Covid19

Ggo Covid Adalah

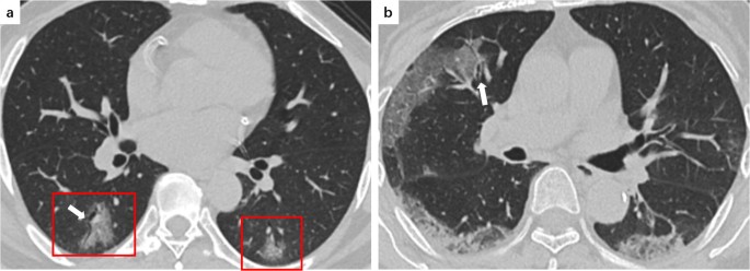
Chest Ct Manifestations Of New Coronavirus Disease 2019 Covid 19 A Pictorial Review Springerlink
link.springer.com

Acute Respiratory Distress Syndrome Ards Imaging Practice Essentials Radiography Computed Tomography
emedicine.medscape.com

Covid 19 Pneumonia Radiology Case Radiopaedia Org
radiopaedia.org

Https Sepsis One Org Wp Content Uploads 2020 04 Zheng Ye Chest Ct Manifestations Of New Coronavirus Disease 2019 Pdf

Swiss Medical Weekly Kerley B Lines In The Lung Apex A Distinct Ct Sign For Pulmonary Congestion
smw.ch

Pdf Performance Of Radiologists In Differentiating Covid 19 From Viral Pneumonia On Chest Ct
www.researchgate.net

How Dangerous Are Ground Glass Nodules Over Time Pulmccm
pulmccm.org

How Radiologists Are Analyzing The 2019 Ncov Coronavirus Pneumonia Epidemic Imaging Technology News
www.itnonline.com

Imaging Of Covid 19 Pneumonia A Critical Care Perspective Litfl
litfl.com

Kjr Korean Journal Of Radiology
www.kjronline.org

Chest Ct For Typical Coronavirus Disease 2019 Covid 19 Pneumonia Relationship To Negative Rt Pcr Testing Radiology
pubs.rsna.org

The Radiology Assistant Co Rads Classification
radiologyassistant.nl

The Radiology Assistant Co Rads Classification
radiologyassistant.nl

Ct Imaging Of The Covid 19 Sciencedirect
www.sciencedirect.com

Https Uw Cloud Cme Com Assets Uw Presentations 1064 Wed 0920 Reddy Pdf

How Radiologists Are Analyzing The 2019 Ncov Coronavirus Pneumonia Epidemic Imaging Technology News
www.itnonline.com

The Radiology Assistant Co Rads Classification
radiologyassistant.nl

Swiss Medical Weekly Kerley B Lines In The Lung Apex A Distinct Ct Sign For Pulmonary Congestion
smw.ch

High Resolution Computed Tomography Wikipedia
en.wikipedia.org

Coronavirus Disease 2019 Covid 19 A Perspective From China Radiology
pubs.rsna.org

Pdf The Different Clinical Characteristics Of Corona Virus Disease Cases Between Children And Their Families In China The Character Of Children With Covid 19
www.researchgate.net

Diagnosic Tests And Procedures The Covid Textbook
covidreference.com

Time Correlation Between Serial Rt Pcr Results And Serial Chest Ct Imaging And Serial Ct Changes Of Coronavirus 2019 Covid 19 Pneumonia 155 Cases Study From China Research Square
www.researchsquare.com

How Radiologists Are Analyzing The 2019 Ncov Coronavirus Pneumonia Epidemic Imaging Technology News
www.itnonline.com

Kjr Korean Journal Of Radiology
www.kjronline.org

Pathological Findings Of Covid 19 Associated With Acute Respiratory Distress Syndrome The Lancet Respiratory Medicine
www.thelancet.com

Time Correlation Between Serial Rt Pcr Results And Serial Chest Ct Imaging And Serial Ct Changes Of Coronavirus 2019 Covid 19 Pneumonia 155 Cases Study From China Research Square
www.researchsquare.com

