Covid19

Pneumonia Covid Pneumonia Chest X Ray Normal Vs Abnormal

Github Ieee8023 Covid Chestxray Dataset We Are Building An Open Database Of Covid 19 Cases With Chest X Ray Or Ct Images
github.com

Early Ct Features And Temporal Lung Changes In Covid 19 Pneumonia In Wuhan China European Journal Of Radiology
www.ejradiology.com

Chest X Ray Used To Analyze First Us Patient With Coronavirus
www.healthimaging.com

Artificial Intelligence Shows Potential For Triaging Chest X Rays
www.rsna.org

Covid 19 Pneumonia Takotsubo Syndrome And Left Ventricle Thrombi Jacc Case Reports
casereports.onlinejacc.org

Ct X Ray Help Delineate 1st Coronavirus Case In U S
www.auntminnie.com

Chest X Rays In The Er Can Help Predict Severity Of Covid 19 In Younger Patients Imaging Technology News
www.itnonline.com

First Case Of 2019 Novel Coronavirus In The United States Nejm
www.nejm.org

Covid 19 Chest Radiography Deep Learning Virus Detection Vision Systems Design
www.vision-systems.com

Computer Aided Detection In Chest Radiography Based On Artificial Intelligence A Survey Biomedical Engineering Online Full Text
biomedical-engineering-online.biomedcentral.com

Artificial Intelligence Enables Rapid Covid 19 Lung Imaging Analysis At Uc San Diego Health
health.ucsd.edu

The Groundbreaking Way To Search Lungs For Signs Of Covid 19 Bbc News
www.bbc.com

Pediatric Coronavirus Disease Covid 19 X Ray Ct In Review Of New Lung Disorders
medicalxpress.com

Covid19 Lunit Inc
www.lunit.io

The Role Of Chest Radiography In Confirming Covid 19 Pneumonia The Bmj
www.bmj.com

1qbit S Chest Radiography Ai Tool Gets Expedited Health Canada Approval Techcouver Com
techcouver.com

New Research Finds Chest X Ray Not Reliable Diagnostic Tool For Covid 19 Imaging Technology News
www.itnonline.com

Covid 19 Pneumonia Manifestations At The Admission On Chest Ultrasound Radiographs And Ct Single Center Study And Comprehensive Radiologic Literature Review Sciencedirect
www.sciencedirect.com

Pneumonia Imaging Youtube
www.youtube.com

Why Is Patient S Pneumonia Not Responding To Treatment Medpage Today
www.medpagetoday.com

Chest Imaging Guidance For Pediatric Covid 19 Patients International Consensus
www.diagnosticimaging.com

The Role Of Chest Radiography In Confirming Covid 19 Pneumonia The Bmj
www.bmj.com

Why We Need A Global View Of Covid 19
healthcare-in-europe.com

Case 1 Recurrent Pneumonia In A 15 Year Old Girl American Academy Of Pediatrics
pedsinreview.aappublications.org

Viral Pneumonia Imaging Practice Essentials Radiography Computed Tomography
emedicine.medscape.com

Chest Ct Findings Of Early And Progressive Phase Covid 19 Infection From A Us Patient Sciencedirect
www.sciencedirect.com

Temporal Radiographic Changes In Covid 19 Patients Relationship To Disease Severity And Viral Clearance Scientific Reports
www.nature.com

Covid 19 Radiology Reference Article Radiopaedia Org
radiopaedia.org

Imaging Of Pneumonia Trends And Algorithms European Respiratory Society
erj.ersjournals.com

Behold Ai S Red Dot Ai Algorithm Identifies Chest X Rays From Covid 19 Patients As Abnormal Behold Ai
behold.ai

Chest X Rays Mayo Clinic
www.mayoclinic.org

Chest X Ray Interpretation Explained Clearly How To Read A Cxr Youtube
www.youtube.com

X Ray May Be Missing Covid 19 Cases Found With Ct
www.auntminnie.com

Radiographic Severity Index In Covid 19 Pneumonia Relationship To Age And Sex In 783 Italian Patients Springerlink
link.springer.com

