Covid19

Raio X Covid

Pesquisadores Da Uem Criam Metodo Para Identificar A Covid 19 Por Raio X
paranavai.portaldacidade.com

Dica De Radiologia Raio X De Torax Sanar Medicina
www.sanarmed.com

Unb Noticias Unb Desenvolve Sistema Para Analise De Raio X Com Inteligencia Artificial
noticias.unb.br

Imagem De Raio X Do Torax Humano Para Um Diagnostico Medico Coronavirus Covid 19 Virus Epidemico 2019 Ncov Sindrome Respiratoria Foto Premium
br.freepik.com

Coronavirus Pesquisadores Do Parana Identificam Doenca Pelo Raio X
www.gazetadopovo.com.br

Inteligencia Artificial Classifica Radiografias De Torax Com Precisao No Nivel Humano Data Science Academy
datascienceacademy.com.br

Ultrassonografia Supera Raio X De Torax Em Diagnostico De Tuberculose Pulmonar Em Criancas Newslab
newslab.com.br

Trekkers Classificador De Raio X De Pulmao Para Covid 19 Devpost
devpost.com

Covid 19 80 Dos Infetados Terao Doenca Ligeira Que Vai Passar Com Cha De Limao Raiox O Seu Jornal De Saude Diario
raiox.pt

Caso Clinico De Covid 19 Coronavirus Sanar Medicina
www.sanarmed.com

Novidades No Diagnostico E Tratamento Da Pneumonia Comunitaria Grave Pebmed
pebmed.com.br

Analise De Imagens Ica
www.ica.ele.puc-rio.br

Raio X Pode Indicar Quem Tem Maior Risco De Complicacoes Por Covid 19 Revista Galileu Saude
revistagalileu.globo.com

Coronavirus Covid 19 Informe Medico Na Pandemia Telelaudo
www.telelaudo.com.br

Visao Imagens De Raios X Das Urgencias Mostram As Consequencias Invisiveis E Brutais Da Violencia Domestica
visao.sapo.pt

Aplicativo Criado Na Usp Faz O Diagnostico Da Covid 19 A Partir De Radiografia Do Pulmao Jornal Da Usp
jornal.usp.br

Usando Inteligencia Artificial Para A Deteccao De Covid 19 Em Raio X De Torax
neuralmed.ai

Tres De Cada Dez Pacientes Internados Em Utis Com A Covid 19 Nao Conseguem Se Recuperar Atualidade El Pais Brasil
brasil.elpais.com

Coronavirus Cientistas Descobrem Como O Corpo Combate A Covid 19 Noticias R7 Saude
noticias.r7.com

Ancora Da Cnn Mostra Raio X Dos Pulmoes Para Provar Gravidade Do Novo Coronavirus E Relata Sintomas Nunca Tive Algo Parecido Assista Hugo Gloss
hugogloss.uol.com.br

Universidades Desenvolvem Apoio A Diagnostico De Covid 19 Com Raio X Por Falar Em Saude
porfalaremsaude.com.br

Amazonastur Raio X Do Turismo Frente A Covid 19 Facebook
es-la.facebook.com

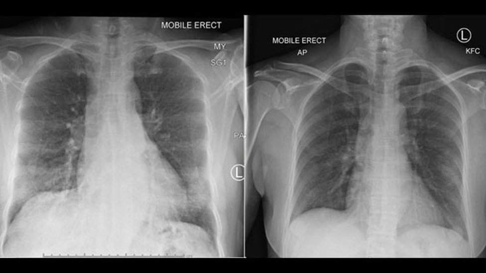
Jovem Que Teve Pulmoes Destruidos Por Covid 19 Recebe Transplante Duplo Nos Eua Bbc News Brasil
www.bbc.com

Pesquisadores Estudam Identificacao Da Covid 19 Por Raio X Universidade Tecnologica Federal Do Parana Utfpr
portal.utfpr.edu.br

Grupo Desenvolve Aplicativo Que Identifica Covid 19 A Partir De Raio X Do Pulmao Ribeirao Preto E Franca G1
g1.globo.com

Startups Desenvolvem Aplicativo Para Triagem De Pacientes Com Sintomas De Covid 19 Covidfcm
www.fcm.unicamp.br

Coronavirus Ancora Da Cnn Mostra Raio X Dos Pulmoes Para Provar Gravidade Da Covid 19
tvefamosos.uol.com.br

Inteligencia Artificial Vai Ajudar Hc A Diagnosticar Coronavirus
catracalivre.com.br

