Covid19

Raio X Do Torax Detecta Covid

Radiografia Estudio De Diagnostico Por Imagenes Que Ayuda A Diagnosticar Con Rapidez Mayo Clinic
www.mayoclinic.org

Radiology X Ray
www.auntminnie.com

La Tomosintesis Permite Diagnosticar De Forma Precoz Las Neumonias Causadas Por Covid 19 Onda Regional De Murcia
www.orm.es

Using Lung X Rays To Diagnose Covid 19 Imaging Technology News
www.itnonline.com

Exames De Imagem Sao Eficazes Na Deteccao Do Coronavirus Saude Business
saudebusiness.com

The Radiology Assistant Covid 19 Imaging Findings
radiologyassistant.nl

Coronavirus Ancora Da Cnn Mostra Raio X Dos Pulmoes Para Provar Gravidade Da Covid 19
tvefamosos.uol.com.br

Ultrassonografia Supera Raio X De Torax Em Diagnostico De Tuberculose Pulmonar Em Criancas Newslab
newslab.com.br

Radiografia Estudio De Diagnostico Por Imagenes Que Ayuda A Diagnosticar Con Rapidez Mayo Clinic
www.mayoclinic.org

Rayos X
www.nibib.nih.gov

Detecting Covid 19 Induced Pneumonia From Chest X Rays With Transfer Learning An Implementation In Tensorflow And Keras By Adrian Yijie Xu Towards Data Science
towardsdatascience.com

Pesquisadores Desenvolvem Sistema Que Diagnostica Covid 19 Por Raio X Pesquisadores Desenvolvem Sistema Que Diagnostica Covid 19 Por Raio X
www.unifor.br

Startup De Cascavel Cria Robo Que Detecta Covid 19 Atraves De Raio X
www.gazetadopovo.com.br

Saiba Como Interpretar Radiografia Blog Ipemed
ipemed.com.br

Https Www Einstein Br Documentos 20compartilhados 22 05 2020 Atualizacao Estudos Pdf Id 449

Debate Sobre El Uso De La Inteligencia Artificial Para Detectar El Coronavirus Covid 19 Es Mas Fiable El Ojo Humano O La Maquina Infobae
www.infobae.com

Algoritmo Identifica Pneumonia Em Pacientes De Forma Mais Precisa Que Raio X Canaltech
canaltech.com.br

Prevent Senior Aposta Em Inteligencia Artificial Contra A Covid Medicina S A
medicinasa.com.br

Feed Aggregator Mass Legal Services
www.masslegalservices.org

Coronavirus Nao E Uma Simples Gripe
theintercept.com

Raio X De Torax Em Criancas E Desnecessario Em 88 Dos Casos Veja
veja.abril.com.br

Imaging The Coronavirus Disease Covid 19
healthcare-in-europe.com

Covid19 Lunit Inc
www.lunit.io

Las Radiografias De Torax No Detectan La Cuarta Parte De Los Canceres De Pulmon Segun Estudio
medicinaysaludpublica.com

Desvendando O Raio X De Torax Sanar Medicina
www.sanarmed.com

Imagens Mostram Danos Do Coronavirus Causador Da Covid 19 Nos Pulmoes Revista Galileu Saude
revistagalileu.globo.com

The Radiology Assistant Covid 19 Imaging Findings
radiologyassistant.nl

Https Iris Paho Org Bitstream Handle 10665 2 52316 Opaswbracovid 1920079 Por Pdf Sequence 5

Coronavirus Lo Que Los Cientificos Han Descubierto Sobre El Covid 19 En Los 6 Primeros Meses De La Pandemia Bbc News Mundo
www.bbc.com

Quien Debe Hacerse La Prueba De Deteccion Para El Cancer De Pulmon Cdc
www.cdc.gov

