Covid19

Covid Lung X Ray Comparison

What Does Covid 19 Do To Your Lungs A Vanderbilt Doctor Shows Us Wsmv Com
www.wsmv.com

Truncated Inception Net Covid 19 Outbreak Screening Using Chest X Rays Springerlink
link.springer.com

How Good Is Radiography For Covid 19 Detection
www.auntminnie.com

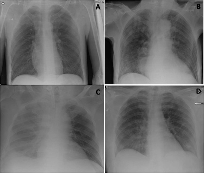
Comparison Of Different Chest X Ray Of Normal Covid 19 Patient S Download Scientific Diagram
www.researchgate.net

Doctors Puzzle Over Covid 19 Lung Problems
www.webmd.com

Viral Pneumonia Imaging Practice Essentials Radiography Computed Tomography
emedicine.medscape.com

Radiologists Sharing Ct Scans X Rays In Global Effort To Prevent Covid 19 Deaths Abc News
www.abc.net.au

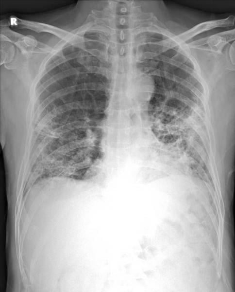
Covid 19 Pneumonia Radiology Case Radiopaedia Org
radiopaedia.org

Radiographic Severity Index In Covid 19 Pneumonia Relationship To Age And Sex In 783 Italian Patients Springerlink
link.springer.com

A Preliminary Update To The Soliris To Stop Immune Mediated Death In Covid 19 Solid C19 Compassionate Use Study Hudson Medical
hudsonmedical.com

A Window Inside The Body And Covid 19 Iaea
www.iaea.org

Covid 19 Pneumonia Patient Shows Significant Improvements Following Laser Treatment At Massachusetts Hospital
www.prnewswire.com

The Groundbreaking Way To Search Lungs For Signs Of Covid 19 Bbc News
www.bbc.com

Studies Profile Lung Changes In Asymptomatic Covid 19 Viral Loads In Patient Samples Cidrap
www.cidrap.umn.edu

Portable Chest X Ray In Coronavirus Disease 19 Covid 19 A Pictorial Review Sciencedirect
www.sciencedirect.com

Cureus Neurological Complications Of Coronavirus Disease Covid 19 Encephalopathy
www.cureus.com

Covid 19 Pneumonia As A Cause Of Acute Chest Syndrome In An Adult Sickle Cell Patient Beerkens American Journal Of Hematology Wiley Online Library
onlinelibrary.wiley.com

Covid 19 Pneumonia Radiology Case Radiopaedia Org
radiopaedia.org

Using Lung X Rays To Diagnose Covid 19 Imaging Technology News
www.itnonline.com

Radiologists Sharing Ct Scans X Rays In Global Effort To Prevent Covid 19 Deaths Abc News
www.abc.net.au

Chest Imaging Guidance For Pediatric Covid 19 Patients International Consensus
www.diagnosticimaging.com

The Role Of Chest Radiography In Confirming Covid 19 Pneumonia The Bmj
www.bmj.com

How Good Is Radiography For Covid 19 Detection
www.auntminnie.com

Covid 19 Coronavirus Compared To Sars Outbreak Cases Deaths Spread Business Insider
www.businessinsider.com

Chest X Ray May Overlook Coronavirus Cases Apparent On Ct
www.healthimaging.com

Ai Tool Gives Doctors A New Look At The Lungs In Treating Covid 19
www.princeton.edu

A Rare Case Of Human Coronavirus 229e Associated With Acute Respiratory Distress Syndrome In A Healthy Adult
www.hindawi.com

Covid 19 Outbreak In Italy Experimental Chest X Ray Scoring System For Quantifying And Monitoring Disease Progression Research Square
www.researchsquare.com

The Role Of Chest Radiography In Confirming Covid 19 Pneumonia The Bmj
www.bmj.com

Imaging The Coronavirus Disease Covid 19
healthcare-in-europe.com

Dutch Companies Offer Free Innovative Covid 19 Ai Software Imaging Technology News
www.itnonline.com

