Covid19

Rayos X De Torax Con Covid

Inmunoglobulinas Por Via Intravenosa Una Alternativa Terapeutica A Tener En Cuenta En El Paciente Trasplantado Renal Con Covid 19 Nefrologia
www.revistanefrologia.com

Radiografia Convencional Temas Especiales Manual Merck Version Para Profesionales
www.merckmanuals.com

La Radiografia De Torax En La Unidad De Cuidados Intensivos Imagen Diagnostica
www.elsevier.es

Https Seram Es Images Site Tutorial Rx Torax Csi V5 Pdf

Rayos X Del Torax Trastornos Del Corazon Y Los Vasos Sanguineos Manuale Merck Version Para El Publico General
www.merckmanuals.com

Investigadores Valencianos Trabajan En Un Proyecto Para El Diagnostico Precoz De Pacientes De Covid 19 Mediante Inteligencia Artificial Valencia City
valenciacity.es

Radiografia Estudio De Diagnostico Por Imagenes Que Ayuda A Diagnosticar Con Rapidez Mayo Clinic
www.mayoclinic.org

La Primera Autopsia De Un Fallecido Por Coronavirus Demuestra Como Deja Los Pulmones
www.niusdiario.es

Debate Sobre El Uso De La Inteligencia Artificial Para Detectar El Coronavirus Covid 19 Es Mas Fiable El Ojo Humano O La Maquina Infobae
www.infobae.com

Como Saber Si Tengo Pulmones Saludables Las 7 Senales Que Le Estan Fallando Los Angeles Times
www.latimes.com

Coronavirus Inteligencia Artificial Para La Deteccion Precoz De Neumonia Por Covid 19 Con Una Radiografia Simple
www.abc.es

New Ai System Prioritizes Chest X Rays Containing Critical Findings Industry News Medimaging Net
www.medimaging.net

Caso Clinico 35 Mente Abierta En Epoca De Pandemia Ii Interconsulta On Line
interconsulta.online

Implementacion De Vehiculos De Rayos X Moviles En Las Primeras Lineas Que Enfrentan Covid 19 Everything Rad
www.carestream.com

Un Batallon De 70 Cientificos Granadinos Contra El Coronavirus Investigacion En Salud Noticias Fibao
www.fibao.es

Detector De Covid 19 Usando Imagenes De Rayos X By Christian Tutiven Galvez Saturdays Ai Medium
medium.com

Home Everything Rad
www.carestream.com

X Ray May Be Missing Covid 19 Cases Found With Ct
www.auntminnie.com

Trademed Industry News Sistema De Ia Detecta Hallazgos Claves En Las Radiografias De Torax De Los Pacientes Con Neumonia Medical Equipment And Devices For Hospitals Or Institutions
www.trademed.com

Usos Y Diferencias En Imagenes De Torax Para Pacientes Con Sospecha De Covid 19
www.elhospital.com

Maria Elena Alvarez Buylla Roces On Twitter De Lesiones Pulmonares Asociadas A La Infeccion De Sars Cov 2 Mediante Imagenes Rayos X Y Tomografia Computarizada Ventajas Es Rapido Tiene Buena Efectividad Es Economico Y Accesible Cimatoficial
twitter.com

Radiografias De Torax A Traves De Vidrio En Pacientes Con Covid Everything Rad
www.carestream.com

Pruebas De Rayos X Con Ia Contra El Coronavirus Agencia De Noticias Yonhap
sp.yna.co.kr

La Radiologia En El Diagnostico De La Neumonia Por Sars Cov 2 Covid 19 Medicina Clinica
www.elsevier.es

Premium Photo X Ray Image Of Human Chest For A Medical Diagnostic Coronavirus Covid 19 Epidemic Virus 2019 Ncov Respiratory Syndrome
www.freepik.com

Inteligencia Artificial Permite El Analisis Rapido De Las Imagenes De Los Pulmones En Los Pacientes Con Covid 19 Covid 19 Hospimedica Es
www.hospimedica.es

Https Seram Es Images Site Tutorial Rx Torax Csi V5 Pdf

Coronavirus Los Rayos X Muestran La Forma En Que La Infeccion Por Covid 19 Destruye Los Pulmones Observatorio Regional De Tuberculosis De Las Americas
actbistas.org

La Tomosintesis Como Herramienta De Diagnostico Precoz De Neumonias Por Covid 19 Blog De Teleradiologia Actualidad
www.actualpacs.com

Deteccion De Covid 19 En Imagenes De Rayos X Con Keras Tensorflow Y Deep Learning By Datacampero Medium
medium.com

Covid 19 Tomografia Computarizada Tc Pruebas De Imagen Pruebas Medicina Interna Basada En La Evidencia
empendium.com

