Covid19

Pulmones Rayos X Covid

Rayos X Del Torax Trastornos Del Corazon Y Los Vasos Sanguineos Manual Msd Version Para Publico General
www.msdmanuals.com

Asi Lucen Los Pulmones Con Coronavirus
www.excelsior.com.mx

Los Bloqueos Para Covid 19 Han Salvado Vidas Latino Diabetes
latinodiabetes.sansum.org

Medicos Aseguran Que Las Imagenes Si Pueden Mostrar Una Neumonia Causada Por El Nuevo Coronavirus Factual
factual.afp.com

Como Saber Si Tengo Pulmones Saludables Las 7 Senales Que Le Estan Fallando Los Angeles Times
www.latimes.com

Trasplantan Dos Pulmones A Joven Grave Por Covid 19 Noticieros Televisa
noticieros.televisa.com

Padeces De Epoc Conoce Tu Riesgo De Covid 19
www.aarp.org

Todo Un Exito Trasplante De Pulmones Danados Por El Covid 19 A Una Joven De 20 Anos Mundo Sano Noticias E Informacion Para Un Estilo De Vida Saludable
www.mundosano.com

Imagenes De Rayos X Pueden Ser Inadecuadas Para Diagnosticar La Covid 19 Radiografia Medimaging Es
www.medimaging.es

Covid 19 Computed Tomography Ct Diagnostic Imaging Mcmaster Textbook Of Internal Medicine
empendium.com

Un Proyecto Espanol Con Ia Detecta El Coronavirus Con Una Radiografia De Torax As Com
as.com

Esta Plataforma Analiza Radiografias En 5 Segundos Para Detectar Covid 19 Coronavirus 24horas
www.24horas.cl

Medicos Israelies Proponen Radiacion Pulmonar Contra El Coronavirus El Sol News Media
elsolnewsmedia.com

Como La Enfermedad De La Covid 19 Afecta El Corazon
www.aarp.org

Radiografia Estudio De Diagnostico Por Imagenes Que Ayuda A Diagnosticar Con Rapidez Mayo Clinic
www.mayoclinic.org

Coronavirus Sintomas Nuevos Fiebre Cura Del Coronavirus Vacuna Estado Cnet En Espanol
www.cnet.com

Secuelas Del Coronavirus Recuperados Pero Con Pulmones Danados Dialogo Pandemico Preguntale A Dr Drexler Dw 20 03 2020
www.dw.com

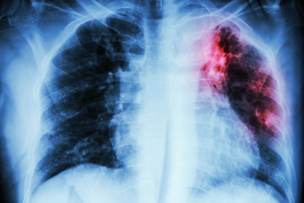
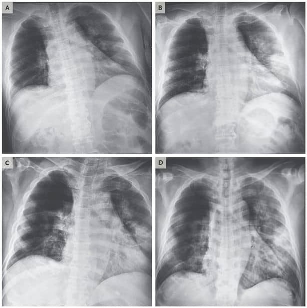
Coronavirus Los Rayos X Muestran La Forma En Que La Infeccion Por Covid 19 Destruye Los Pulmones Observatorio Regional De Tuberculosis De Las Americas
actbistas.org

Foto Premium Imagen De Rayos X Del Torax Humano Para Un Diagnostico Medico Coronavirus Covid 19 Sindrome Respiratorio Del Virus De La Epidemia 2019 Ncov
www.freepik.es

Recomendaciones Sobre Evaluacion Inicial Con Imagenes En Pacientes Con Sospecha De Covid 19 Covid 19 Intramed
www.intramed.net

Imagenes De Rayos X De Los Pulmones Para Diagnosticar La Covid 19 Portal Universidad De Sevilla
www.us.es

La Impactante Imagen Del Efecto Del Coronavirus En Los Pulmones Ser Lanzarote Cadena Ser
cadenaser.com

