Covid19

Was Covid 19 In Der Lunge Anrichtet

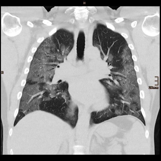
Langzeitfolgen Von Covid 19 Kann Das Coronavirus Zu Bleibenden Lungenschaden Fuhren Berner Zeitung
www.bernerzeitung.ch

Covid 19 Was Das Coronavirus Im Korper Anrichtet Gesundheit Sz De
www.sueddeutsche.de

Wie Gefahrlich Ist Das Coronavirus Quarks De
www.quarks.de

Konnen Beatmungsgerate Gefahrlich Fur Corona Patienten Sein Buten Un Binnen
www.butenunbinnen.de

Was Das Coronavirus Im Korper Anrichtet Anatomie Eines Killers Der Spiegel
www.spiegel.de

Covid 19 Der Pfleger Zieht Die Spritzenpumpen Auf Zeit Online
www.zeit.de

Aktueller Stand Der Forschung Diese Organe Greift Das Covid 19 Virus An Leben Wissen Aargauer Zeitung
www.aargauerzeitung.ch

42 Coronavirus Update Bei Der Schweinegrippe Kam Alles Anders Ndr De Nachrichten Ndr Info
www.ndr.de

Covid 19 Fur Kinder Erklart Scq
www.scq.ubc.ca

Covid 19 Forschung Alles Was Man Uber Corona Weiss Zeit Online
www.zeit.de

Mogliche Langzeitfolgen Der Covid 19 Erkrankung Br24
www.br.de

Fraunhofer Forschungskonsortium Icair Nutzt Synergien Fur Die Entwicklung Neuer Medikamente Gegen Sars Cov 2
www.prnewswire.com

Coronavirus Ticker Apotheken Umschau
www.apotheken-umschau.de

Langzeitfolgen Von Covid 19 Ein Paar Wochen In Der Reha Fur Immer Zur Dialyse News Srf
www.srf.ch

Coronavirus Zwei Patienten In Sudkorea Mit Blutplasma Geheilt Kurier At
kurier.at

Bei Schweren Verlaufen Kann Es Zu Multiorganversagen Kommen
www.bluewin.ch

Herz Kreislauf Stillstand Schweizerische Herzstiftung
www.swissheart.ch

Mini Lungen Konnten Zeigen Warum Covid 19 Totet Heise Online
www.heise.de

Covid 19 Lungenentzundung Focus Arztsuche
focus-arztsuche.de

Simulation Zeigt Ausmass Was Covid 19 In Der Lunge Anrichtet Mz De
www.mz-web.de

Was Das Coronavirus Im Korper Anrichtet Schweizerische Herzstiftung
www.swissheart.ch

Virenschaden Und Entzundungen Das Macht Covid 19 Mit Der Lunge Bildderfrau De
www.bildderfrau.de

Covid 19 Kardiologen Finden Hinweise Auf Myokarditis
www.aerzteblatt.de

Coronavirus Funf Theorien Wie Covid 19 Herz Und Kreislauf Schadet Der Spiegel
www.spiegel.de

Totet Lungenzellen Das Macht Corona Virus Im Korper
www.nau.ch

Alpha 1 Mangel Lunge Dielunge De
www.dielunge.de

Coronavirus Video Zeigt Was Covid 19 In Der Lunge Anrichtet
www.t-online.de

Coronavirus Langzeitfolgen Auf Herz Lunge Und Gehirn Das Ist Bekannt
www.t-online.de

Langzeitfolgen Von Covid 19 Kann Das Coronavirus Zu Bleibenden Lungenschaden Fuhren Berner Zeitung
www.bernerzeitung.ch

Corona Folgen Diese Langzeit Schaden Kann Das Virus Anrichten Hamburger Abendblatt
www.abendblatt.de

Was Das Coronavirus In Der Lunge Anrichtet Wissenschaft De
www.wissenschaft.de

Carl Gustav Jung Marie Louise Von Franz Mysterium Coniunctionis Pdf 3no7kg6rd5ld
idoc.pub

Kein Sauerstoff Was Das Coronavirus In Der Lunge Anrichtet Kurier At
kurier.at

Virenschaden Und Entzundungen Das Macht Covid 19 Mit Der Lunge Bildderfrau De
www.bildderfrau.de

