Covid19

Covid Tb Chest X Ray Positive Vs Normal

Information Free Full Text A Deep Learning Based Framework For Automated Diagnosis Of Covid 19 Using X Ray Images Html
www.mdpi.com

Cureus Acute Effusive Pericarditis A Late Complication Of Covid 19
www.cureus.com

Covid 19 Detection On Chest X Ray And Ct Scan Images Using Multi Image Augmented Deep Learning Model Biorxiv
www.biorxiv.org

Stacked Convolutional Neural Network For Diagnosis Of Covid 19 Disease From X Ray Images Deepai
deepai.org

Http Www Stoptb Org Assets Documents Siif 20200408 Vis Ai Qure Ai Presentation Final Pdf

Radiologists Use Deep Learning To Find Signs Of Covid 19 In Chest X Rays Johns Hopkins Malone Center For Engineering In Healthcare
malonecenter.jhu.edu

A significant percentage of patients with covid 19 have normal chest cts or x rays.

Covid tb chest x ray positive vs normal. Chest ct is more effective than chest x ray in the detection of early covid 19 disease. These x rays are of a patient with covid 19. For those patients a normal imaging result could falsely convince them that they are healthy.

Have to become the new normal. On admission to the hospital the chest film was normal. X rays and ct scans of coronavirus victims have emerged showing the shocking damage covid 19 does to peoples lungs.

Among cases of confirmed covid 19 583 of chest x rays read as normal with 89 reading as either normal or mild reported michael weinstock md of wexner medical center at the ohio state. Tb will take a bad. 3 also other types of pneumonia may mimic covid 19 on chest ct.

The mean time from initial chest radiography positive for covid 19 to negative for covid 19 was 6 days 5 18 patients. Four days later the patient is on mechanical ventilation and there are bilateral consolidations on the chest film. If the patient with covid 19 takes a turn for the worse with new fevers respiratory deterioration and imaging on x ray or ct scan a pneumonia or another complication should be suspected.

Delays of tb drug. The primary findings of covid 19 on chest radiograph and ct are those of atypical pneumonia 40175 or organizing pneumonia 3234. Those who have tested positive for the virus have reported flu like.

However imaging has limited sensitivity for covid 19 as up to 18 demonstrate normal chest radiographs or ct when mild or early in the disease course but this decreases to 3 in severe disease 8993. If they believe they are healthy they are at greater risk of spreading the virus to others. Chest films can be useful in the follow up of the disease.

2 however up to 50 of patients may have a normal chest ct within the first two days after the onset of symptoms.

Cad4covid Xray Can Identify Characteristics Of Covid 19 On Chest Radiographs With Performance Comparable To Six Readers Express Healthcare
www.expresshealthcare.in

World Tuberculosis Day 2020 Patients Should Follow Hand Hygiene Cough Etiquette Lifestyle News The Indian Express
indianexpress.com

Diagnostic Accuracy Of Chest Radiography For The Diagnosis Of Tuberculosis Tb And Its Role In The Detection Of Latent Tb Infection A Systematic Review The Journal Of Rheumatology
www.jrheum.org

Application Of Deep Learning For Fast Detection Of Covid 19 In X Rays Using Ncovnet Abstract Europe Pmc
europepmc.org

Importation And Human To Human Transmission Of A Novel Coronavirus In Vietnam Nejm
www.nejm.org

Chest Ct Findings Of Early And Progressive Phase Covid 19 Infection From A Us Patient Sciencedirect
www.sciencedirect.com

Efficient Deep Network Architectures For Fast Chest X Ray Tuberculosis Screening And Visualization Scientific Reports
www.nature.com

Pdf Chest X Rays Findings In Covid 19 Patients At A University Teaching Hospital A Descriptive Study
www.researchgate.net

Lung Complication In Covid 19 Convalescence A Spontaneous Pneumothorax And Pneumatocele Case Report
www.oatext.com

Classification Of Covid 19 In Chest X Ray Images Using Detrac Deep Convolutional Neural Network Springerlink
link.springer.com

Missed Lung Lesions Side By Side Comparison Of Chest Radiography With Mdct Springerlink
link.springer.com

Detecting Covid 19 In X Ray Images With Keras Tensorflow And Deep Learning Pyimagesearch
www.pyimagesearch.com

I Got Tuberculosis And Spent 20 Days In Isolation Health Com
www.health.com

Where To Find Normal Ct Volumes Issue 76 Ieee8023 Covid Chestxray Dataset Github
github.com

Imaging The Coronavirus Disease Covid 19
healthcare-in-europe.com

Https Hal Archives Ouvertes Fr Hal 02533605 Document

Epidemiological And Clinical Characteristics Of 99 Cases Of 2019 Novel Coronavirus Pneumonia In Wuhan China A Descriptive Study The Lancet
www.thelancet.com

International Expert Consensus Statement On Chest Imaging In Pediatric Covid 19 Patient Management Imaging Findings Imaging Study Reporting And Imaging Study Recommendations Radiology Cardiothoracic Imaging
pubs.rsna.org