Ground Glass Opacification Radiology Reference Article Radiopaedia Org
radiopaedia.org

A Good Night For A Bad Day Thorax
thorax.bmj.com

Jcm Free Full Text The Covid 19 Pandemic A Comprehensive Review Of Taxonomy Genetics Epidemiology Diagnosis Treatment And Control Html
www.mdpi.com

Coronavirus Disease 2019 Covid 19 A Perspective From China Radiology
pubs.rsna.org

Coronavirus Disease 2019 Covid 19 A Perspective From China Radiology
pubs.rsna.org

Covid 19 Clues Found In Sars And Mers Images
www.diagnosticimaging.com

Ground Glass Opacification Radiology Reference Article Radiopaedia Org
radiopaedia.org

The Radiology Assistant Co Rads Classification
radiologyassistant.nl

Kjr Korean Journal Of Radiology
www.kjronline.org

Https Uw Cloud Cme Com Assets Uw Presentations 1064 Wed 0920 Reddy Pdf

Chest Ct Findings In Coronavirus Disease 19 Covid 19 Relationship To Duration Of Infection Request Pdf
www.researchgate.net

Media Statement Knowing The Risks For Covid 19
www.who.int

Imaging Of Covid 19 Pneumonia A Critical Care Perspective Litfl
litfl.com

The Radiology Assistant Co Rads Classification
radiologyassistant.nl

Differential Diagnosis And Management Of Focal Ground Glass Opacities European Respiratory Society
erj.ersjournals.com

Kjr Korean Journal Of Radiology
www.kjronline.org

How Dangerous Are Ground Glass Nodules Over Time Pulmccm
pulmccm.org

The Radiology Assistant Co Rads Classification
radiologyassistant.nl

Covid 19 Radiology Reference Article Radiopaedia Org
radiopaedia.org

Pulmonary Pathology Of Early Phase 2019 Novel Coronavirus Covid 19 Pneumonia In Two Patients With Lung Cancer Journal Of Thoracic Oncology
jto.org

Chest Ct Manifestations Of New Coronavirus Disease 2019 Covid 19 A Pictorial Review Springerlink
link.springer.com

The Radiology Assistant Co Rads Classification
radiologyassistant.nl

Acep Chest X Ray And Ct
www.acep.org

The Radiology Assistant Co Rads Classification
radiologyassistant.nl

Swiss Medical Weekly Kerley B Lines In The Lung Apex A Distinct Ct Sign For Pulmonary Congestion
smw.ch

Coronavirus Disease 2019 Covid 19 A Perspective From China Radiology
pubs.rsna.org

Https Www Ejradiology Com Article S0720 048x 20 30150 9 Pdf

Differential Diagnosis And Management Of Focal Ground Glass Opacities European Respiratory Society
erj.ersjournals.com

Covid 19 Pneumonia Radiology Case Radiopaedia Org
radiopaedia.org

Ct Imaging Of The Covid 19 Sciencedirect
www.sciencedirect.com

The Radiology Assistant Co Rads Classification
radiologyassistant.nl

Chest Ct Findings In Cases From The Cruise Ship Diamond Princess With Coronavirus Disease 2019 Covid 19 Radiology Cardiothoracic Imaging
pubs.rsna.org

How Radiologists Are Analyzing The 2019 Ncov Coronavirus Pneumonia Epidemic Imaging Technology News
www.itnonline.com

Coronavirus Disease 2019 Covid 19 A Perspective From China Radiology
pubs.rsna.org

Chest Ct Manifestations Of New Coronavirus Disease 2019 Covid 19 A Pictorial Review Springerlink
link.springer.com

The Radiology Assistant Co Rads Classification
radiologyassistant.nl

Differential Diagnosis And Management Of Focal Ground Glass Opacities European Respiratory Society
erj.ersjournals.com

Ground Glass Opacification Radiology Reference Article Radiopaedia Org
radiopaedia.org

