Covid19

Corona Mortis Orthobullets

Orthobullets Trauma Shock Circulatory Sepsis
www.scribd.com

Extensile Extended Iliofemoral Approach To Acetabulum Approaches Orthobullets
www.orthobullets.com

Pelvis Anatomy Recon Orthobullets
www.orthobullets.com

Acetabular Fractures Trauma Orthobullets
www.orthobullets.com

Pelvic Ring Fractures Trauma Orthobullets
www.orthobullets.com

Hip Anatomy Recon Orthobullets
www.orthobullets.com

Founded in 1936 sta has provided quality catholic secondary education to fort lauderdale and the south florida community for 83 years.

Corona mortis orthobullets. Submit response 5 review tested concept obq0452 the approach shown in figure a is. Which nerve roots supply this nerve. Connects iliac and obturator systems.

Deep to inguinal ligament near asis. Lies posterior to psoas muscle. Posterior approach kocher langenbach posterior wall and posterior column fx most transverse and t shaped combination of above increased ho risk compared with anterior approach sciatic nerve injury 2 10 damage to blood supply of femoral head medial femoral circumflex.

These anastamoses must be ligated as they appear on the lateral 13 of the superior pubic ramus. They are nearly universally present but vary significantly in size. Lateral femoral cutanous nerve l2 l3 nerve roots.

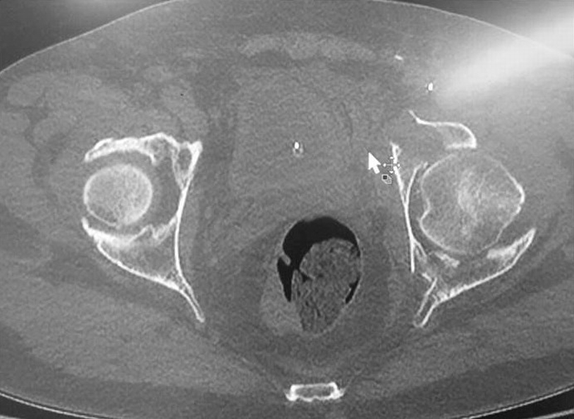
Thomas aquinas high school a roman catholic co educational college preparatory school has acquired national recognition for academic and athletic excellence. Posterior venous plexus injury in pelvic fractures can account for majority of blood loss. Corona mortis latin for crown of death is a common variant vascular anastomosis between the external iliac artery or deep inferior epigastric artery with the obturator arteryit is reported to be present in a third of patients on routine multi detector ct examination 14.

Committed to the philosophy of saint thomas aquinas sta defines learning as the simultaneous. 15 3092109 l 3 c select answer to see preferred response. Submit response 2 review tested concept obq04213 during an ilioinguinal approach to the pelvis the lateral femoral cutaneous nerve is seen.

Laceration of corona mortis in 10 15. Knowledge of this variant vascular anastomosis is critical for surgical planning and in pelvic trauma as it is. 82 34954251 l 2 b select answer to see preferred response.

Connection between inferior epigastric branch of the external iliac vessls and the obturator vessels. Exposed and retracted early in the exposure. Lateral in comparision to tibial division most commonly injured neural structure during tha.

Mortons the steakhouse first opened its doors on state street in 1978 and now welcomes guests to more than 65 worldwide locationsmortons prides itself on quality and consistency and features usda prime aged steak fresh seafood hand picked produce delicious appetizers and decadent dessertseach guest is treated like a vip and mortons strives to exceed expectations whether enjoying.

Extensile Extended Iliofemoral Approach To Acetabulum Approaches Orthobullets
www.orthobullets.com

Pelvis Anatomy Recon Orthobullets
www.orthobullets.com


m.blog.naver.com


m.blog.naver.com

Extensile Extended Iliofemoral Approach To Acetabulum Approaches Orthobullets
www.orthobullets.com

Pelvis Anatomy Recon Orthobullets
www.orthobullets.com

Acetabular Fractures Trauma Orthobullets
www.orthobullets.com

Pelvic Ring Fractures Trauma Orthobullets
www.orthobullets.com

Hip Anatomy Recon Orthobullets
www.orthobullets.com

Miscellaneous Topics Section 9 Postgraduate Orthopaedics
www.cambridge.org

Https Encrypted Tbn0 Gstatic Com Images Q Tbn 3aand9gcs75ckntfqlrms2h2axcy7otwvsud0zypolvcnpgjo 0vrakkxr Usqp Cau
encrypted-tbn0.gstatic.com