Cureus A Hemodialysis Patient With Severe Covid 19 Pneumonia
www.cureus.com

Radiologists Sharing Ct Scans X Rays In Global Effort To Prevent Covid 19 Deaths Abc News
www.abc.net.au

Missed Lung Lesions Side By Side Comparison Of Chest Radiography With Mdct Springerlink
link.springer.com

What They Don T Tell You About Surviving Covid 19
www.timesunion.com

Https Www Medrxiv Org Content 10 1101 2020 04 27 20081984v1 Full Pdf

New Report On First Us Case Of Novel Coronavirus Details Mild Symptoms Followed By Pneumonia Cnn
www.cnn.com

Ai Distinguishing Pneumonia From Covid 19 From Chest X Rays Medica World Forum For Medicine
www.medica-tradefair.com

Cureus Radiological Findings In Patients With Covid 19
www.cureus.com

Chest X Ray Findings In 636 Ambulatory Patients With Covid 19 Presenting To An Urgent Care Center A Normal Chest X Ray Is No Guarantee Journal Of Urgent Care Medicine
www.jucm.com

How Does Covid 19 Appear In The Lungs Imaging Technology News
www.itnonline.com

Diagnostic Impact Of Bedside Chest X Ray Features Of 2019 Novel Coronavirus In The Routine Admission At The Emergency Department Case Series From Lombardy Region European Journal Of Radiology
www.ejradiology.com

Pneumonia Wikipedia
en.wikipedia.org

Chest X Ray Purpose Procedure And Risks
www.healthline.com

Swiss Medical Weekly Clinical Course Of Covid 19 Pneumonia In A Patient Undergoing Pneumonectomy And Pathology Findings During The Incubation Period
smw.ch

New Research Finds Chest X Ray Isn T Reliable Diagnostic Tool For Covid 19 Axis Imaging News
www.axisimagingnews.com

Radiological Findings From 81 Patients With Covid 19 Pneumonia In Wuhan China A Descriptive Study The Lancet Infectious Diseases
www.thelancet.com

Pulmonary Consolidation Wikipedia
en.wikipedia.org

Radiologists Sharing Ct Scans X Rays In Global Effort To Prevent Covid 19 Deaths Abc News
www.abc.net.au

First Imported Case Of 2019 Novel Coronavirus In Canada Presenting As Mild Pneumonia The Lancet
www.thelancet.com

Https Arxiv Org Pdf 2004 05758

Studies Profile Lung Changes In Asymptomatic Covid 19 Viral Loads In Patient Samples Cidrap
www.cidrap.umn.edu

No Increased Risk Of Severe Covid 19 In People Living With Hiv But Vigilance Over Bacterial Pneumonia Required Aidsmap
www.aidsmap.com

Chest X Ray Images Pneumonia Kaggle
www.kaggle.com

Radiologists Describe Coronavirus Ct Imaging Features Imaging Technology News
www.itnonline.com

Doctors Puzzle Over Covid 19 Lung Problems
www.webmd.com

Covid 19 Chest Radiography Deep Learning Virus Detection Vision Systems Design
www.vision-systems.com

Coronavirus Disease 2019 Covid 19 A Perspective From China Radiology
pubs.rsna.org

Truncated Inception Net Covid 19 Outbreak Screening Using Chest X Rays Springerlink
link.springer.com

Cureus Fatal Superimposed Bacterial Sepsis In A Healthy Coronavirus Covid 19 Patient
www.cureus.com

Symmetry Free Full Text Within The Lack Of Chest Covid 19 X Ray Dataset A Novel Detection Model Based On Gan And Deep Transfer Learning Html
www.mdpi.com

The Role Of Chest Radiography In Confirming Covid 19 Pneumonia The Bmj
www.bmj.com

Radiographic And Chest Ct Imaging Presentation And Follow Up Of Covid 19 Pneumonia A Multicenter Experience From An Endemic Area Springerlink
link.springer.com