Medicos De Ee Uu Que Analizaron Pulmones Con Covid 19 Dicen Que Se Puede Diagnosticar Mas Rapido Wuhan Nueva York China La Gran Epoca
es-mb.theepochtimes.com

Debate Sobre El Uso De La Inteligencia Artificial Para Detectar El Coronavirus Covid 19 Es Mas Fiable El Ojo Humano O La Maquina Infobae
www.infobae.com

Las Radiografias De Torax No Detectan La Cuarta Parte De Los Canceres De Pulmon Segun Estudio
medicinaysaludpublica.com

Radiografia Estudio De Diagnostico Por Imagenes Que Ayuda A Diagnosticar Con Rapidez Mayo Clinic
www.mayoclinic.org

Las Radiografias De Torax Ayudan A Predecir La Gravedad Del Covid 19
m.infosalus.com

El Covid 19 Le Destruyo Los Pulmones Un Complejo Doble Trasplante Le Salvo La Vida Infobae
www.infobae.com

Concepto De Neumonia Por Coronavirus Radiografia Radiografia De Pulmones Humanos De Torax Foto Premium
www.freepik.es

Un Trasplante Doble De Pulmon Salvo A Joven Hispana Del Coronavirus Es El Primero En Estados Unidos
www.sutelemundo20.com

Que Hace El Coronavirus A Nuestro Cuerpo Youtube
www.youtube.com

Vaping And Covid 19 Spanish Newyork Presbyterian
healthmatters.nyp.org

Podemos Diagnosticar Covid 19 Usando Radiografias Y Deeplearning By Ricardo Mansilla Lasi Medium
medium.com

Estos Son Los Pulmones De Un Joven Con Covid La Neblina Que Convirtio A Jose Pablo En Un Viejo
www.elespanol.com

Coronavirus Inteligencia Artificial Para La Deteccion Precoz De Neumonia Por Covid 19 Con Una Radiografia Simple
www.abc.es

Joven Hispana Recibe Doble Trasplante De Pulmon Por Los Danos Sufridos Con El Covid 19 Cnn Video
www.cnn.com

Donni On Twitter Para Los Que Se Creen Inmortales Y Siguen Saliendo Al Parque Sin Hacer Caso A La Orden De Permanecer En Domicilio Estas Son Las Radiografias De Un Chico De
twitter.com

Claves Radiologicas En La Infeccion Por El Nuevo Coronavirus Covid 19 Yeimer Ortiz Martinez Md Youtube
m.youtube.com

Asi Muta Y Se Propaga El Coronavirus The New York Times
www.nytimes.com

Detectar A Tiempo Una Embolia Pulmonar En Los Enfermos Con Covid 19 Puede Mejorar Su Recuperacion Trombo
trombo.info

Covid 19 Secuelas Megalabs
megalabs.global

La Obesidad Aumenta Las Probabilidades De Unos Coagulos Sanguineos Peligrosos En Los Pulmones De Los Pacientes Con Covid 19
consumer.healthday.com

Joven Sana Termina Con Sus Pulmones Como Carne Podrida Por El Covid 19
www.msn.com

Que Es El Neumotorax Espontaneo Que A Veces Produce La Covid
www.20minutos.es

Rayos X
www.nibib.nih.gov

Deteccion De Covid 19 En Imagenes De Rayos X Con Keras Tensorflow Y Deep Learning By Datacampero Medium
medium.com

Logran Primer Transplante De Pulmon Para Paciente Con Covid En Eu
latinus.us

Covid 19 Computed Tomography Ct Diagnostic Imaging Mcmaster Textbook Of Internal Medicine
empendium.com

Bid Lab Cofinancia Un Proyecto De Telesalud Para Mitigar El Covid 19 Y Mejorar El Acceso A Los Servicios De Salud En Honduras Bid Lab
bidlab.org

La Radiografia De Torax En La Unidad De Cuidados Intensivos Imagen Diagnostica
www.elsevier.es