Chest X Ray May Overlook Coronavirus Cases Apparent On Ct
www.healthimaging.com

Pesquisadores Desenvolvem Sistema Que Diagnostica Covid 19 Por Raio X Pesquisadores Desenvolvem Sistema Que Diagnostica Covid 19 Por Raio X
www.unifor.br

Analise De Imagens Ica
www.ica.ele.puc-rio.br

Diagnostico De Covid 19 Com Imagens De Raio X Youtube
www.youtube.com

Universidades Desenvolvem Apoio A Diagnostico De Covid 19 Com Raio X Sul 21
www.sul21.com.br

Analise De Imagens Ica
www.ica.ele.puc-rio.br

Metodo De Deteccao De Possiveis Casos De Covid 19 Por Raio X E Desenvolvido Por Pesquisador Cearense Metro Diario Do Nordeste
diariodonordeste.verdesmares.com.br

Detalhe Ser Informacao
ladoaladopelavida.org.br

Professores Do Departamento De Informatica Estudam Metodo Para Auxiliar O Diagnostico Do Covid 19 Utilizando Imagens De Raio X Toracico Exatas Ufpr
www.exatas.ufpr.br

See How Covid 19 Damages Lungs Hyperaxion
hyperaxion.com

Universidades Do Parana Desenvolvem Diagnostico De Covid 19 Por Raio X Litoranea Fm 91 5
www.litoranea.fm

Giulia Granchi S Journalist Portfolio Muck Rack
muckrack.com

Exames De Imagem Sao Eficazes Na Deteccao Do Coronavirus Saude Business
saudebusiness.com

Covid 19 Tunisia Desenvolve Teste Online Para Identificar Virus Mundo Ig
ultimosegundo.ig.com.br

Tratando O Paciente Congestionado Com Insuflacao Nasal De Alta Velocidade Vapotherm
vapotherm.com

Covid 19 Detection X Ray System
lcc.unifesspa.edu.br

Universidades Desenvolvem Apoio A Diagnostico De Covid 19 Com Raio X Tribuna Do Norte
www.tribunadonorte.com.br

Caracteristicas E Prognostico Precoce De Pacientes Com Covid 19 E Fraturas Pebmed
pebmed.com.br

Prevent Senior Aposta Em Inteligencia Artificial Contra A Covid Medicina S A
medicinasa.com.br

Analise De Imagens Ica
www.ica.ele.puc-rio.br

Professor Do Ifpr Campus Pinhais Desenvolve Pesquisa Para Identificacao De Covid 19 Em Imagens De Raio X Campus Pinhais
pinhais.ifpr.edu.br

Rx De Torax Covid 19 Youtube
www.youtube.com

Analise De Imagens Ica
www.ica.ele.puc-rio.br

Deep Learning E Covid 19 Utilizando Imagens De Raio X By Toni Esteves Medium
medium.com

Ivare Ia Identifica Em Tempo Real Corona Covid 19 Em Exames De Raio X Ivare Fez Uma Extensa Pesquisa Sobre O Coronavirus Covid 19 Estudando Diversos Artigos De Pesquisas Americanas E Chinesas Constatamos Que
m.facebook.com

Deep Learning E Covid 19 Utilizando Imagens De Raio X By Toni Esteves Medium
medium.com

Raio X Novo Sem Funcionar Ha Cinco Meses No Centro De Saude De Mafra Ciencia Saude Sabado
www.sabado.pt

Coronavirus Com Covid 19 Ancora Da Cnn Mostra Raio X Dos Pulmoes Quem Quem News
revistaquem.globo.com

Pesquisadores Criam Aplicativo Para Diagnostico Da Covid 19 A Partir De Raio X Dos Pulmoes Epoca
epoca.globo.com

Modelo De Inteligencia Artificial Detecta E Localiza Em Segundos Achados Radiologicos Em Raio X De Pulmao Unicamp
www.unicamp.br

Projeto Imagem Da Semana Discute Caso De Covid 19 Faculdade De Medicina Da Ufmg
www.medicina.ufmg.br

Whitebook Como Diagnosticar A Pneumonia Por Covid 19 Pebmed
pebmed.com.br

Saiba Como O Novo Coronavirus E Detectado Na China
www.correiobraziliense.com.br

Governo Do Tocantins Apresenta Raio X Da Pandemia Da Covid 19 No Estado Noticias Portal Tocantins
portal.to.gov.br

