Covid19

Pulpotomia Y Corona

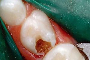
Pulpotomia Infantil Utilizando Unguento Oftalmico Como Metodo Alternativo Al Uso De Formocresol
www.ortodoncia.ws

Tratamientos Dentales En Ninos Odontopediatria
www.caballerodentalclinic.com

Alternativas Al Formocresol En El Tratamiento De Pulpotomias Dentista Araujo Dr Javier Araujo Conde
araujo.es

Notas Dentales On Twitter Pulpotomia Y Pulpectomia Odontology Odonto Odontologiaespecializada Odontopediatria
twitter.com

Pulpotomia Y Pulpectomia En Dientes De Leche Clinica Dental Ibaiondo
clinicaibaiondo.com

Pulpotomia Y Pulpectomia Endodoncia Infantil Galvan Kids
galvandentalkids.es

Mi Hijo Tiene Un Algodon En Su Muela Hace 4 Meses Y No Le Realizan Revision En Ella Salud Dental Todoexpertos Com
www.todoexpertos.com

Https Core Ac Uk Download Pdf 11862302 Pdf

Tratamientos Dentales En Ninos Odontopediatria
www.caballerodentalclinic.com

Centro Medico Sesena Diferencia Entre Pulpotomia Y Pulpectomia Protesis Dental Fija Cuidado Dental Odontologia
co.pinterest.com

Pulpotomia Cuando Es Necesaria Alba Hernanz
albayhernanz.es

Pulpotomia Recubrimiento Pulpar Directo Con Mta En Un Organo Dentario Permanente Dentaliti C
endodonciamexico.webnode.mx

En Que Consiste Una Pulpectomia Y Como Se Realiza Ferrus Bratos
www.clinicaferrusbratos.com

Diferencias Entre Tratar Una Caries En Un Diente Temporal Y Permanente
www.propdental.es

Dentalinfantilaxel
dentalinfantilaxel.es.tl

Pulpotomia Infantil Utilizando Unguento Oftalmico Como Metodo Alternativo Al Uso De Formocresol
www.ortodoncia.ws

2

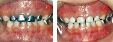
Coronas Metalicas En Las Muelas De Leche Clinica Smile
www.ortodoncianinosmadrid.es

Pulpotomia Y Pulpectomia Clinica Odontologia Especializada
odontologiaespecializadasevilla.com

Andydental Calle Primavera 34 Colonia Valle Primavera Izucar De Matamoros 2020
www.dentalservicesfinder.com

Pulpotomia Endodoncia Y Exodoncia Cicb Huenchul
sites.google.com

We Dental General Dentist El Carmen Nuevo Leon Mexico 218 Photos Facebook
www.facebook.com

Biopulpectomia Y Pulpectomia Dental Odonton
www.odonton.es

Https Encrypted Tbn0 Gstatic Com Images Q Tbn 3aand9gct8msvwj Ojp6fb28qcog2lmb4bnshqbwjlqdunsvwgo Afomln Usqp Cau
encrypted-tbn0.gstatic.com

En Que Consiste Una Pulpectomia Cuando Se Realiza
bqdentalcenters.es

Alternativas Al Formocresol En El Tratamiento De Pulpotomias Dentista Araujo Dr Javier Araujo Conde
araujo.es

Pulpotomia Instagram Posts Gramho Com
gramho.com

Conversion De Una Corona De Acero Inoxidable En Una Bruxzir Crown En Una Sola Consulta Youtube
www.youtube.com

Pulpectomia Definicion Y Significado Bladegrup
www.bladegrup.com

La Pulpotomia Alivia Rapidamente El Dolor Por Inflamacion En Diente Del Nino
clinicadentalsaramoreno.com

Corona Dental Que Es Y Cuando Es Necesaria Clinica Drs De Benito
www.clinicadrsdebenito.com