After Covid 19 Destroyed Her Lungs Young Chicago Woman Receives Double Transplant
www.nbcnews.com

Https Www Europeanreview Org Wp Wp Content Uploads 2776 2780 Pdf

The Radiology Assistant Covid 19 Imaging Findings
radiologyassistant.nl

What They Don T Tell You About Surviving Covid 19 Sfgate
www.sfgate.com

The Radiology Assistant Covid 19 Imaging Findings
radiologyassistant.nl

Detecting Covid 19 Induced Pneumonia From Chest X Rays With Transfer Learning An Implementation In Tensorflow And Keras By Adrian Yijie Xu Towards Data Science
towardsdatascience.com

A Neural Network Can Help Spot Covid 19 In Chest X Rays Mit Technology Review
www.technologyreview.com

What Does Covid 19 Do To Your Lungs A Vanderbilt Doctor Shows Us Wsmv Com
www.wsmv.com

The Radiology Assistant Covid 19 Imaging Findings
radiologyassistant.nl

Covid 19 Chest Radiography Deep Learning Virus Detection Vision Systems Design
www.vision-systems.com

Chris Cuomo Shares Chest X Rays After Coronavirus Diagnosis Cnn Video
www.cnn.com

Ai Distinguishing Pneumonia From Covid 19 From Chest X Rays Medica World Forum For Medicine
www.medica-tradefair.com

Https Arxiv Org Pdf 2004 10507

Https Arxiv Org Pdf 2004 05758

Chinese Researchers Detail Chest Ct Findings In Coronavirus Disease Covid 19 Pneumonia Eurekalert Science News
www.eurekalert.org

First Case Of 2019 Novel Coronavirus In The United States Nejm
www.nejm.org

Chest X Rays Show More Severe Covid 19 In Non White Patients Imaging Technology News
www.itnonline.com

Ct Traces Disease Progression In Novel Coronavirus Physics World
physicsworld.com

Using Deep Learning To Detect Pneumonia Caused By Ncov 19 From X Ray Images By Ayrton San Joaquin Towards Data Science
towardsdatascience.com

Missed Lung Lesions Side By Side Comparison Of Chest Radiography With Mdct Springerlink
link.springer.com

Epidemiological And Clinical Characteristics Of 99 Cases Of 2019 Novel Coronavirus Pneumonia In Wuhan China A Descriptive Study The Lancet
www.thelancet.com

Chest X Ray Interpretation Explained Clearly How To Read A Chest Xray Youtube
m.youtube.com

Covid 19 Outbreak In Italy Experimental Chest X Ray Scoring System For Quantifying And Monitoring Disease Progression Springerlink
link.springer.com

A Rare Case Of Human Coronavirus 229e Associated With Acute Respiratory Distress Syndrome In A Healthy Adult
www.hindawi.com

Https Www Medrxiv Org Content 10 1101 2020 03 30 20047787v1 Full Pdf

Covid 19 Pediatric Findings In New Review Of Lung Disorders Imaging Technology News
www.itnonline.com

Diagnostics Free Full Text Weakly Labeled Data Augmentation For Deep Learning A Study On Covid 19 Detection In Chest X Rays Html
www.mdpi.com

First Case Of Coronavirus Disease 2019 Covid 19 Pneumonia In Taiwan Sciencedirect
www.sciencedirect.com

New Research Finds Chest X Ray Not Reliable Diagnostic Tool For Covid 19 Imaging Technology News
www.itnonline.com

Covid 19 Chest X Ray Guideline Ucla Radiology Los Angeles Westwood Manhattan Beach Santa Monica Ca
www.uclahealth.org

Airtouch Portable X Ray Receives Fda Clearance Can Be Used For Covid Diagnosis Medgadget
www.medgadget.com

The Role Of Chest Radiography In Confirming Covid 19 Pneumonia The Bmj
www.bmj.com

Covid 19 In Critically Ill Patients In The Seattle Region Case Series Nejm
www.nejm.org