Hallazgos Radiologicos De 81 Pacientes Con Neumonia Por Covid 19 En Wuhan Covid 19 Intramed
www.intramed.net

Medicos De Ee Uu Que Analizaron Pulmones Con Covid 19 Dicen Que Se Puede Diagnosticar Mas Rapido Wuhan Nueva York China La Gran Epoca
es-mb.theepochtimes.com

Las Radiografias De Torax No Detectan La Cuarta Parte De Los Canceres De Pulmon Segun Estudio
medicinaysaludpublica.com

Estudio De Caso El Paciente Covid 19 Previamente Hospitalizado Regresa Al Servicio De Urgencias Sonosim
sonosim.com

Inaoe
www.inaoep.mx

Pdf Deteccion Del Covid 19 Con Tecnicas De Deep Learning
www.researchgate.net

La Tomosintesis Permite Diagnosticar De Forma Precoz Las Neumonias Causadas Por Covid 19 Onda Regional De Murcia
www.orm.es

Innovadores Un Sistema De Radiografias De Alta Precision Para Diagnosticar Coronavirus
innovadores.larazon.es

Rx De Torax Covid 19 Youtube
www.youtube.com

Implementacion De Vehiculos De Rayos X Moviles En Las Primeras Lineas Que Enfrentan Covid 19 Everything Rad
www.carestream.com

Esta Plataforma Analiza Radiografias En 5 Segundos Para Detectar Covid 19 Coronavirus 24horas
www.24horas.cl

Seram Informacion Coronavirus
seram.es

Pneumonia Chest Film Premium Photo
www.freepik.com

La Radiografia De Torax En La Unidad De Cuidados Intensivos Imagen Diagnostica
www.elsevier.es

Imagenes De Rayos X De Los Pulmones Para Diagnosticar La Covid 19 Idescubre
idescubre.fundaciondescubre.es

Https Seram Es Images Site Tutorial Rx Torax Csi V5 Pdf

Chest X Ray Of Illness Day 4 Hospital Day 2 Download Scientific Diagram
www.researchgate.net

Secuelas Del Coronavirus Recuperados Pero Con Pulmones Danados Asociacion Medica Latinoamericana De Rehabilitacion
www.portalamlar.org

Proyecto Stoic Conocer Mejor La Covid 19 Gracias Al Escaner Toracico Salud Y Bienestar
www.rfi.fr

Investigadores Espanoles Desarrollan Una Herramienta Que Predice La Evolucion De Pacientes Con Coronavirus
www.abc.es

Coronavirus Los Rayos X Muestran La Forma En Que La Infeccion Por Covid 19 Destruye Los Pulmones Observatorio Regional De Tuberculosis De Las Americas
actbistas.org

El Coronavirus Pone A Prueba El Valor De La Inteligencia Artificial En La Atencion Medica Kaiser Health News
khn.org

El Coronavirus Afecta Tus Vias Rehaser Ecografia Rayos X Traumatologia Fisioterapia Ondas De Choque Facebook
hi-in.facebook.com

Los Radiologos Muestran Imagenes De Lo Que Hace El Coronavirus En Los Pulmones
www.lainformacion.com

Radiografia Estudio De Diagnostico Por Imagenes Que Ayuda A Diagnosticar Con Rapidez Mayo Clinic
www.mayoclinic.org

Deteccion Precoz De Covid 19 Con Una Radiografia Simple De Torax
isanidad.com

Alternativas Para Incrementar La Capacidad Medica De Valoracion En Pacientes Con Neumonia Covid 19
www.elhospital.com

Radiografia Estudio De Diagnostico Por Imagenes Que Ayuda A Diagnosticar Con Rapidez Mayo Clinic
www.mayoclinic.org

Startup Chilena Analiza Rayos X De Torax Para Detectar Padecimientos Relacionados Con Covid 19
wildentrepreneur.org

Dano Pulmonar Por Covid 19 Sus Imagenes
magazine.oceanomedicina.com

El Diagnostico Radiologico Innovacion Contra Covid 19 Los Intangibles
losintangibles.org

Imagenes De Rayos X De Los Pulmones Para Diagnosticar La Covid 19 Portal Universidad De Sevilla
www.us.es

Startup Chilena Analiza Rayos X De Torax En Segundos Con Apoyo De La Nube Publica De Ibm Portal Innova
portalinnova.cl

Innovacion Y Radiografias De Torax Para Detectar El Covid 19
www.gndiario.com

Enfermedad Inflamatoria Emergente Post Covid 19 En Ninos Noticias Medicas Intramed
www.intramed.net