Odontopediatria Dentistas En Valle Dorado
www.odontologiaespecializada-vd.com.mx

En Que Consiste Una Pulpectomia Cuando Se Realiza
bqdentalcenters.es

Pulpotomia Instagram Posts Photos And Videos Picuki Com
www.picuki.com

Pulpotomia Y Corona De Acero Cromo Unidad Medica Dental Morelia Facebook
es-la.facebook.com

Pupectomia Amp Pulpotomia By Ceci Sprancer Celi Sanchez
prezi.com

Rode Revista De Operatoria Dental Y Endodoncia Odontopediatria Pulpotomia De Un Molar Temporal Con Agenesia Del Sucesor Permanente
www.infomed.es

Terapia Pulpar En Dientes Temporales Ppt Video Online Descargar
slideplayer.es

Apicogenesis En Canino Permanente Joven Con Resorcion Intracoronal Pre Eruptiva Reporte De Caso
www.scielo.org.pe

Odontopediatria Clinica Broch Dental
www.clinicabroch.com

Caso Clinico Final
www.slideshare.net

Https Pdfs Semanticscholar Org 5efc 1e6f53b41053eb61af68969b2eb8311bd027 Pdf

Https Core Ac Uk Download Pdf 11862302 Pdf

Calidad Dental La Pulpotomia Sirve Para Extraer Parte Facebook
www.facebook.com

Que Es Una Pulpectomia Y Cuando Es Necesaria Estudi Dental Barcelona
estudidentalbarcelona.com

Diferencia Entre Pulpotomia Y Pulpectomia Estudia En Linea
laedu.digital

Http Www Regladetercios Mx Index Php Opinion Salud Y Bienestar Item 2110 El Que Y Porque De Una Pulpotomia Y Pulpectomia

Tratamiento De Conducto En Ninos Dentist Downers Grove Il Dental Spanish Education Library
www.officitespanishddsdemo.com

Dental Medica Sur Matangazo
matangazo.mx

Calidad Dental Azteca 456 Guadalupe 2020
www.findglocal.com

Dentilandiakids Odontopediatria Ortodoncia Brackets Sedacion Consciente Dentista Ninos
www.dentilandiakids.com

Odontopediatria Clinica Broch Dental
www.clinicabroch.com

Que Es Una Pulpotomia Y Cuando Es Necesaria Estudi Dental Barcelona
estudidentalbarcelona.com

Pulpotomia Y Pulpectomia En Dientes De Leche Clinica Dental Ibaiondo
clinicaibaiondo.com

Pulpotomia Tijuana La Casa De Las Sonrisas
lacasadelassonrisas.com

Diferencia Entre Pulpotomia Y Pulpectomia
presmarymethuen.org

Odontopediatria Clinica Broch Dental
www.clinicabroch.com

Pulpotomia Clinica Dental De Udaeta
www.clinicadentaldeudaeta.com

Pulpotomia Y Pulpectomia Clinica Odontologia Especializada
odontologiaespecializadasevilla.com

Casos Clinicos Odontopediatria
casosclinicosodontopediatria.blogspot.com

Diferencias Entre Pulpotomia Y Pulpectomia Blog Dentista En Tu Ciudad
dentistaentuciudad.com

Sitio Web Oficial Medica Dental Petenpulpotomia Sitio Web Oficial Medica Dental Peten
www.medicadentalpeten.com

Odontopediatria Canina Y Felina
www.clinvetpeqanim.com

Estudio Clinico Del Agregado Trioxido Mineral En Pulpotomias De Molares Temporales Estudio Piloto A 15 Meses
scielo.isciii.es

Pulpotomia En Ninos Que Es Y Por Que Se Hace Ferrus Bratos
www.clinicaferrusbratos.com

Https Encrypted Tbn0 Gstatic Com Images Q Tbn 3aand9gcs Bqowj1o6s4vgip6qfrz2wzptmhtb Xssmudj5e8j 8kptjau Usqp Cau
encrypted-tbn0.gstatic.com