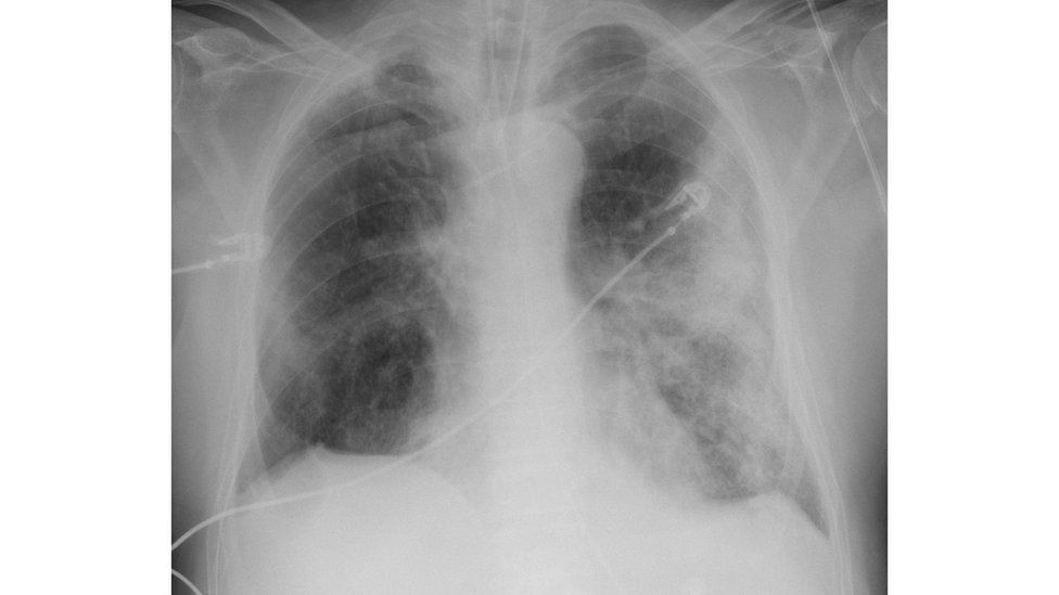
Coronavirus X Rays Show Terrifying Damage In Lungs Of Covid 19 Victims World News Mirror Online
www.mirror.co.uk

Radiografias Vencer O Cancer Vencer O Cancer
vencerocancer.org.br

Las Radiografias De Torax Ayudan A Predecir La Gravedad Del Covid 19
m.infosalus.com

Mais De 80 Das Mortes Por Pneumonia No Pais Sao De Idosos Noticias R7 Saude
noticias.r7.com

X Rays Can Now Diagnose Covid 19 Say Dutch Software Developers Axis Imaging News
www.axisimagingnews.com

Pesquisadores Estudam Identificacao Da Covid 19 Por Raio X Universidade Tecnologica Federal Do Parana Utfpr
portal.utfpr.edu.br

Ai Algorithm Identifies Chest X Rays From Covid 19 Patients As Abnormal Imaging Technology News
www.itnonline.com

Pneumonia No Lobo Medio Youtube
www.youtube.com

Como Saber Si Tengo Pulmones Saludables Las 7 Senales Que Le Estan Fallando Los Angeles Times
www.latimes.com

Imaging The Coronavirus Disease Covid 19
healthcare-in-europe.com

Imagenes De Rayos X Pueden Ser Inadecuadas Para Diagnosticar La Covid 19 Covid 19 Labmedica Es
www.labmedica.es

Coronavirus Nao E Uma Simples Gripe
theintercept.com

Coronavirus X Rays Show Terrifying Damage In Lungs Of Covid 19 Victims World News Mirror Online
www.mirror.co.uk

Covid 19 Coronavirus Diagnosis Chest X Ray And Ct Scan
www.verywellhealth.com

Plataforma De Inteligencia Artificial Auxilia No Combate A Covid 19 Portogente
portogente.com.br

Aplicativo Criado Na Usp Faz O Diagnostico Da Covid 19 A Partir De Radiografia Do Pulmao Jornal Da Usp
jornal.usp.br

Radiografia Estudio De Diagnostico Por Imagenes Que Ayuda A Diagnosticar Con Rapidez Mayo Clinic
www.mayoclinic.org

Precisamos Radiografar Pneumonias Pebmed
pebmed.com.br

The Radiology Assistant Covid 19 Imaging Findings
radiologyassistant.nl

Pneumonia Vista Apenas Na Tc Tem Relevancia Clinica Pebmed
pebmed.com.br

The Groundbreaking Way To Search Lungs For Signs Of Covid 19 Bbc News
www.bbc.com

Ferramenta De Ia Identifica Casos De Covid 19 Por Radiografias
olhardigital.com.br

Inteligencia Artificial Auxilia Os Medicos Da Prevent Senior No Diagnostico De Covid Saude Business
saudebusiness.com

Radiografias De Torax Para Detectar La Covid 19 Biotech Spain
biotech-spain.com

Inteligencia Artificial Classifica Radiografias De Torax Com Precisao No Nivel Humano Data Science Academy
datascienceacademy.com.br

Coronavirus Uso De Tomografia Computadorizada Na Deteccao Brasilrad
brasilrad.com.br

Os Exames De Imagem No Combate A Covid 19 Crbm 5 Conselho Regional De Biomedicina 5ª Regiao Rio Grande Do Sul E Santa Catarina
crbm5.gov.br

Os Exames De Imagem No Combate A Covid 19 Crbm 5 Conselho Regional De Biomedicina 5ª Regiao Rio Grande Do Sul E Santa Catarina
crbm5.gov.br

New Research Finds Chest X Ray Not Reliable Diagnostic Tool For Covid 19 Imaging Technology News
www.itnonline.com

Usos Y Diferencias En Imagenes De Torax Para Pacientes Con Sospecha De Covid 19
www.elhospital.com