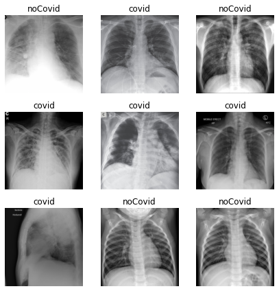
Cxukzlki4uodum

Estudio De Caso Paciente Descartado De Covid 19 Que Presenta Tos Seca Y Falta De Aliento Sonosim
sonosim.com

Coronavirus Lo Que Los Cientificos Han Descubierto Sobre El Covid 19 En Los 6 Primeros Meses De La Pandemia Bbc News Mundo
www.bbc.com

Una Red Neuronal Ayuda A Detectar El Covid 19 En Las Radiografias De Torax
opensistemas.com

Estas Imagenes De Rayos X Muestran El Dano Que El Coronavirus Puede Causar En Los Pulmones Intriper
intriper.com

Imagenes De Rayos X Pueden Ser Inadecuadas Para Diagnosticar La Covid 19 Covid 19 Labmedica Es
www.labmedica.es

La Innovadora Forma De Buscar Signos De Covid 19 En Los Pulmones Techron Ga
techronga.com

Deteccion De Covid 19 En Imagenes De Rayos X Con Keras Tensorflow Y Deep Learning By Datacampero Medium
medium.com

Https Www Medigraphic Com Pdfs Medcri Ti 2020 Ti201c Pdf

La Radiografia De Torax En La Unidad De Cuidados Intensivos Imagen Diagnostica
www.elsevier.es

Detector De Covid 19 Usando Imagenes De Rayos X By Christian Tutiven Galvez Saturdays Ai Medium
medium.com

Covid 19 Conceptos Clave Para El Cirujano Cirugia Espanola
www.elsevier.es

Coronavirus Lo Que Los Cientificos Han Descubierto Sobre El Covid 19 En Los 6 Primeros Meses De La Pandemia Bbc News Mundo
www.bbc.com

Lo Que Los Cientificos Han Descubierto Sobre El Covid 19 En Los 6 Primeros Meses De La Pandemia
es-us.noticias.yahoo.com

Revista Gerencia Redsalud Y Google Realizan Estudio Para Apoyar Deteccion De Covid 19 Usando Rayos X Con Ia
www.emb.cl

El Diagnostico Radiologico Innovacion Contra Covid 19 Los Intangibles
losintangibles.org

Cuidados Intensivos Durante La Epidemia De Coronavirus 2019 Medicina Intensiva
www.medintensiva.org

Covid 19 Super Resumen La Escuelita Medica
escuelitamedica.com

Estudio De Caso Hallazgos Subagudos De Ultrasonido En Paciente Con Covid 19 Sonosim
sonosim.com

Inaoe
www.inaoep.mx

Modelo De Aprendizaje Profundo Clasifica Las Radiografias De Torax Con Exactitud Radiografia Medimaging Es
www.medimaging.es

Gallery X Ray Radiography Image 525
www.radiologyinfo.org

Covid 19 Tomografia Computarizada Tc Pruebas De Imagen Pruebas Medicina Interna Basada En La Evidencia
empendium.com

Concepto De Neumonia Por Coronavirus Radiografia Radiografia De Pulmones Humanos De Torax Foto Premium
www.freepik.es

Las Radiografias De Torax Ayudan A Predecir La Gravedad Del Covid 19
m.infosalus.com

Describen Como El Coronavirus Sars Cov 2 Afecta Los Organos Del Cuerpo La Ciencia En El Mundo
blogs.ciencia.unam.mx

Covid 19 Por Que Es Bueno Colocar Bocabajo A Los Pacientes Con Distres Respiratorio
theconversation.com

Coronavirus Las Impactantes Imagenes De Rayos X De Un Hombre Muerto Por El Virus Clarin
www.clarin.com

Rayos X
www.nibib.nih.gov

La Radiologia En El Diagnostico De La Neumonia Por Sars Cov 2 Covid 19 Medicina Clinica
www.elsevier.es

Radiografia Estudio De Diagnostico Por Imagenes Que Ayuda A Diagnosticar Con Rapidez Mayo Clinic
www.mayoclinic.org

La Radiografia De Torax En La Unidad De Cuidados Intensivos Imagen Diagnostica
www.elsevier.es

Radiodiagnostico Ultimas Noticias Para Radiologos
www.diariomedico.com

Una Doctora Examina Una Radiografia Del Pulmon De Un Paciente Infectado Con Coronavirus Covid 19 Neumonia Rayos X De Luz Fluorog Foto De Archivo Imagen De Neumonia Fluorog 179941332
es.dreamstime.com

close