Covid19

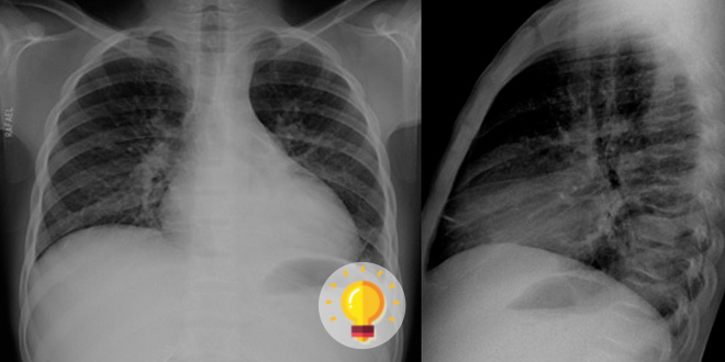
Raio X Torax Normal X Covid

Chronic Obstructive Pulmonary Disease Copd Pulmonary Disorders Merck Manuals Professional Edition
www.merckmanuals.com

Imagens De Raio X Revelam Danos Da Sindrome Gerada Apos Covid 19 Em Criancas Revista Galileu Saude
revistagalileu.globo.com

Imaging The Coronavirus Disease Covid 19
healthcare-in-europe.com

Mais De 80 Das Mortes Por Pneumonia No Pais Sao De Idosos Noticias R7 Saude
noticias.r7.com

How Damo Academy S Ai System Detects Coronavirus Cases Alizila Com
www.alizila.com

Covid 19 Diagnostico Por Imagen Y Espectro Radiologico Youtube
www.youtube.com

Normal Chest X Ray Doesn T Rule Out Covid 19
www.medscape.com

Caracteristicas Clinicas De Pneumonia Refrataria Por Covid 19 Pebmed
pebmed.com.br

Ai Based Software For Chest X Rays Receives Ce Certification Industry News Medimaging Net
www.medimaging.net

Quiz Quais Os Achados Da Radiografia De Torax Do Paciente Pebmed
pebmed.com.br

Chronic Cough In Children A Primary Care And Subspecialty Collaborative Approach American Academy Of Pediatrics
pedsinreview.aappublications.org

Aplicativo Criado Na Usp Identifica Covid 19 A Partir De Raio X Do Pulmao 11 07 2020 Uol Vivabem
www.uol.com.br

Distinguishing Covid 19 Using Chest X Rays Analytics Insight
www.analyticsinsight.net

Pneumonia Radiology Reference Article Radiopaedia Org
radiopaedia.org

The Radiology Assistant Covid 19 Imaging Findings
radiologyassistant.nl

Analise De Imagens Ica
www.ica.ele.puc-rio.br

Normal Chest X Ray Doesn 039 T Rule Out Covid 19 Happidoc
www.happidoc.com

Como Saber Si Tengo Pulmones Saludables Las 7 Senales Que Le Estan Fallando Los Angeles Times
www.latimes.com

Deep Learning E Covid 19 Utilizando Imagens De Raio X By Toni Esteves Medium
medium.com

X Ray Image Of Human Chest Premium Photo
www.freepik.com

Http Rihuc Huc Min Saude Pt Bitstream 10400 4 1569 1 Sinais Rad Torax Pdf

Dica De Radiologia Raio X De Torax Sanar Medicina
www.sanarmed.com

Http Docs Bvsalud Org Biblioref 2018 04 882682 Interpretando A Radiografia De Torax Na Emergencia Pdf

Imaging The Coronavirus Disease Covid 19
healthcare-in-europe.com

Chest X Ray Purpose Procedure And Risks
www.healthline.com

Covid 19 Computed Tomography Ct Diagnostic Imaging Mcmaster Textbook Of Internal Medicine
empendium.com

Https Nursing Utexas Edu Sites Default Files Manual Para La Prevencio Cc 81n Y Tratamiento De Covid19 Pdf

Github Ieee8023 Covid Chestxray Dataset We Are Building An Open Database Of Covid 19 Cases With Chest X Ray Or Ct Images
github.com

