Covid19

Ground Glass Appearance X Ray Covid

Neonatal Pneumonia Imaging Practice Essentials Radiography Computed Tomography
emedicine.medscape.com

The Radiology Assistant Covid 19 Imaging Findings
radiologyassistant.nl

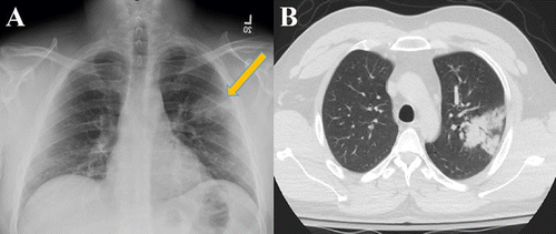
Covid 19 Patient With Olfactory Alterations Eurorad
www.eurorad.org

Swiss Medical Weekly Clinical Course Of Covid 19 Pneumonia In A Patient Undergoing Pneumonectomy And Pathology Findings During The Incubation Period
smw.ch

Chest Ct Shows Covid 19 Damage To The Lungs
www.news-medical.net

Imaging Of Covid 19 Pneumonia A Critical Care Perspective Litfl
litfl.com

The Radiology Assistant Covid 19 Imaging Findings
radiologyassistant.nl

Chinese Researchers Detail Chest Ct Findings In Coronavirus Disease Covid 19 Pneumonia Eurekalert Science News
www.eurekalert.org

Covid 19 Pneumonia Radiology Case Radiopaedia Org
radiopaedia.org

Covid 19 Round And Oval Areas Of Ground Glass Opacity Pulmonology
www.journalpulmonology.org

Chest X Ray Showed The Ill Defined Patchy Mass Opacity Open I
openi.nlm.nih.gov

A Woman With A Lung Mass Nejm Resident 360 Meta Property Twitter Image Content Https Resident360files Nejm Org Image Upload C Fit F Auto H 120 W 120 V1538599218 U8buf4o8mgdxgmfcczjk Png Meta Property Og Image Content Https
resident360.nejm.org

X Ray Imaging For Covid 19 Patients Siemens Healthineers Saudi Arabia
www.siemens-healthineers.com

Swiss Medical Weekly Covid 19 And The Role Of Imaging Early Experiences In Central Switzerland
smw.ch

Ct X Ray Help Delineate 1st Coronavirus Case In U S
www.auntminnie.com

Covid 19 Pneumonia Radiology Case Radiopaedia Org
radiopaedia.org

National Cancer Database At Uams Becomes U S Storehouse For Covid 19 Images Uams News
news.uams.edu

Chest Imaging Guidance For Pediatric Covid 19 Patients International Consensus
www.diagnosticimaging.com

The Radiology Assistant Covid 19 Imaging Findings
radiologyassistant.nl

Chest X Ray Findings In 636 Ambulatory Patients With Covid 19 Presenting To An Urgent Care Center A Normal Chest X Ray Is No Guarantee Journal Of Urgent Care Medicine
www.jucm.com

Chest Imaging Guidance For Pediatric Covid 19 Patients International Consensus
www.diagnosticimaging.com

Mers Cov Middle East Respiratory Syndrome Corona Virus Can Radiology Be Of Help Initial Single Center Experience Sciencedirect
www.sciencedirect.com

Https Www Nejm Org Doi Pdf 10 1056 Nejmcpc2004977

Covid 19 Pneumonia What Is The Role Of Imaging In Diagnosis
www.scielo.br

Diagnostic Impact Of Bedside Chest X Ray Features Of 2019 Novel Coronavirus In The Routine Admission At The Emergency Department Case Series From Lombardy Region European Journal Of Radiology
www.ejradiology.com

The Groundbreaking Way To Search Lungs For Signs Of Covid 19 Bbc News
www.bbc.com

Https Www Europeanreview Org Wp Wp Content Uploads 2776 2780 Pdf

Truncated Inception Net Covid 19 Outbreak Screening Using Chest X Rays Springerlink
link.springer.com

Ct Chest For Covid 19 A Multicenter Study Experience With 220 Egyptian Patients Egyptian Journal Of Radiology And Nuclear Medicine Full Text
ejrnm.springeropen.com