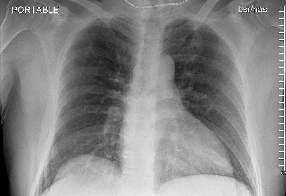
Covid 19 Pneumonia Progression And Regression Radiology Case Radiopaedia Org
radiopaedia.org

First Case Of 2019 Novel Coronavirus In The United States Nejm
www.nejm.org

Ai Tool Gives Doctors A New Look At The Lungs In Treating Covid 19
www.princeton.edu

V Ssdwcrwuukm

Serial Computed Tomographic Findings And Specific Clinical Features Of Pediatric Covid 19 Pneumonia A Case Report
www.wjgnet.com

Covid 19 Pneumonia What Has Ct Taught Us The Lancet Infectious Diseases
www.thelancet.com

Missed Lung Lesions Side By Side Comparison Of Chest Radiography With Mdct Springerlink
link.springer.com

Radiographic And Ct Features Of Viral Pneumonia Radiographics
pubs.rsna.org

Neonatal Pneumonia Imaging Practice Essentials Radiography Computed Tomography
emedicine.medscape.com

Cureus Neurological Complications Of Coronavirus Disease Covid 19 Encephalopathy
www.cureus.com

For Recruits Covid 19 Is Just Another Preexisting Condition Air Force Magazine
www.airforcemag.com

The Role Of X Ray Ct Scans In Diagnosis Of Pediatric Covid 19 Global Biodefense
globalbiodefense.com

Kjr Korean Journal Of Radiology
www.kjronline.org

Covid 19 Outbreak In Italy Experimental Chest X Ray Scoring System For Quantifying And Monitoring Disease Progression Research Square
www.researchsquare.com

Covid 19 Coronavirus Diagnosis Chest X Ray And Ct Scan
www.verywellhealth.com

Covid 19 Lung Patterns Show Few Clues For Treating Pneumonia
apnews.com

The Groundbreaking Way To Search Lungs For Signs Of Covid 19 Bbc News
www.bbc.com

Top 100 Cxr Litfl Cxr Self Assessment Quiz
litfl.com

Chest X Ray Findings Normal For Many Confirmed Covid 19 Cases
medicalxpress.com

V Ssdwcrwuukm

Covid 19 Outbreak In Italy Experimental Chest X Ray Scoring System For Quantifying And Monitoring Disease Progression Research Square
www.researchsquare.com

Covid 19 Pneumonia Mri Online
mrionline.com

Chest X Ray May Overlook Coronavirus Cases Apparent On Ct
www.healthimaging.com

Normal Chest X Ray Doesn T Rule Out Covid 19
www.medscape.com

Isolation Of A Novel Coronavirus From A Man With Pneumonia In Saudi Arabia Nejm
www.nejm.org

Frequency And Distribution Of Chest Radiographic Findings In Patients Positive For Covid 19 Radiology
pubs.rsna.org

The Role Of Chest Radiography In Confirming Covid 19 Pneumonia The Bmj
www.bmj.com

First Case Of Coronavirus Disease 2019 Covid 19 Pneumonia In Taiwan Sciencedirect
www.sciencedirect.com

Viral Pneumonia Imaging Practice Essentials Radiography Computed Tomography
emedicine.medscape.com

Therapeutic Potential Of Ciclesonide Inhalation For Covid 19 Pneumonia Report Of Three Cases Journal Of Infection And Chemotherapy
www.jiac-j.com

Epidemiological And Clinical Characteristics Of 99 Cases Of 2019 Novel Coronavirus Pneumonia In Wuhan China A Descriptive Study The Lancet
www.thelancet.com

Ai Is Helping Triage Coronavirus Patients The Tools May Be Here To Stay Mit Technology Review
www.technologyreview.com

Diagnostics Free Full Text Weakly Labeled Data Augmentation For Deep Learning A Study On Covid 19 Detection In Chest X Rays Html
www.mdpi.com