Diferencia Entre Una Pulpotomia Y Una Endodoncia Odontovida Blog
www.blog.odontovida.com

Coronas Metalicas En Las Muelas De Leche Clinica Smile
www.ortodoncianinosmadrid.es

Pulpotomia Instagram Posts Gramho Com
gramho.com

Pulpotomia Protocolo Clinico Odontobebe
www.odontobebe.com

Caso Clinico Master Bioceramicos Al Rescate Pulpotomia Con Biodentine
master-endodoncia.blogspot.com

Blanqueamiento De Un Diente Que Recibia Pulpotomia V Unia N Del Fraiffilento Pdf
www.yumpu.com

6jqnngntys9gm

Https Core Ac Uk Download Pdf 11862302 Pdf

Pulpotomia Procedimiento Y Tecnica
mapaodontologico.blogspot.com

Pulpotomia Definicion Y Tecnica Clinica Dental Adeslas
www.adeslasdental.es

La Pulpotomia Y La Pulpectomia Clinica Dental Dr Fuset
www.clinicadentalfuset.com

1
encrypted-tbn0.gstatic.com

Odontopediatria Clinica Broch Dental
www.clinicabroch.com

Caso Clinico Odontopediatria
www.slideshare.net

Pulpotomia Caries En Ninos Clinica Dental Larranaga
www.clinicadentallarranaga.com

Boletin Cientifico Uaeh
www.uaeh.edu.mx

Coronas De Acero
es.slideshare.net

Clinica Bayona Pulpotomia Un Procedimiento Que Esta A Cargo Del Odontopediatra
clinicabayona.es

Regeneracion Pulpar En Diente Permanente Con Apice Inmaduro Revista Del Ilustre Consejo General De Colegios De Odontologos Y Estomatologos De Espana Rcoe
rcoe.es

Pulpotomia Y Pulpectomia Tratamiento De Nervio Dental Infantil Youtube
www.youtube.com

Https Pdfs Semanticscholar Org 5efc 1e6f53b41053eb61af68969b2eb8311bd027 Pdf

Que Es El Tratamiento De Pulpotomia En Los Ninos Pequeciro Dentista De Ninos En Madrid
pequeciro.com

Que Es La Pulpotomia Y La Pulpectomia Dentistainfantiltoledo Com
www.dentistainfantiltoledo.com

Rode Revista De Operatoria Dental Y Endodoncia Odontopediatria Pulpotomia De Un Molar Temporal Con Agenesia Del Sucesor Permanente
www.infomed.es

Odontopediatria Ortodoncia Rehabilitacion Oral Centro Odontologico Especializado Morales Ayala La Molina Lima Rehabilitacion Oral Estetica Dental Odontopediatria Implantes Dentales Blanqueamiento Dental Endodoncias Ortodoncia
www.coemadent.com

En Que Consiste Una Pulpectomia Y Como Se Realiza Ferrus Bratos
www.clinicaferrusbratos.com

Https Idus Us Es Xmlui Bitstream 11441 57158 1 2014biedmvalor Pdf

Coronadezirconia Instagram Posts Photos And Videos Picuki Com
www.picuki.com

Pulpotomia En Ninos Analitica Com
www.analitica.com

Visitaatuodontologo Instagram Posts Gramho Com
gramho.com

Restaurando Arreglando Esa Muelita Con Lo Mejorpulpotomia Con Neomta Y Una Preciosa Corona De Nusmile Divadental Tusonrisam Dental Ortodoncia Clinica Dental
www.pinterest.es

Boletin Cientifico Uaeh
www.uaeh.edu.mx

Tratamientos Dentales En Ninos Odontopediatria
www.caballerodentalclinic.com

Que Es Una Pulpectomia
www.clinicadentalagj.com

Dental Venus Mexicali Dentist Implants Orthodontics Braces
www.dentalvenus.com

Dentalinfantilaxel
dentalinfantilaxel.es.tl

Dental D H Odontopediatria Facebook
www.facebook.com

close