Acetabular Fractures Trauma Orthobullets
www.orthobullets.com

Anterior Angulation Of The Coccyx Radiology Reference Article Radiopaedia Org
radiopaedia.org

Acetabular Fractures Trauma Orthobullets
www.orthobullets.com

Obturator Ring Fracture Chilangomadrid Com
www.chilangomadrid.com

Miscellaneous Topics Section 9 Postgraduate Orthopaedics
www.cambridge.org

Acetabular Fractures Trauma Orthobullets
www.orthobullets.com

Extensile Extended Iliofemoral Approach To Acetabulum Approaches Orthobullets
www.orthobullets.com

Pelvic Ring Fractures Trauma Orthobullets
www.orthobullets.com

Pelvis Anatomy Recon Orthobullets
www.orthobullets.com

Oct 2013 Sept 2014 Brighton Orthopaedic Education
brightonorthoeducation.com

Pelvis Anatomy Recon Orthobullets
www.orthobullets.com

Pelvic Ring Fractures Trauma Orthobullets
www.orthobullets.com

Hip Anatomy Recon Orthobullets
www.orthobullets.com

Acetabular Fractures Everything You Need To Know Dr Nabil Ebraheim Youtube
www.youtube.com

Acetabular Fractures Trauma Orthobullets
www.orthobullets.com

Anatomy Miscellaneous Aaos Orthopedic With Purcell At Wright State University School Of Medicine Studyblue
www.studyblue.com

Acetabular Fractures Trauma Orthobullets
www.orthobullets.com

Orthobullets Trauma 546gyvvjz8n8
idoc.pub

Treatment Of Acetabulum Fractures Through The Modified Stoppa Approach Strategies And Outcomes Pdf Download Free
docksci.com

Dᴀᴠɪᴅ Bᴇɴɴᴇᴛᴛ Md Faaos Davembmd Twitter
twitter.com

Acetabular Fractures Trauma Orthobullets
www.orthobullets.com

Pelvic Ring Fractures Trauma Orthobullets
www.orthobullets.com

Pelvis Anatomy Recon Orthobullets
www.orthobullets.com

Hip Anatomy Recon Orthobullets
www.orthobullets.com

Stoppa Approach To Acetabulum Approaches Orthobullets
www.orthobullets.com

Pelvis Anatomy Recon Orthobullets
www.orthobullets.com

Acetabular Fractures Trauma Orthobullets
www.orthobullets.com

Extensile Extended Iliofemoral Approach To Acetabulum Approaches Orthobullets
www.orthobullets.com

Pelvic Ring Fractures Trauma Orthobullets
www.orthobullets.com

Acetabular Fractures Trauma Orthobullets
www.orthobullets.com

Pelvic Ring Fractures Trauma Orthobullets
www.orthobullets.com

Acetabular Fractures Trauma Orthobullets
www.orthobullets.com

Pelvis Anatomy Recon Orthobullets
www.orthobullets.com

Treatment Of Acetabulum Fractures Through The Modified Stopp Clinical Orthopaedics And Related Research
journals.lww.com

Https Encrypted Tbn0 Gstatic Com Images Q Tbn 3aand9gctyhzt2wciiwhlif2zhsymztcllpyd0abcpc1jvwy9h5kv Pqmu Usqp Cau
encrypted-tbn0.gstatic.com

Acetabular Fractures Trauma Orthobullets
www.orthobullets.com

Stoppa Approach To Acetabulum Approaches Orthobullets
www.orthobullets.com

Acetabular Fractures Trauma Orthobullets
www.orthobullets.com

Stoppa Approach To Acetabulum Approaches Orthobullets
www.orthobullets.com

Stoppa Approach To Acetabulum Approaches Orthobullets
www.orthobullets.com

Https Encrypted Tbn0 Gstatic Com Images Q Tbn 3aand9gcqayiiad3b8orre6ui2co1uqnn4fi8ee2wvzapyswbpcj2pmicz Usqp Cau
encrypted-tbn0.gstatic.com

