Covid19

Covid Lung Ct Appearance

Covid 19 Pneumonia A Review Of Typical Ct Findings And Differential Diagnosis Sciencedirect
www.sciencedirect.com

Coronavirus Patient Ct Scans Reveal Imaging Features
www.genengnews.com

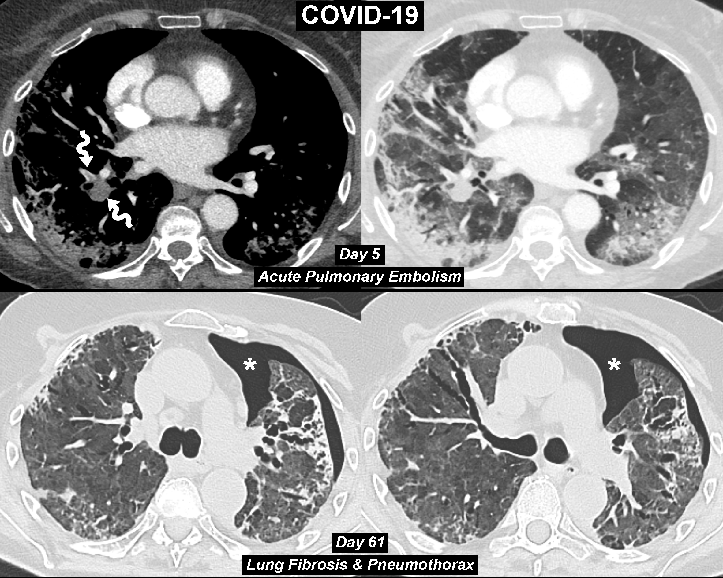
Diagnostics Free Full Text Covid 19 Pneumonia Three Thoracic Complications In The Same Patient Html
www.mdpi.com

Pulmonary Pathology Of Early Phase 2019 Novel Coronavirus Covid 19 Pneumonia In Two Patients With Lung Cancer Journal Of Thoracic Oncology
jto.org

The Role Of Imaging In 2019 Novel Coronavirus Pneumonia Covid 19 Springerlink
link.springer.com

Coronavirus What X Rays And Ct Scans Reveal About How Covid 19 Kills Science Tech News Sky News
news.sky.com

Ai Enables Doctors To Diagnose Covid 19 Infection In Seconds Synced
syncedreview.com

The Radiology Assistant Covid 19 Imaging Findings
radiologyassistant.nl

Structured Thoracic Computed Tomography Report For Covid 19 Pandemic
www.scielo.br

Pulmonary Fibrosis In Critical Ill Patients Recovered From Covid 19 Pneumonia Preliminary Experience The American Journal Of Emergency Medicine
www.ajemjournal.com

X Ray Imaging For Covid 19 Patients Siemens Healthineers Global
www.siemens-healthineers.com

Https Sepsis One Org Wp Content Uploads 2020 04 Zheng Ye Chest Ct Manifestations Of New Coronavirus Disease 2019 Pdf

Ct Proves Vital For Early Diagnosis Of Covid 19
www.auntminnie.com

A Systematic Review Of Chest Imaging Findings In Covid 19 Sun Quantitative Imaging In Medicine And Surgery
qims.amegroups.com

Grading Covid 19 Severity With Ct Cad And Ai Healthmanagement Org
healthmanagement.org

Ct Scans Of Coronavirus Patients Reveal Nature And Extent Of Lung Damage
www.medicaldevice-network.com

Chest Imaging Guidance For Pediatric Covid 19 Patients International Consensus
www.diagnosticimaging.com

Follow Up Chest Ct Findings From Discharged Patients With Severe Covid 19 An 83 Day Observational Study Research Square
www.researchsquare.com

Imaging Changes In Severe Covid 19 Pneumonia Springerlink
link.springer.com

Images Of Lungs From Covid 19 Patients Reveal Diagnostic Significance Health And Medicine
www.labroots.com

Cureus Radiological Findings In Patients With Covid 19
www.cureus.com

Covid 19 Surge Helps Ai Researchers Amass Lung Scans
www.statnews.com

Coronavirus Ct Scans Show Ground Glass In Lungs Just Like Pneumonia Business Insider
www.businessinsider.com

Temporal Radiographic Changes In Covid 19 Patients Relationship To Disease Severity And Viral Clearance Scientific Reports
www.nature.com

Ct Imaging Of The 2019 Novel Coronavirus 2019 Ncov Pneumonia Imaging Technology News
www.itnonline.com

Classification Of Covid 19 Patients From Chest Ct Images Using Multi Objective Differential Evolution Based Convolutional Neural Networks Springerlink
link.springer.com