The Role Of Imaging In 2019 Novel Coronavirus Pneumonia Covid 19 Springerlink
link.springer.com

Mass Like Ground Glass Opacities In Sarcoidosis A Rare Presentation Not Previously Described
www.hindawi.com

The Role Of Chest Radiography In Confirming Covid 19 Pneumonia The Bmj
www.bmj.com

Ai Assisted Screening For Covid 19 Using Ct Images
www.microcontrollertips.com

Covid 19 Pneumonia Radiology Case Radiopaedia Org
radiopaedia.org

X Ray Imaging For Covid 19 Patients Siemens Healthineers United Arab Emirates
www.siemens-healthineers.com

Association Of Radiologic Findings With Mortality Of Patients Infected With 2019 Novel Coronavirus In Wuhan China
journals.plos.org

Cystic Fibrosis Imaging Practice Essentials Radiography Computed Tomography
emedicine.medscape.com

Coronavirus Disease 2019 Covid 19 A Perspective From China Radiology
pubs.rsna.org

Covid 19 Pneumonia Manifestations At The Admission On Chest Ultrasound Radiographs And Ct Single Center Study And Comprehensive Radiologic Literature Review Sciencedirect
www.sciencedirect.com

Imaging The Coronavirus Disease Covid 19
healthcare-in-europe.com

Radiological Findings From 81 Patients With Covid 19 Pneumonia In Wuhan China A Descriptive Study The Lancet Infectious Diseases
www.thelancet.com

Cureus A Coronavirus Disease 2019 Covid 19 Patient With Multifocal Pneumonia Treated With Hydroxychloroquine
www.cureus.com

Kjr Korean Journal Of Radiology
www.kjronline.org

Lsu Health New Orleans Radiologists Find Chest X Rays Highly Predictive Of Covid 19
www.lsuhsc.edu

X Ray Imaging For Covid 19 Patients Siemens Healthineers United Arab Emirates
www.siemens-healthineers.com

A Medical Worker Describes Terrifying Lung Failure From Covid 19 Even In His Young Patients Propublica
www.propublica.org

Covid 19 Lung Patterns Show Few Clues For Treating Pneumonia Los Angeles Times
www.latimes.com

Imaging Of Covid 19 Pneumonia A Critical Care Perspective Litfl
litfl.com

Ajr Novel Coronavirus Covid 19 Imaging Features Overlap With Sars And Mers Eurekalert Science News
www.eurekalert.org

Thoracic Imaging In Covid 19 Cleveland Clinic Journal Of Medicine
www.ccjm.org

Coronavirus Ct Findings Linked To Disease Time Course Imaging Technology News
www.itnonline.com

Covid 19 Pneumonia Mild Radiology Case Radiopaedia Org
radiopaedia.org

The Role Of Chest Radiography In Confirming Covid 19 Pneumonia The Bmj
www.bmj.com

Https Www Ejropen Com Article S2352 0477 20 30028 9 Pdf

Radiologists Describe Coronavirus Ct Imaging Features Imaging Technology News
www.itnonline.com

Thoracic Imaging In Covid 19 Cleveland Clinic Journal Of Medicine
www.ccjm.org

New Coronavirus Seems To Have Distinctive Pattern Of Damage In Lungs
www.azcentral.com

Chest X Rays In The Er Can Help Predict Severity Of Covid 19 In Younger Patients Imaging Technology News
www.itnonline.com

Coronavirus What X Rays And Ct Scans Reveal About How Covid 19 Kills Science Tech News Sky News
news.sky.com

Coronavirus Ct Scans Show Ground Glass In Lungs Just Like Pneumonia Business Insider
www.businessinsider.com

The Role Of Imaging In 2019 Novel Coronavirus Pneumonia Covid 19 Abstract Europe Pmc
europepmc.org

Ct Manifestations Of Coronavirus Disease 2019 A Retrospective Analysis Of 73 Cases By Disease Severity European Journal Of Radiology
www.ejradiology.com

How Does Covid 19 Appear In The Lungs Imaging Technology News
www.itnonline.com

Chest X Ray Falls Well Short Of Lab Testing In Pinpointing Covid 19
www.radiologybusiness.com