Analise De Imagens Ica
www.ica.ele.puc-rio.br

Reemplazo Total De Cadera Total Hip Replacement Orthoinfo Aaos
orthoinfo.aaos.org

Covid 19 Summary Radiology Reference Article Radiopaedia Org
radiopaedia.org

Imaging The Coronavirus Disease Covid 19
healthcare-in-europe.com

Analise De Imagens Ica
www.ica.ele.puc-rio.br

Chest X Ray Uf Health University Of Florida Health
m.ufhealth.org

The Radiology Assistant Covid 19 Imaging Findings
radiologyassistant.nl

New Research Finds Chest X Ray Not Reliable Diagnostic Tool For Covid 19 Imaging Technology News
www.itnonline.com

Chest X Ray Findings Normal For Many Confirmed Covid 19 Cases
medicalxpress.com

Chest X Ray Uf Health University Of Florida Health
m.ufhealth.org

Whitebook Como Diagnosticar A Pneumonia Por Covid 19 Pebmed
pebmed.com.br

Covid 19 Summary Radiology Reference Article Radiopaedia Org
radiopaedia.org

Chest X Ray Mayo Clinic
www.mayoclinic.org

Imagens Mostram Danos Do Coronavirus Causador Da Covid 19 Nos Pulmoes Revista Galileu Saude
revistagalileu.globo.com

New Ai System Prioritizes Chest X Rays Containing Critical Findings Industry News Medimaging Net
www.medimaging.net

Jornal Brasileiro De Pneumologia Apresentacao Tomografica Da Infeccao Pulmonar Na Covid 19 Experiencia Brasileira Inicial
www.jornaldepneumologia.com.br

Hospital Acquired Pneumonia Wikipedia
en.wikipedia.org

Raio X Torax Avaliacao Rapida Youtube
m.youtube.com

Quiz O Que Esse Raio X Revela E Qual Conduta E A Mais Apropriada Pebmed
pebmed.com.br

Pdf Semiologia Radiologica E Terminologia Da Radiografia De Torax
www.researchgate.net

Gallery X Ray Radiography Image 1110
www.radiologyinfo.org

Tec Engineers Attemp To Detect Covid 19 With Artificial Intelligence Tecnologico De Monterrey
tec.mx

Pesquisadores Da Ufu Analisam Imagens Radiologicas De Pulmoes Para Diagnostico De Covid 19 Comunica Ufu Br
www.comunica.ufu.br

Coronavirus Especialista Explica Por Que Tomografia E Necessaria Para Identificar Pneumonia Nsc Total
www.nsctotal.com.br

Pdf A Radiografia De Torax
www.researchgate.net

Pdf Semiologia Radiologica E Terminologia Da Radiografia De Torax
www.researchgate.net

Chest X Rays In The Er Can Help Predict Severity Of Covid 19 In Younger Patients Imaging Technology News
www.itnonline.com

Professor Do Ifpr Campus Pinhais Desenvolve Pesquisa Para Identificacao De Covid 19 Em Imagens De Raio X Campus Pinhais
pinhais.ifpr.edu.br

Pleural Effusion Pulmonary Disorders Merck Manuals Professional Edition
www.merckmanuals.com

Pdf Semiologia Radiologica E Terminologia Da Radiografia De Torax
www.researchgate.net

Covid 19 Detection X Ray System
lcc.unifesspa.edu.br

Radiografia De Torax Mostrando Derrame Pleural A Direit Open I
openi.nlm.nih.gov

Pleural Effusion Pulmonary Disorders Merck Manuals Professional Edition
www.merckmanuals.com

Analise De Imagens Ica
www.ica.ele.puc-rio.br

Distinguishing Covid 19 Using Chest X Rays Analytics Insight
www.analyticsinsight.net

Radiografia Estudio De Diagnostico Por Imagenes Que Ayuda A Diagnosticar Con Rapidez Mayo Clinic
www.mayoclinic.org

Startup De Cascavel Cria Robo Que Detecta Covid 19 Atraves De Raio X
www.gazetadopovo.com.br