Radiological Findings From 81 Patients With Covid 19 Pneumonia In Wuhan China A Descriptive Study The Lancet Infectious Diseases
www.thelancet.com

Iranian Red Crescent Medical Journal Analyzing The Early Ct Findings And Clinical Features Of 12 Patients With 2019 Novel Coronavirus Disease Covid 19 In China
sites.kowsarpub.com

Chest X Ray May Overlook Coronavirus Cases Apparent On Ct
www.healthimaging.com

Chest Ct Can Distinguish Negative From Positive Lab Results For Covid 19 Axis Imaging News
www.axisimagingnews.com

Covid 19 Pneumonia What Is The Role Of Imaging In Diagnosis
www.scielo.br

Chest Ct Findings Reflect Time Of Coronavirus 19 Covid 19 Disease Course
www.diagnosticimaging.com

Chest Ct Imaging Features Of Critically Ill Covid 19 Patients Research Square
www.researchsquare.com

An Illustrated Guide To The Chest Ct In Covid 19 Pulmccm
pulmccm.org

How Lung Disorders Like Covid 19 Affect Children
healthcare-in-europe.com

Ct Imaging Supplements Lab Tests For Diagnosing Coronavirus Disease
www.labpulse.com

Asymptomatic Covid 19 What The Neuroradiologist Needs To Know About Pulmonary Manifestations American Journal Of Neuroradiology
www.ajnr.org

Study Asymptomatic Cases Of Covid 19 Might Have Temporary Lung Damage Goats And Soda Npr
www.npr.org

Chest Covid 19 Pearls Educational Tools Ct Scanning Ct Imaging Ct Scan Protocols Ctisus
www.ctisus.com

Early Ct Features And Temporal Lung Changes In Covid 19 Pneumonia In Wuhan China European Journal Of Radiology
www.ejradiology.com

Covid 19 Pneumonia What Has Ct Taught Us The Lancet Infectious Diseases
www.thelancet.com

National Cancer Database At Uams Becomes U S Storehouse For Covid 19 Images Uams News
news.uams.edu

Coronavirus What X Rays And Ct Scans Reveal About How Covid 19 Kills Science Tech News Sky News
news.sky.com

The Radiology Assistant Covid 19 Imaging Findings
radiologyassistant.nl

Pt 1 Chest Ct Appearance Of Covid 19 Youtube
www.youtube.com

Chest Imaging Guidance For Pediatric Covid 19 Patients International Consensus
www.diagnosticimaging.com

Ct Features Of Novel Coronavirus Pneumonia Covid 19 In Children Springerlink
link.springer.com

Coronavirus Ct Scans Show Ground Glass In Lungs Just Like Pneumonia Business Insider
www.businessinsider.com

Chest Ct Findings Of Patients Infected With Novel Coronavirus 2019 Ncov Pneumonia Imaging Technology News
www.itnonline.com

Covid 19 Pneumonia Radiology Case Radiopaedia Org
radiopaedia.org

Covid 19 Pneumonia Radiology Case Radiopaedia Org
radiopaedia.org

Chinese Researchers Detail Chest Ct Findings In Coronavirus Disease Covid 19 Pneumonia Eurekalert Science News
www.eurekalert.org

Presentation Of Pulmonary Infection On Ct In Covid 19 Initial Experience In Brazil
www.scielo.br

Cureus Evaluation Of Chest Ct Findings In 50 Coronavirus Disease 2019 Covid 19 Patients Treated In Turkey
www.cureus.com

Chest Ct Images Of Covid 19 Lung Involvement In A 44 Year Old Huanan Seafood Worker Day 13 Of Symptom Progression Died 7 Days Later Covid19
www.reddit.com

Rapidly Progressive Covid 19 Viral Pneumonia A Report Of Two Patients With A Focus On Imaging Findings Egyptian Journal Of Radiology And Nuclear Medicine Full Text
ejrnm.springeropen.com

Ct Chest Of Covid 19 Patients What Should A Radiologist Know Egyptian Journal Of Radiology And Nuclear Medicine Full Text
ejrnm.springeropen.com

Pulmonary Ct Manifestations Of Covid 19 Changes Within 2 Weeks Duration From Presentation Egyptian Journal Of Radiology And Nuclear Medicine Full Text
ejrnm.springeropen.com

Clinical And Ct Imaging Features Of 2019 Novel Coronavirus Disease Covid 19 Journal Of Infection
www.journalofinfection.com

The Groundbreaking Way To Search Lungs For Signs Of Covid 19 Bbc News
www.bbc.com

Study Looks At Ct Findings Of Covid 19 Through Recovery Imaging Technology News
www.itnonline.com

Imaging Of Covid 19 Pneumonia A Critical Care Perspective Litfl
litfl.com

Https Www Mentice Com Hubfs Covid 19 Radiology 20 20time 20course 20of 20lung 20changes 20on 20chest 20ct 20 Pan Pdf