Sample X Ray Image From The Dataset Covid 19 X Ray Image A Normal Download Scientific Diagram
www.researchgate.net

Pulmonary Tuberculosis With Negative Findings On Chest X Ray Films A Study Of 40 Cases Sciencedirect
www.sciencedirect.com

Copd X Ray Pictures Diagnosis And More
www.healthline.com

Https Encrypted Tbn0 Gstatic Com Images Q Tbn 3aand9gcsk4q0mrbxcq3jnq75si7mkmy0axf9y8g4 Dbq5ijrbij5chdas Usqp Cau
encrypted-tbn0.gstatic.com

First Case Of 2019 Novel Coronavirus In The United States Nejm
www.nejm.org

Tuberculosis Radiology Wikipedia
en.wikipedia.org

Ai Runs Smack Up Against A Big Data Problem In Covid 19 Diagnosis Zdnet
www.zdnet.com

Truncated Inception Net Covid 19 Outbreak Screening Using Chest X Rays Springerlink
link.springer.com

Chest Ct Shows Covid 19 Damage To The Lungs
www.news-medical.net

Https Www Grepmed Com Q Xray Cxr

Https Www Researchsquare Com Article Rs 58833 V1 Pdf

Https Arxiv Org Pdf 2004 11676

1
encrypted-tbn0.gstatic.com

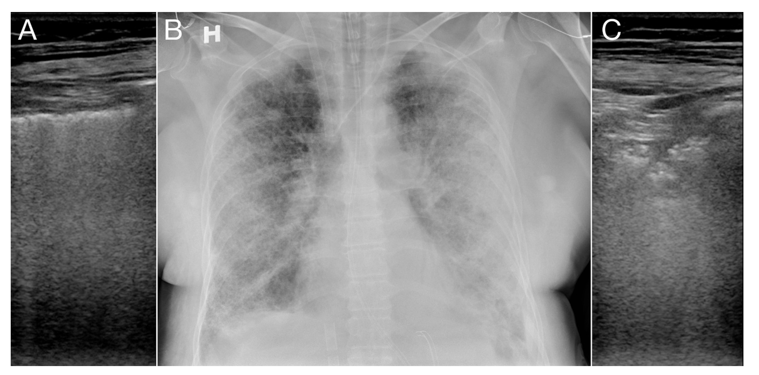
Diagnostics Free Full Text Covid 19 Assessment With Bedside Lung Ultrasound In A Population Of Intensive Care Patients Treated With Mechanical Ventilation And Ecmo Html
www.mdpi.com

What Is A Coronavirus With Pictures
www.wisegeek.com

1
encrypted-tbn0.gstatic.com

Chest X Ray May Overlook Coronavirus Cases Apparent On Ct
www.healthimaging.com

Jlhuggsrpscg5m

Cdc Adds 6 Covid 19 Symptoms To Its List Health Pantagraph Com
www.pantagraph.com

Detecting Covid 19 In X Ray Images With Keras Tensorflow And Deep Learning Pyimagesearch
www.pyimagesearch.com

Diagnostic Accuracy Of Chest Radiography For The Diagnosis Of Tuberculosis Tb And Its Role In The Detection Of Latent Tb Infection A Systematic Review The Journal Of Rheumatology
www.jrheum.org

Covid 19
pg.postmd.utoronto.ca

Http Www Stoptb Org Assets Documents Siif 20200408 Vis Ai Qure Ai Presentation Final Pdf

Https Arxiv Org Pdf 2004 05758

Frontiers Deep Learning Based Decision Tree Classifier For Covid 19 Diagnosis From Chest X Ray Imaging Medicine
www.frontiersin.org

Radiologists Use Deep Learning To Find Signs Of Covid 19 In Chest X Rays
medicalxpress.com

Covidiagnosis Net Deep Bayes Squeezenet Based Diagnosis Of The Coronavirus Disease 2019 Covid 19 From X Ray Images Abstract Europe Pmc
europepmc.org

India Shows That Developing A Coronavirus Treatment Isn T Enough The Atlantic
www.theatlantic.com

Https Hal Archives Ouvertes Fr Hal 02533605 Document

Chest X Ray Interpretation Explained Clearly How To Read A Chest Xray Youtube
m.youtube.com

Pulmonary Tuberculosis With Negative Findings On Chest X Ray Films A Study Of 40 Cases Sciencedirect
www.sciencedirect.com

Https Www Medrxiv Org Content 10 1101 2020 06 07 20124594v1 Full Pdf

Https Encrypted Tbn0 Gstatic Com Images Q Tbn 3aand9gcqkxv Ahdueow0jzkiv Yxjeeid Sfs5ffxjnp5fo Usqp Cau
encrypted-tbn0.gstatic.com

How Tuberculosis Is Diagnosed Everyday Health
www.everydayhealth.com

Radiological Findings From 81 Patients With Covid 19 Pneumonia In Wuhan China A Descriptive Study The Lancet Infectious Diseases
www.thelancet.com