Covid 19 So O Primeiro Raio X Do Torax Preparatorio Radiologia Ead Facebook
www.facebook.com

Covid 19 Radiology Reference Article Radiopaedia Org
radiopaedia.org

Thoracic Tomographic Manifestations In Symptomatic Respiratory Patients With Covid 19
www.scielo.br

Pesquisadores Estudam Identificacao Da Covid 19 Por Raio X Universidade Tecnologica Federal Do Parana Utfpr
portal.utfpr.edu.br

Http Sppt Org Br Wp Content Uploads 2020 04 Covid 19 1 Pdf

Http Sppt Org Br Wp Content Uploads 2020 04 Covid 19 1 Pdf

Os Exames De Imagem No Combate A Covid 19 Crbm 5 Conselho Regional De Biomedicina 5ยช Regiao Rio Grande Do Sul E Santa Catarina
crbm5.gov.br

Http Www2 Ebserh Gov Br Documents 1688403 5112971 6 Pdf F94a6319 3437 47b1 9874 4910c7ba7523

Deep Learning E Covid 19 Utilizando Imagens De Raio X By Toni Esteves Medium
medium.com

A New Target For The Treatment Of Idiopathic Pulmonary Fibrosis
medicalxpress.com

Covid 19 Mind The Gap In Emergency Medicine
mindthegapinem.wordpress.com

Radiografia Estudio De Diagnostico Por Imagenes Que Ayuda A Diagnosticar Con Rapidez Mayo Clinic
www.mayoclinic.org

Tomografia Revela Evolucao Do Coronavirus Em Pulmoes Veja Antes E Depois Cnn Brasil
www.cnnbrasil.com.br

Medicos Relatam Primeiro Caso De Pulmao De Pipoca Relacionado A Cigarros Eletronicos Gizmodo Brasil
gizmodo.uol.com.br

Pesquisadores Desenvolvem Sistema Que Diagnostica Covid 19 Por Raio X
www.unifor.br

Chest X Ray Uf Health University Of Florida Health
m.ufhealth.org

Grupo Desenvolve Aplicativo Que Identifica Covid 19 A Partir De Raio X Do Pulmao Ribeirao Preto E Franca G1
g1.globo.com

Seniors Center Penn State Hershey Medical Center Pneumonia Penn State Hershey Medical Center
pennstatehershey.adam.com

Caso Clinico De Covid 19 Coronavirus Sanar Medicina
www.sanarmed.com

Saiba Como Interpretar Radiografia Blog Ipemed
ipemed.com.br

Rx De Torax Covid 19 Youtube
www.youtube.com

Covid 19 Computed Tomography Ct Diagnostic Imaging Mcmaster Textbook Of Internal Medicine
empendium.com

The Radiology Assistant Covid 19 Imaging Findings
radiologyassistant.nl

H1n1 Influenza Radiology Reference Article Radiopaedia Org
radiopaedia.org

Universidade Federal Do Parana
www.ufpr.br

X Rays Of The Chest Heart And Blood Vessel Disorders Merck Manuals Consumer Version
www.merckmanuals.com

Imaging The Coronavirus Disease Covid 19
healthcare-in-europe.com

Quiz Quais Os Achados Desta Radiografia De Torax Pebmed
pebmed.com.br

Desvendando O Raio X De Torax Sanar Medicina
www.sanarmed.com

Chest X Ray Images Pneumonia Kaggle
www.kaggle.com

The Radiology Assistant Covid 19 Imaging Findings
radiologyassistant.nl

Coronavirus Ancora Da Cnn Mostra Raio X Dos Pulmoes Para Provar Gravidade Da Covid 19
tvefamosos.uol.com.br

Radiografia Estudio De Diagnostico Por Imagenes Que Ayuda A Diagnosticar Con Rapidez Mayo Clinic
www.mayoclinic.org

Quiz Qual O Diagnostico Diante Da Imagem Radiografica Pebmed
pebmed.com.br

Imagens Mostram Danos Do Coronavirus Causador Da Covid 19 Nos Pulmoes Revista Galileu Saude
revistagalileu.globo.com

close