U S Woman With Covid 19 Receives Double Lung Transplant In A First Live Science
www.livescience.com

Coronavirus Disease 2019 Covid 19 A Perspective From China Radiology
pubs.rsna.org

Ct Traces Disease Progression In Novel Coronavirus Physics World
physicsworld.com

Deep Covid Predicting Covid 19 From Chest X Ray Images Using Deep Transfer Learning Sciencedirect
www.sciencedirect.com

Covid 19 Pneumonia Radiology Case Radiopaedia Org
radiopaedia.org

Imaging The Coronavirus Disease Covid 19
healthcare-in-europe.com

Chest X Ray Findings In 636 Ambulatory Patients With Covid 19 Presenting To An Urgent Care Center A Normal Chest X Ray Is No Guarantee Journal Of Urgent Care Medicine
www.jucm.com

Cureus Radiological Findings In Patients With Covid 19
www.cureus.com

Radiology Of Covid 19 Infection In Children Imaging Findings And Recommendations Boston Children S Discoveries
discoveries.childrenshospital.org

Detecting Covid 19 Induced Pneumonia From Chest X Rays With Transfer Learning An Implementation In Tensorflow And Keras By Adrian Yijie Xu Towards Data Science
towardsdatascience.com

Https Www Grepmed Com Q Xray Cxr

Ai Is Helping Triage Coronavirus Patients The Tools May Be Here To Stay Mit Technology Review
www.technologyreview.com

X Ray May Be Missing Covid 19 Cases Found With Ct
www.auntminnie.com

Ai Distinguishing Pneumonia From Covid 19 From Chest X Rays Medica World Forum For Medicine
www.medica-tradefair.com

Mass General Using Ai To Analyze Lung Damage From Covid 19 Fierceelectronics
www.fierceelectronics.com

Covid 19 Lung Patterns Show Few Clues For Treating Pneumonia Los Angeles Times
www.latimes.com

The Role Of Chest Radiography In Confirming Covid 19 Pneumonia The Bmj
www.bmj.com

The Cardiac Implications Of Novel Coronavirus Daic
www.dicardiology.com

Chest X Ray Used To Analyze First Us Patient With Coronavirus
www.healthimaging.com

Distinctive Features Harvard Medical School
hms.harvard.edu

Clinical Features Of Coronavirus Disease 2019 Covid 19 In A Cohort Of Patients With Disability Due To Spinal Cord Injury Spinal Cord Series And Cases
www.nature.com

Cureus Radiological Findings In Patients With Covid 19
www.cureus.com

Emergency Room Chest X Rays Can Help Predict Severity Of Covid 19
scitechdaily.com

Radiologists Ubc Students Build Database Of Covid 19 Lung Images Vancouver Sun
vancouversun.com

Ai Is Helping Triage Coronavirus Patients The Tools May Be Here To Stay Mit Technology Review
www.technologyreview.com

Chest X Rays In Emergency Rooms Can Help Predict Severity Of Covid 19 In Young And Middle Aged Adults
medicalxpress.com

Imaging The Coronavirus Disease Covid 19
healthcare-in-europe.com

Predicting Covid 19 Pneumonia Severity On Chest X Ray With Deep Learning Axis Imaging News
www.axisimagingnews.com

Why Is Patient S Pneumonia Not Responding To Treatment Medpage Today
www.medpagetoday.com

Darwinai Wants To Help Identify Coronavirus In X Rays But Radiologists Aren T Convinced Venturebeat
venturebeat.com

Using Artificial Intelligence To Help Diagnose Covid 19 Tufts Now
now.tufts.edu

Covid 19 Sars Cov 2 Assay Tests Elisa Genie
www.elisagenie.com

X Ray Identifies More Air Pressure Lung Injuries In Covid 19 Patients
www.diagnosticimaging.com

People Who Smoke May Have More Receptors For The New Coronavirus
www.medicalnewstoday.com

Images Of Lungs From Covid 19 Patients Reveal Diagnostic Significance Health And Medicine
www.labroots.com

Imaging Of Covid 19 Pneumonia A Critical Care Perspective Litfl
litfl.com

close