Covid 19 Pneumonia Radiology Case Radiopaedia Org
radiopaedia.org

Radiologists Sharing Ct Scans X Rays In Global Effort To Prevent Covid 19 Deaths Abc News
www.abc.net.au

Radiological Society Of North America Chest Ct Classification System For Reporting Covid 19 Pneumonia Interobserver Variability And Correlation With Rt Pcr Radiology Cardiothoracic Imaging
pubs.rsna.org

Ct Manifestations Of Coronavirus Disease 2019 A Retrospective Analysis Of 73 Cases By Disease Severity European Journal Of Radiology
www.ejradiology.com

Radiology Lessons For Coronavirus From The Sars And Mers Epidemics Imaging Technology News
www.itnonline.com

Radiologists Describe Ct Imaging Features Of 2019 Ncov Coronavirus Medicine Sci News Com
www.sci-news.com

The Radiology Assistant Covid 19 Imaging Findings
radiologyassistant.nl

Https Www Arrs Org Uploadedfiles Arrs Education Covid19 Covid19 Chest Ct Pdf

Chest Ct Imaging Of An Early Canadian Case Of Covid 19 In A 28 Year Old Man Cmaj
www.cmaj.ca

A Woman With A Lung Mass Nejm Resident 360 Meta Property Twitter Image Content Https Resident360files Nejm Org Image Upload C Fit F Auto H 120 W 120 V1538599218 U8buf4o8mgdxgmfcczjk Png Meta Property Og Image Content Https
resident360.nejm.org

Global Repository Of Covid 19 Positive Chest Ct Cases Medicalexpo E Magazine
emag.medicalexpo.com

Radiologists Distinguish Covid 19 Pneumonia On Ct
www.auntminnie.com

Pulmonary Contusion Mimicking Covid 19 A Case Report
www.wjgnet.com

Coronavirus Ct Findings Linked To Disease Time Course Imaging Technology News
www.itnonline.com

Chest Ct Shows Covid 19 Damage To The Lungs
www.news-medical.net

Review Of The Chest Ct Differential Diagnosis Of Ground Glass Opacities In The Covid Era Radiology
pubs.rsna.org

The Radiology Assistant Covid 19 Imaging Findings
radiologyassistant.nl

Chest Ct Study Of Fifteen Covid 19 Patients With Positive Rt Pcr Retest Results After Discharge Li Quantitative Imaging In Medicine And Surgery
qims.amegroups.com

Radiologists Distinguish Covid 19 Pneumonia On Ct
www.auntminnie.com

Case 23 2020 A 76 Year Old Woman Who Died From Covid 19 Nejm
www.nejm.org

Thoracic Imaging In Covid 19 Cleveland Clinic Journal Of Medicine
www.ccjm.org

The Role Of Chest Radiography In Confirming Covid 19 Pneumonia The Bmj
www.bmj.com

Predictors Of Fatality Including Radiographic Findings In Adults With Covid 19 Respiratory Research Full Text
respiratory-research.biomedcentral.com

Life After Covid 19 The Road To Recovery
www.webmd.com

Radiological Findings From 81 Patients With Covid 19 Pneumonia In Wuhan China A Descriptive Study The Lancet Infectious Diseases
www.thelancet.com

Covid 19 Radiology Reference Article Radiopaedia Org
radiopaedia.org

Covid 19 Lung Patterns Show Few Clues For Treating Pneumonia Los Angeles Times
www.latimes.com

Covid 19 Infection In Iranian Children A Case Series Of 9 Patients Journal Of Pediatrics Review
jpediatricsreview.com

Asymptomatic Novel Coronavirus Pneumonia Patient Outside Wuhan The Value Of Ct Images In The Course Of The Disease Clinical Imaging
www.clinicalimaging.org

Hazy On Ground Glass Opacities Here S What They Are Medpage Today
www.medpagetoday.com

How Lung Disorders Like Covid 19 Affect Children
healthcare-in-europe.com

New Coronavirus Seems To Have Distinctive Pattern Of Damage In Lungs
www.azcentral.com

Chest Covid 19 Pearls Educational Tools Ct Scanning Ct Imaging Ct Scan Protocols Ctisus
www.ctisus.com

Ajr Novel Coronavirus Covid 19 Imaging Features Overlap With Sars And Mers
medicalxpress.com

Infection Duration Findings Covid 19 Healthmanagement Org
healthmanagement.org

Rsna Proposes Standardized Ct Reporting For Covid 19
www.auntminnie.com

Review Of Chest Ct Manifestations Of Covid 19 Infection Sciencedirect
www.sciencedirect.com

close