Covid19

Covid Lung

Covid 19 Chicago Second Coronavirus Patient Receives Rare Double Lung Transplant Through Northwestern Medicine Abc7 Chicago
abc7chicago.com

Us Surgeons Successfully Perform Double Lung Transplant On Covid 19 Patient For First Time
kslnewsradio.com

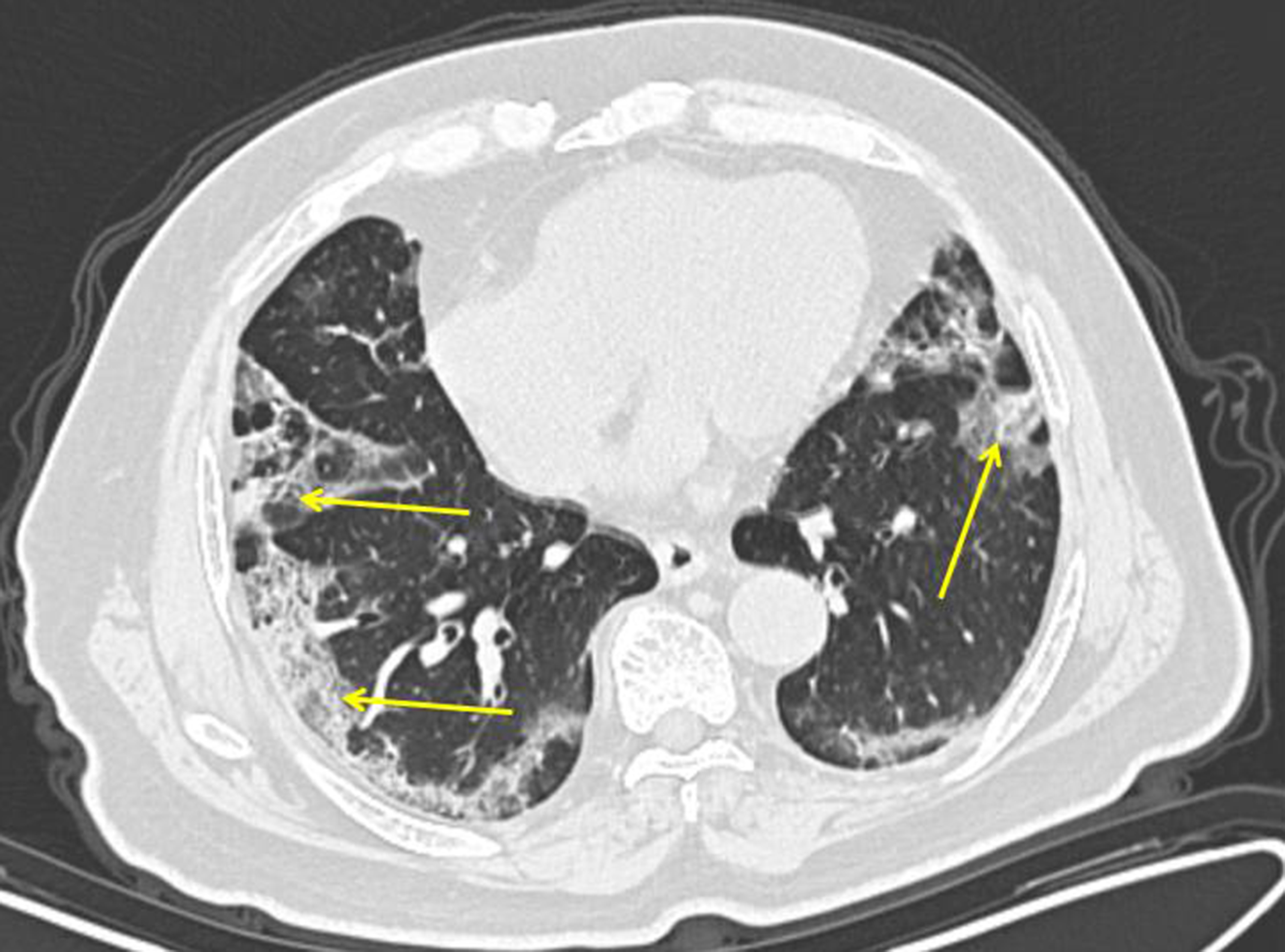
How Lung Disorders Like Covid 19 Affect Children
healthcare-in-europe.com