Das Virus Greift Nicht Umsonst Die Atemwege An Ein Pneumologe Sagt Die Lunge Kriegt Alles Ab St Galler Tagblatt
www.tagblatt.ch

Was The Coronavirus Im Korper Anrichtet Anatomie Of A Killers Times Famous
timesfamous.com

Corona Folgen Diese Langzeit Schaden Kann Das Virus Anrichten Hamburger Abendblatt
www.abendblatt.de

Corona Folgen Diese Langzeit Schaden Kann Das Virus Anrichten Hamburger Abendblatt
www.abendblatt.de

Sars Cov 2 Vernarbte Lunge Als Folge Zm Online
www.zm-online.de

Corona Lockerungen In Kassel Diese Regeln Gelten Beim Besuch Im Museum Corona Virus
www.hna.de

Der Corona Virus Im Blut Der Behandelten Patienten Verbessert Beginnt In Der Turkei Nach Welt
www.nach-welt.com

Info4covid19 Covid19 2 2 Was Das Coronavirus In Der Facebook
zh-cn.facebook.com

Welche Sichtbaren Schaden Covid 19 In Der Lunge Anrichtet Video
www.t-online.de

Fraunhofer Forschungskonsortium Icair Nutzt Synergien Fur Die Entwicklung Neuer Medikamente Gegen Sars Cov 2
www.prnewswire.com

Sars Cov 2 Wie Das Virus Den Korper Verwustet Spektrum Der Wissenschaft
www.spektrum.de

Kein Sauerstoff Was Das Coronavirus In Der Lunge Anrichtet Kurier At
kurier.at

Aktueller Stand Der Forschung Diese Organe Greift Das Covid 19 Virus An Leben Wissen Aargauer Zeitung
www.aargauerzeitung.ch

Obduktionen Deuten Auf Embolien Und Thrombosen Hin Gesundheit Sz De
www.sueddeutsche.de

Covid 19 Wie Die Viren Die Lunge Fruhzeitig Schadigen
www.aerzteblatt.de

Kein Sauerstoff Was Das Coronavirus In Der Lunge Anrichtet Kurier At
kurier.at

Wie Das Coronavirus Besiegt Werden Kann Apotheken Umschau
www.apotheken-umschau.de

Covid 19 Lungenentzundung Focus Arztsuche
focus-arztsuche.de

Fraunhofer Forschungskonsortium Icair Nutzt Synergien Fur Die Entwicklung Neuer Medikamente Gegen Sars Cov 2
www.prnewswire.com

Coronavirus Langzeitfolgen Auf Herz Lunge Und Gehirn Das Ist Bekannt
www.t-online.de

Brasilien Burgermeister Von Sao Paulo Ist An Covid 19 Erkrankt Zeit Online
www.zeit.de

Was Passiert Bei Covid 19 In Der Lunge Tum
www.tum.de

Http Www Futureofmankind Info W Images E E8 Plejadisch Plejarische Kontaktberichte Block 10 2c 2009 Cr 384 To 433 Pdf

Coronavirus Was Covid 19 In Der Lunge Anrichtet Market Cheetah
marketcheetah.com

Covid 19 Covid 19 Und Die Langzeitfolgen Springermedizin De
www.springermedizin.de

Riffreporter War Die Russische Grippe Vor 130 Jahren In Wirklichkeit Eine Coronavirus Pandemie
www.riffreporter.de

Coronavirus Ein Pneumologe Erklart Warum Die Lunge So Betroffen Ist Watson
www.watson.ch

Hebraische Universitat Von Jerusalem Medikament Konnte Covid 19 In Wenigen Tage Aus Der Lunge Entfernen Vfi News Vision Fur Israel
vfinews.com

Der Mitmensch Als Krankheitstrager Ein Virus Weckt Angste Mz De
www.mz-web.de

Br24live Corona Gefahr Durch Langzeitfolgen Br24
www.br.de

Corona Virus Aufklarung Youtube
www.youtube.com

Was Passiert Bei Covid 19 In Der Lunge Tum
www.tum.de

Coronavirus Langzeitfolgen Auf Herz Lunge Und Gehirn Das Ist Bekannt
www.t-online.de