Tromboembolismo Pulmonar Masivo Paciente Neumonia Covid 19 Positivo Revista Chilena De Anestesia
revistachilenadeanestesia.cl

Covid 19 El Grave Dano Que Puede Causar El Virus A Pacientes Asintomaticos
medicinaysaludpublica.com

Un Empleado De Servicios Medicos Describe Las Terribles Consecuencias De La Insuficiencia Pulmonar Causada Por El Covid 19 Incluso En Sus Pacientes Jovenes Propublica
www.propublica.org

La Radiografia De Torax En La Unidad De Cuidados Intensivos Imagen Diagnostica
www.elsevier.es

Covid 19 Por Que Es Bueno Colocar Bocabajo A Los Pacientes Con Distres Respiratorio
theconversation.com

El Diagnostico Radiologico Innovacion Contra Covid 19 Los Intangibles
losintangibles.org

Radiografia Estudio De Diagnostico Por Imagenes Que Ayuda A Diagnosticar Con Rapidez Mayo Clinic
www.mayoclinic.org

Guia De Imagenes Toracicas Para Covid 19 En Pediatria
espanol.medscape.com

Este Es El Dano Que El Covid 19 Hace En Los Pulmones De Pacientes Asintomaticos Telemundo
www.telemundo.com

Covid 19 Podria Dejar Un Deterioro En La Funcion Pulmonar Experto By Radiovisa Guaymas Medium
medium.com

Un Estudio Concluye Que Detectar Un Coagulo De Sangre En Los Pulmones Acelera El Diagnostico De Covid 19
m.infosalus.com

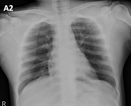
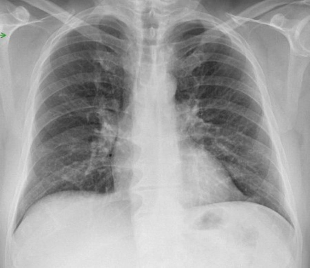
Covid 19 Pneumonia Radiology Case Radiopaedia Org
radiopaedia.org

Artificial Intelligence Enables Rapid Covid 19 Lung Imaging Analysis Covid 19 Hospimedica Com
www.hospimedica.com

Coronavirus Lo Que Los Cientificos Han Descubierto Sobre El Covid 19 En Los 6 Primeros Meses De La Pandemia Bbc News Mundo
www.bbc.com

Sistema De Ia Detecta Hallazgos Claves En Las Radiografias De Torax De Los Pacientes Con Neumonia Industria Medimaging Es
www.medimaging.es

Alimentos Que Pueden Ayudarte A Fortalecer Los Pulmones
www.americadigital.com

Radiografias De Torax Para Detectar La Covid 19
www.agenciasinc.es

Http Educacionensalud Imss Gob Mx Es System Files 2 Hallazgos En Radiografia De Torax Pdf

Describen Como El Coronavirus Sars Cov 2 Afecta Los Organos Del Cuerpo La Ciencia En El Mundo
blogs.ciencia.unam.mx

Los Radiologos Muestran Imagenes De Lo Que Hace El Coronavirus En Los Pulmones
www.lainformacion.com

Coronavirus Los Rayos X Muestran La Forma En Que La Infeccion Por Covid 19 Destruye Los Pulmones Observatorio Regional De Tuberculosis De Las Americas
actbistas.org

El Pecho Ct Muestra El Dano Covid 19 A Los Pulmones
www.news-medical.net

Hallazgos Radiologicos De 81 Pacientes Con Neumonia Por Covid 19 En Wuhan Covid 19 Intramed
www.intramed.net

Al Borde De La Muerte Por Coronavirus Una Joven Afirma Que Un Milagro Le Salvo La Vida Los Angeles Times
www.latimes.com

Obesidad Y Coronavirus Los Pacientes Con Ambos Cuadros Tienen Mas Riesgo De Embolia Pulmonar Infobae
www.infobae.com