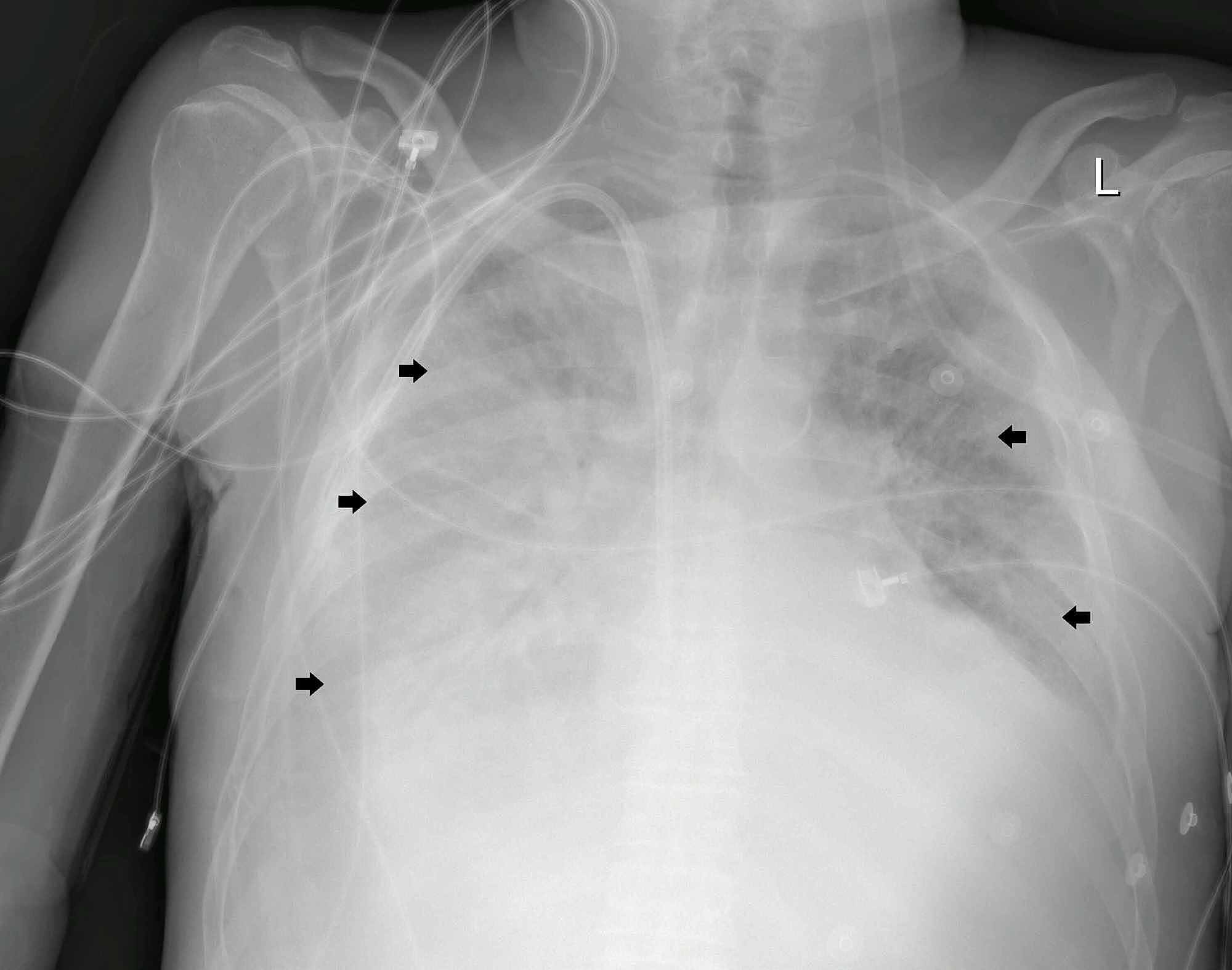
Covid 19 Pneumonia Radiology Case Radiopaedia Org
radiopaedia.org

close