100 Tage Coronavirus In Deutschland Was Forscher Bisher Uber Den Eindringling Wissen Der Unser Leben Auf Den Kopf Stellt
deutsch.medscape.com

Coronavirus Langzeitfolgen Auf Herz Lunge Und Gehirn Das Ist Bekannt
www.t-online.de

Coronavirus So Schadigt Covid 19 Bei Schweren Verlaufen Die Lunge Welt
www.welt.de

Coronavirus Langzeitfolgen Auf Herz Lunge Und Gehirn Das Ist Bekannt
www.t-online.de

Ay Corona Das Sequel Hello Again Sars Cov 2 Republik
www.republik.ch

Coronavirus Was Wir Uber Sars Cov 2 Wissen Und Was Nicht Berliner Morgenpost
www.morgenpost.de

Sars Cov 2 Wie Das Virus Den Korper Verwustet Spektrum Der Wissenschaft
www.spektrum.de

Langzeitfolgen Von Covid 19 Kann Das Coronavirus Zu Bleibenden Lungenschaden Fuhren Berner Zeitung
www.bernerzeitung.ch

Coronavirus Ticker Apotheken Umschau
www.apotheken-umschau.de

Bei Schweren Verlaufen Kann Es Zu Multiorganversagen Kommen
www.bluewin.ch

Coronavirus Versus Influenza Warum Die Gefahr Jetzt Viel Grosser Ist Kurier At
kurier.at

Existenzangst Download Instagram Hashtag Photos And Videos Imginn Com
imginn.com

Coronavirus Video Zeigt Was Covid 19 In Der Lunge Anrichtet
www.t-online.de

T Online De Aufnahmen Zeigen Was Covid 19 In Der Lunge Anrichtet Facebook
www.facebook.com

Coronavirus Was Covid 19 In Der Lunge Anrichtet Der Spiegel
www.spiegel.de

Videos Zu Gut Zu Wissen Antworten Auf Die Wichtigsten Fragen Zu Corona Ard Mediathek
www.ardmediathek.de

Covid 19 Lungenentzundung Focus Arztsuche
focus-arztsuche.de

Taucher Mit Massiven Lungenschaden Wie Gefahrlich Ist Covid 19 Wirklich Kurier At
kurier.at

Das Virus Greift Nicht Umsonst Die Atemwege An Ein Pneumologe Sagt Die Lunge Kriegt Alles Ab St Galler Tagblatt
www.tagblatt.ch

Rauchstopp Lohnt Sich Immer Lunge Von Exrauchern Erholt Sich Pz Pharmazeutische Zeitung
www.pharmazeutische-zeitung.de

Coronavirus Ticker Apotheken Umschau
www.apotheken-umschau.de

Corona Folgen Diese Langzeit Schaden Kann Das Virus Anrichten Hamburger Abendblatt
www.abendblatt.de

Corona Pandemie So Ist Die Situation Auf Intensivstationen Tagesschau De
www.tagesschau.de

Coronavirus Was Covid 19 In Der Lunge Anrichtet Der Spiegel
www.spiegel.de

Coronavirus Im Korper Wie Es Unsere Zellen Kapert
nzzas.nzz.ch

Was Das Coronavirus Im Korper Anrichtet Anatomie Eines Killers Der Spiegel
www.spiegel.de

Corona Folgen Diese Langzeit Schaden Kann Das Virus Anrichten Hamburger Abendblatt
www.abendblatt.de

Covid 19 Fur Kinder Erklart Scq
www.scq.ubc.ca

Lungenkrankheit Aus Dem Reich Der Mitte Welche Schaden Der Coronavirus Bei Flugverkehr Und Tourismus Anrichtet Versicherungswirtschaft Heute
versicherungswirtschaft-heute.de

Fraunhofer Forschungskonsortium Icair Nutzt Synergien Fur Die Entwicklung Neuer Medikamente Gegen Sars Cov 2
www.prnewswire.com

Langzeitfolgen Von Covid 19 Ein Paar Wochen In Der Reha Fur Immer Zur Dialyse News Srf
www.srf.ch

Covid 19 Schaden Jenseits Der Lunge Der Angriff Des Coronavirus Auf Die Blutgefasse Wissen Tagesspiegel
www.tagesspiegel.de

Kein Sauerstoff Was Das Coronavirus In Der Lunge Anrichtet Kurier At
kurier.at

close