3d Bioprinting Covid 19 Lung Models For Drug Development
www.drugtargetreview.com

What Does Covid 19 Do To Your Lungs A Vanderbilt Doctor Shows Us Wsmv Com
www.wsmv.com

Coronavirus Patients Survive Double Lung Transplants
fbresearch.org

Video Reveals Lung Damage In Us Coronavirus Patient People Need To Take This Seriously Cnn
www.cnn.com

A Critically Ill Covid 19 Patient Just Got A Double Lung Transplant Science News
www.sciencenews.org

Ai Tool Scores Covid 19 Lung Infection Severity
www.diagnosticimaging.com

Woman In Her 20s Receives Double Lung Transplant After Suffering Irreversible Damage From Covid 19
www.fox6now.com

Coronavirus What X Rays And Ct Scans Reveal About How Covid 19 Kills Science Tech News Sky News
news.sky.com

Covid 19 Lung Patterns Show Few Clues For Treating Pneumonia
www.wsls.com

Lung Transplantation For Covid 19 Associated Acute Respiratory Distress Syndrome In A Pcr Positive Patient The Lancet Respiratory Medicine
www.thelancet.com

Researchers Report 21 Covid 19 Co Infection Rate Cidrap
www.cidrap.umn.edu

Ai Tool Gives Doctors A New Look At The Lungs In Treating Covid 19
medicalxpress.com

Coronavirus Asymptomatic People Can Still Develop Lung Damage
theconversation.com

Chicago Woman Gets Double Lung Transplant After Coronavirus Damage
www.usatoday.com

Lung Cancer During And After Covid 19 Broadcastmed
www.broadcastmed.com

Lungs Of Deceased Covid 19 Patients Show Distinctive Features Imaging Technology News
www.itnonline.com

Eric Topol On Twitter The Devastating Covid19 Destruction Of Lungs In A Young Woman In Her 20s And The 1st Double Lung Transplant To Save Her Life Https T Co 6c5wkxtajr By Nytdenisegrady Https T Co Xmdqijlfes
twitter.com

Doctors Puzzle Over Covid 19 Lung Problems
www.webmd.com

From Lung Scarring To Heart Damage Covid 19 May Leave Lingering Marks Berkeley News
news.berkeley.edu

Radiology Of Covid 19 Infection In Children Imaging Findings And Recommendations Boston Children S Discoveries
discoveries.childrenshospital.org

Mass General Using Ai To Analyze Lung Damage From Covid 19 Fierceelectronics
www.fierceelectronics.com

Young Patient In Chicago Gets Double Lung Transplant For Covid 19 Shots Health News Npr
www.npr.org

See How Covid 19 Can Damage A Person S Lungs In 3d Virtual Reality Wciv
abcnews4.com

The Groundbreaking Way To Search Lungs For Signs Of Covid 19 Bbc News
www.bbc.com

Covid 19 Pneumonia Patient Shows Significant Improvements Following Laser Treatment At Massachusetts Hospital
www.prnewswire.com

Pediatric Coronavirus Disease Covid 19 X Ray Ct In Review Of New Lung Disorders
medicalxpress.com

The Insidious Coronavirus Can Invade Heart Lungs Even Brain Sfchronicle Com
www.sfchronicle.com

Covid 19 Lungs May Be More Likely To Leak Medpage Today
www.medpagetoday.com

X Ray Identifies More Air Pressure Lung Injuries In Covid 19 Patients
www.diagnosticimaging.com