Acute Respiratory Distress Syndrome Wikipedia
en.wikipedia.org

Https Www Kjronline Org Synapse Data Pdfdata 0068kjr Kjr 21 494 Pdf

Coronavirus Ct Scans Show Ground Glass In Lungs Just Like Pneumonia Business Insider
www.businessinsider.com

The Radiology Assistant Covid 19 Imaging Findings
radiologyassistant.nl

Presentation Of Pulmonary Infection On Ct In Covid 19 Initial Experience In Brazil
www.scielo.br

Epidemiological And Clinical Characteristics Of 99 Cases Of 2019 Novel Coronavirus Pneumonia In Wuhan China A Descriptive Study The Lancet
www.thelancet.com

Imaging The Coronavirus Disease Covid 19
healthcare-in-europe.com

Frequency And Distribution Of Chest Radiographic Findings In Patients Positive For Covid 19 Radiology
pubs.rsna.org

The Role Of Imaging In 2019 Novel Coronavirus Pneumonia Covid 19 Springerlink
link.springer.com

Radiology Of Covid 19 Infection In Children Imaging Findings And Recommendations Boston Children S Discoveries
discoveries.childrenshospital.org

Cad4covid Xray Can Identify Characteristics Of Covid 19 On Chest Radiographs With Performance Comparable To Six Readers Express Healthcare
www.expresshealthcare.in

Https Www Jucm Com Documents Jucm Covid 19 Studyepub April 2020 Pdf

How Lung Disorders Like Covid 19 Affect Children
healthcare-in-europe.com

Https Www Medrxiv Org Content 10 1101 2020 04 27 20081984v1 Full Pdf

Https Www Uclahealth Org Radiology Workfiles Pdf Ucla Covid19 Chest Radiographic Findings Pdf

Rapidly Progressive Ards Secondary To Covid 19 Infection Eurorad
www.eurorad.org

Kjr Korean Journal Of Radiology
www.kjronline.org

Chest Ct Findings Of Patients Infected With Novel Coronavirus 2019 Ncov Pneumonia Imaging Technology News
www.itnonline.com

How Covid 19 Attacks Our Lungs Times Of India
timesofindia.indiatimes.com

Https Www Jucm Com Documents Jucm Covid 19 Studyepub April 2020 Pdf

How Lung Disorders Like Covid 19 Affect Children
healthcare-in-europe.com

The Role Of Chest Radiography In Confirming Covid 19 Pneumonia The Bmj
www.bmj.com

Https Www Birpublications Org Doi Pdf 10 1259 Bjr 20200647

Radiographic And Chest Ct Imaging Presentation And Follow Up Of Covid 19 Pneumonia A Multicenter Experience From An Endemic Area Springerlink
link.springer.com

Deep Covid Predicting Covid 19 From Chest X Ray Images Using Deep Transfer Learning Sciencedirect
www.sciencedirect.com

Ajr Novel Coronavirus Covid 19 Imaging Features Overlap With Sars And Mers
medicalxpress.com

Coronavirus Ct Scans Show Ground Glass In Lungs Just Like Pneumonia Business Insider
www.businessinsider.com

Cureus Neurological Complications Of Coronavirus Disease Covid 19 Encephalopathy
www.cureus.com

Imaging Covid 19 Evaluating Available Options
www.diagnosticimaging.com

X Ray Imaging For Covid 19 Patients Siemens Healthineers Saudi Arabia
www.siemens-healthineers.com

Covid 19 Infection In Iranian Children A Case Series Of 9 Patients Journal Of Pediatrics Review
jpediatricsreview.com

Radiological Findings For Diagnosis Of Sars Cov 2 Pneumonia Covid 19 Medicina Clinica English Edition
www.elsevier.es

How Good Is Radiography For Covid 19 Detection
www.auntminnie.com

How Good Is Radiography For Covid 19 Detection
www.auntminnie.com

The Role Of Chest Radiography In Confirming Covid 19 Pneumonia The Bmj
www.bmj.com

Covid 19 Pneumonia Radiology Case Radiopaedia Org
radiopaedia.org

close