Cad4covid Xray Can Identify Characteristics Of Covid 19 On Chest Radiographs With Performance Comparable To Six Readers Express Healthcare
www.expresshealthcare.in

Ai Algorithm Identifies Chest X Rays From Covid 19 Patients As Abnormal Imaging Technology News
www.itnonline.com

Chest Ct Shows Covid 19 Damage To The Lungs
www.news-medical.net

Frequency And Distribution Of Chest Radiographic Findings In Patients Positive For Covid 19 Radiology
pubs.rsna.org

Radiology Of Covid 19 Infection In Children Imaging Findings And Recommendations Boston Children S Discoveries
discoveries.childrenshospital.org

International Expert Consensus Statement On Chest Imaging In Pediatric Covid 19 Patient Management Imaging Findings Imaging Study Reporting And Imaging Study Recommendations Radiology Cardiothoracic Imaging
pubs.rsna.org

Nih Clinical Center Provides One Of The Largest Publicly Available Chest X Ray Datasets To Scientific Community National Institutes Of Health Nih
www.nih.gov

Tuberculosis Tb Workup Approach Considerations Sputum Smear Nucleic Acid Amplification Tests
emedicine.medscape.com

Https Arxiv Org Pdf 2004 05758

Https Www Medrxiv Org Content 10 1101 2020 04 21 20063263v1 Full Pdf

Fungal Pneumonia Overview Risk Factors Epidemiology Of Fungal Pneumonia
emedicine.medscape.com

Radiological Findings From 81 Patients With Covid 19 Pneumonia In Wuhan China A Descriptive Study The Lancet Infectious Diseases
www.thelancet.com

Tuberculosis San Mateo County Health
www.smchealth.org

Fact Check Tb Is More Dangerous Than Covid 19 But Context Matters
www.usatoday.com

Truncated Inception Net Covid 19 Outbreak Screening Using Chest X Rays Springerlink
link.springer.com

Frontiers Deep Learning Based Decision Tree Classifier For Covid 19 Diagnosis From Chest X Ray Imaging Medicine
www.frontiersin.org

Pneumonia Imaging Youtube
www.youtube.com

Pdf Classification Of Covid 19 In Chest X Ray Images Using Detrac Deep Convolutional Neural Network
www.researchgate.net

Darwinai Wants To Help Identify Coronavirus In X Rays But Radiologists Aren T Convinced Venturebeat
venturebeat.com

The Groundbreaking Way To Search Lungs For Signs Of Covid 19 Bbc News
www.bbc.com

Coronavirus Disease 2019 Covid 19 A Perspective From China Radiology
pubs.rsna.org

Covid 19 Coronavirus Diagnosis Chest X Ray And Ct Scan
www.verywellhealth.com

Normal Chest X Ray Doesn T Rule Out Covid 19
www.medscape.com

No Increased Risk Of Severe Covid 19 In People Living With Hiv But Vigilance Over Bacterial Pneumonia Required Aidsmap
www.aidsmap.com

Radiologists Use Deep Learning To Find Signs Of Covid 19 In Chest X Rays Hub
hub.jhu.edu

First Case Of 2019 Novel Coronavirus In The United States Nejm
www.nejm.org

Pdf Can Ai Help In Screening Viral And Covid 19 Pneumonia
www.researchgate.net

A Review Of Ct Findings In Three Patients With Covid 19 Medmastery
www.medmastery.com

Covid 19 Coronavirus And Tuberculosis We Need A Damage Control Plan
www.forbes.com

Thoughts On Covid 19 Pneumonia Detection In Chest X Ray Images By Arman Haghanifar Aug 2020 Medium
medium.com

First Case Of 2019 Novel Coronavirus In The United States Nejm
www.nejm.org

Https Hal Archives Ouvertes Fr Hal 02533605 Document

Imaging The Coronavirus Disease Covid 19
healthcare-in-europe.com

Tuberculosis Radiology Wikipedia
en.wikipedia.org

Covid Cases Tuberculosis Lung Cancer Patients Chest X Ray Differentiation Youtube
www.youtube.com

Chest X Rays Mayo Clinic
www.mayoclinic.org

Coronavirus X Rays Show Terrifying Damage In Lungs Of Covid 19 Victims World News Mirror Online
www.mirror.co.uk

Diagnosing Latent Tb Infection Disease Testing Diagnosis Tb Cdc
www.cdc.gov

Diagnostics Free Full Text Weakly Labeled Data Augmentation For Deep Learning A Study On Covid 19 Detection In Chest X Rays Html
www.mdpi.com

The Groundbreaking Way To Search Lungs For Signs Of Covid 19 Bbc News
www.bbc.com

Https Www Medrxiv Org Content 10 1101 2020 03 30 20047456v1 Full Pdf

Sample X Ray Image From The Dataset Covid 19 X Ray Image A Normal Download Scientific Diagram
www.researchgate.net

Tb During Covid 19 The Hindu
www.thehindu.com

Pneumothorax Wikipedia
en.wikipedia.org

Chest Ct Shows Covid 19 Damage To The Lungs
www.news-medical.net

close