La Tomosintesis Como Herramienta De Diagnostico Precoz De Neumonias Por Covid 19 Blog De Teleradiologia Actualidad
www.actualpacs.com

El Coronavirus Pone A Prueba El Valor De La Inteligencia Artificial En La Atencion Medica Kaiser Health News
khn.org

Una Doctora Examina Una Radiografia Del Pulmon De Un Paciente Infectado Con Coronavirus Covid 19 Neumonia Rayos X De Luz Fluorog Foto De Archivo Imagen De Neumonia Fluorog 179941332
es.dreamstime.com

Donni On Twitter Para Los Que Se Creen Inmortales Y Siguen Saliendo Al Parque Sin Hacer Caso A La Orden De Permanecer En Domicilio Estas Son Las Radiografias De Un Chico De
twitter.com

Http Educacionensalud Imss Gob Mx Es System Files 2 Hallazgos En Radiografia De Torax Pdf

Siac La Sospecha Clinica Es Lo Ultimo Que Se Pierde Siac
www.siacardio.com

La Realidad Virtual Muestra Como El Coronavirus Puede Danar Los Pulmones
www.prevencia.net

Un Video En 3d Revela Como Ataca El Covid 19 A Los Pulmones Video Cnn
cnnespanol.cnn.com

Podemos Diagnosticar Covid 19 Usando Radiografias Y Deeplearning By Ricardo Mansilla Lasi Medium
medium.com

4 Vitaminas Esenciales Para Reforzar La Salud Pulmonar Ante El Coronavirus Los Angeles Times
www.latimes.com

Muestran El Impacto Del Nuevo Coronavirus En Los Pulmones De Una Paciente Rt
actualidad.rt.com

Medicos Aseguran Que Las Imagenes Si Pueden Mostrar Una Neumonia Causada Por El Nuevo Coronavirus Factual
factual.afp.com

Rx De Torax Covid 19 Youtube
www.youtube.com

Debate Sobre El Uso De La Inteligencia Artificial Para Detectar El Coronavirus Covid 19 Es Mas Fiable El Ojo Humano O La Maquina Infobae
www.infobae.com

Autopsias Revelan Que El Covid 19 Ya Estaba Matando En Eeuu Antes Desde Febrero Vistazo
www.vistazo.com

Las Tomografias Computarizadas Muestran Lo Que Le Hizo El Coronavirus A Los Pulmones De Pacientes Con Covid 19
es-us.noticias.yahoo.com

Fibrosis Pulmonar Idiopatica Y Su Vinculacion Con Covid 19 Conexion Megalabs
megalabs.global

Pneumonia Radiology Reference Article Radiopaedia Org
radiopaedia.org

Imagenes De Rayos X De Los Pulmones Para Diagnosticar La Covid 19 Idescubre
idescubre.fundaciondescubre.es

Cancer De Pulmon Una Solucion Israeli Busca Ser El Gps Del Diagnostico Israel21c
es.israel21c.org

Radiografia Estudio De Diagnostico Por Imagenes Que Ayuda A Diagnosticar Con Rapidez Mayo Clinic
www.mayoclinic.org

Secuelas Del Coronavirus Recuperados Pero Con Pulmones Danados Dialogo Pandemico Preguntale A Dr Drexler Dw 20 03 2020
www.dw.com

Estudio De Caso Paciente Descartado De Covid 19 Que Presenta Tos Seca Y Falta De Aliento Sonosim
sonosim.com

Secuelas Del Coronavirus Recuperados Pero Con Pulmones Danados Asociacion Medica Latinoamericana De Rehabilitacion
www.portalamlar.org

Un Empleado De Servicios Medicos Describe Las Terribles Consecuencias De La Insuficiencia Pulmonar Causada Por El Covid 19 Incluso En Sus Pacientes Jovenes Propublica
www.propublica.org

close