Mit Tech Review Es On Twitter Una Nueva Ia Podria Detectar El Covid 19 En Una Radiografia De Torax Https T Co 18qw9qk070 Coronavirus Covid2019 Https T Co Swh4ylzerv
twitter.com

Vendors Debut Ai X Ray System For Covid 19 Give It Away For Free Healthcare It News
www.healthcareitnews.com

2

Mais De 80 Das Mortes Por Pneumonia No Pais Sao De Idosos Noticias R7 Saude
noticias.r7.com

Medicos De Ee Uu Que Analizaron Pulmones Con Covid 19 Dicen Que Se Puede Diagnosticar Mas Rapido Wuhan Nueva York China La Gran Epoca
es-mb.theepochtimes.com

Deep Learning E Covid 19 Utilizando Imagens De Raio X By Toni Esteves Medium
medium.com

Colapso Pulmonar Medlineplus En Espanol
medlineplus.gov

Detecting Covid 19 Induced Pneumonia From Chest X Rays With Transfer Learning An Implementation In Tensorflow And Keras By Adrian Yijie Xu Towards Data Science
towardsdatascience.com

Usando Inteligencia Artificial Para A Deteccao De Covid 19 Em Raio X De Torax
neuralmed.ai

Coronavirus Especialista Explica Por Que Tomografia E Necessaria Para Identificar Pneumonia Nsc Total
www.nsctotal.com.br

El Coronavirus Pone A Prueba El Valor De La Inteligencia Artificial En La Atencion Medica Kaiser Health News
khn.org

Universidade Federal Do Parana
www.ufpr.br

Imaging The Coronavirus Disease Covid 19
healthcare-in-europe.com

Inaoe
www.inaoep.mx

Using Lung X Rays To Diagnose Covid 19 Imaging Technology News
www.itnonline.com

2

Aplicativo Criado Na Usp Identifica Covid 19 A Partir De Raio X Do Pulmao 11 07 2020 Uol Vivabem
www.uol.com.br

Deep Learning E Covid 19 Utilizando Imagens De Raio X By Toni Esteves Medium
medium.com

Grupo Desenvolve Aplicativo Que Identifica Covid 19 A Partir De Raio X Do Pulmao Ribeirao Preto E Franca G1
g1.globo.com

Estudo Possibilita Diagnostico Da Covid 19 Via Raio X
www.capes.gov.br

Raio X Pode Indicar Quem Tem Maior Risco De Complicacoes Por Covid 19 Revista Galileu Saude
revistagalileu.globo.com

Medicina Nuclear
www.nibib.nih.gov

Unb Noticias Unb Desenvolve Sistema Para Analise De Raio X Com Inteligencia Artificial
noticias.unb.br

Sem Testes Disponiveis Tomografia Ajuda No Diagnostico Da Covid 19 Vida Acao
www.vidaeacao.com.br

Rayos X
www.nibib.nih.gov

Rayos X Del Torax Trastornos Del Corazon Y Los Vasos Sanguineos Manuale Merck Version Para El Publico General
www.merckmanuals.com

Rx De Torax Covid 19 Youtube
www.youtube.com

Como A Tomografia E Usada Para Identificar O Coronavirus Nexo Jornal
www.nexojornal.com.br

Whitebook Como Diagnosticar A Pneumonia Por Covid 19 Pebmed
pebmed.com.br

Caso Clinico De Covid 19 Coronavirus Sanar Medicina
www.sanarmed.com

Pesquisadores Da Ufu Analisam Imagens Radiologicas De Pulmoes Para Diagnostico De Covid 19 Comunica Ufu Br
www.comunica.ufu.br

Un Batallon De 70 Cientificos Granadinos Contra El Coronavirus Investigacion En Salud Noticias Fibao
www.fibao.es

X Rays Can Now Diagnose Covid 19 Thanks To Dutch Software Developers Nl Times
nltimes.nl

Radiografia Estudio De Diagnostico Por Imagenes Que Ayuda A Diagnosticar Con Rapidez Mayo Clinic
www.mayoclinic.org

The Groundbreaking Way To Search Lungs For Signs Of Covid 19 Bbc News
www.bbc.com

Tomografia Revela Evolucao Do Coronavirus Em Pulmoes Veja Antes E Depois Cnn Brasil
www.cnnbrasil.com.br

Deep Learning E Covid 19 Utilizando Imagens De Raio X By Toni Esteves Medium
medium.com

Coronavirus X Rays Show Terrifying Damage In Lungs Of Covid 19 Victims World News Mirror Online
www.mirror.co.uk

Dos Estudiantes Desarrollan Un Modelo Para Detectar El Covid 19
universidadeuropea.es

Coronavirus X Rays Show Terrifying Damage In Lungs Of Covid 19 Victims World News Mirror Online
www.mirror.co.uk

close