Covid 19 Pneumonia Radiology Case Radiopaedia Org
radiopaedia.org

Imaging Experts Strive To Get A Grip On Covid 19
www.auntminnieeurope.com

Double Lung Transplant Performed On Woman Severely Ill With Covid 19 At Chicago Hospital Abc7 Los Angeles
abc7.com

Lessons From Covid 19 Plain Chest Radiographs On Pathophysiology Early Diagnosis And Therapeutics
www.peertechz.com

Ct Scans Of Coronavirus Patients Reveal Nature And Extent Of Lung Damage
www.medicaldevice-network.com

Hospital For Tropical Diseases In Vietnam Decides To Perform Lung Transplant For British Covid 19 Patient
www.trialsitenews.com

Images Of Lungs From Covid 19 Patients Reveal Diagnostic Significance Health And Medicine
www.labroots.com

Ai Tool Gives Doctors A New Look At The Lungs In Treating Covid 19 Office Of The Dean For Research
research.princeton.edu

New Review Distinguishes Pediatric Covid 19 Other Lung Disorders In X Rays And Ct Axis Imaging News
www.axisimagingnews.com

It Is Affecting Every Age Group 3d Video Shows Extensive Damage To Lungs Caused By Covid 19
www.fox29.com

Images Of Lungs From Covid 19 Patients Reveal Diagnostic Significance Health And Medicine
www.labroots.com

Computational Lung Model For Covid 19 And Ards Compamed Trade Fair
www.compamed-tradefair.com

Protocol Needed To Monitor Covid 19 Disease Course Newsroom
newsroom.uw.edu

Mount Sinai Physicians The First In U S Analyzing Lung Disease In Coronavirus Patients From China Imaging Technology News
www.itnonline.com

Lung Ultrasound Shows Covid 19 Duration Severity Axis Imaging News
www.axisimagingnews.com

Medical Worker Describes Lung Failure From Covid 19 Even In Young Patients
www.tucsonsentinel.com

Coronavirus Survivor In Us Receives Double Lung Transplant Kstp Com
kstp.com

Scientists Develop Device For Detecting Early Stages Of Lung Problems Caused By Covid 19 Technology Networks
www.technologynetworks.com

Coronavirus Images Reveal How Covid 19 Destroys The Lungs World News Sky News
news.sky.com

Caring For Lung Transplant Patients During Covid 19 Consult Qd
consultqd.clevelandclinic.org

After Covid 19 Destroyed Her Lungs Young Chicago Woman Receives Double Transplant
www.nbcnews.com

A Medical Worker Describes Terrifying Lung Failure From Covid 19 Even In His Young Patients Anchorage Daily News
www.adn.com

What Does Covid 19 Do To Your Lungs A Vanderbilt Doctor Shows Us Wsmv Com
www.wsmv.com

What The Lungs Of Covid 19 Patients Look Like Siemens Healthineers Belgium
www.siemens-healthineers.com

How Covid 19 Attacks The Lungs Youtube
www.youtube.com

Coronavirus Video Shows Heavy Lung Damage To Us Man Aged 59 Business Insider
www.businessinsider.com

Will There Be Lung Damage Following Recovery From Covid 19 Cgtn
news.cgtn.com

Lung Radiation Shows Promise For Covid 19 Pneumonia Smoking Raises Risks Grand Forks Herald
www.grandforksherald.com

Coronavirus Puts Artificial Intelligence To The Test Los Angeles Times
www.latimes.com

How Does Covid 19 Appear In The Lungs Imaging Technology News
www.itnonline.com

For Recruits Covid 19 Is Just Another Preexisting Condition Air Force Magazine
www.airforcemag.com

Coronavirus Warning Thousands Could Be Left With Lung Damage Bbc News
www.bbc.com

Young Patient In Chicago Gets Double Lung Transplant For Covid 19 Shots Health News Npr
www.npr.org

Blood Vessels In Lungs Split In Response To Covid 19
www.webmd.com

Impact Of Cardiac Ct During Covid 19 Daic
www.dicardiology.com

X Ray Imaging For Covid 19 Patients Siemens Healthineers Saudi Arabia
www.siemens-healthineers.com

