19 Through Recovery Imaging Technology News
www.itnonline.com

Pdf Rapid Identification Of Covid 19 Severity In Ct Scans Through Classification Of Deep Features
www.researchgate.net

Debate Flares Over Using Ai To Detect Covid 19 In Lung Scans Stat
www.statnews.com

Coronavirus Ct Scans Show Ground Glass In Lungs Just Like Pneumonia Business Insider
www.businessinsider.com

What Is The Role Of Imaging And Biomarkers Within The Current Testing Strategy For The Diagnosis Of Covid 19 Cebm
www.cebm.net

Coronavirus What X Rays And Ct Scans Reveal About How Covid 19 Kills Science Tech News Sky News
news.sky.com

Computed Tomography Ct Or Cat Scan Of The Brain Johns Hopkins Medicine
www.hopkinsmedicine.org

Chest Ct Severity Score An Imaging Tool For Assessing Severe Covid 19 Radiology Cardiothoracic Imaging
pubs.rsna.org

Different Computed Tomography Patterns Of Coronavirus Disease 2019 Covid 19 Between Survivors And Non Survivors Scientific Reports
www.nature.com

Dvts And Pes Imaging S Role In Managing Blood Clot Dangers In Covid 19
www.diagnosticimaging.com

Ct Imaging Features Of 2019 Novel Coronavirus 2019 Ncov Radiology
pubs.rsna.org

A Review Of Studies Cautions Against Chest Ct For Coronavirus Diagnosis Imaging Technology News
www.itnonline.com

Https Alatorax Org Index Php Pt Descargar Adjunto 444 4ejm3b Coronavirus Disease 2019 Covid 19 Role Of Chest Ct In Diagnosis And Management Pdf

Chest Ct Scans Reliable For Covid 19 Diagnosis Limited For Identification Of Specific Viruses Medicine Sci News Com
www.sci-news.com

Ct Outperforms Lab Diagnosis For Coronavirus Infection
healthcare-in-europe.com

Why Are So Many Covid 19 Patients Also Seeing Blood Clots Abc News
abcnews.go.com

Ct Traces Disease Progression In Novel Coronavirus Physics World
physicsworld.com

Temporal Radiographic Changes In Covid 19 Patients Relationship To Disease Severity And Viral Clearance Scientific Reports
www.nature.com

Assessing Risk Factors For Sars Cov 2 Infection In Patients Presenting With Symptoms In Shanghai China A Multicentre Observational Cohort Study The Lancet Digital Health
www.thelancet.com

Covid 19 Pneumonia A Review Of Typical Ct Findings And Differential Diagnosis Sciencedirect
www.sciencedirect.com

Hospital Is First In Us To Use Artificial Intelligence To Analyze Covid 19 Patients
medicalxpress.com

Mount Sinai Physicians The First In U S Analyzing Lung Disease In Coronavirus Patients From China Imaging Technology News
www.itnonline.com

Clinical And Ct Imaging Features Of The Covid 19 Pneumonia Focus On Pregnant Women And Children Journal Of Infection
www.journalofinfection.com

Chinese Researchers Detail Chest Ct Findings In Coronavirus Disease Covid 19 Pneumonia Eurekalert Science News
www.eurekalert.org

Ai Chest Ct Analysis Distinguishes Covid 19 From Pneumonia General Imaging Medimaging Net
www.medimaging.net

Why Are So Many Covid 19 Patients Also Seeing Blood Clots Abc News
abcnews.go.com

World First Tool To Improve Covid 19 Diagnosis Free And Online The University Of Sydney
www.sydney.edu.au

Covid 19 Latest News And Case Numbers Id Hub
www.id-hub.com

Training Algorithms To Identify Covid 19 In Ct Scans Medica World Forum For Medicine
www.medica-tradefair.com

Covid 19 In 7780 Pediatric Patients A Systematic Review Eclinicalmedicine
www.thelancet.com

Nyc Radiologists Find Covid 19 Incidentally On Neck Abdominal Ct
www.healthimaging.com

Pediatric Coronavirus Disease Covid 19 X Ray Ct In Review Of New Lung Disorders
medicalxpress.com

Infervision S Ai Provides Triage In The Fight Against The Coronavirus Omdia
technology.informa.com

Emerging Technologies Proving Value In Chinese Coronavirus Fight Daic
www.dicardiology.com

close