How Radiologists Are Analyzing The 2019 Ncov Coronavirus Pneumonia Epidemic Imaging Technology News
www.itnonline.com

Pdf Performance Of Radiologists In Differentiating Covid 19 From Viral Pneumonia On Chest Ct
www.researchgate.net

Covid 19 Testing Wikipedia
en.wikipedia.org

Ground Glass Opacity Wikipedia
en.wikipedia.org

Imaging Of Covid 19 Pneumonia A Critical Care Perspective Litfl
litfl.com

How Radiologists Are Analyzing The 2019 Ncov Coronavirus Pneumonia Epidemic Imaging Technology News
www.itnonline.com

Coronavirus Disease 2019 Covid 19 A Perspective From China Radiology
pubs.rsna.org

Ground Glass Opacification Radiology Reference Article Radiopaedia Org
radiopaedia.org

Https Encrypted Tbn0 Gstatic Com Images Q Tbn 3aand9gcr185oohycdisnco6afed7vwgsd5irsrynv6q Usqp Cau

How Radiologists Are Analyzing The 2019 Ncov Coronavirus Pneumonia Epidemic Imaging Technology News
www.itnonline.com

The Radiology Assistant Co Rads Classification
radiologyassistant.nl

Kjr Korean Journal Of Radiology
www.kjronline.org

Https Www Jto Org Article S1556 0864 20 30132 5 Pdf

Https Www Ejradiology Com Article S0720 048x 20 30150 9 Pdf

Proposal Of A Low Dose Long Pitch Dual Source Chest Ct Protocol On Third Generation Dual Source Ct Using A Tin Filter For Spectral Shaping At 100 Kvp For Coronavirus Disease 2019 Covid 19 Patients A Feasibility Study
link.springer.com

The Radiology Assistant Co Rads Classification
radiologyassistant.nl

Covid 19 Radiology Reference Article Radiopaedia Org
radiopaedia.org

Lung Infections The Radiologist S Perspective Sciencedirect
www.sciencedirect.com

Https Www Ejradiology Com Article S0720 048x 20 30150 9 Pdf

Covid 19 Pneumonia Radiology Case Radiopaedia Org
radiopaedia.org

Https Www Jto Org Article S1556 0864 20 30132 5 Pdf

11 Health Conditions That Make The Coronavirus More Deadly Business Insider
www.businessinsider.com

Covid 19 Clues Found In Sars And Mers Images
www.diagnosticimaging.com

Chest Patterns In Chest Radiology Are There Subtype Patterns Of Ground Glass Opacity Ggo Youtube
www.youtube.com

Time Correlation Between Serial Rt Pcr Results And Serial Chest Ct Imaging And Serial Ct Changes Of Coronavirus 2019 Covid 19 Pneumonia 155 Cases Study From China Research Square
www.researchsquare.com

Swiss Medical Weekly Kerley B Lines In The Lung Apex A Distinct Ct Sign For Pulmonary Congestion
smw.ch

Chest Ct Findings In Cases From The Cruise Ship Diamond Princess With Coronavirus Disease 2019 Covid 19 Radiology Cardiothoracic Imaging
pubs.rsna.org

Https Sepsis One Org Wp Content Uploads 2020 04 Zheng Ye Chest Ct Manifestations Of New Coronavirus Disease 2019 Pdf

Covid 19 Radiology Reference Article Radiopaedia Org
radiopaedia.org

The Radiology Assistant Co Rads Classification
radiologyassistant.nl

Https Www Jto Org Article S1556 0864 20 30132 5 Pdf

Jcm Free Full Text The Covid 19 Pandemic A Comprehensive Review Of Taxonomy Genetics Epidemiology Diagnosis Treatment And Control Html
www.mdpi.com

Crazy Paving Radiology Reference Article Radiopaedia Org
radiopaedia.org

Ground Glass Opacity Wikipedia
en.wikipedia.org

Hazy On Ground Glass Opacities Here S What They Are Medpage Today
www.medpagetoday.com

close