Coronavirus Especialista Explica Por Que Tomografia E Necessaria Para Identificar Pneumonia Nsc Total
www.nsctotal.com.br

App Permite Diagnostico Por Meio De Raio X Do Pulmao Diario Do Comercio
diariodocomercio.com.br

Startup Cria Algoritmo Para Detectar Covid 19 Com Raio X Coep Brasil
coepbrasil.org.br

Startup De Cascavel Cria Robo Que Detecta Covid 19 Atraves De Raio X
www.gazetadopovo.com.br

Ai Usado Para Detectar A Pneumonia Covid 19
www.news-medical.net

See How Covid 19 Damages Lungs Hyperaxion
hyperaxion.com

Covid 19 Summary Radiology Reference Article Radiopaedia Org
radiopaedia.org

Pesquisadores Da Ufrrj Criam Sistema Digital Para Politica
www.brasildefatorj.com.br

O Otimista
ootimista.com.br

Tomografia Revela Evolucao Do Coronavirus Em Pulmoes Veja Antes E Depois Cnn Brasil
www.cnnbrasil.com.br

Raio X Da Covid 19 Mostra Avanco Entre Jovens E Mulheres Na Regiao Ovale
www.ovale.com.br

Cientistas Da Computacao Descobrem Uma Maneira De Confirmar A Covid 19
cbnmaringa.com.br

Universidade Tecnica De Munique Divulga Novo Metodo De Raio X Para O Diagnostico De Covid 19 Dwih Sao Paulo
www.dwih-saopaulo.org

Estudo Brasileiro Identifica Covid 19 Por Raio X Com 90 De Eficacia Orla Noticias
orlanoticias.com.br

Raio X Ajuda No Diagnostico Da Covid 19 Youtube
www.youtube.com

Covid 19 Pneumonia Radiology Case Radiopaedia Org
radiopaedia.org

Rx De Torax Covid 19 Youtube
m.youtube.com

Ferramenta De Ia Identifica Casos De Covid 19 Por Radiografias
olhardigital.com.br

See How Covid 19 Damages Lungs Hyperaxion
hyperaxion.com

Inteligencia Artificial Pode Suprir Falta De Testes Para Covid 19
jc.ne10.uol.com.br

See How Covid 19 Damages Lungs Hyperaxion
hyperaxion.com

Imagens Mostram Danos Do Coronavirus Causador Da Covid 19 Nos Pulmoes Revista Galileu Saude
revistagalileu.globo.com

A New Study Shows Post Covid 19 Effects In Children
hyperaxion.com

Caracteristicas Clinicas De Pneumonia Refrataria Por Covid 19 Pebmed
pebmed.com.br

Universidade Federal Do Parana
www.ufpr.br

Estudo Possibilita Diagnostico Da Covid 19 Via Raio X
capes.gov.br

Medicos Relatam Primeiro Caso De Pulmao De Pipoca Relacionado A Cigarros Eletronicos Gizmodo Brasil
gizmodo.uol.com.br

Recuperados De Pneumonia Da Covid 19 Tem Sequela Apos Meses Panorama Farmaceutico
panoramafarmaceutico.com.br

Metodo Utiliza Raio X E Inteligencia Artificial Para Diagnostico De Covid Medicina S A
medicinasa.com.br

Casos Graves De Covid 19 Podem Piorar Com Pneumonia Bacteriana Noticias R7 Saude
noticias.r7.com

Ministerio Da Saude Cria Banco De Imagens Para Auxiliar Diagnostico De Covid 19 Portugues Brasil
www.gov.br

Inteligencia Artificial Auxilia Os Medicos Da Prevent Senior No Diagnostico De Covid Saude Business
saudebusiness.com

Raio X Com Tecnologia De Ponta Vai Auxiliar O Tratamento De Pacientes Do Centro Covid Hu Diario Do Amapa Compromisso Com A Noticia
www.diariodoamapa.com.br

Trekkers Classificador De Raio X De Pulmao Para Covid 19 Devpost
devpost.com

Pulmao Raio X Images Stock Photos Vectors Shutterstock
www.shutterstock.com

Aplicativo Criado Na Usp Identifica Covid 19 A Partir De Raio X Do Pulmao 11 07 2020 Uol Vivabem
www.uol.com.br

Universidades Desenvolvem Apoio A Diagnostico De Covid 19 Com Raio X Jornal De Alagoas
www.jornaldealagoas.com.br

Paciente Com Covid 19 Em Estado Grave Passa Por Transplante Duplo De Pulmao Canaltech
canaltech.com.br

close