What The Lungs Of Covid 19 Patients Look Like Siemens Healthineers Global
www.siemens-healthineers.com

Early Ct Features And Temporal Lung Changes In Covid 19 Pneumonia In Wuhan China European Journal Of Radiology
www.ejradiology.com

Helping Battle Covid 19 And Improve Cities How Aws Cics Foster Innovation Aws Public Sector Blog
aws.amazon.com

Study Asymptomatic Cases Of Covid 19 Might Have Temporary Lung Damage Goats And Soda Npr
www.npr.org

Ai Runs Smack Up Against A Big Data Problem In Covid 19 Diagnosis Zdnet
www.zdnet.com

Covid 19 In Chronic Lung Disease What You Need To Know Pulmonology Advisor
www.pulmonologyadvisor.com

Using Lung X Rays To Diagnose Covid 19 Imaging Technology News
www.itnonline.com

Some Patients Who Survive Covid 19 May Suffer Lasting Lung Damage Science News
www.sciencenews.org

Researchers Develop Ai To Help Diagnose And Understand Covid 19 In Lung Images University Of Chicago News
news.uchicago.edu

A New Perspective Virtual Reality Shows Exactly How Covid 19 Can Damage The Lungs Wjla
wjla.com

Black Lung Service Providers Shift In The Face Of Covid 19 Appalachian Voices
appvoices.org

Covid 19 Surge Helps Ai Researchers Amass Lung Scans
www.statnews.com

What They Don T Tell You About Surviving Covid 19 Houston Chronicle
www.chron.com

Here S The Damage Coronavirus Covid 19 Can Do To Your Lungs Health Essentials From Cleveland Clinic
health.clevelandclinic.org

Those Who Recover From Coronavirus Can Be Left With Reduced Lung Function Say Doctors
www.sciencealert.com

Six Covid 19 Patients Undergo Free Lung Transplants In China Global Times
www.globaltimes.cn

Obesity Ups Odds For Dangerous Lung Clots In Covid 19 Patients
medicalxpress.com

Lung Radiation Shows Promise For Covid 19 Pneumonia Smoking Raises Risks Science Hindustan Times
www.hindustantimes.com

Some Patients Who Survive Covid 19 May Suffer Lasting Lung Damage Science News
www.sciencenews.org

Artificial Intelligence Enables Rapid Covid 19 Lung Imaging Analysis Covid 19 Hospimedica Com
www.hospimedica.com

Lung Ultrasound Shows Duration Severity Of Coronavirus Disease Covid 19 Eurekalert Science News
www.eurekalert.org

Back To Life Covid Lung Transplant Survivor Tells Her Story Healthleaders Media
www.healthleadersmedia.com

What Does Coronavirus Do To The Lungs Houston Methodist On Health
www.houstonmethodist.org

Visualizing What Covid 19 Does To Your Body Visual Capitalist
www.visualcapitalist.com

Pulmonary And Cardiac Pathology In African American Patients With Covid 19 An Autopsy Series From New Orleans The Lancet Respiratory Medicine
www.thelancet.com

3d Ct Models Can Help Assess Covid 19 Lung Damage
www.auntminnie.com

A Critically Ill Covid 19 Patient Just Got A Double Lung Transplant Science News
www.sciencenews.org

Covid 19 And Chronic Lung Disease How To Stay Safe Uthealth News Uthealth
www.uth.edu

Effect Of Covid 19 On Pulmonary Fibrosis Clinical Trials Expert Interview Pulmonology Advisor
www.pulmonologyadvisor.com

How Covid 19 Attacks Our Lungs Times Of India
timesofindia.indiatimes.com

Distinctive Features Harvard Medical School
hms.harvard.edu

Chest Ct Images Of Covid 19 Lung Involvement In A 44 Year Old Huanan Seafood Worker Day 13 Of Symptom Progression Died 7 Days Later Covid19
www.reddit.com

close