Hip Anatomy Recon Orthobullets
www.orthobullets.com

Orthobullets Orthobullets Added A New Photo Facebook
www.facebook.com

Hip Direct Lateral Approach Hardinge Transgluteal Approaches Orthobullets
www.orthobullets.com

Abank Day 4 6 Pelvis Skeletal System
www.scribd.com

Pelvic Ring Fractures Trauma Orthobullets
www.orthobullets.com

400 Best Anatomy Images Anatomy Anatomy And Physiology Radiology
www.pinterest.com

Pelvic Trauma
www.slideshare.net

Acetabular Fractures Trauma Orthobullets
www.orthobullets.com

Orthobullets Target Sign Is A Coronal Stir Image Facebook
www.facebook.com

Pelvic Ring Fractures Trauma Orthobullets
www.orthobullets.com

400 Best Anatomy Images Anatomy Anatomy And Physiology Radiology
www.pinterest.com

Pelvic Ring Fractures Trauma Orthobullets
www.orthobullets.com

Acetabular Fractures Trauma Orthobullets
www.orthobullets.com

Dnb Orthopaedic Theory
www.slideshare.net

Hip Direct Lateral Approach Hardinge Transgluteal Approaches Orthobullets
www.orthobullets.com

Pelvic Ring Fractures Trauma Orthobullets
www.orthobullets.com

Orthobullets Trauma Shock Circulatory Sepsis
www.scribd.com

Pelvic Ring Fractures Trauma Orthobullets
www.orthobullets.com

Pelvic Ring Fractures Trauma Orthobullets
www.orthobullets.com

Acetabular Fractures Trauma Orthobullets
www.orthobullets.com

Acetabular Fractures Trauma Orthobullets
www.orthobullets.com


m.blog.naver.com

Https Encrypted Tbn0 Gstatic Com Images Q Tbn 3aand9gcqayiiad3b8orre6ui2co1uqnn4fi8ee2wvzapyswbpcj2pmicz Usqp Cau
encrypted-tbn0.gstatic.com

Orthobullets The Figure Shows Total Shoulder Arthroplasty Facebook
www.facebook.com

Corona Mortis Clinical Significance Sarofudin Blog
sarofudin.blogspot.com

Extensile Extended Iliofemoral Approach To Acetabulum Approaches Orthobullets
www.orthobullets.com

Wheeless Textbook Of Orthopaedics
www.wheelessonline.com

Corona Mortis Clinical Significance Sarofudin Blog
sarofudin.blogspot.com

Orthobullets The Stoppa Or Anterior Intrapelvic Facebook
www.facebook.com

Acetabular Fractures Trauma Orthobullets
www.orthobullets.com

Acetabulum Anterior Wall And Anterior Column Fractures Springerlink
link.springer.com

Pelvic Ring Fractures Trauma Orthobullets
www.orthobullets.com

Pdf Treatment Of Acetabulum Fractures Through The Modified Stoppa Approach Strategies And Outcomes
www.researchgate.net

Oct 2013 Sept 2014 Brighton Orthopaedic Education
brightonorthoeducation.com

Pelvis Anatomy Recon Orthobullets
www.orthobullets.com

Acetabular Fractures Trauma Orthobullets
www.orthobullets.com

Hip Direct Lateral Approach Hardinge Transgluteal Approaches Orthobullets
www.orthobullets.com

Acetabular Fractures Trauma Orthobullets
www.orthobullets.com

أ د حسان النعمان Acetabulum Fractures
staffsites.sohag-univ.edu.eg

Orthobullets Trauma 546gyvvjz8n8
idoc.pub

Https Ota Org Sites Files 2019 02 V04 Perdue Radiographic Pdf

400 Best Anatomy Images Anatomy Anatomy And Physiology Radiology
www.pinterest.com

2

Acetabular Fractures Trauma Orthobullets
www.orthobullets.com

Hip Anatomy Recon Orthobullets
www.orthobullets.com

Acetabulum Anterior Wall And Anterior Column Fractures Springerlink
link.springer.com

close